医影在线

标题: CT13121:女,54岁。乳腺癌术后8年。 [打印本页]

作者: sxlcbc    时间: 2008-4-28 21:04
标题: CT13121:女,54岁。乳腺癌术后8年。
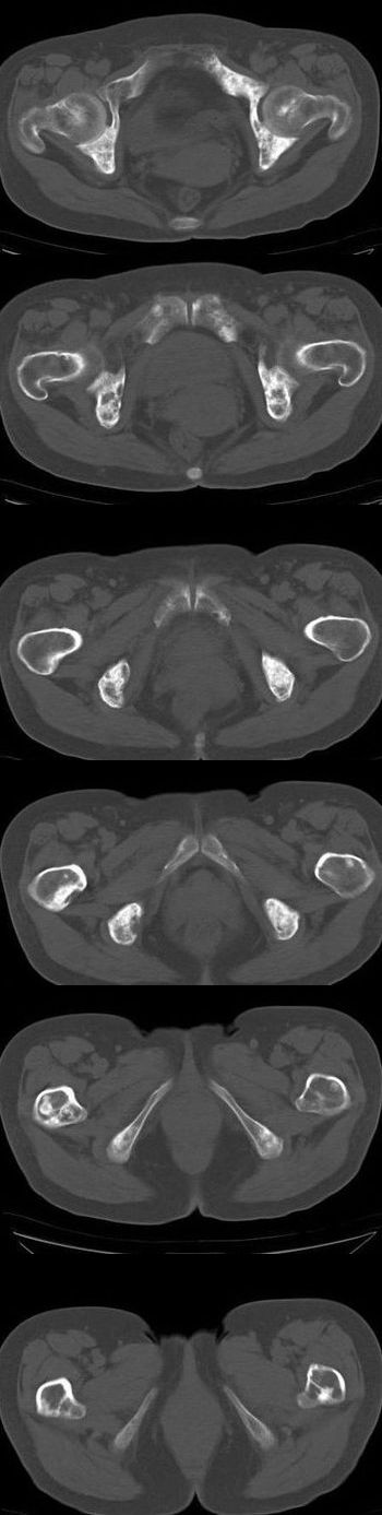
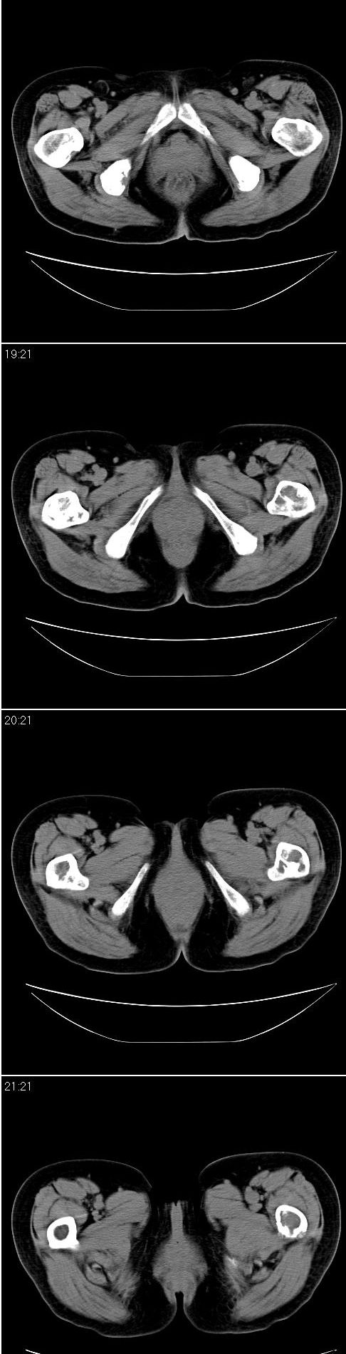
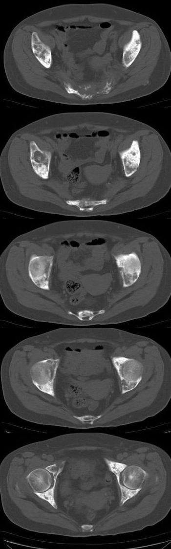
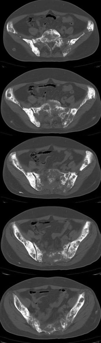
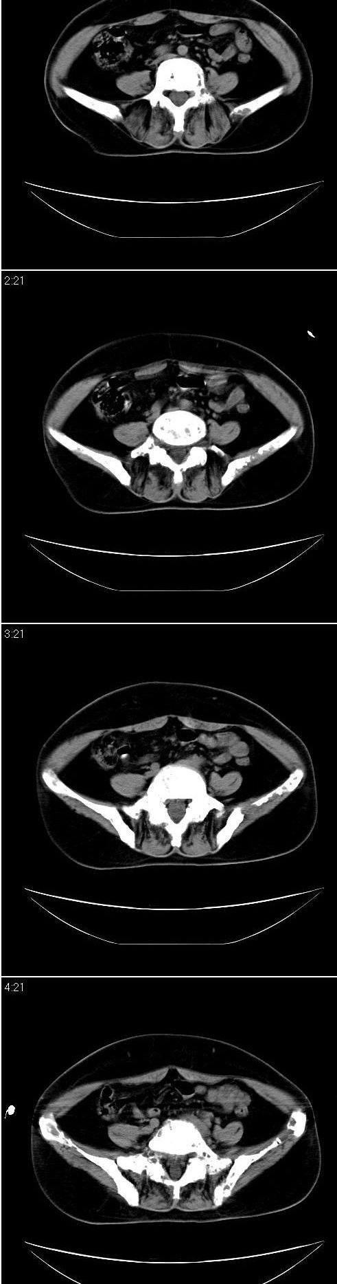
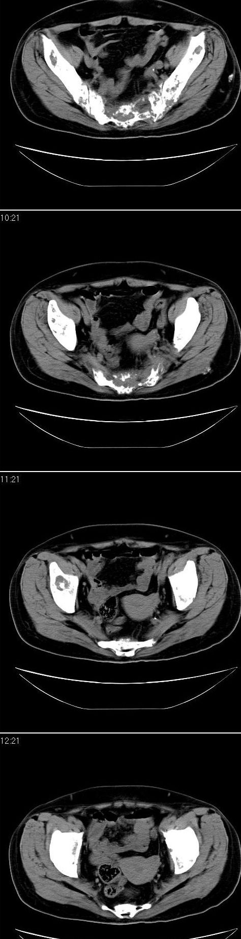
女,54岁。乳腺癌术后8年。现感觉左腿酸困不适,并向下放散。左腿僵硬,不由自主。











