医影在线

标题: CT13114:男,64岁,咳嗽、咳痰20余天,明显消瘦 [打印本页]

作者: liuyue    时间: 2008-4-28 08:48
标题: CT13114:男,64岁,咳嗽、咳痰20余天,明显消瘦
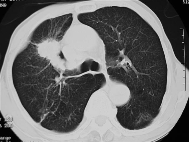
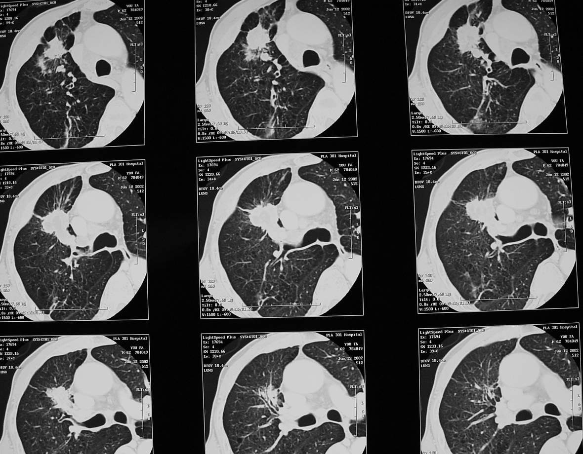
男,64岁,咳嗽、咳痰20余天,明显消瘦,x线片发现肺部阴影






[本贴已被 jiajie 于 2008-4-28 6:27:23 修改过]

作者: trljl    时间: 2008-4-28 09:36
长毛刺、肺门引流征象、中心液化坏死等应该是提示结核性肿块的可能性大,但是合并椎体及多处肋骨破坏则周围型肺ca并椎体及多处肋骨转移不能除外。
作者: qc80012345    时间: 2008-4-28 13:37
肺癌;纵膈淋巴结及肋骨转移。必要时;增强。
作者: 随缘的人    时间: 2008-4-28 14:11
考虑肺癌并纵膈、肋骨、胸椎转移
作者: XIANXIANZHONGYI    时间: 2008-4-28 14:34
考虑肺癌并纵膈、肋骨、胸椎转移  
   

随缘的人说
支持
作者: yangyudong333    时间: 2008-4-28 14:38
考虑肺癌并纵膈、肋骨、胸椎转移
作者: 随光逐影    时间: 2008-4-28 15:28
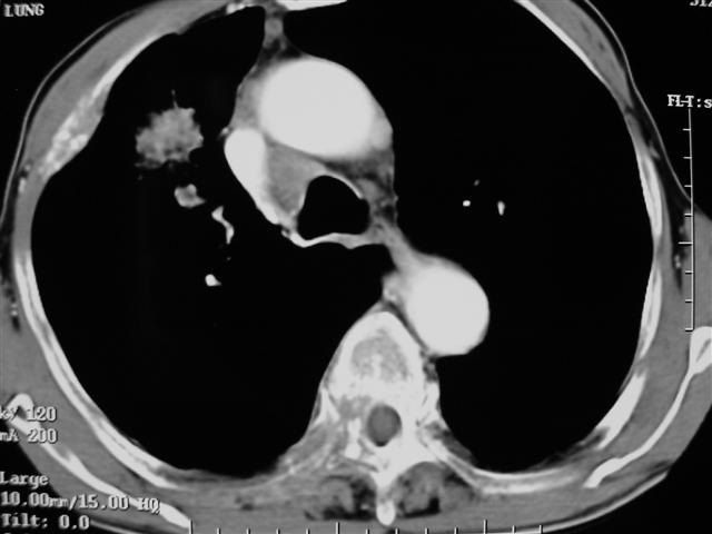
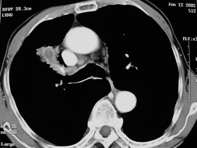
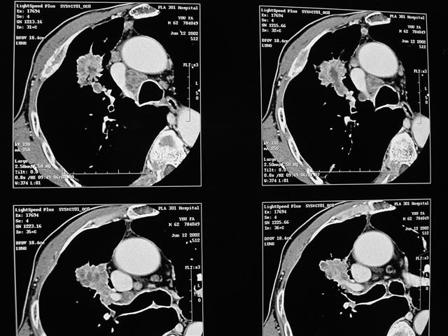
1)右肺上叶前段周围型肺癌并阻塞性肺炎、右肺门及纵隔淋巴结转移、肋骨及胸椎转移。2)右肺上叶后段纤维病灶。
作者: wansheng    时间: 2008-4-28 15:51
标题: 回复:ct13114:男,64岁,咳嗽、咳痰20余天,明显消瘦
以下是引用随光逐影在2008-4-28 7:28:00的发言:[br]1)右肺上叶前段周围型肺癌并阻塞性肺炎、右肺门及纵隔淋巴结转移、肋骨及胸椎转移。2)右肺上叶后段纤维病灶。

