医影在线

标题: CT13142:女 80 胸闷、气短、1w [打印本页]

作者: zl    时间: 2008-4-29 17:19
标题: CT13142:女 80 胸闷、气短、1w










































[本贴已被 jiajie 于 2008-4-29 9:24:23 修改过]

作者: zsl6918    时间: 2008-4-29 17:33
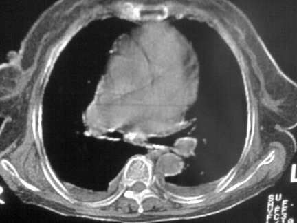
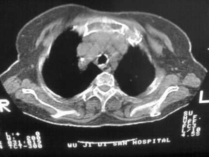
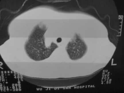
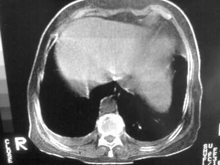
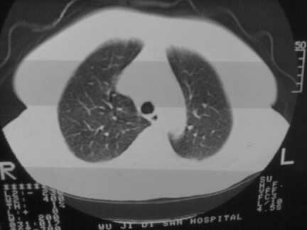
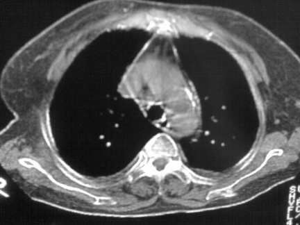
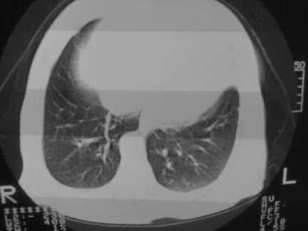
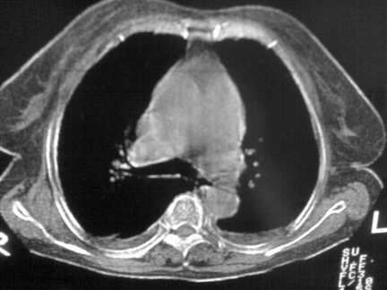
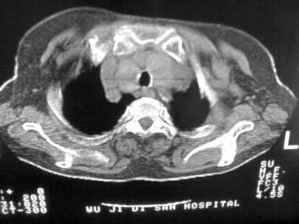
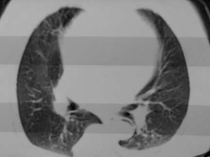
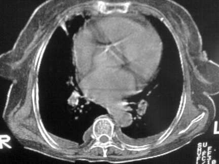
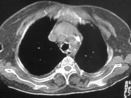
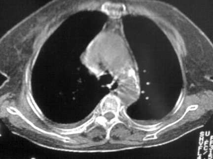
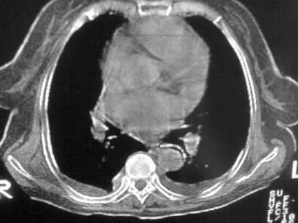
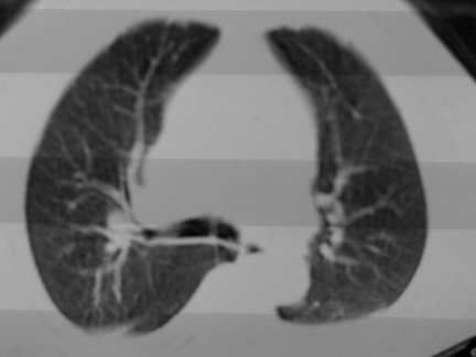
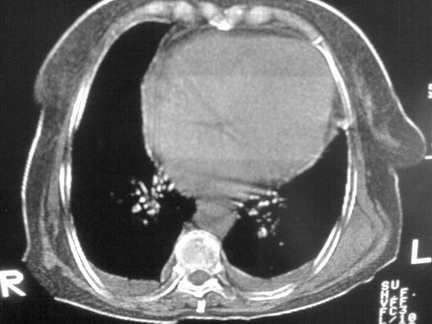
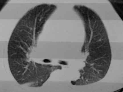
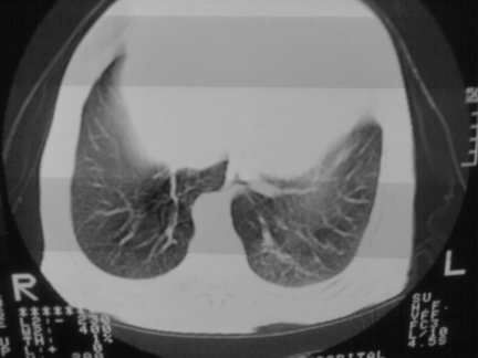
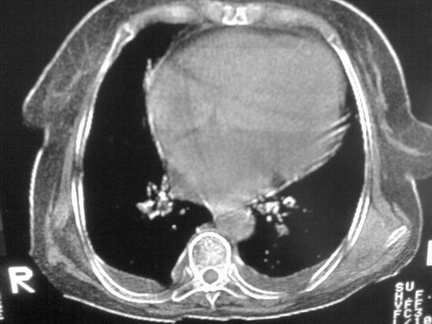
