










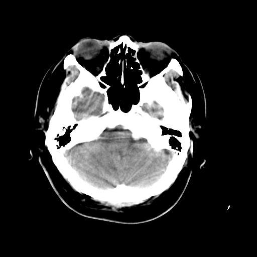
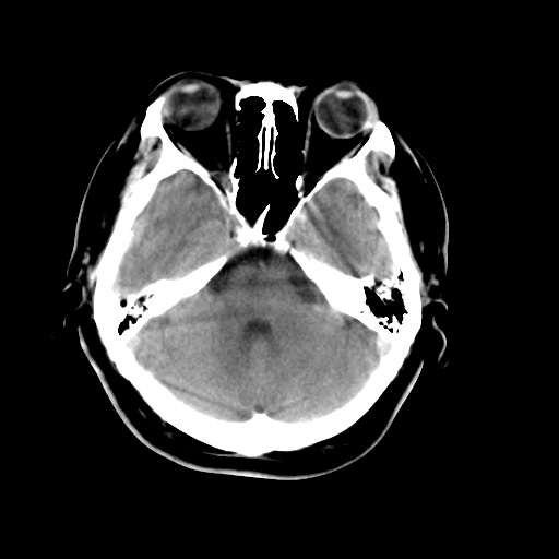
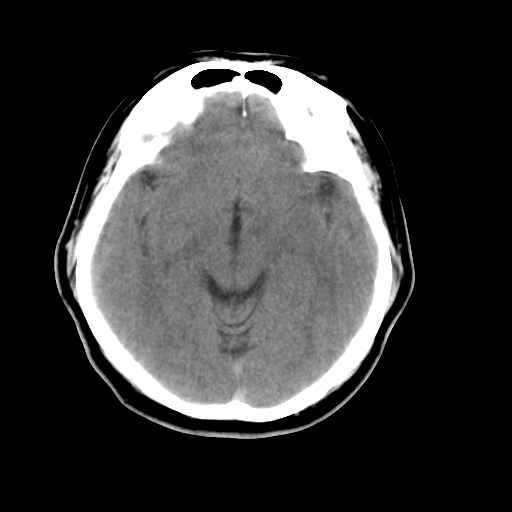
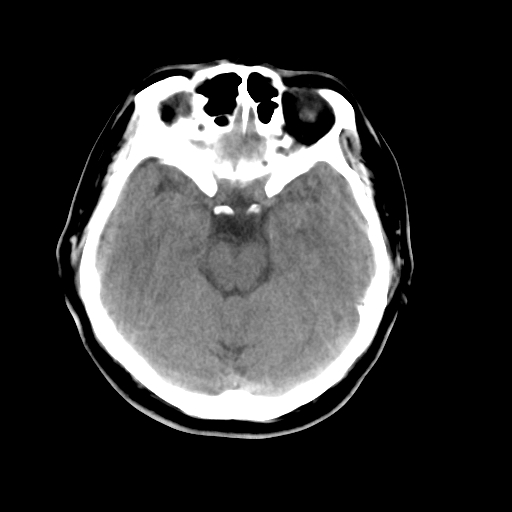
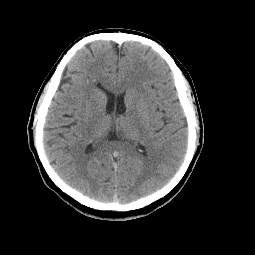
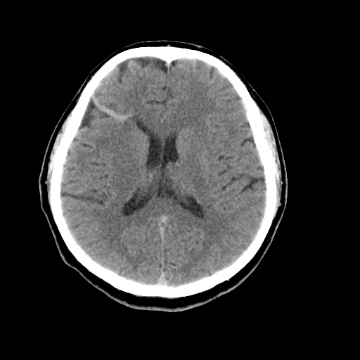
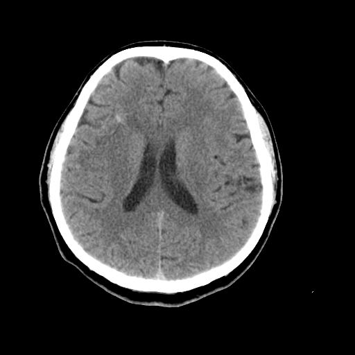
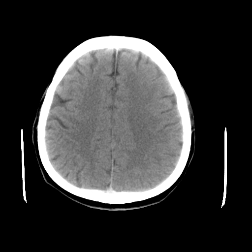
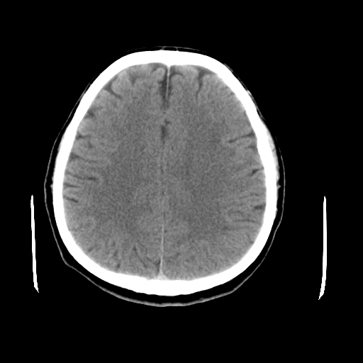
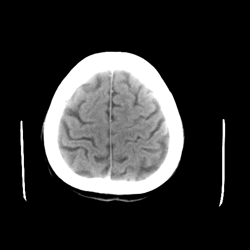
以下是引用liuyue在2008-4-28 13:34:00的发言:[br]右额叶条状高密度影,边缘清楚,周围未见水肿及占位.[br]考虑:血管畸形可能性大.[br]建议:强化ct扫描或mri检查.除外脑回钙化.
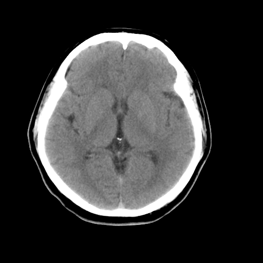
以下是引用论黑辩白在2008-4-28 12:53:00的发言:[br]右额叶局限性脑萎缩,右额叶见条状高密度影,建议mri进一步检查。[br][br][本贴已被 论黑辩白 于 2008-4-28 13:08:16 修改过]
以下是引用liuyue在2008-4-28 13:34:00的发言:[br]右额叶条状高密度影,边缘清楚,周围未见水肿及占位.[br]考虑:血管畸形可能性大.[br]建议:强化ct扫描或mri检查.除外脑回钙化.
| 欢迎光临 医影在线 (http://bbs.radida.com/bbs/) | Powered by Discuz! X3.2 |