医影在线

标题: CT13130:肺ca治疗后 [打印本页]

作者: maliang01    时间: 2008-4-29 00:23
标题: CT13130:肺ca治疗后
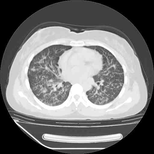
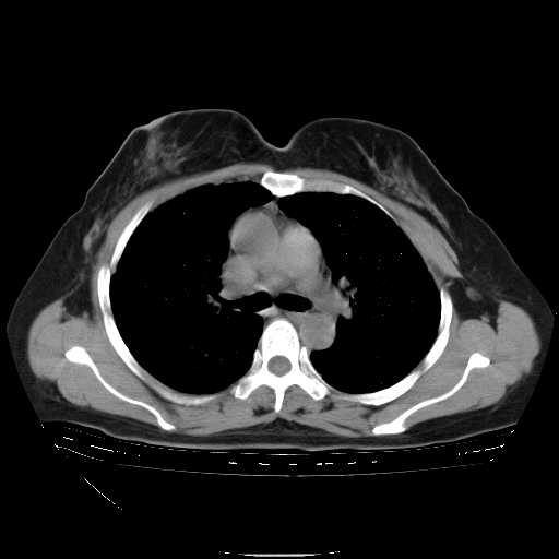
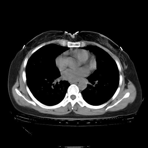
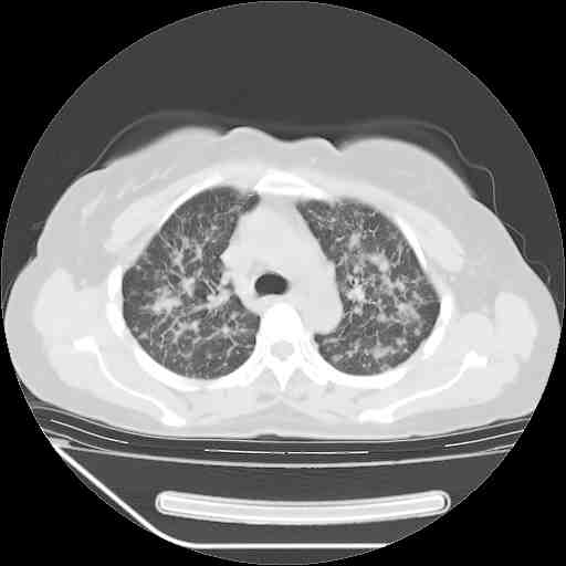
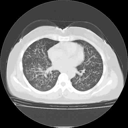
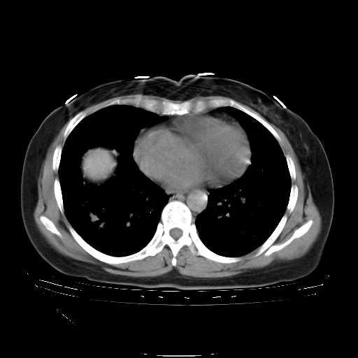
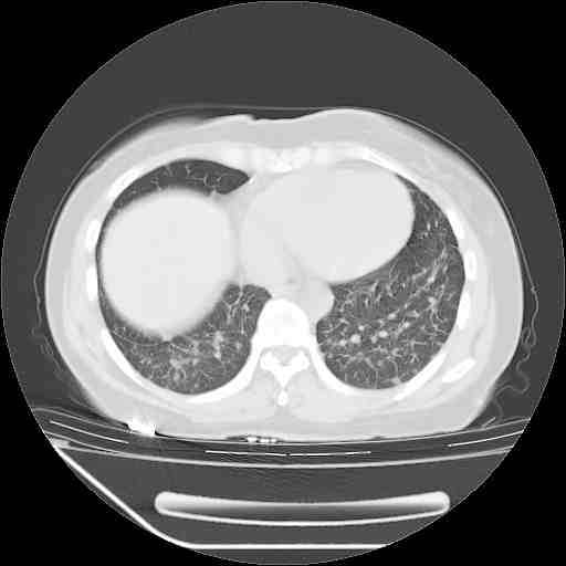
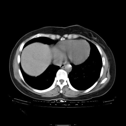
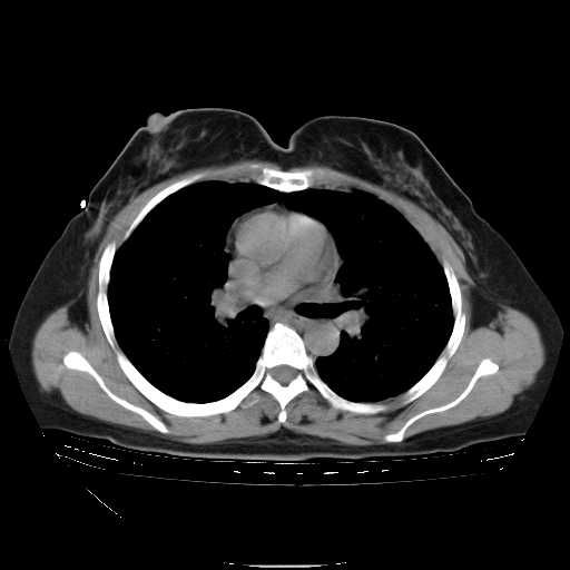
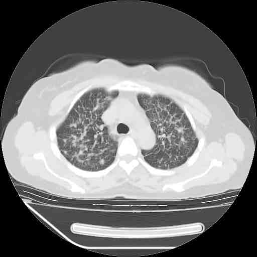
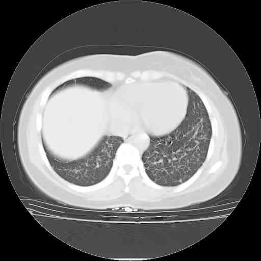
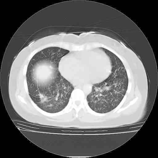
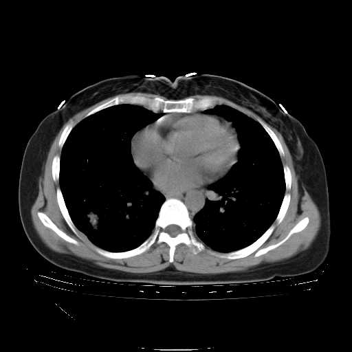
