医影在线
标题: CT13112:上腹部平扫,请会诊!!有病理结果。 [打印本页]
作者: 岚儿 时间: 2008-4-28 06:26
标题: CT13112:上腹部平扫,请会诊!!有病理结果。
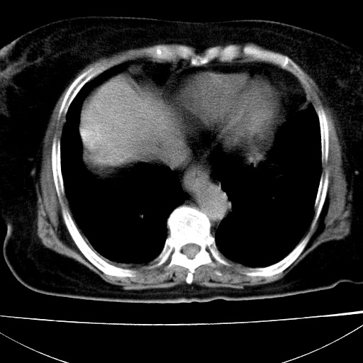
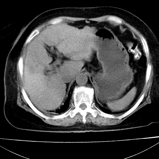
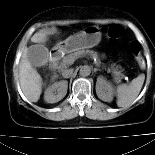
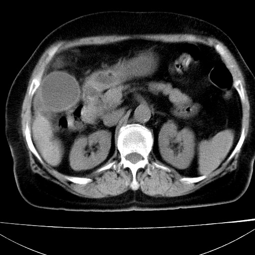
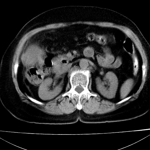
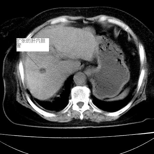
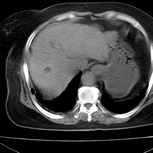
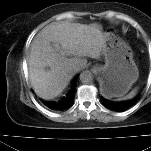
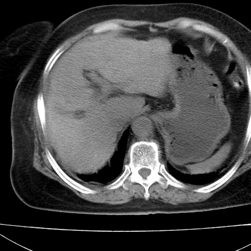
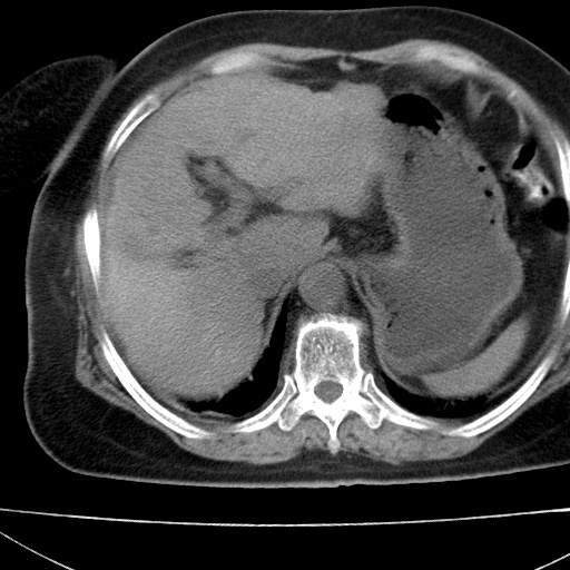
患者女74岁;右上腹胀痛1月,伴恶心,无发热;生活在疫水区。有术后病理及术后半年的追踪ct.















[本贴已被 岚儿 于 2008-4-27 22:36:12 修改过]
[本贴已被 jiajie 于 2008-4-27 22:51:20 修改过]
作者: 随光逐影 时间: 2008-4-28 06:49
1)慢性血吸虫病(典型)。2)肝硬化。3)肝癌?4)胆囊炎。5)少量腹水。6)右侧少量胸腔积液。
作者: yy杨洋 时间: 2008-4-28 07:01
标题: 回复:ct13112:上腹部平扫,请会诊!!有病理结果。
以下是引用随光逐影在2008-4-27 22:49:00的发言:[br]1)慢性血吸虫病(典型)。2)肝硬化。3)肝癌?4)胆囊炎。5)少量腹水。6)右侧少量胸腔积液。
支持.边缘见高密度线条样钙化影.
作者: 宇宙CT 时间: 2008-4-28 07:04
肝硬化。3)肝癌?4)胆囊炎。5)少量腹水。6)右侧少量胸腔积液。
作者: jinguoji 时间: 2008-4-28 07:07
标题: 回复:ct13112:上腹部平扫,请会诊!!有病理结果。
以下是引用随光逐影在2008-4-27 22:49:00的发言:[br]1)慢性血吸虫病(典型)。2)肝硬化。3)肝癌?4)胆囊炎。5)少量腹水。6)右侧少量胸腔积液。
支持!