[本贴已被 jiajie 于 2008-4-28 13:10:31 修改过]

作者: 杀毒软件    时间: 2008-4-28 21:06
典型,谢谢分享
作者: tao772    时间: 2008-4-28 21:11
典型溶骨型转移瘤。
作者: liuyue    时间: 2008-4-28 21:18
骨盆及腰椎多发性溶骨性转移瘤.
学习了,谢谢楼主.
作者: XIANXIANZHONGYI    时间: 2008-4-28 21:28
典型,
作者: xuhuihong    时间: 2008-4-28 21:45
成骨及融骨转移。
作者: 有风的日子    时间: 2008-4-28 22:50
结合病史考虑乳腺癌术后多骨骨转移。
患者臀部皮下脂肪、筋膜、臀大肌处多个小结节、钙化影,看来挨了不少肌肉注射的苦头
楼主这此上传的图像质量明显改善,一定是用了宁静的那把剑(xipoid)做出来的吧!另外是不是也鸟枪换炮了?
作者: zjzjr    时间: 2008-4-28 22:52
典型溶骨型转移瘤。
作者: jiangjing    时间: 2008-4-28 23:08
支持 骨转移瘤---混合型以溶骨为主
作者: dyqct    时间: 2008-4-28 23:29
典型溶骨型转移瘤。没有救了。
作者: 深泽交通    时间: 2008-4-28 23:34
多发性骨转移
作者: zhangkai    时间: 2008-4-28 23:38
支持多发性骨转移。
作者: 宇宙CT    时间: 2008-4-28 23:38
典型溶骨型转移瘤
作者: sxlcbc    时间: 2008-4-29 00:48
外院认为骨髓瘤,绝对没有这个可能吧?
作者: yangyudong333    时间: 2008-4-29 01:09
结合病史骨髓瘤是不可能的,明显转移瘤一扫光的征像
作者: 拾荒者    时间: 2008-4-30 03:30
结合临床考虑多骨多灶性溶、成骨性转移。




欢迎光临 医影在线 (http://bbs.radida.com/bbs/) Powered by Discuz! X3.2