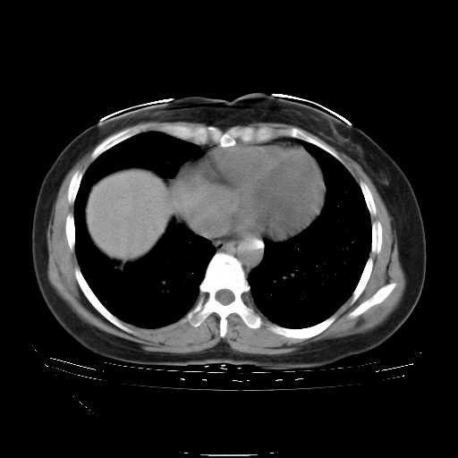
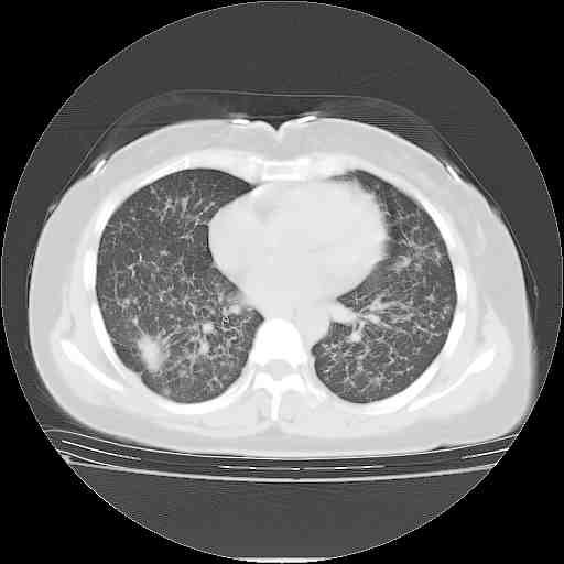
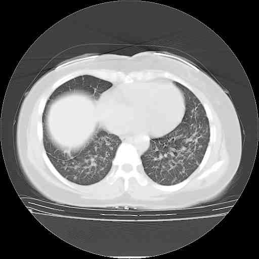
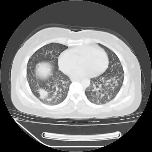
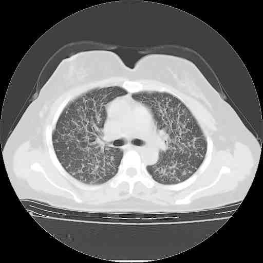
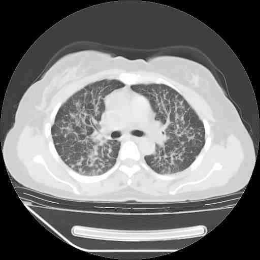
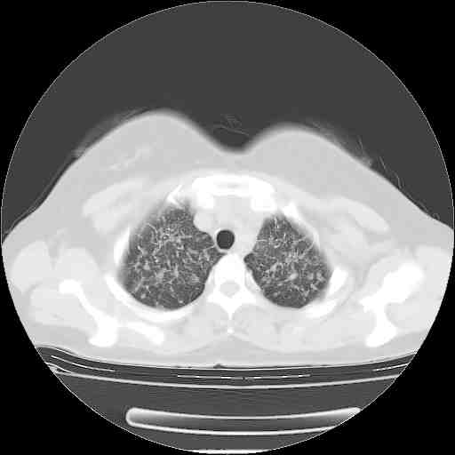
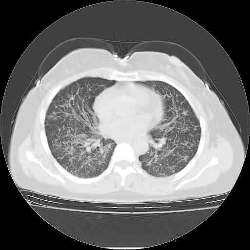
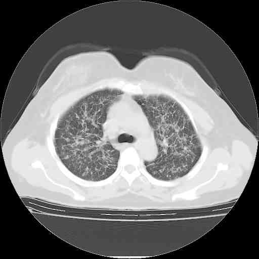
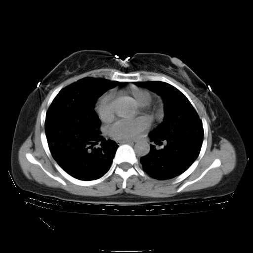
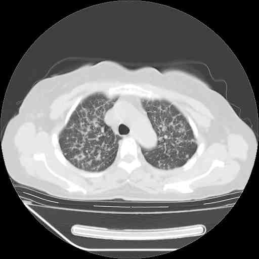
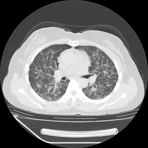
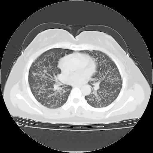
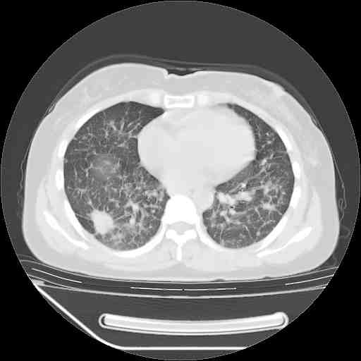
