


































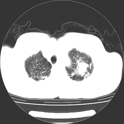
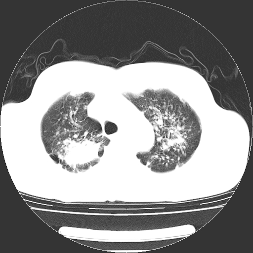
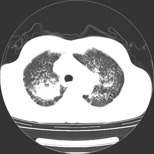
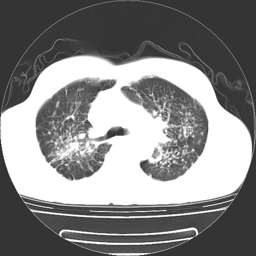
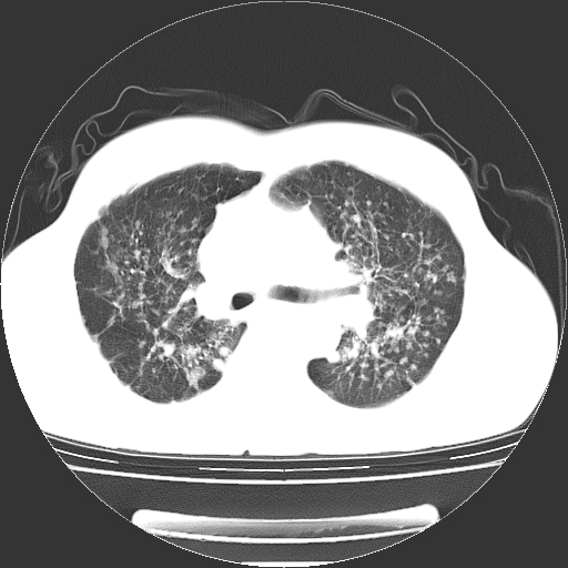
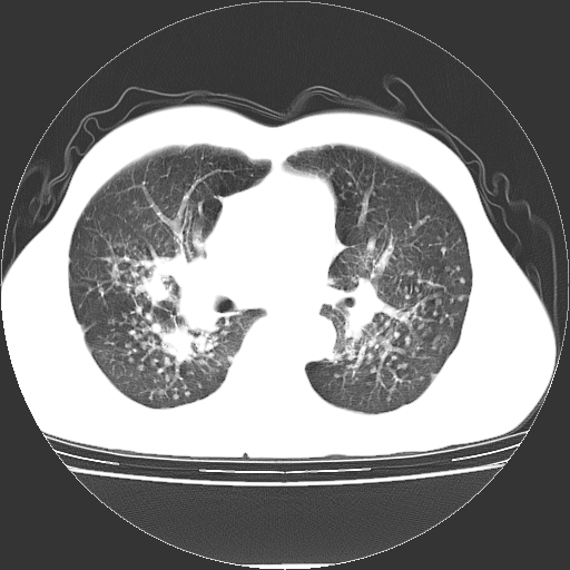
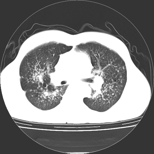
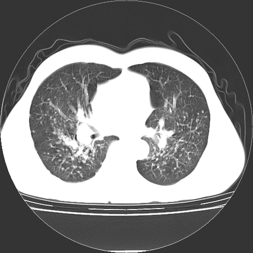
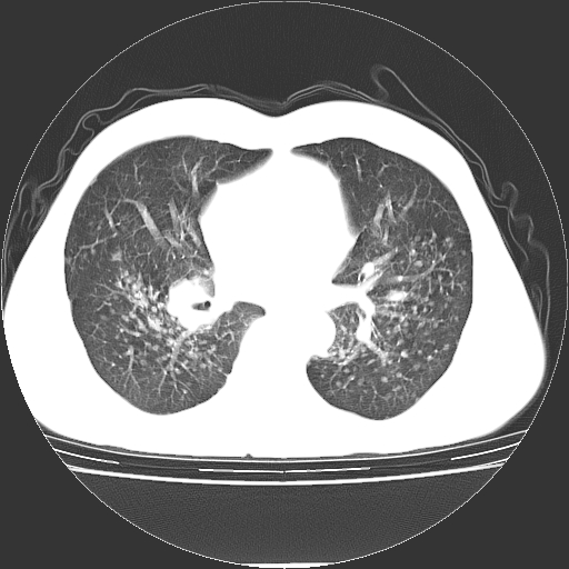
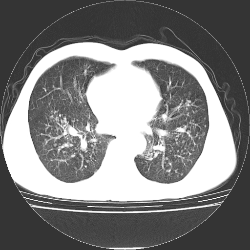
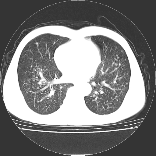
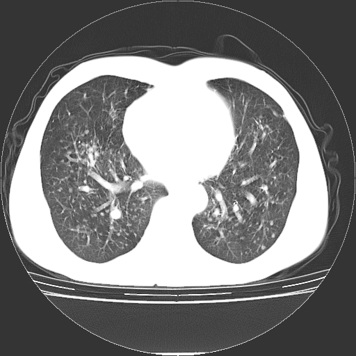
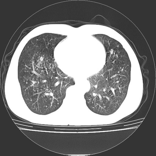
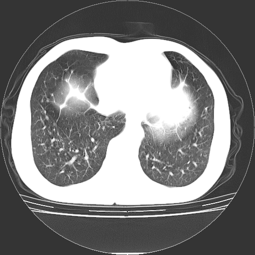
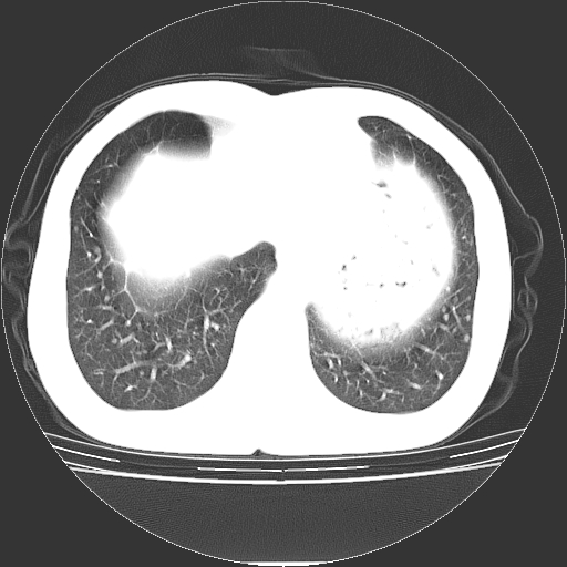
