医影在线

标题: CT13062B:请高手出招! [打印本页]

作者: sxlcbc    时间: 2008-4-28 15:36
标题: CT13062B:请高手出招!
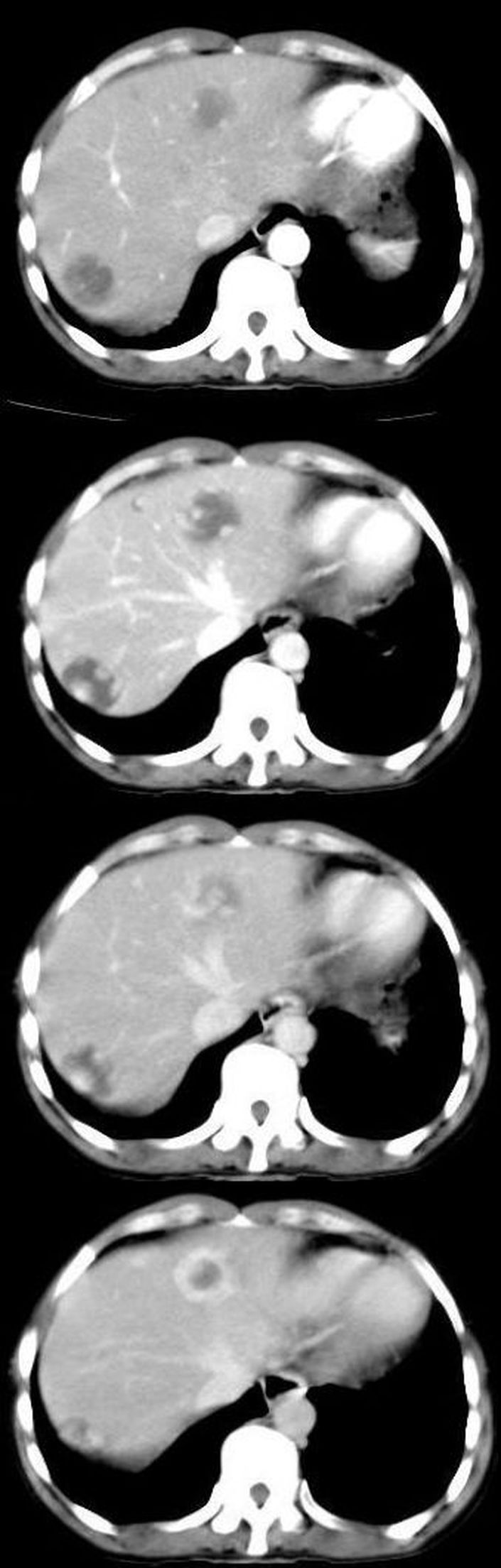
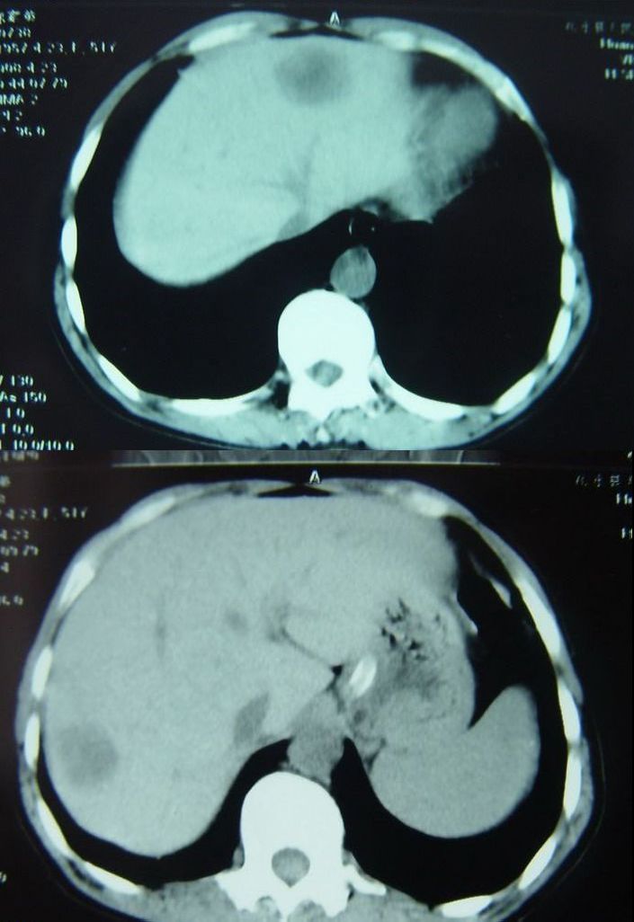
这是ct13062:http://www.radida.com/bbs/forum.php?mod=viewthread&tid=38277这个病例,
为了引起战友们的注意,我特意把典型的几个层面发表在这里,上两个是平扫,病灶密度较低,边缘较清楚,增强分别是动脉期,门脉期,延迟后4分钟和7分钟后的图片,讨论一下看,到底是什么性质的病变?






