医影在线

标题: CT13104:胸部大家看看啊,第一次发啊, [打印本页]

作者: 明天会更好    时间: 2008-4-28 00:18
标题: CT13104:胸部大家看看啊,第一次发啊,


























[本贴已被 jiajie 于 2008-4-27 17:13:04 修改过]

作者: 王仕学    时间: 2008-4-28 00:27
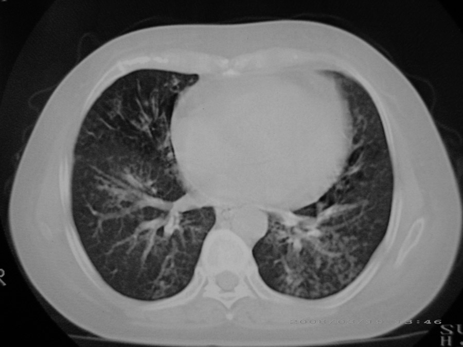
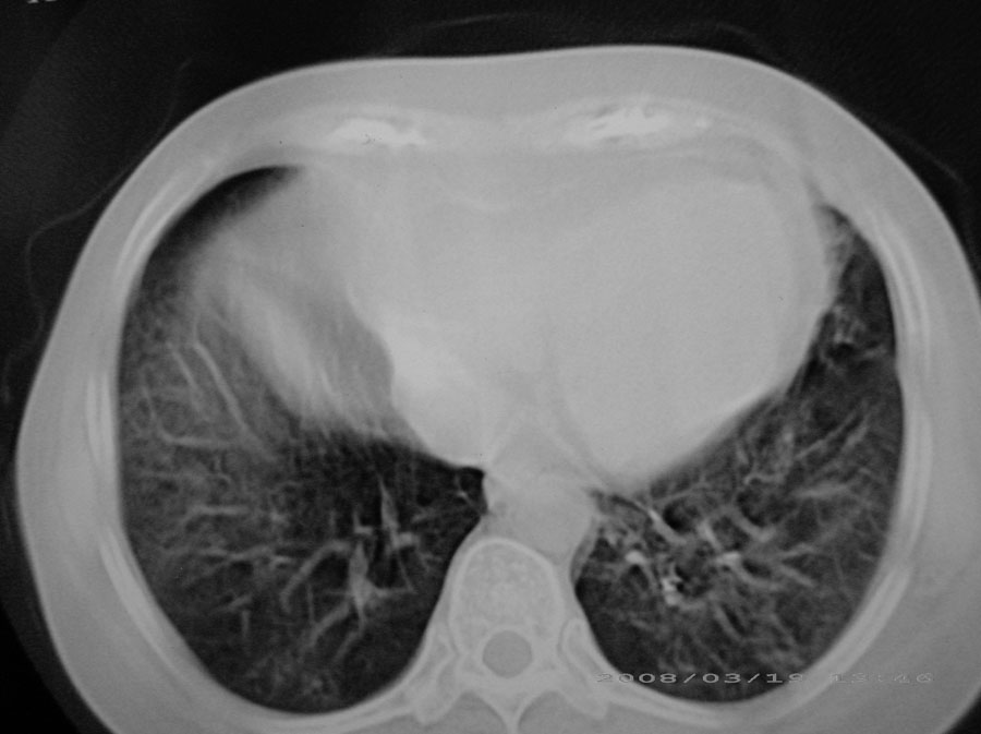
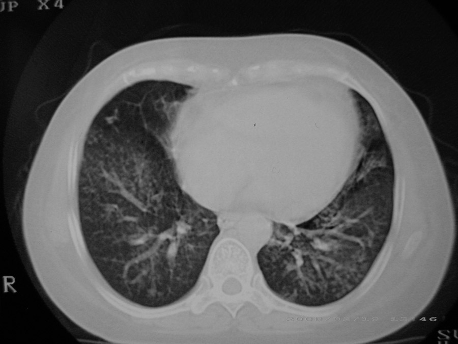
怎么没有病史呢?tb?
作者: zgjldq    时间: 2008-4-28 00:36
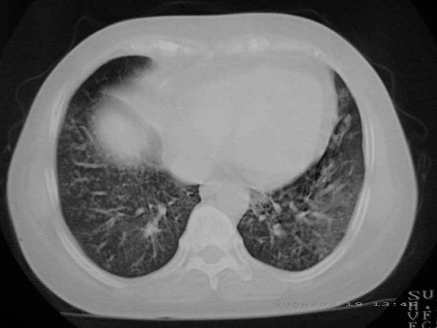
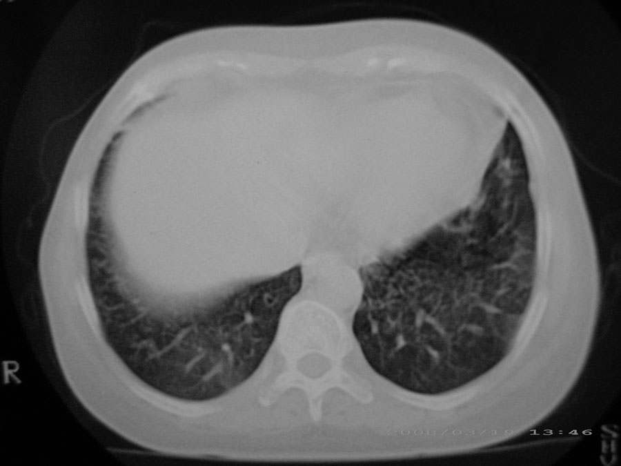
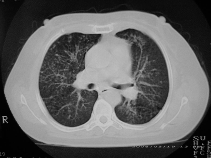
粟粒性结核
作者: 有风的日子    时间: 2008-4-28 00:51
细支气管肺泡癌
作者: 影象小辈    时间: 2008-4-28 00:59
没有病史  考虑间质炎性改变
作者: yangyudong333    时间: 2008-4-28 01:01
请楼主提供病史,肺结核与支气管肺泡癌都有可能
作者: hexue    时间: 2008-4-28 01:07
慢支并感染
作者: 余辉    时间: 2008-4-28 01:16
