











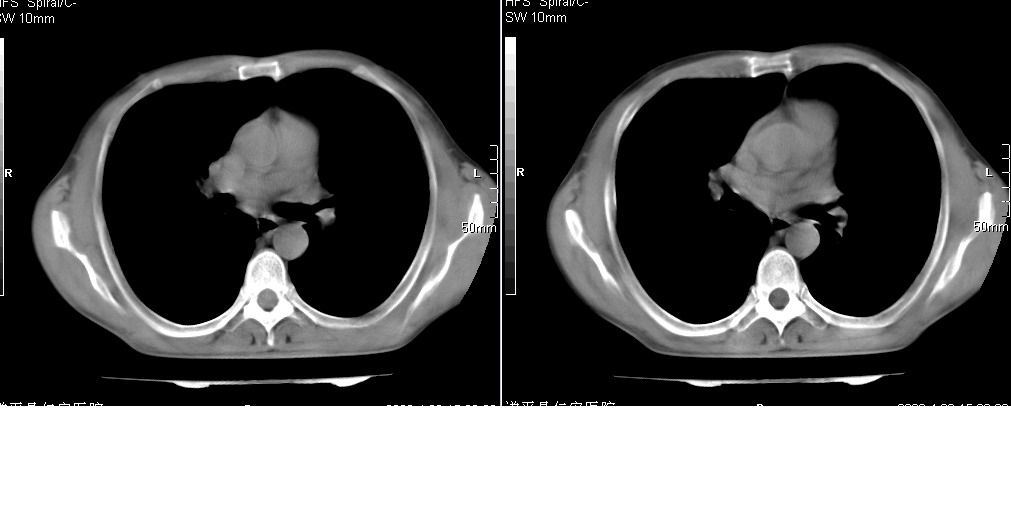
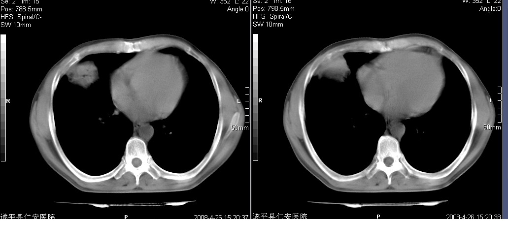
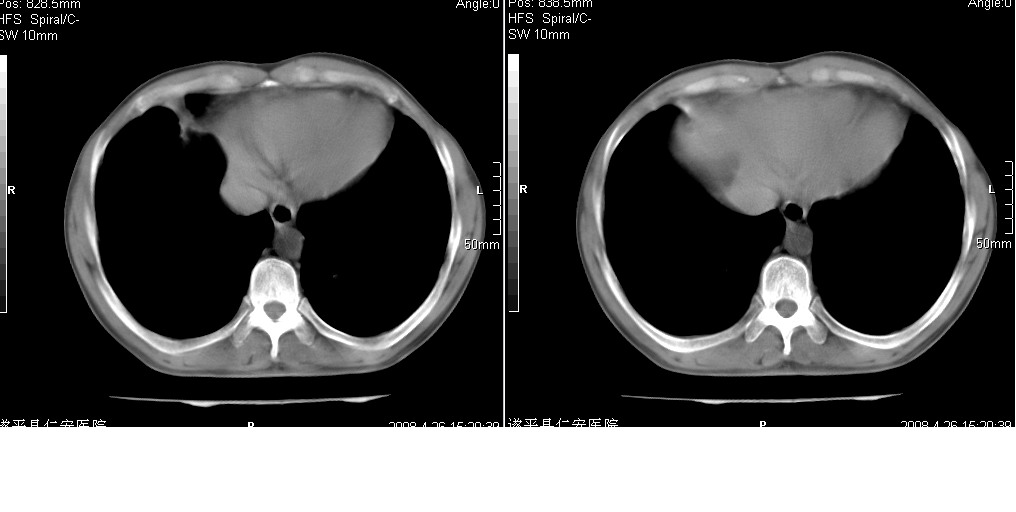
以下是引用yangyudong333在2008-4-27 16:58:00的发言:[br]病灶无明显分叶,周围有粗大索条影,外侧与胸膜接触面较宽且胸膜下透亮层存在,内部可见充气支气管,考虑炎症可能性大,建议抗炎治疗后复查
以下是引用mzh123在2008-4-27 19:30:00的发言:[br]右肺中叶团片致密影,周围可见卫星病灶,中叶支气管未见明显狭窄,所以首先考虑炎性病变,结核可能性大,肺癌待排,请治疗后复查!
以下是引用yangyudong333在2008-4-27 16:58:00的发言:[br]病灶无明显分叶,周围有粗大索条影,外侧与胸膜接触面较宽且胸膜下透亮层存在,内部可见充气支气管,考虑炎症可能性大,建议抗炎治疗后复查
以下是引用随光逐影在2008-4-27 20:49:00的发言:[br]考虑为:1)右肺中叶及左侧下叶感染性病变。2)左肺下叶支气管扩张?建议:抗炎治疗后复查。
| 欢迎光临 医影在线 (http://bbs.radida.com/bbs/) | Powered by Discuz! X3.2 |