医影在线
标题: CT13145:恭请各位老师(图像质量不佳,多多包涵,谢谢!! [打印本页]
作者: 子十 时间: 2008-4-29 18:32
标题: CT13145:恭请各位老师(图像质量不佳,多多包涵,谢谢!!
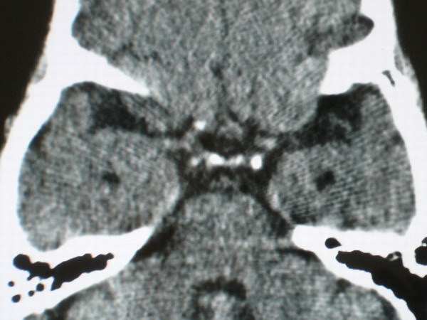
女性,88岁,呕吐一周,其它无。












[本贴已被 子十 于 2008-4-29 11:16:17 修改过]
[本贴已被 jiajie 于 2008-4-29 15:01:40 修改过]
作者: lyb999 时间: 2008-4-29 18:58
为何不传全脑窗片
作者: mzh123 时间: 2008-4-29 19:41
拿现有图片看只有老年性脑改变,未见其它异常啊?
作者: 子十 时间: 2008-4-29 19:52
鞍区似有一囊状占位.ct值-17hu
作者: zsl6918 时间: 2008-4-29 19:54
啥也不敢说 .请原谅,会诊不了.
作者: zjzjr 时间: 2008-4-29 20:21
拿现有图片看只有老年性脑改变,未见其它异常啊?
作者: 前行 时间: 2008-4-29 20:23
mr检查
作者: 深泽交通 时间: 2008-4-29 23:41
鞍背后方;对吗?
作者: 宇宙CT 时间: 2008-4-30 00:03
啥也不敢说 .请原谅,会诊不了.
作者: dyqct 时间: 2008-4-30 00:30
标题: 回复:ct13145:恭请各位老师(图像质量不佳,多多包涵,谢
以下是引用zjzjr在2008-4-29 12:21:00的发言:[br]拿现有图片看只有老年性脑改变,未见其它异常啊?
支持!
作者: xulianj 时间: 2008-4-30 00:57
未见明确异常,mr检查吧!
作者: 随光逐影 时间: 2008-4-30 01:17
建议行mr检查。
作者: zsj943006 时间: 2008-4-30 01:20
临床想了解什么?为何做鞍区扫描?
作者: jinguoji 时间: 2008-4-30 03:13
标题: 回复:ct13145:恭请各位老师(图像质量不佳,多多包涵,谢
以下是引用xulianj在2008-4-29 16:57:00的发言:[br]未见明确异常,mr检查吧!
作者: 拾荒者 时间: 2008-4-30 05:57
未见明确异常,mr检查吧!
作者: yangyudong333 时间: 2008-4-30 14:47
拿现有图片看只有老年性脑改变,未见其它异常啊
作者: 光影相伴 时间: 2008-4-30 15:37
未见明确异常,mr检查吧!
作者: 黑白光影 时间: 2008-4-30 16:19
这种翻拍片子的方法,有病变也会给拍没了,墙壁背景比片子清楚。
作者: linqiyuan 时间: 2008-4-30 18:03
其它层面??
| 欢迎光临 医影在线 (http://bbs.radida.com/bbs/) |
Powered by Discuz! X3.2 |