医影在线

标题: CT13116:昨晚值班时遇到的病人。骨窗未见异常没上传。请大 [打印本页]

作者: wansheng    时间: 2008-4-28 15:44
标题: CT13116:昨晚值班时遇到的病人。骨窗未见异常没上传。请大
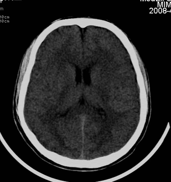
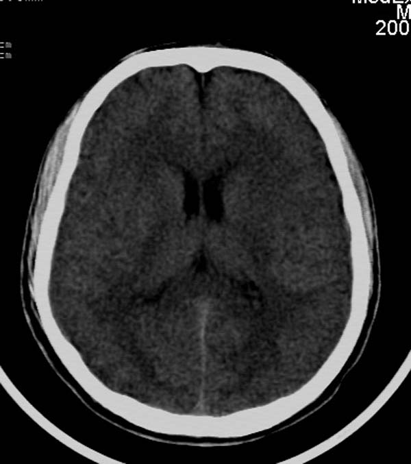
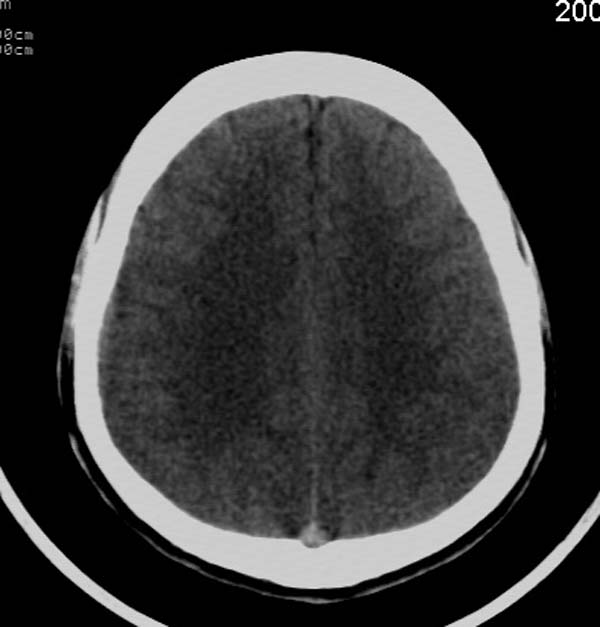
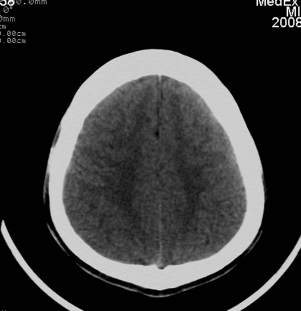
