医影在线

标题: CT13125:腰痛多年,坐久后,起身疼痛难忍。 [打印本页]

作者: zhw974247    时间: 2008-4-28 23:27
标题: CT13125:腰痛多年,坐久后,起身疼痛难忍。
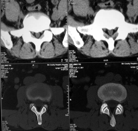
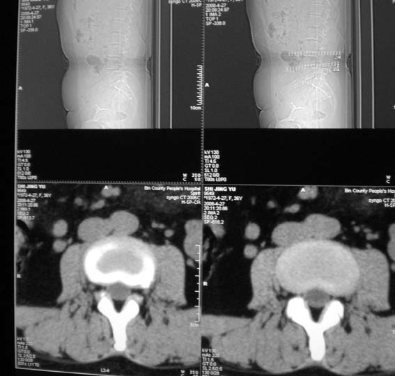
女,36岁,腰痛多年,坐久后,起身疼痛难忍。




作者: dyqct    时间: 2008-4-28 23:53
考虑:1、腰5-骶1椎间盘突出(右旁中央型)。
      2、腰5椎体下终板平面后缘后纵韧带钙化。
作者: LIAOQIANG    时间: 2008-4-29 00:05
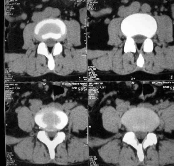
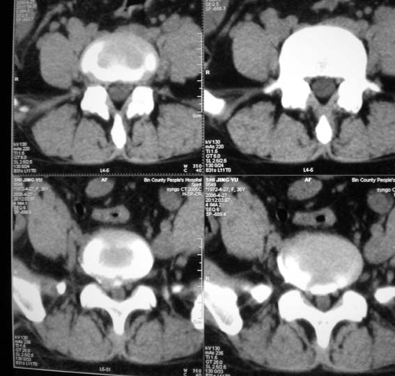
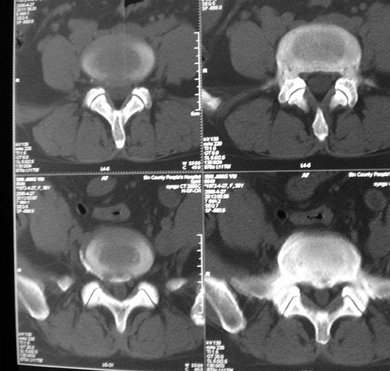
腰4/5椎间盘轻度膨出,腰5/骶1椎间盘突出(右旁中央型)伴局部椎间盘钙化。
作者: 宇宙CT    时间: 2008-4-29 00:20
腰4/5椎间盘轻度膨出,腰5/骶1椎间盘突出(右旁中央型)伴局部椎间盘钙化。  
  后纵韧带钙化。
作者: jiangjing    时间: 2008-4-29 00:52
腰4/5椎间盘轻度膨出,腰5/骶1椎间盘突出(右旁中央型)伴局部椎间盘钙化。  
  后纵韧带钙化
作者: yangyudong333    时间: 2008-4-29 01:00
腰4/5椎间盘轻度膨出,腰5/骶1椎间盘突出(右旁中央型)伴局部椎间盘钙化。  
  后纵韧带钙化
作者: 72xiang.zi    时间: 2008-4-29 01:12
腰4/5椎间盘轻度膨出,腰5/骶1椎间盘突出(右旁中央型)伴局部椎间盘钙化。  
  后纵韧带钙化
作者: 有风的日子    时间: 2008-4-29 01:12
标题: 回复:ct13125:腰痛多年,坐久后,起身疼痛难忍。
腰4/5椎间盘轻度突出(中央型),腰5/骶1椎间盘突出(右外侧型)伴相应层面椎旁小关节退行性病变

i remember :椎间盘突出分型为:中央型、外侧型、远外侧型
作者: qiushi    时间: 2008-4-29 01:14
腰4~5椎间盘轻度膨出,腰5~骶1椎间盘突出(右侧型)伴局部椎间盘钙化。  
  后纵韧带钙化。
作者: 有风的日子    时间: 2008-4-29 01:14
忘了补充:l5/s1右侧神经根受压
作者: yy杨洋    时间: 2008-4-29 03:07
腰4/5椎间盘轻度膨出,腰5/骶1椎间盘突出(右旁中央型)伴局部椎间盘钙化
作者: wanghuiyellf    时间: 2008-4-29 03:20
腰4/5椎间盘轻度膨出,腰5/骶1椎间盘突出(右旁中央型)伴局部椎间盘钙化。  
  后纵韧带钙化
作者: qc80012345    时间: 2008-4-29 14:01
腰椎间盘突出伴椎管狭窄。
作者: zsl6918    时间: 2008-4-29 20:12
椎间盘突出,腰椎退变
作者: xn2ylwg    时间: 2008-4-29 21:10
腰4~5椎间盘膨出并突出,腰5~骶1椎间盘突出(右外侧型)伴局部椎间盘钙化。
作者: jinguoji    时间: 2008-4-30 03:44
腰4/5椎间盘轻度膨出,腰5/骶1椎间盘突出(右旁中央型)伴局部椎间盘钙化。
作者: 拾荒者    时间: 2008-4-30 03:48
腰椎间盘突出、钙化伴椎管狭窄。
作者: 黑白光影    时间: 2008-4-30 04:53
腰4/5椎间盘轻度膨出,腰5/骶1椎间盘突出(右旁中央型)伴局部椎间盘钙化、右侧n根受压。




欢迎光临 医影在线 (http://bbs.radida.com/bbs/) Powered by Discuz! X3.2