














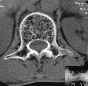
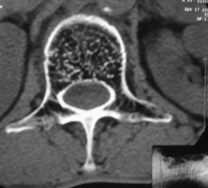
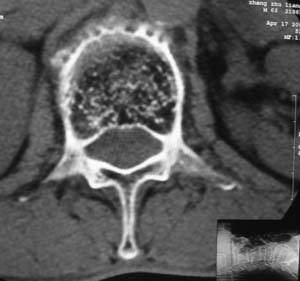
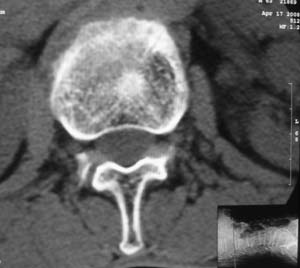
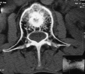
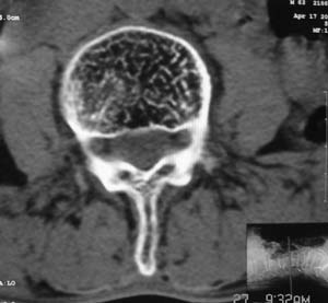
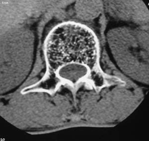
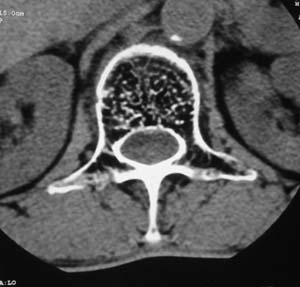
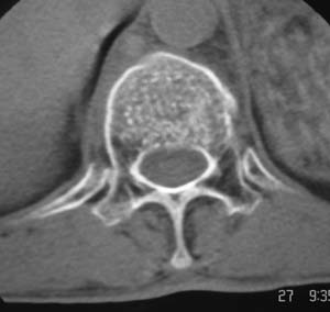
以下是引用余辉在2008-4-27 17:12:00的发言:[br]骨质疏松伴病理性压缩性骨折,椎骨骨松质密度减低,椎体骨小梁稀疏且普遍呈火柴头样改变,椎体无膨胀,无软组织肿块
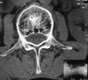
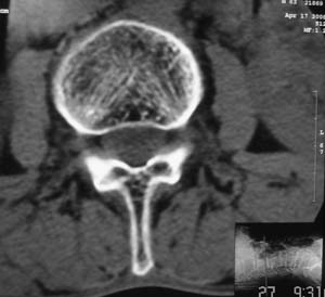
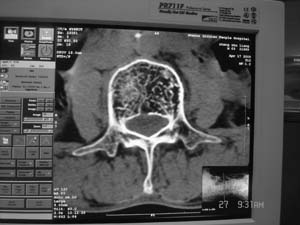
以下是引用mzh123在2008-4-27 19:33:00的发言:[br]除压缩骨折表现外 还有许莫氏结节改变
以下是引用随光逐影在2008-4-27 21:29:00的发言:[br]除压缩性骨折外,还有许莫氏结节及骨质疏松表现。
| 欢迎光临 医影在线 (http://bbs.radida.com/bbs/) | Powered by Discuz! X3.2 |