





























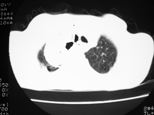
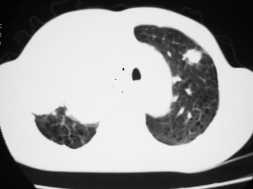
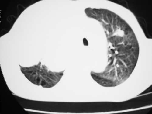
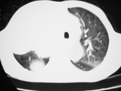
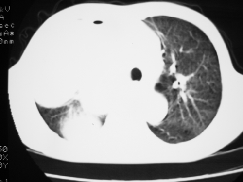
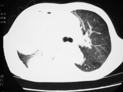
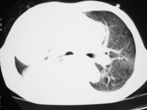
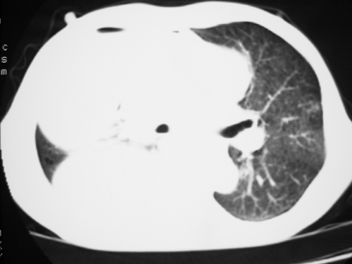
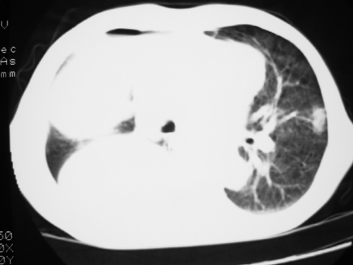
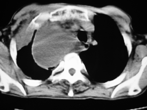
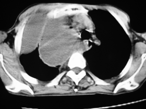
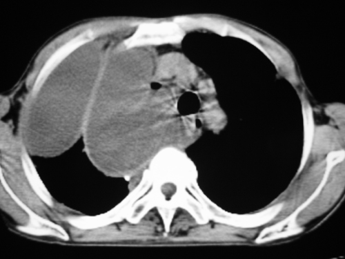
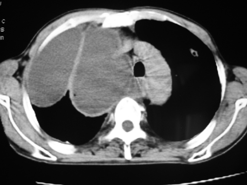
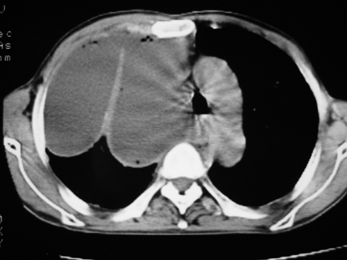
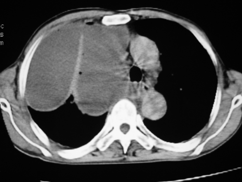
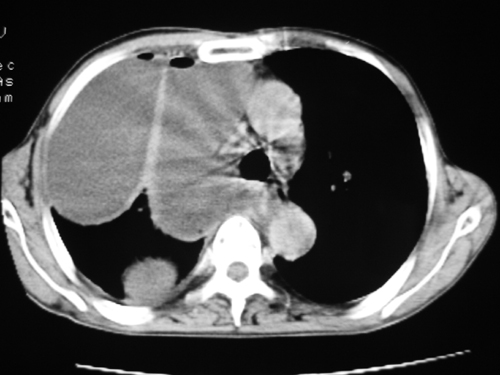
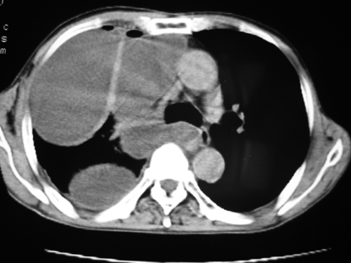
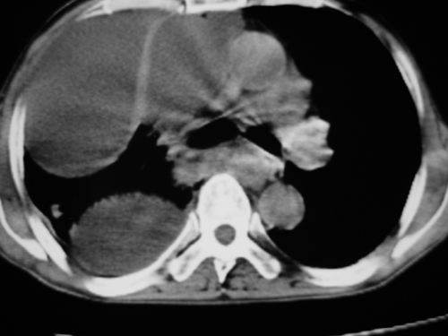
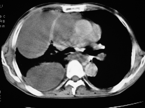
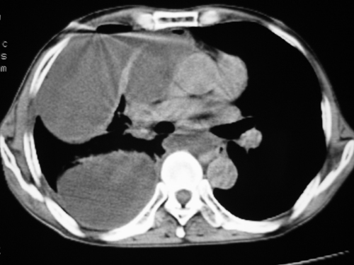
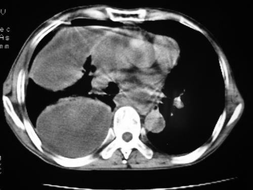
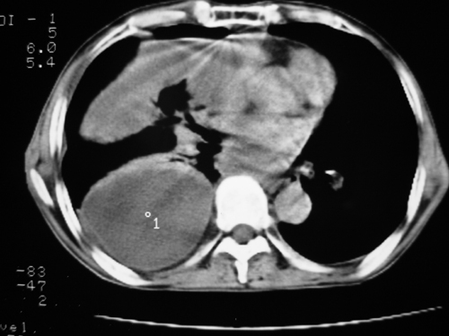
以下是引用yangyudong333在2008-4-29 5:46:00的发言:[br]1左上叶结节呈分叶状,边缘毛刺,考虑肺癌并纵隔淋巴结转移可能性大,结核待排,[br] [br]2右侧多发包裹性胸腔积液
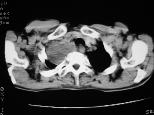
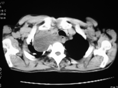
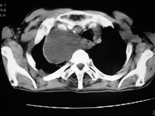
以下是引用zsl6918在2008-4-29 9:15:00的发言:[br]右侧包裹性积液穿刺术后改变,肺内多发结节不除外转移可能。建议查胸水,问病史。
以下是引用yangyudong333在2008-4-29 5:46:00的发言:[br]1左上叶结节呈分叶状,边缘毛刺,考虑肺癌并纵隔淋巴结转移可能性大,结核待排,[br] [br]2右侧多发包裹性胸腔积液
| 欢迎光临 医影在线 (http://bbs.radida.com/bbs/) | Powered by Discuz! X3.2 |