
















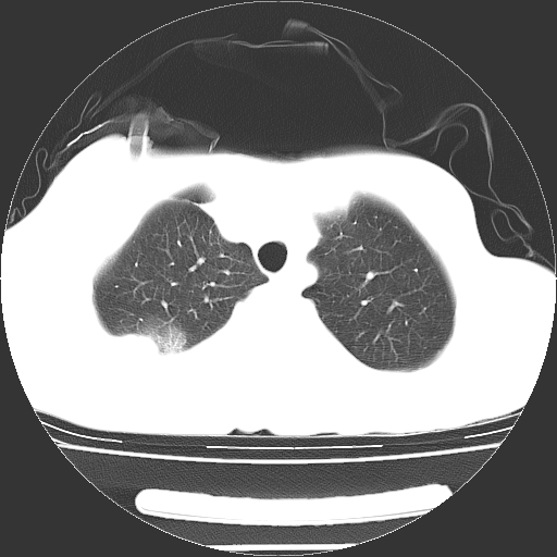
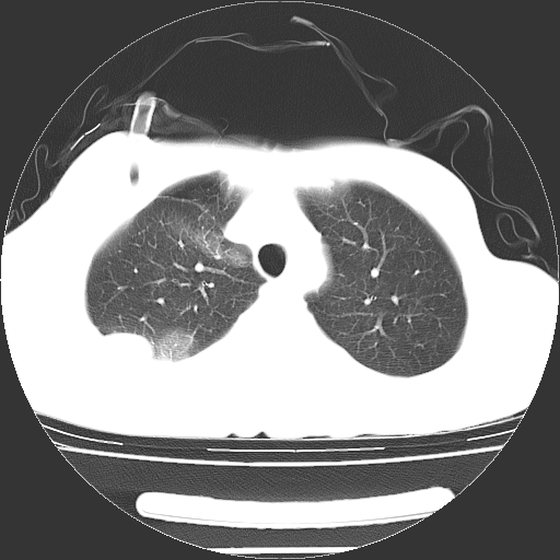
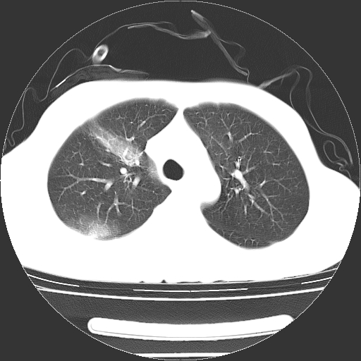
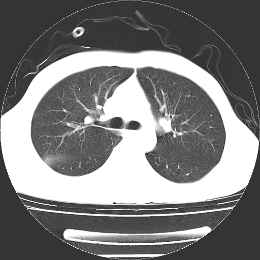
以下是引用dyqct在2008-4-29 8:43:00的发言:[br][br] 支持右侧胸腔包裹性积血。闭式引流管是不是插的太深了?
以下是引用dyqct在2008-4-29 8:43:00的发言:[br][br] 支持右侧胸腔包裹性积血。闭式引流管是不是插的太深了?
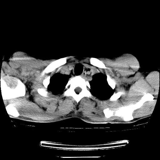
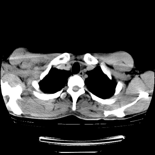
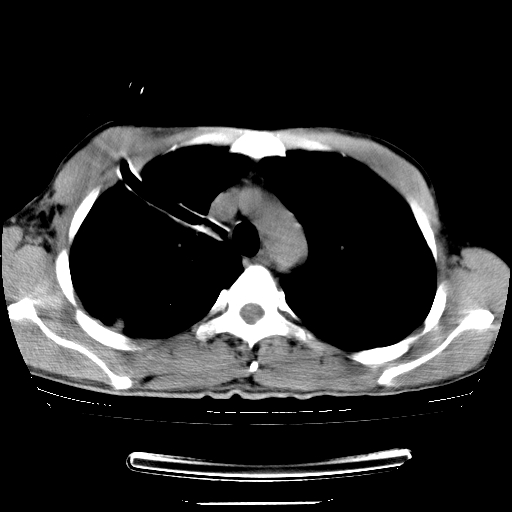
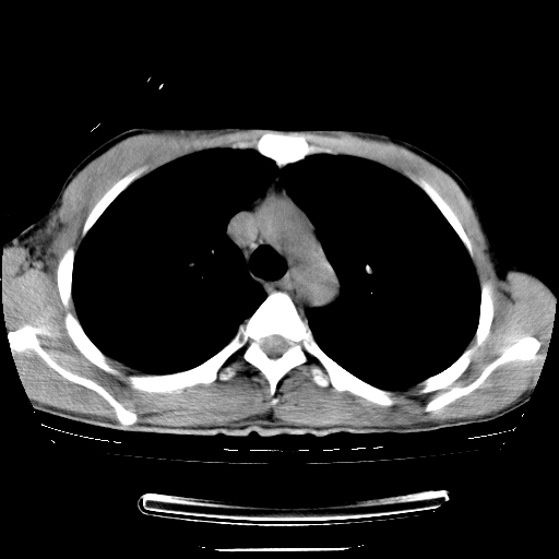
以下是引用zjzjr在2008-4-29 14:11:00的发言:[br]支持右侧胸腔包裹性积血。闭式引流管是不是插的太深了?胸腔引流,引流管快进入纵隔了.
| 欢迎光临 医影在线 (http://bbs.radida.com/bbs/) | Powered by Discuz! X3.2 |