作者: hexue 时间: 2008-4-28 07:57
标题: 回复:ct13112:上腹部平扫,请会诊!!有病理结果。
以下是引用随光逐影在2008-4-27 22:49:00的发言:[br]1)慢性血吸虫病(典型)。2)肝硬化。3)肝癌?4)胆囊炎。5)少量腹水。6)右侧少量胸腔积液。
作者: trljl 时间: 2008-4-28 09:44
1)肝硬化、2)肝右前叶肝癌、3)胆囊炎致胆囊肿大、4)少量腹水、5)右侧少量胸腔积液或为胸膜增厚。
作者: qc80012345 时间: 2008-4-28 13:43
1)慢性血吸虫病(典型)。2)肝硬化。3)胆囊炎4)少量腹水。5)右侧少量胸腔积液。
作者: yangyudong333 时间: 2008-4-28 15:01
肝脏体积缩小,肝裂增宽,边缘不平呈波浪状,肝右叶见分隔状条索形钙化,亦见多结节低密度灶,边界不清,肝周可见少许液性暗区,胆囊增大内密度均匀,脾脏下缘低于脏脏的下缘,胸腔亦见液性暗区,余未见明显异常.
诊断:1肝硬化并慢性吸血虫病,脾肿大
2肝内占位,考虑肝癌可能性大,建议做增强
3胆囊炎, 4少量腹水及胸水
作者: 大漠孤雁 时间: 2008-4-28 15:09
学习了.
作者: 形影不离 时间: 2008-4-28 16:02
标题: 回复:ct13112:上腹部平扫,请会诊!!有病理结果。
以下是引用随光逐影在2008-4-27 22:49:00的发言:[br]1)慢性血吸虫病(典型)。2)肝硬化。3)肝癌?4)胆囊炎。5)少量腹水。6)右侧少量胸腔积液。
作者: zjzjr 时间: 2008-4-28 16:53
1)慢性血吸虫病(典型)。2)肝硬化。3)胆囊炎4)少量腹水。5)右侧少量胸腔积液。6肝囊肿.
作者: 杀毒软件 时间: 2008-4-28 17:40
学习了
作者: 吕永冬 时间: 2008-4-28 17:44
胆囊增大饱满,壁增厚。胆囊颈部见软组织密度影。临近肝右叶前段见片状低密度区,病灶下部见条状钙化,少量胸腹腔积液。意见:胆囊颈癌累及肝脏。
作者: dyqct 时间: 2008-4-28 17:55
标题: 回复:ct13112:上腹部平扫,请会诊!!有病理结果。
以下是引用随光逐影在2008-4-27 22:49:00的发言:[br]1)慢性血吸虫病(典型)。2)肝硬化。3)肝癌?4)胆囊炎。5)少量腹水。6)右侧少量胸腔积液。
建议增强进一步检查。
作者: LIAOQIANG 时间: 2008-4-28 18:42
考虑1)慢性血吸虫病。2)肝硬化。建议增强排除肝癌可能性。
作者: dr.yang 时间: 2008-4-28 19:02
标题: 回复:ct13112:上腹部平扫,请会诊!!有病理结果。
以下是引用dyqct在2008-4-28 9:55:00的发言:[br][quote]以下是引用随光逐影在2008-4-27 22:49:00的发言:[br]1)慢性血吸虫病(典型)。2)肝硬化。3)肝癌?4)胆囊炎。5)少量腹水。6)右侧少量胸腔积液。
[br]建议增强进一步检查。[/quote]
作者: 深泽交通 时间: 2008-4-28 19:08
zhichi
作者: 郭吉顺1 时间: 2008-4-28 20:19
学习了.