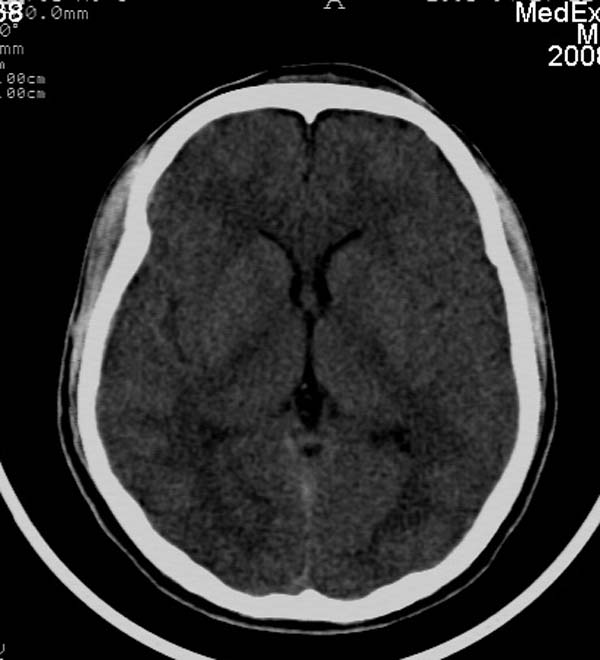
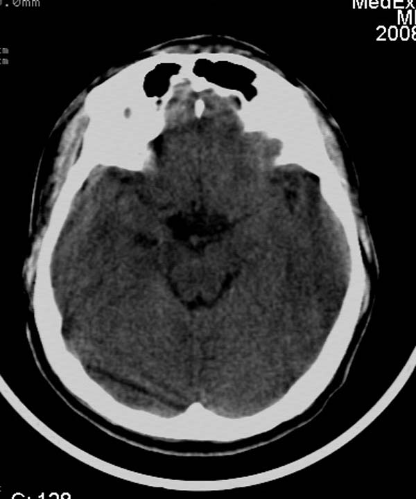
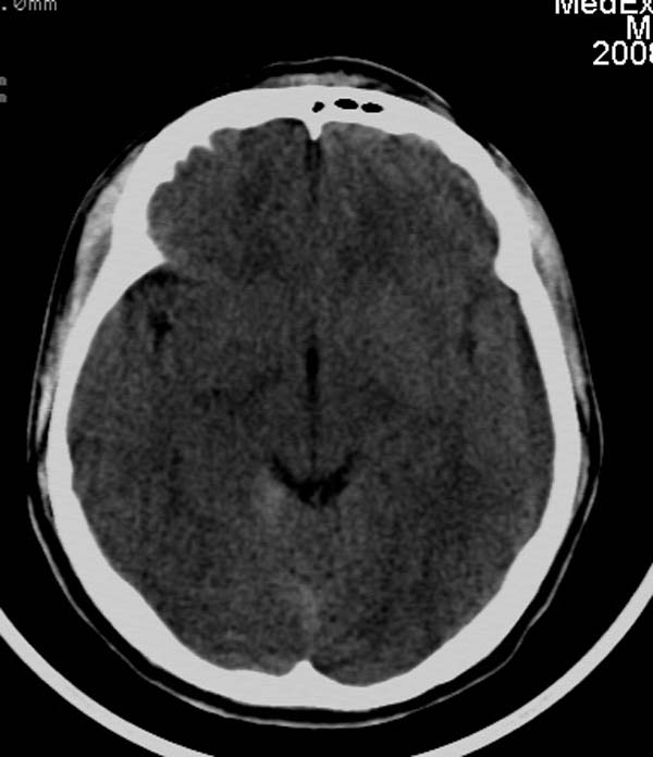
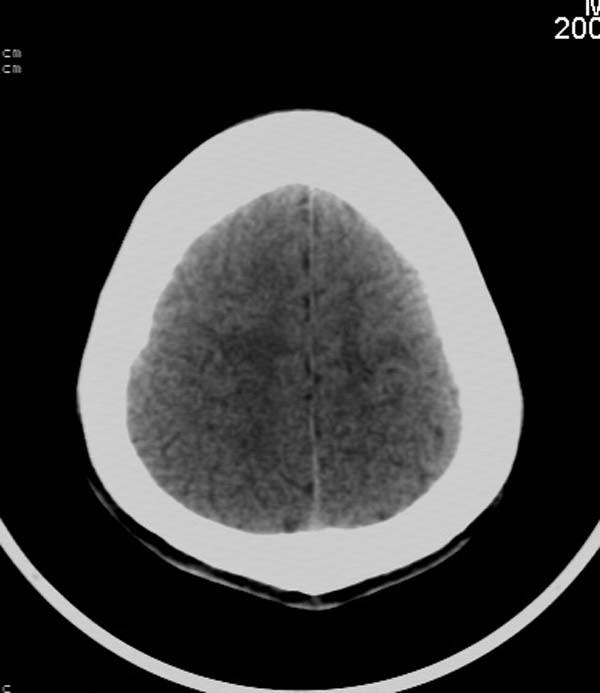
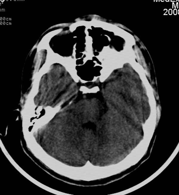
患者,男,24岁。头面部外伤后意识障碍1小时。












[本贴已被 jiajie 于 2008-4-28 12:53:59 修改过]

