医影在线

标题: CT13124:女,36岁,常短暂性意识丧失。 [打印本页]

作者: zhw974247    时间: 2008-4-28 23:24
标题: CT13124:女,36岁,常短暂性意识丧失。
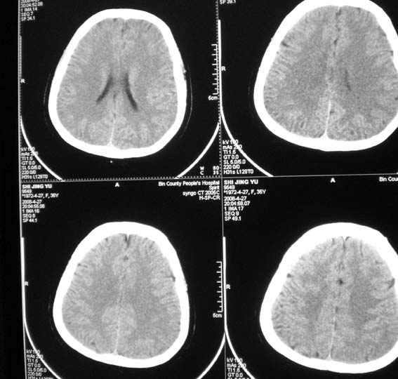
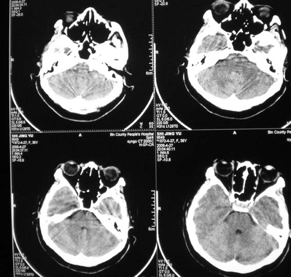
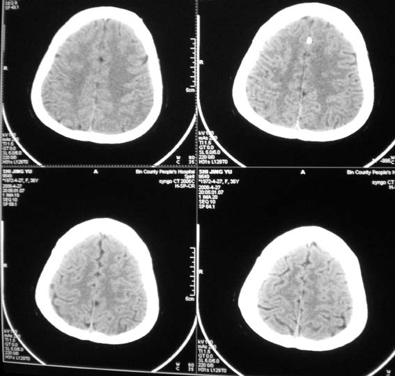
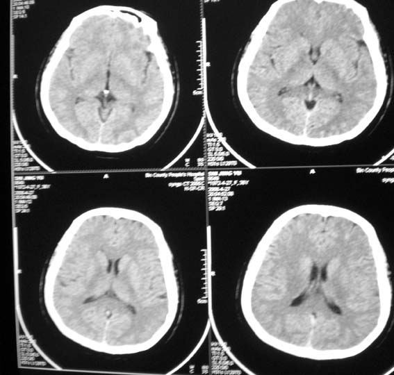
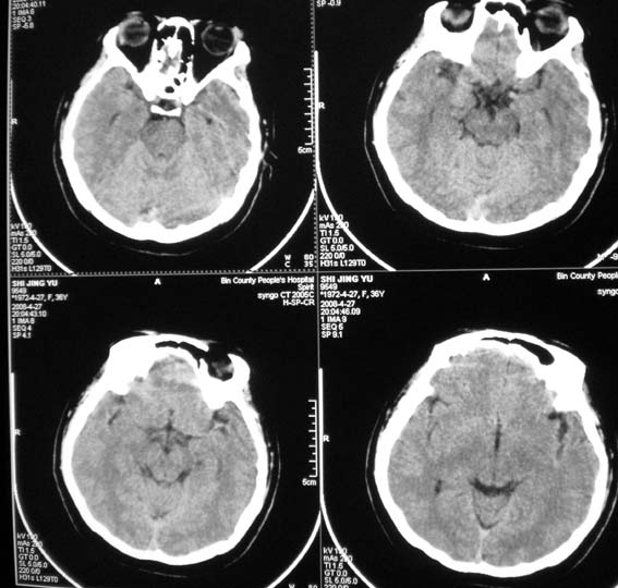
女,36岁,常短暂性意识丧失。




作者: dyqct    时间: 2008-4-28 23:49
颅脑ct平扫未见明显异常。
作者: LIAOQIANG    时间: 2008-4-28 23:55
颅脑ct平扫未见明显异常。
作者: 宇宙CT    时间: 2008-4-29 00:18
颅脑ct平扫未见明显异常。
作者: jiangjing    时间: 2008-4-29 00:54
颅脑ct平扫未见明显异常。
作者: yangyudong333    时间: 2008-4-29 00:58
颅脑ct平扫未见明显异常。
作者: 有风的日子    时间: 2008-4-29 01:20
右顶部放射冠部白质内异常灰质团块影 考虑灰质移位症可能
患者短暂性意识丧失考虑为癫痫小发作
另外要注意患者ecg或holter检查,以除外心源性晕厥可能
作者: 前行    时间: 2008-4-29 02:08
鞍上池右侧旁脑质内见团块稍高密度影,建议mr检查。
作者: jinguoji    时间: 2008-4-29 07:33
颅脑ct平扫未见明显异常。
作者: qc80012345    时间: 2008-4-29 13:42
平扫未见明显异常;增强。
作者: zsl6918    时间: 2008-4-29 20:33
请问楼主的疑问在哪?
作者: 拾荒者    时间: 2008-4-30 03:44
颅脑ct平扫未见异常。
作者: ping2    时间: 2008-4-30 03:54
颅脑ct平扫未见明显异常。




欢迎光临 医影在线 (http://bbs.radida.com/bbs/) Powered by Discuz! X3.2