医影在线

标题: CT13127:请各位老师指教 [打印本页]

作者: 秋枫    时间: 2008-4-28 22:30
标题: CT13127:请各位老师指教
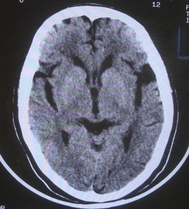
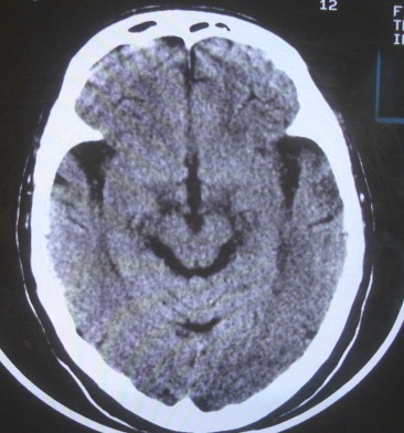
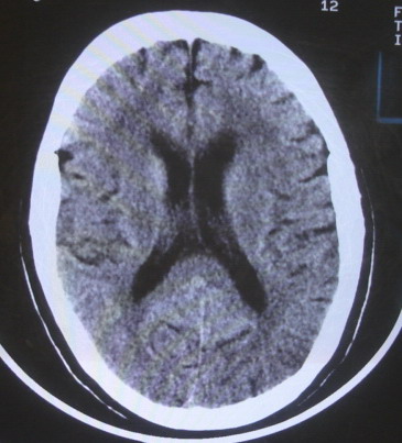
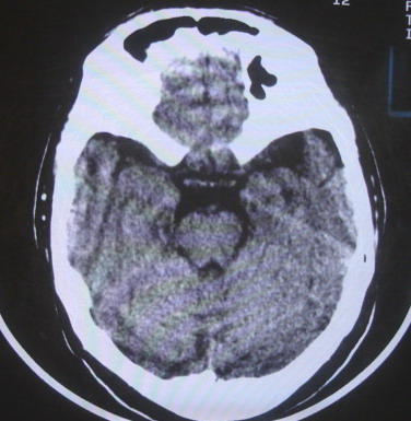
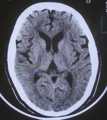
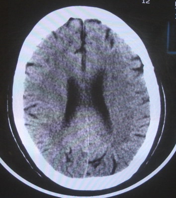
女  67岁 双下肢无力,行动不灵便












[本贴已被 jiajie 于 2008-4-28 19:28:03 修改过]

作者: tfq6909    时间: 2008-4-28 22:46
老年脑
作者: zjzjr    时间: 2008-4-28 22:54
脑萎缩,腔隙性脑梗塞.
作者: dyqct    时间: 2008-4-28 23:03
支持老年脑改变。
作者: 深泽交通    时间: 2008-4-28 23:16
脑白质病;脑委
作者: 宇宙CT    时间: 2008-4-28 23:46
支持老年脑改变。
作者: yangyudong333    时间: 2008-4-29 00:51
右顶叶腔梗
作者: jiangjing    时间: 2008-4-29 01:06
zhichi  老年脑
作者: 有风的日子    时间: 2008-4-29 01:40
双侧额桥束及左侧脑室旁多发腔梗塞+老年性脑改变
作者: zhw974247    时间: 2008-4-29 01:43
多发腔梗、老年性脑改变、脑白质异常。
作者: 拾荒者    时间: 2008-4-30 04:01
支持老年脑改变。




欢迎光临 医影在线 (http://bbs.radida.com/bbs/) Powered by Discuz! X3.2