作者: hhcckk    时间: 2008-4-28 16:03
小脑幕缘密度增高,考虑有少量出血,建议复查
作者: 形影不离    时间: 2008-4-28 16:05
考虑右侧天幕缘少量蛛网膜下腔出血;建议:必要时复查。
作者: 孤家寡人    时间: 2008-4-28 16:26
好像有点出血,太黑,复查
作者: zjzjr    时间: 2008-4-28 17:04
支持少量蛛网膜下腔出血,建议复查.
作者: 随光逐影    时间: 2008-4-28 17:17
1)考虑少量蛛网膜下腔出血;建议:必要时复查。2)桥前池及左侧环池表皮样囊肿可能。建议:行mri检查。
作者: qiushi    时间: 2008-4-28 17:41
1)考虑蛛网膜下腔出血;建议:复查。2)桥前池及左侧环池表皮样囊肿可能。建议:行mri检查。
作者: LIAOQIANG    时间: 2008-4-28 17:47
考虑右侧天幕缘区域少量蛛网膜下腔出血。
作者: 杀毒软件    时间: 2008-4-28 17:47
支持少量蛛网膜下腔出血
作者: muzi888    时间: 2008-4-28 17:49
支持少量蛛网膜下腔出血,建议复查.
作者: 王仕学    时间: 2008-4-28 18:00
支持少量蛛网膜下腔出血,建议复查.
作者: dyqct    时间: 2008-4-28 18:05
标题: 回复:原创头颅ct平扫,昨晚值班时遇到的病人。骨窗未见
以下是引用zjzjr在2008-4-28 9:04:00的发言:[br]支持少量蛛网膜下腔出血,建议复查.

作者: dr.yang    时间: 2008-4-28 18:31
标题: 回复:原创头颅ct平扫,昨晚值班时遇到的病人。骨窗未见
以下是引用hhcckk在2008-4-28 8:03:00的发言:[br]小脑幕缘密度增高,考虑有少量出血,建议复查

作者: 宇宙CT    时间: 2008-4-28 18:49
考虑右侧天幕缘少量蛛网膜下腔出血;建议:必要时复查。
作者: 深泽交通    时间: 2008-4-28 18:51
zhi chi 2
作者: qiuleiyu    时间: 2008-4-28 18:53
当ct表现不明显,临床症状相当明显时,建议mri+dwi序列除外弥漫性轴索损伤之可能。
作者: xuhuihong    时间: 2008-4-28 19:03
支持少量蛛网膜下腔出血,建议复查.
作者: yy杨洋    时间: 2008-4-28 19:10
支持少量蛛网膜下腔出血,建议复查.
作者: ping2    时间: 2008-4-28 19:51
sah,短期复查。
作者: 37度    时间: 2008-4-28 20:13
报正常吧,短期复查
作者: 论黑辩白    时间: 2008-4-28 21:20
支持少量蛛网膜下腔出血,建议复查。
作者: hanlongjiang    时间: 2008-4-28 21:22
一侧密度增高,是否考虑为硬膜下血肿,前额血肿真好对冲伤,桥小脑脚增宽建议进一步检查
作者: zheng27    时间: 2008-4-28 21:25
蛛网膜下腔出血,没问题
作者: 曹玉杰    时间: 2008-4-28 21:44
蛛网膜下腔出血,太黑
作者: jiangjing    时间: 2008-4-28 23:24
图像看不清楚,不能妄下诊断
作者: yangyudong333    时间: 2008-4-29 01:40
支持少量蛛网膜下腔出血,建议复查.
作者: zhw974247    时间: 2008-4-29 01:45
支持少量蛛网膜下腔出血,建议复查.
作者: 拾荒者    时间: 2008-4-29 21:45
支持少量蛛网膜下腔出血,建议复查。
作者: jinguoji    时间: 2008-4-30 01:30
支持少量蛛网膜下腔出血,建议复查.




欢迎光临 医影在线 (http://bbs.radida.com/bbs/) Powered by Discuz! X3.2