作者: 岚儿 时间: 2008-4-28 20:48
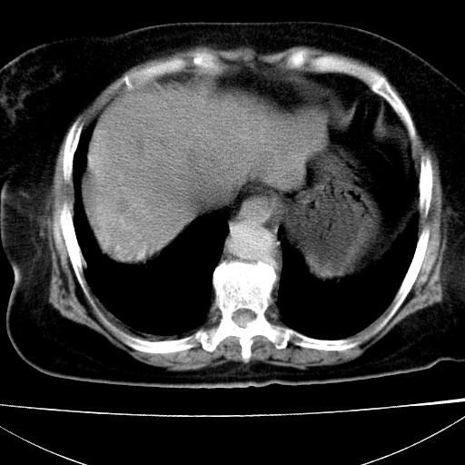
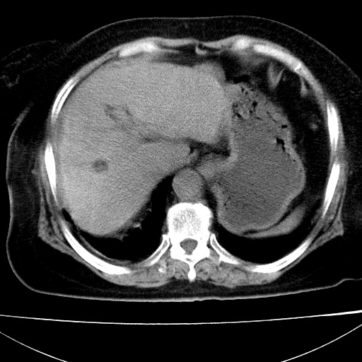
病人以胆囊癌手术的,病理结果为中分化腺癌。
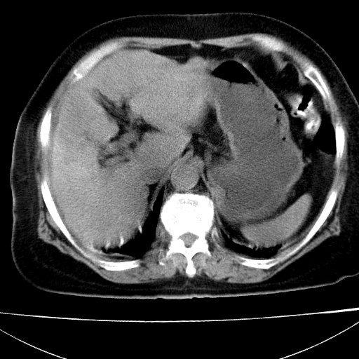
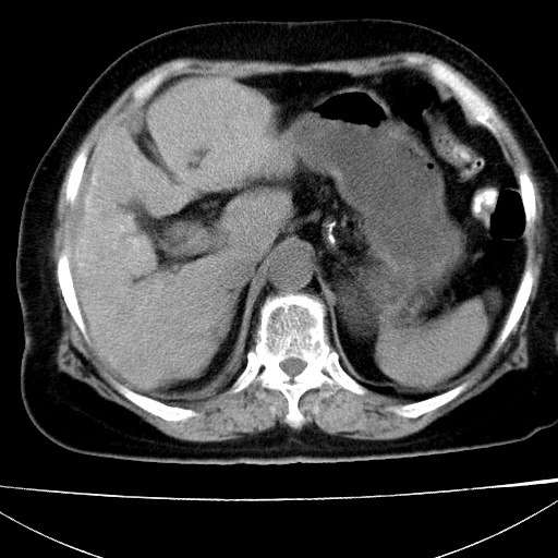
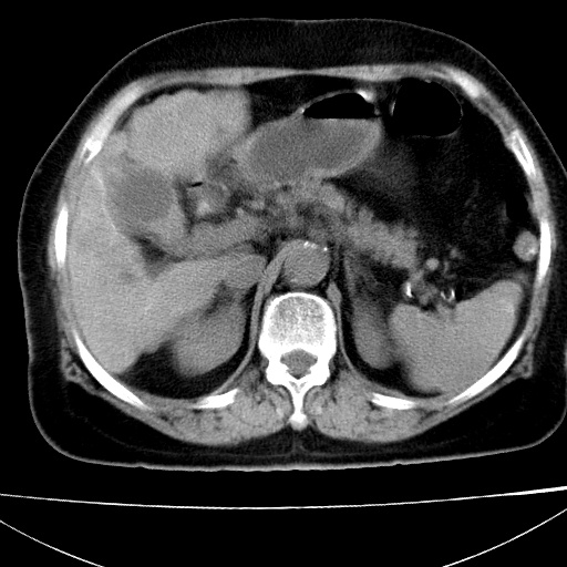
现在看看肝右叶内圆形低密度影你们考虑什么呢?
半年后的ct片随后续上。
作者: tao772 时间: 2008-4-28 20:52
肝脏体积缩小,肝裂增宽,边缘不平呈波浪状,肝右叶见分隔状条索形钙化,亦见多结节低密度灶,边界不清,肝周可见少许液性暗区,胆囊增大内密度均匀,脾脏下缘低于脏脏的下缘,胸腔亦见液性暗区,余未见明显异常.
诊断:1肝硬化并慢性吸血虫病,脾肿大
2肝内占位,考虑肝癌可能性大,建议做增强
3胆囊炎, 4少量腹水及胸水
作者: 岚儿 时间: 2008-4-29 02:36
标题: 回复:ct13112:上腹部平扫,请会诊!!有病理结果。
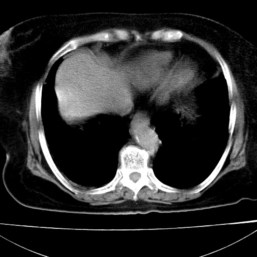
肝内圆形低密度影考虑扩张的胆管

请看3mm重建像如下:







[本贴已被 岚儿 于 2008-4-28 19:11:29 修改过]
作者: wanghuiyellf 时间: 2008-4-29 03:32
学习了.
作者: 拾荒者 时间: 2008-4-29 21:17
谢谢!要是有增强可能会好一些。
作者: jinguoji 时间: 2008-4-30 03:41
学习了,谢谢!
作者: 岚儿 时间: 2008-4-30 06:02
半年后的ct片链接如下:
http://www.radida.com/radinet/read.php?tid=38503
| 欢迎光临 医影在线 (http://bbs.radida.com/bbs/) |
Powered by Discuz! X3.2 |