医影在线

标题: CT13126:腰痛,肾区痛。 [打印本页]

作者: zhw974247    时间: 2008-4-28 23:33
标题: CT13126:腰痛,肾区痛。
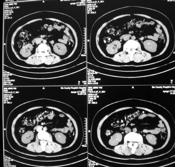
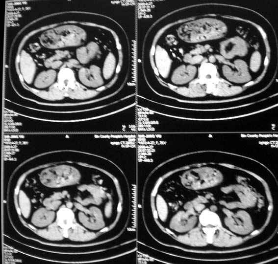
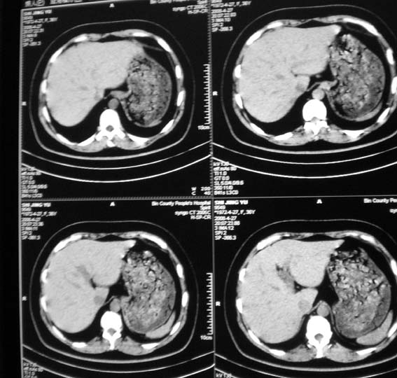
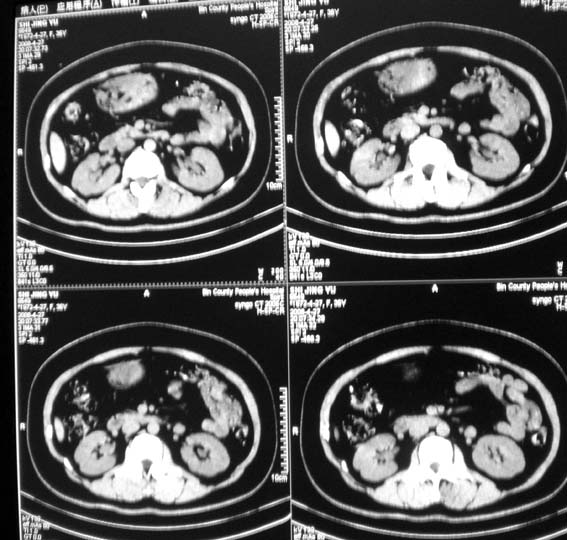
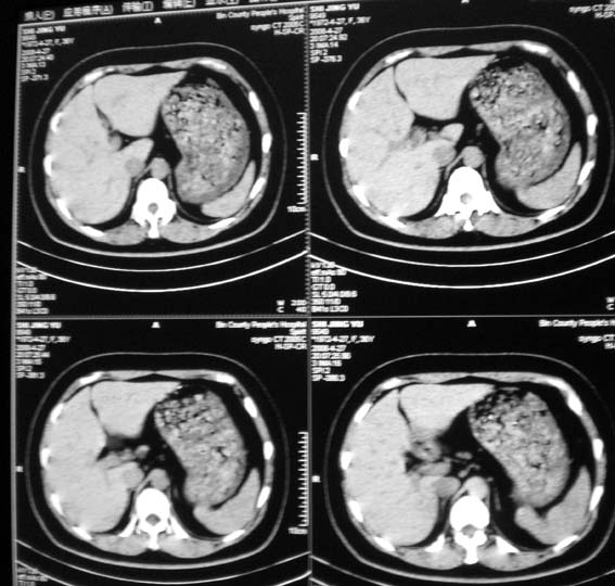
女,36岁,腰痛,肾区痛曾有肾囊肿史。







作者: 宇宙CT    时间: 2008-4-29 00:23
右肾有囊肿,余未件异常
作者: yangyudong333    时间: 2008-4-29 01:02
腹部未见明显异常
作者: 有风的日子    时间: 2008-4-29 01:06
not clear! retransport!
作者: qiushi    时间: 2008-4-29 01:13
腹部未见明显异常
作者: dyqct    时间: 2008-4-29 01:36
中上腹部ct平扫未见明显异常。
作者: 大漠孤雁    时间: 2008-4-29 01:39
未见异常.
作者: 前行    时间: 2008-4-29 02:05
髓质海绵肾?建议mr。
作者: xuhuihong    时间: 2008-4-29 03:19
中上腹部ct平扫未见明显异常。
作者: wanghuiyellf    时间: 2008-4-29 03:23
中上腹部ct平扫未见明显异常。
作者: qc80012345    时间: 2008-4-29 13:58
中上腹部ct平扫未见明显异常。
作者: zsl6918    时间: 2008-4-29 20:15
可行强化帮助检查
作者: 拾荒者    时间: 2008-4-30 03:51
上腹部平扫未见明显异常。
作者: jinguoji    时间: 2008-4-30 04:17
中上腹部ct平扫未见明显异常。




欢迎光临 医影在线 (http://bbs.radida.com/bbs/) Powered by Discuz! X3.2