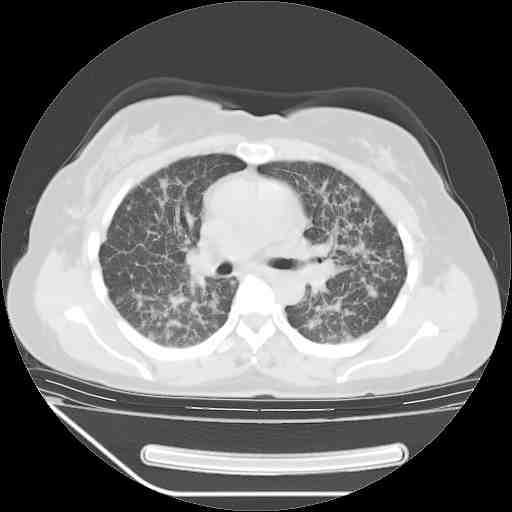
f50,肺ca治疗后,做过穿刺,确诊是肺ca,大家看看这是去年12月做的



















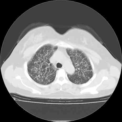
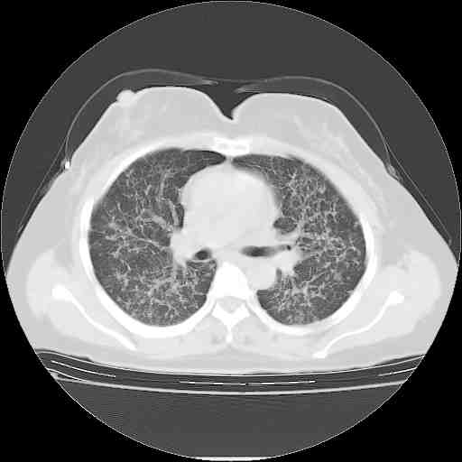
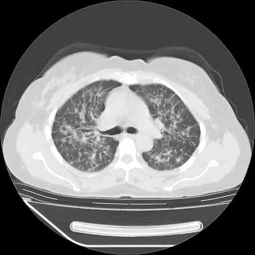
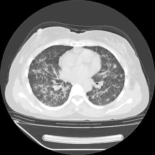
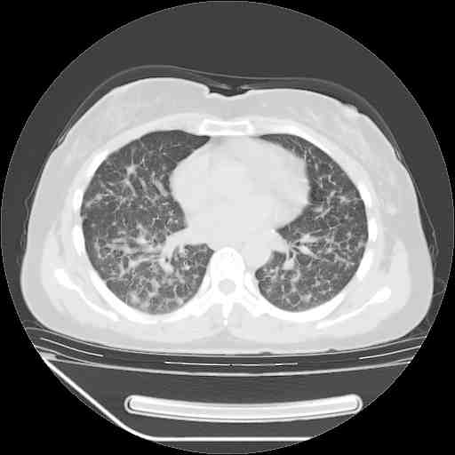
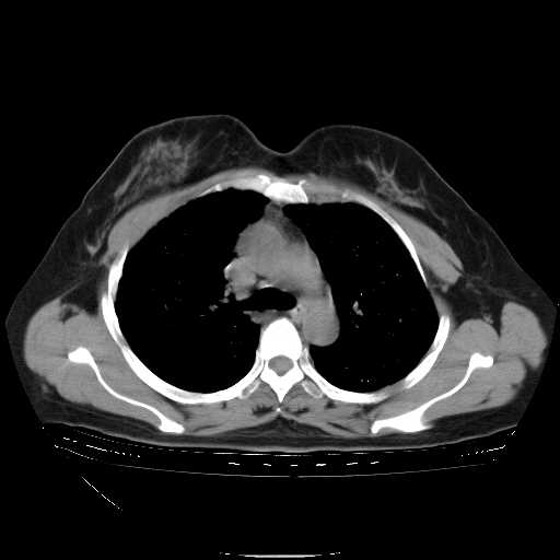
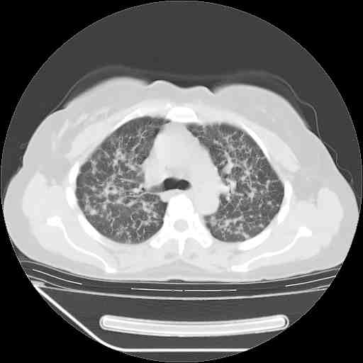
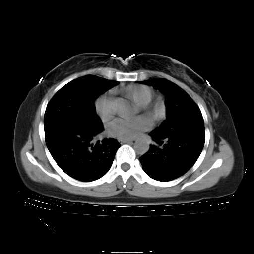
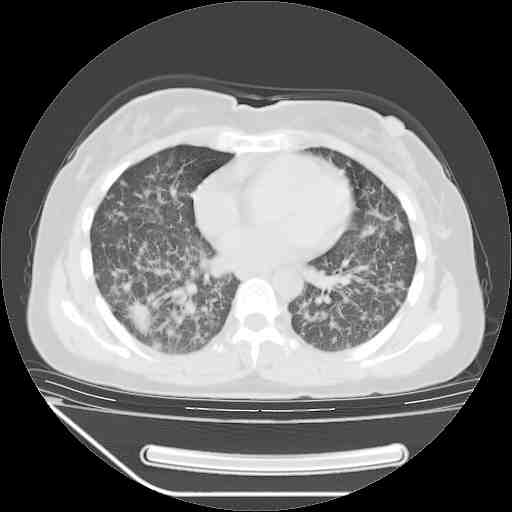
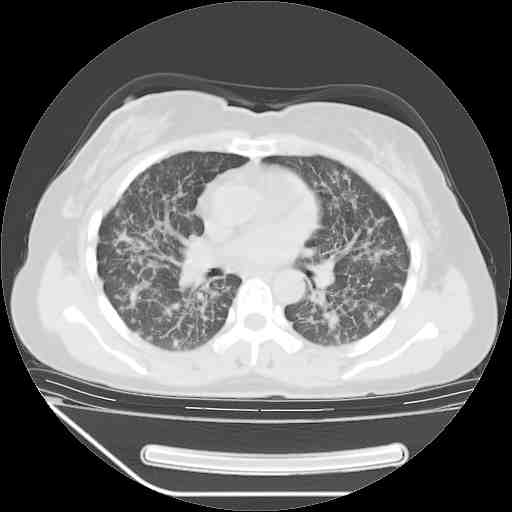
下面是今天刚刚做的,在上海治疗,吃了家属也说不清的一种药,一个月1万左右,





























[本贴已被 jiajie 于 2008-4-28 19:31:49 修改过]