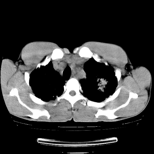
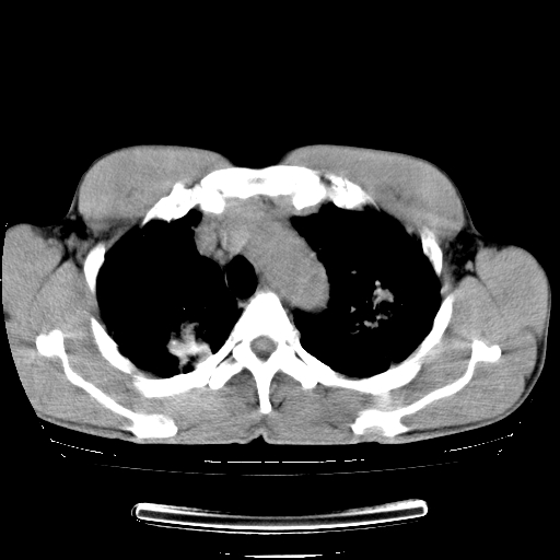
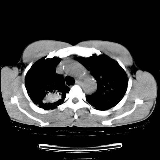
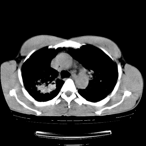
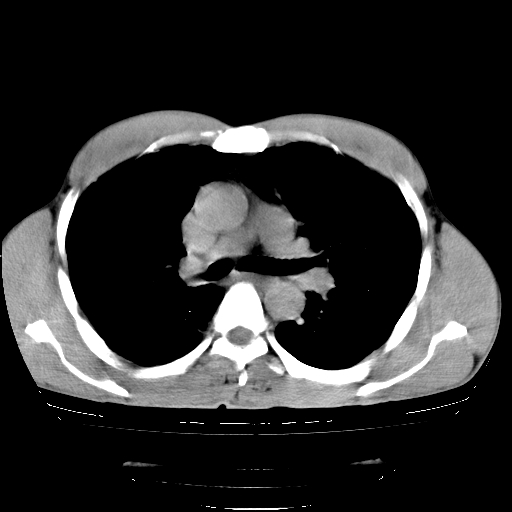
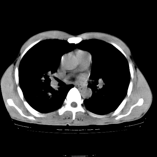
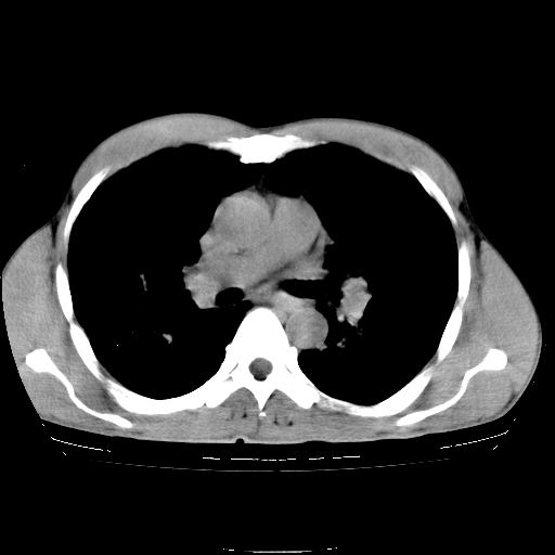
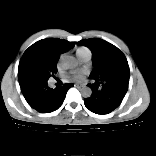
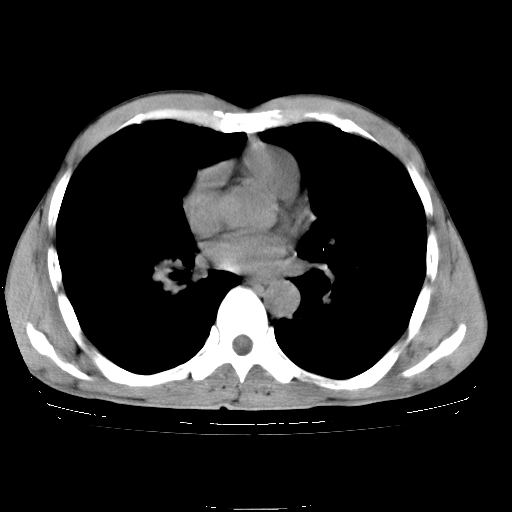
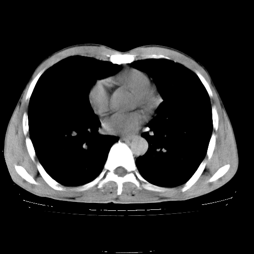
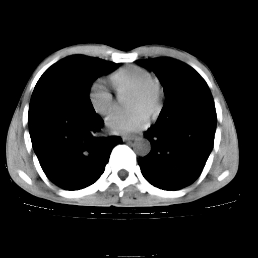
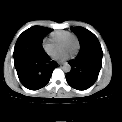
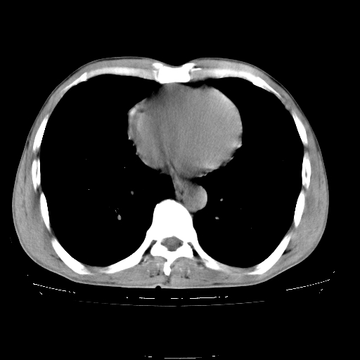
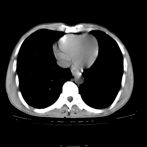
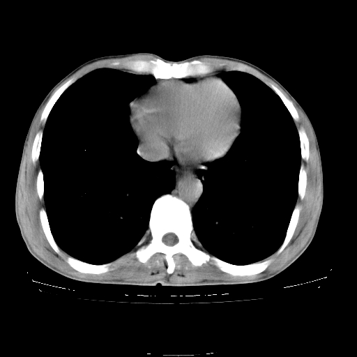
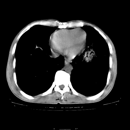