[本贴已被 jiajie 于 2008-4-28 12:53:21 修改过]

作者: 形影不离    时间: 2008-4-28 15:51
肝转移瘤也可出现类似肝血管瘤ct增强表现,既然升结肠ca可定,那么本例肝脏改变肝转移瘤首选,建议mri检查。
作者: sxlcbc    时间: 2008-4-28 15:55
本例的困惑是延迟后强化更明显
作者: hhcckk    时间: 2008-4-28 15:59
标题: 回复:

作者: 子期    时间: 2008-4-28 16:48
我不是高手,不过我认为本例的牛眼征还是较典型的,所以考虑为转移。
作者: zjzjr    时间: 2008-4-28 17:02
支持肝脏多发转移瘤,(体现了肝动脉及门静脉双重供血之特点)
作者: 随光逐影    时间: 2008-4-28 17:24
标题: 回复:请高手出招!
以下是引用形影不离在2008-4-28 7:51:00的发言:[br]肝转移瘤也可出现类似肝血管瘤ct增强表现,既然升结肠ca可定,那么本例肝脏改变肝转移瘤首选,建议mri检查。

作者: 杀毒软件    时间: 2008-4-28 17:38
支持肝脏多发转移瘤
作者: qiushi    时间: 2008-4-28 17:43
标题: 回复:请高手出招!
以下是引用hhcckk在2008-4-28 7:59:00的发言:[br][br]

作者: wj2039    时间: 2008-4-28 17:43
本人个子不高,我考虑肝左叶为血管瘤,肝右后叶为转移瘤。
作者: 王仕学    时间: 2008-4-28 17:58
支持升结肠癌并肝转移。
作者: dyqct    时间: 2008-4-28 18:02
考虑多发海锦状血管瘤。
作者: lxq2000    时间: 2008-4-28 18:35
以下是引用hhcckk在2008-4-28 7:59:00的发言:
作者: dr.yang    时间: 2008-4-28 18:35
标题: 回复:请高手出招!
以下是引用dyqct在2008-4-28 10:02:00的发言:[br]考虑多发海锦状血管瘤。

作者: 宇宙CT    时间: 2008-4-28 18:47
下是引用形影不离在2008-4-28 7:51:00的发言:
肝转移瘤也可出现类似肝血管瘤ct增强表现,既然升结肠ca可定,那么本例肝脏改变肝转移瘤首选,建议mri检查。
作者: qiuleiyu    时间: 2008-4-28 18:50
支持;血管瘤诊断可能大。
作者: 深泽交通    时间: 2008-4-28 18:57
牛眼征;边缘环壮强化;象转移瘤
作者: lxq2000    时间: 2008-4-28 19:01
虑肝左叶为血管瘤
作者: yy杨洋    时间: 2008-4-28 19:04
支持肝脏多发转移瘤
作者: xly    时间: 2008-4-28 19:22
转移瘤动脉期不会出现边缘结节状血管样强化,延迟扫描血管瘤和转移瘤都可以出现环状显著强化,二者病灶中心都可以出现坏死。故动脉期为主要鉴别依据。若再行延迟扫描(15分钟后)对二者的鉴别应该也有帮助。我认为是典型的血管瘤。
作者: 37度    时间: 2008-4-28 20:20
偏向血管瘤.
作者: xuhuihong    时间: 2008-4-28 20:38
考虑多发海锦状血管瘤。
作者: tao772    时间: 2008-4-28 21:06
考虑转移瘤,如果定不下来,建议癌胚抗原检查。高就是了。
作者: 曹玉杰    时间: 2008-4-28 21:51
肝脏血管瘤可能性大,增强早期明显呈结节状强化,而延时扫描呈环状强化,但有可能延时不够或中间有坏死区.
作者: liuyue    时间: 2008-4-28 21:56
支持肝脏多发转移瘤
作者: jinguoji    时间: 2008-4-30 05:36
考虑多发海锦状血管瘤。
作者: ganf7331    时间: 2008-4-30 06:13
支持血管瘤!




欢迎光临 医影在线 (http://bbs.radida.com/bbs/) Powered by Discuz! X3.2