作者: jiangjing    时间: 2008-4-29 00:47
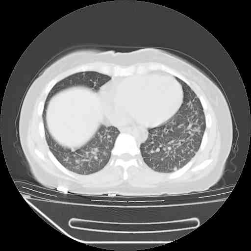
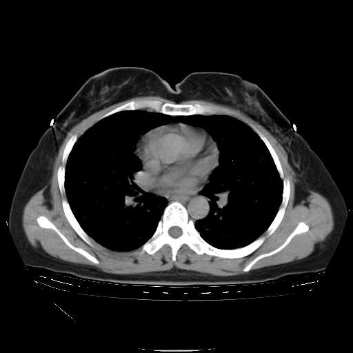
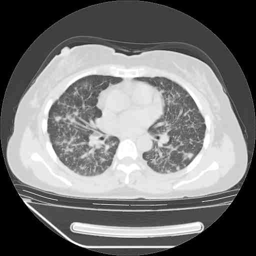
考虑  腺癌肺内转移,治疗较前病灶缩小、减少
作者: yangyudong333    时间: 2008-4-29 01:05
支持肺癌并肺内淋巴管转移,
作者: frzh    时间: 2008-4-29 01:11
肺癌并肺内转移,这种疾病治疗后在影像上看略有好转,不是很显著,但是肿瘤治疗效果影像只是一方面。
作者: qiushi    时间: 2008-4-29 01:11
支持肺癌并肺内淋巴管炎,  原发灶小了,但转移较前片明显了.
作者: hellen    时间: 2008-4-29 01:26
支气管血管束粗而乱,考虑肺癌肺内淋巴管转移,右侧乳房第一二层软组织成份较左侧多,不会有问题吧?
作者: 大漠孤雁    时间: 2008-4-29 01:37
效果还可以.
作者: dyqct    时间: 2008-4-29 01:38
支持右肺下叶周围型肺癌并肺内淋巴管炎,  原发灶小了,但转移较前片明显了.。
作者: 有风的日子    时间: 2008-4-29 01:43