以下是引用yangyudong333在2008-4-29 5:38:00的发言:[br]比较典型的矽肺结节.支持[br]诊断依据:[br] 1.x线表现:[br] ①典型矽肺为多发直径 1~3mm 小结节,即矽结节,由胶原纤维和硅尘构成,可融合成团块,好发于上肺。[br] ②团块周围常有肺大泡。[br] ③胸内淋巴结增大、钙化。如肺门淋巴结呈蛋壳样钙化有助于与其他尘肺区别。[br] ④胸膜常广泛粘连、增厚。[br] 2.ct表现[br] ①两肺散在大小较为一致的小结节影,其密度较高,边界清楚。[br] ②小结节可融合为较大团块影,直径约 1cm ,甚至可达 10cm以上,易发生在上叶。[br] ③小结节周围常并有小叶中心气肿或弥漫性肺气肿。
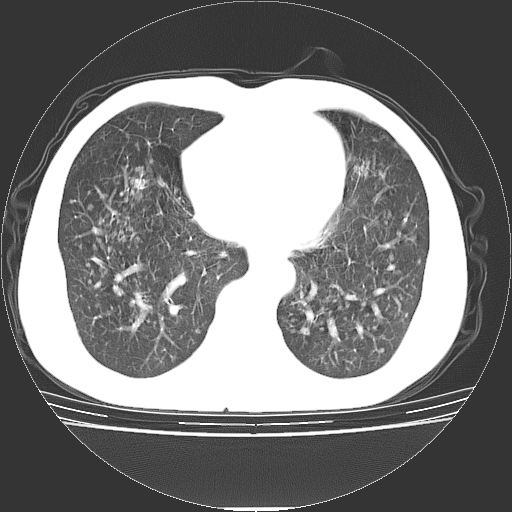
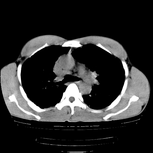
以下是引用liuyue在2008-4-28 22:30:00的发言:[br]比较典型的矽肺结节.[br]请结合临床及化验除外矽肺合并肺结核之可能.
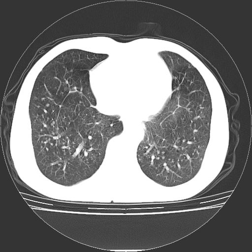
以下是引用liuyue在2008-4-28 22:30:00的发言:[br]比较典型的矽肺结节.[br]请结合临床及化验除外矽肺合并肺结核之可能.
| 欢迎光临 医影在线 (http://bbs.radida.com/bbs/) | Powered by Discuz! X3.2 |