医影在线

标题: CT13137:男,38岁,鼻塞、头痛2个月。 [打印本页]

作者: wpf    时间: 2008-4-29 05:52
标题: CT13137:男,38岁,鼻塞、头痛2个月。
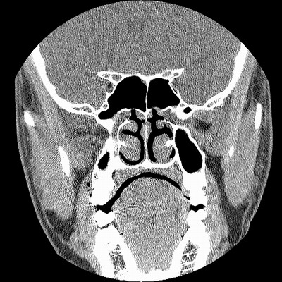
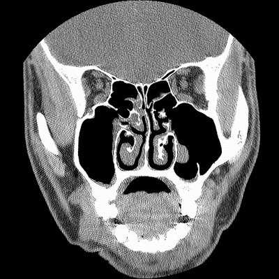
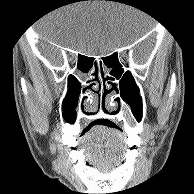
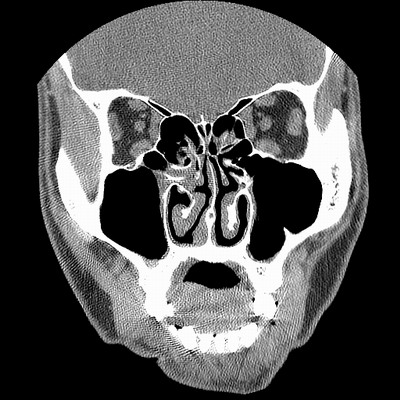
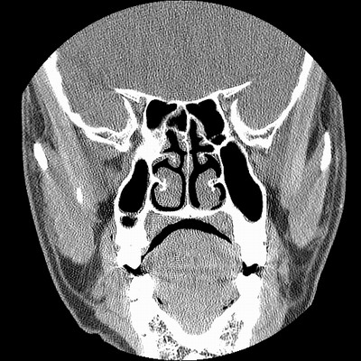
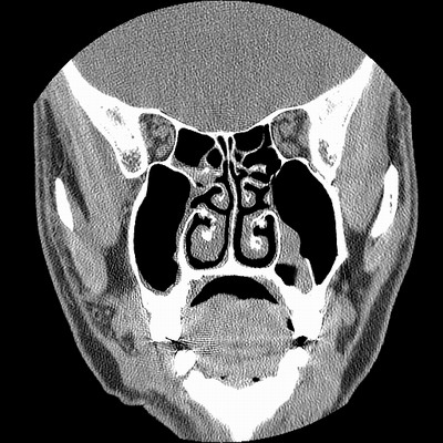
男,38岁,鼻塞、头痛2个月,要求鼻窦ct检查。














[本贴已被 jiajie 于 2008-4-29 6:04:42 修改过]

作者: 飘浮的影子    时间: 2008-4-29 06:10
右侧上颌窦、蝶窦、筛窦、额窦及左侧上颌窦慢性炎症。
作者: liuyue    时间: 2008-4-29 06:24
右侧鼻中隔左偏,右侧上颌窦、筛窦、额窦慢性炎性病变。右侧上颌窦开口粘膜增厚。
作者: 37度    时间: 2008-4-29 07:35
没看头
作者: qiaoyin    时间: 2008-4-29 08:55
鼻窦炎
作者: xuhuihong    时间: 2008-4-29 09:02
太常见了。
作者: yangyudong333    时间: 2008-4-29 13:12
右侧上颌窦、蝶窦、筛窦、额窦及左侧上颌窦慢性炎症。
作者: qc80012345    时间: 2008-4-29 13:18
右侧上颌窦、蝶窦、筛窦、额窦及左侧上颌窦慢性炎症。
作者: 宇宙CT    时间: 2008-4-29 16:35
右侧上颌窦、蝶窦、筛窦、额窦及左侧上颌窦慢性炎症。
作者: 深泽交通    时间: 2008-4-29 16:38
副鼻窦炎;双侧鼻甲肥大
作者: dyqct    时间: 2008-4-29 16:41
标题: 回复:ct13137:男,38岁,鼻塞、头痛2个月。
以下是引用飘浮的影子在2008-4-28 22:10:00的发言:[br]右侧上颌窦、蝶窦、筛窦、额窦及左侧上颌窦慢性炎症。

另有慢性鼻炎。
作者: zsl6918    时间: 2008-4-29 17:06
副鼻窦炎,鼻甲肥大。
作者: 杀毒软件    时间: 2008-4-29 17:26
副鼻窦炎;双侧鼻甲肥大
作者: 随光逐影    时间: 2008-4-30 03:07
1)副鼻窦炎。2)右侧中鼻道及总鼻道粘膜息肉样变。3)双侧中下鼻甲肥大。4)鼻中隔轻度左突偏曲。
作者: zjzjr    时间: 2008-4-30 03:53
副鼻窦炎;双侧鼻甲肥大
作者: 拾荒者    时间: 2008-4-30 04:59
副鼻窦炎;双侧鼻甲肥大。图像不错。
作者: 光影★小胖    时间: 2008-4-30 05:02
标题: 回复:ct13137:男,38岁,鼻塞、头痛2个月。
以下是引用随光逐影在2008-4-29 19:07:00的发言:[br]1)副鼻窦炎。2)右侧中鼻道及总鼻道粘膜息肉样变。3)双侧中下鼻甲肥大。4)鼻中隔轻度左突偏曲。

作者: wywly    时间: 2008-4-30 06:28
标题: 回复:ct13137:男,38岁,鼻塞、头痛2个月。
以下是引用光影★小胖在2008-4-29 21:02:00的发言:[br][quote]以下是引用随光逐影在2008-4-29 19:07:00的发言:[br]1)副鼻窦炎。2)右侧中鼻道及总鼻道粘膜息肉样变。3)双侧中下鼻甲肥大。4)鼻中隔轻度左突偏曲。
[br][/quote]
作者: 黑白光影    时间: 2008-4-30 17:28
标题: 回复:ct13137:男,38岁,鼻塞、头痛2个月。
以下是引用随光逐影在2008-4-29 19:07:00的发言:[br]1)副鼻窦炎。2)右侧中鼻道及总鼻道粘膜息肉样变。3)双侧中下鼻甲肥大。4)鼻中隔轻度左突偏曲。





欢迎光临 医影在线 (http://bbs.radida.com/bbs/) Powered by Discuz! X3.2