考虑间质性肺炎
作者: 热情医生    时间: 2008-4-28 01:18
慢支合并感染
作者: zsl6918    时间: 2008-4-28 01:23
本病例主要是癌性淋巴管炎与结节病的鉴别。好好查查吧。
作者: 深泽交通    时间: 2008-4-28 01:26
密漫性沿纹理走行小结节影;有间质纤维化;可考虑尘肺;以图而论
作者: mzh123    时间: 2008-4-28 03:23
血行播散性肺结核
作者: dyqct    时间: 2008-4-28 03:41
考虑间质性肺炎。性别?年龄?
作者: 影象小泰斗    时间: 2008-4-28 04:00
两肺间质性病变!考虑间质纤维化?间质性肺炎!
作者: 大漠孤雁    时间: 2008-4-28 04:09
支持慢支并感染,建议上传病史.
作者: gdxiaozhe    时间: 2008-4-28 04:54
考虑间质性肺炎可能性大。
作者: zjzjr    时间: 2008-4-28 05:23
考虑间质性肺炎。
作者: HKL1971    时间: 2008-4-28 05:38
结核?尘肺?肺泡癌?没有临床及病史,看看图罢了!
作者: ydx_74    时间: 2008-4-28 05:49
结核更可能0啊。其他是进一步考虑。
作者: 宇宙CT    时间: 2008-4-28 05:59
结核?尘肺?肺泡癌?没有临床及病史,看看图罢了!
作者: 影像孺子牛    时间: 2008-4-28 06:17
追问病史首先排外职业病再考虑其它病变。
作者: liuyue    时间: 2008-4-28 07:01
