

以下是引用前行在2008-4-27 19:28:00的发言:[br]慢性心功能不全
以下是引用前行在2008-4-27 19:28:00的发言:[br]慢性心功能不全
以下是引用杀毒软件在2008-4-28 9:18:00的发言:[br]支持大家的考虑
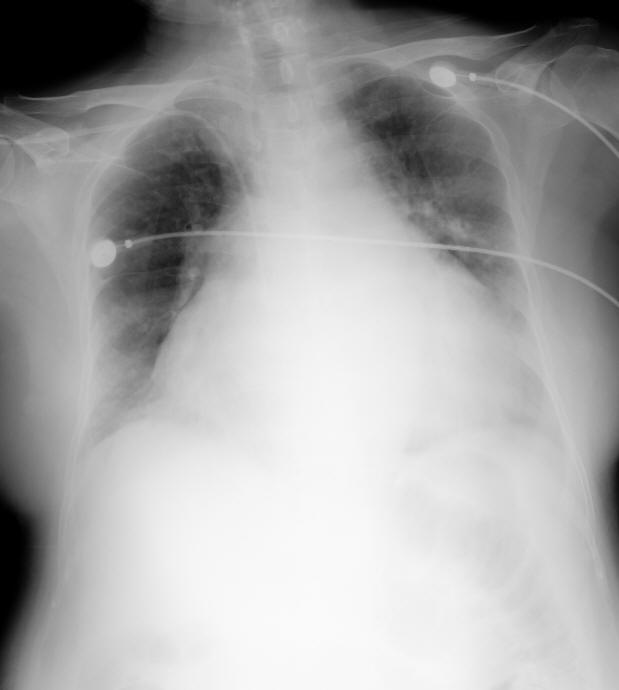
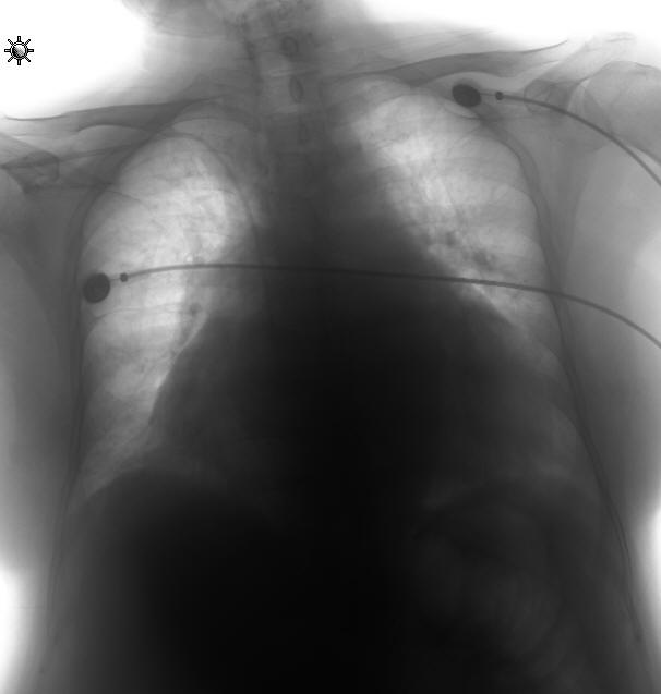
以下是引用dyqct在2008-4-27 19:22:00的发言:[br]心脏呈普大型,请结合临床听诊、心电图除外心衰。
以下是引用zhangkai在2008-4-28 14:00:00的发言:[br][quote]以下是引用dyqct在2008-4-27 19:22:00的发言:[br]心脏呈普大型,请结合临床听诊、心电图除外心衰。
| 欢迎光临 医影在线 (http://bbs.radida.com/bbs/) | Powered by Discuz! X3.2 |