标准的细支气管肺泡癌呀!治疗后病情有所控制,也没治愈的迹象!
作者: 前行    时间: 2008-4-29 02:02
神奇
作者: xuhuihong    时间: 2008-4-29 03:22
支持右肺下叶周围型肺癌并肺内淋巴管炎,  原发灶小了,但转移较前片明显了.。
作者: yy杨洋    时间: 2008-4-29 03:34
支持肺癌并肺内淋巴管炎,  原发灶小了,但转移较前片明显了.
作者: qc80012345    时间: 2008-4-29 13:55
支持右肺下叶周围型肺癌并肺内淋巴管炎;病灶有所控制。
作者: zsl6918    时间: 2008-4-29 20:20
标准的癌性淋巴管炎!!距大去之日不远已.
作者: jinguoji    时间: 2008-4-30 04:01
支持右肺下叶周围型肺癌并肺内淋巴管炎,  原发灶小了,但转移较前片明显了.
作者: zjzjr    时间: 2008-4-30 04:02
有点效果.
作者: 拾荒者    时间: 2008-4-30 04:18
应该是比较典型的细支气管炎,4个月的时间不说明问题;有时候疾病是有个相对稳定期的,如果喝10元一斤的茶叶估计也会这样。




欢迎光临 医影在线 (http://bbs.radida.com/bbs/) Powered by Discuz! X3.2