癌性淋巴管炎可能性大.
请楼主提供病史或结果.
作者: zhangling    时间: 2008-4-28 07:17
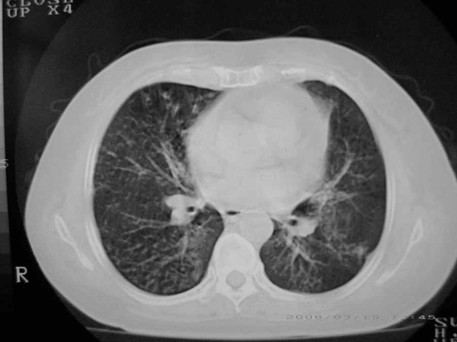
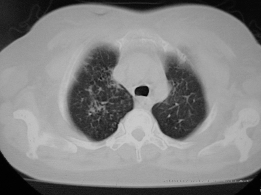
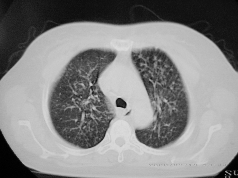
双肺网状结构,小叶间质结节状增厚,考虑结节病
作者: jinguoji    时间: 2008-4-28 07:36
考虑间质性肺炎可能性大。
作者: qc80012345    时间: 2008-4-28 14:07
病史??别忘了,我们诊断的原则。
作者: zheng27    时间: 2008-4-28 21:51
支持,肺结核与支气管肺泡癌都有可能,希望提供病史以鉴别
作者: 拾荒者    时间: 2008-4-29 15:29
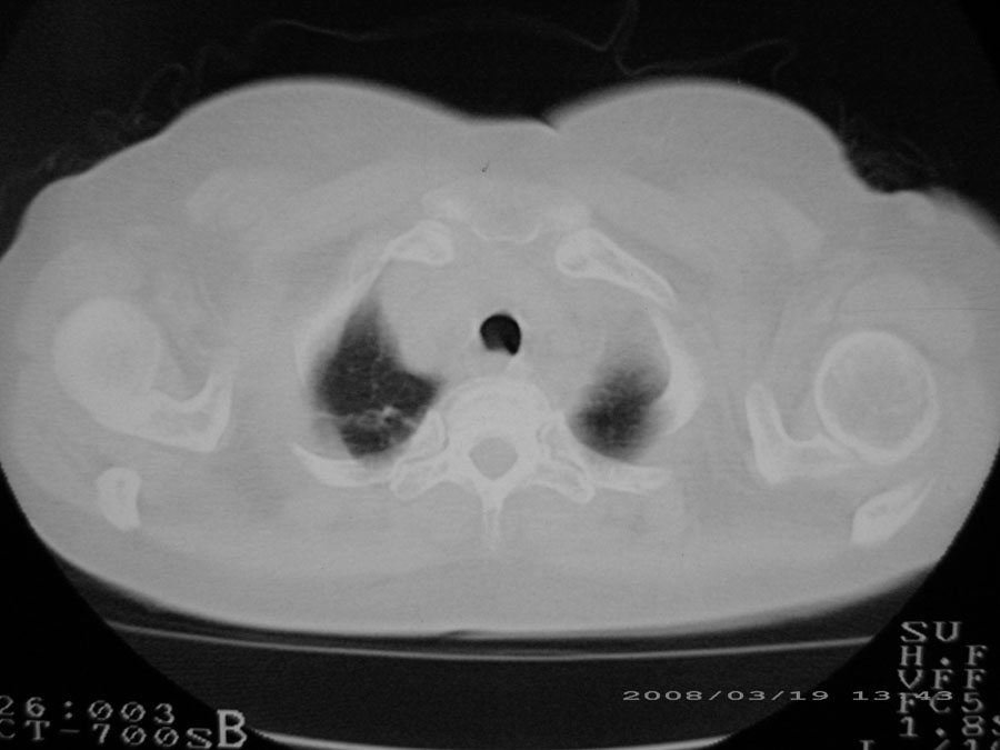
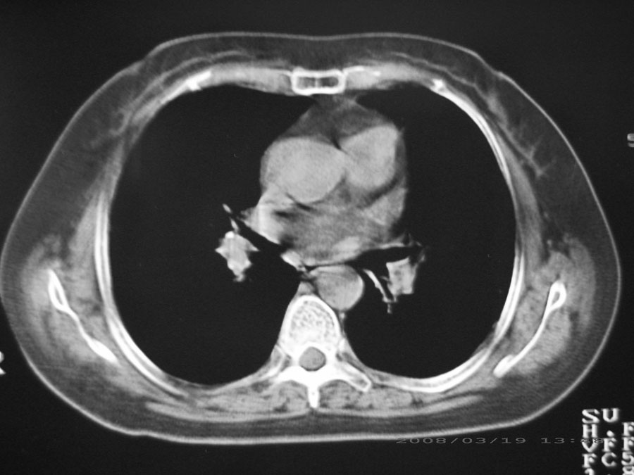
综合大家意见,结核、结节病、肺泡细胞癌均有可能,间质性肺炎暂不考虑,病灶纠集不明显,纵隔未见钙化淋巴结,尘肺可能性不大,但还是要密切结合临床诊断。
作者: zsl6918    时间: 2008-4-29 17:30
今天重新仔细看了看,矽肺确实不能除外,病灶主要表现为间质结节及纤维化。好好问问病史吧。




欢迎光临 医影在线 (http://bbs.radida.com/bbs/) Powered by Discuz! X3.2