医影在线

标题: CT13107:男76颈部肿物疼痛5个月,彩超3月前提示淋巴结肿大 [打印本页]

作者: zzzzhhhhaaaannn    时间: 2008-4-28 01:20
标题: CT13107:男76颈部肿物疼痛5个月,彩超3月前提示淋巴结肿大
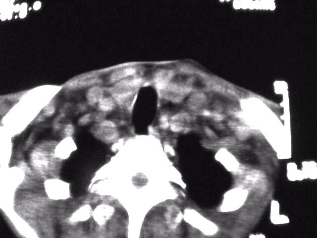
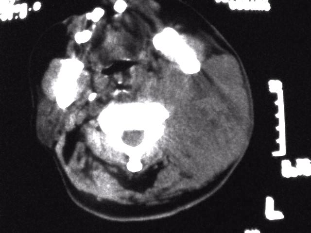
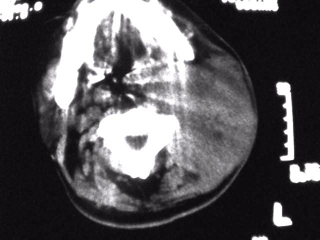
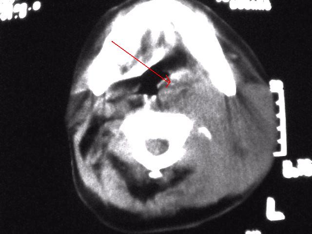
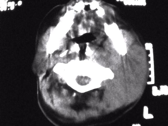
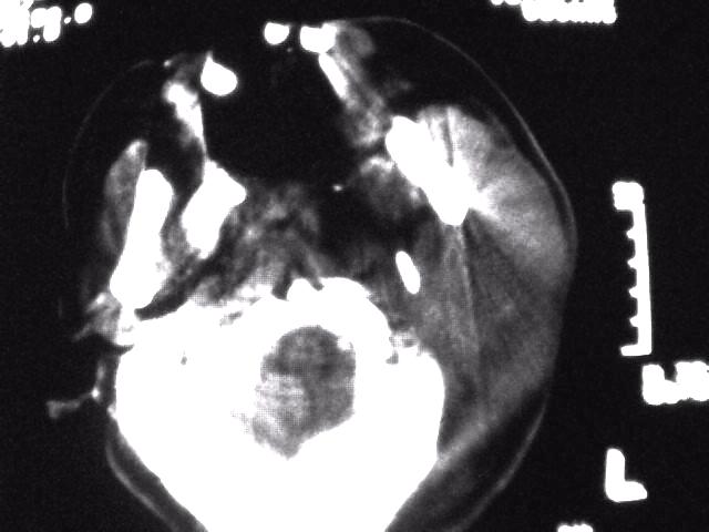
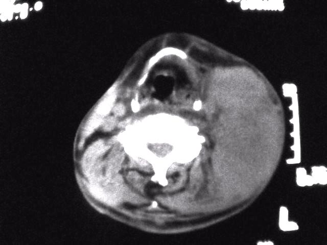
颈部层厚10mm间距10mm连续扫描及增强扫描共24层示:左侧下颈部胸锁乳突肌内侧区域内可见多发软组织结节,密度不均,内可见斑片状低密度区,大小不等,部分融合成块,左侧融合成一块者大约9.0x5.4,与周围肌肉、血管等结构界面不清,骨质未见明显浸润影。左侧锁骨下可见多个软组织结节,与周围界限尚清,左侧锁骨上窝内可见一大软组织肿物,大小约4.7x3.7cm,内密度欠均匀中心可见低密度区。
考虑:左侧颈部及双侧锁骨下多发淋巴结肿。非何杰金氏淋巴瘤可能性大,建议进一步检查。



























[本贴已被 jiajie 于 2008-4-27 18:08:19 修改过]

作者: zsl6918    时间: 2008-4-28 01:25
阁下图像不能明确诊断,即使怀疑 淋巴瘤也应穿刺活检明确。
作者: 王仕学    时间: 2008-4-28 01:26
左侧鼻咽癌并广泛淋巴结转移?
作者: 王仕学    时间: 2008-4-28 01:28
标题: 回复:男76颈部肿物疼痛5个月,彩超3月前提示淋巴结肿大

作者: zzzzhhhhaaaannn    时间: 2008-4-28 01:32
此病人初发病为左侧颈中部一小淋巴结增大,疼痛,经彩超检查为单个淋巴结肿大,病情发展快,现为多处病变,病变质硬,表面肿胀
作者: 前行    时间: 2008-4-28 03:43
穿刺活检
作者: dyqct    时间: 2008-4-28 03:52
标题: 回复:ct13107:男76颈部肿物疼痛5个月,彩超3月前提示淋巴
以下是引用zsl6918在2008-4-27 17:25:00的发言:[br]阁下图像不能明确诊断,即使怀疑 淋巴瘤也应穿刺活检明确。

支持!
作者: zjzjr    时间: 2008-4-28 05:17
考虑淋巴瘤可能性大,建议活检.
作者: 随光逐影    时间: 2008-4-28 05:22
1)考虑为:淋巴瘤或转移瘤。建议:活检。2)左侧眼球痨。
作者: jsgdoctor    时间: 2008-4-28 05:48
先做鼻咽,考虑转移瘤或淋巴瘤
作者: ydx_74    时间: 2008-4-28 05:54
转移可能大
作者: yangyudong333    时间: 2008-4-28 06:00
穿刺活检
作者: 影像孺子牛    时间: 2008-4-28 06:08
首先考虑转移,建议活检。
作者: yy杨洋    时间: 2008-4-28 06:49
1)考虑为:淋巴瘤或转移瘤。建议:活检。
作者: liuyue    时间: 2008-4-28 06:51
恶性病变可能性大.
期待结果.
作者: 宇宙CT    时间: 2008-4-28 06:57
下图像不能明确诊断,即使怀疑 淋巴瘤也应穿刺活检明确。


支持!
作者: jinguoji    时间: 2008-4-28 07:26
标题: 回复:ct13107:男76颈部肿物疼痛5个月,彩超3月前提示淋巴
以下是引用zsl6918在2008-4-27 17:25:00的发言:[br]阁下图像不能明确诊断,即使怀疑 淋巴瘤也应穿刺活检明确。

支持!
作者: hexue    时间: 2008-4-28 07:52
标题: 回复:ct13107:男76颈部肿物疼痛5个月,彩超3月前提示淋巴
考虑为:淋巴瘤或转移瘤。建议:活检。
作者: qc80012345    时间: 2008-4-28 13:50
考虑淋巴瘤可能性大,建议活检.
作者: 拾荒者    时间: 2008-4-29 15:49
支持考虑:淋巴瘤或转移瘤。建议:活检。




欢迎光临 医影在线 (http://bbs.radida.com/bbs/) Powered by Discuz! X3.2