作者: 形影不离    时间: 2008-4-28 16:09
支持 考虑肺癌并纵膈、肋骨、胸椎转移。
作者: zjzjr    时间: 2008-4-28 16:56
1)右肺上叶前段周围型肺癌并阻塞性肺炎、右肺门及纵隔淋巴结转移、肋骨及胸椎转移。2)右肺上叶后段纤维病灶。
作者: 杀毒软件    时间: 2008-4-28 17:43
支持 考虑肺癌并纵膈、肋骨、胸椎转移
作者: qiushi    时间: 2008-4-28 17:45
考虑肺癌并纵膈、肋骨、胸椎转移
作者: 王仕学    时间: 2008-4-28 17:51
标题: 回复:ct13114:男,64岁,咳嗽、咳痰20余天,明显消瘦
以下是引用随光逐影在2008-4-28 7:28:00的发言:[br]1)右肺上叶前段周围型肺癌并阻塞性肺炎、右肺门及纵隔淋巴结转移、肋骨及胸椎转移。2)右肺上叶后段纤维病灶。

支持!
作者: dyqct    时间: 2008-4-28 17:59
标题: 回复:ct13114:男,64岁,咳嗽、咳痰20余天,明显消瘦
以下是引用随光逐影在2008-4-28 7:28:00的发言:[br]1)右肺上叶前段周围型肺癌并阻塞性肺炎、右肺门及纵隔淋巴结转移、肋骨及胸椎转移。2)右肺上叶后段纤维病灶。

支持!
作者: 72xiang.zi    时间: 2008-4-28 18:03
支持周围型肺癌并纵膈、肋骨、胸椎转移
作者: LIAOQIANG    时间: 2008-4-28 18:35
考虑右肺上叶前段周围型肺癌并右肺门及纵隔淋巴结肿大、肋骨及胸椎转移。
作者: 宇宙CT    时间: 2008-4-28 18:40
考虑肺癌并纵膈、肋骨、胸椎转移
作者: dr.yang    时间: 2008-4-28 18:43
标题: 回复:ct13114:男,64岁,咳嗽、咳痰20余天,明显消瘦
以下是引用qc80012345在2008-4-28 5:37:00的发言:[br]肺癌;纵膈淋巴结及肋骨转移。必要时;增强。

作者: lxq2000    时间: 2008-4-28 18:48
1)右肺上叶前段周围型肺癌并阻塞性肺炎、右肺门及纵隔淋巴结转移、肋骨及胸椎转移。2)右肺上叶后段纤维病灶。
作者: yy杨洋    时间: 2008-4-28 18:59
支持 考虑肺癌并纵膈、肋骨、胸椎转移
作者: 深泽交通    时间: 2008-4-28 19:05
xiang 肺癌肋骨转移;需出外韦氏肉芽肿
作者: cmj    时间: 2008-4-28 20:35
考虑矽肺合并肺癌并转移
作者: xuhuihong    时间: 2008-4-28 20:42
考虑肺癌并纵膈、肋骨、胸椎转移。
作者: tao772    时间: 2008-4-28 21:01
周围型肺癌并纵膈、肋骨、胸椎转移
作者: 拾荒者    时间: 2008-4-29 21:29
支持考虑肺癌并纵膈淋巴结、右侧肋骨、胸椎转移。
作者: jinguoji    时间: 2008-4-30 03:16
支持考虑肺癌并纵膈、肋骨、胸椎转移。




欢迎光临 医影在线 (http://bbs.radida.com/bbs/) Powered by Discuz! X3.2