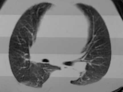
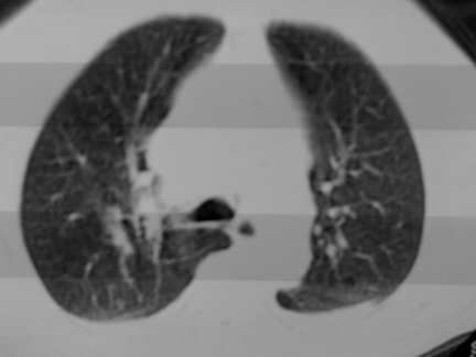
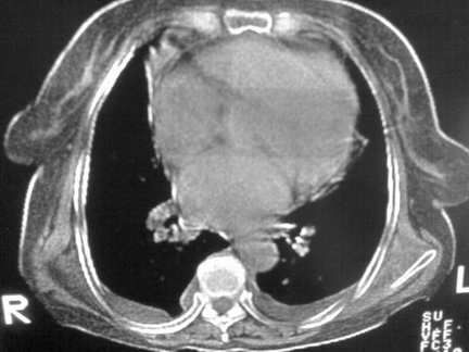
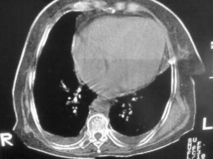
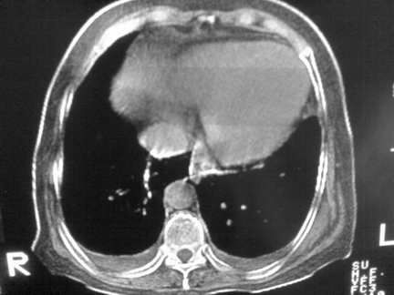
右肺炎性变,双侧甲状腺肿,胸膜肥厚。
作者: 宇宙CT    时间: 2008-4-29 18:23
右肺炎性变
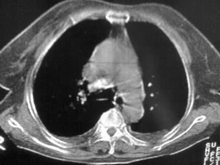
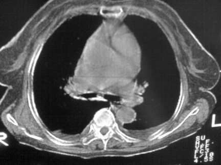
双侧胸腔积液
缩窄性心包炎
作者: muzi888    时间: 2008-4-29 18:49
右肺炎性变
双侧胸腔积液
左室为主的心脏增大。
胸膜肥厚,
气管,支气管软骨钙化。
作者: lyb999    时间: 2008-4-29 19:04
右肺感染;双侧胸腔少量积液,心影增大,可能与心功不全有关;胸内甲状腺肿。
作者: 杀毒软件    时间: 2008-4-29 19:28
右肺炎性变,双侧甲状腺肿,胸膜肥厚,心影增大考虑心功能不全.
作者: zjzjr    时间: 2008-4-29 21:57
右肺感染;双侧胸腔少量积液,心影增大,可能与心功不全有关;胸内甲状腺肿。
作者: xulianj    时间: 2008-4-29 23:41
胸内甲状腺肿;右肺感染;双侧胸腔少量积液。
作者: jinguoji    时间: 2008-4-30 01:36
标题: 回复:ct13142:女 80 胸闷、气短、1w
以下是引用zjzjr在2008-4-29 13:57:00的发言:[br]右肺感染;双侧胸腔少量积液,心影增大,可能与心功不全有关;胸内甲状腺肿。

作者: 拾荒者    时间: 2008-4-30 05:48
胸内甲状腺肿;右肺中叶感染;双侧胸腔少量积液;心影增大,考虑有心功能不全。




欢迎光临 医影在线 (http://bbs.radida.com/bbs/) Powered by Discuz! X3.2