医影在线
标题: CT13147:男,57岁。因胆结石阻塞性黄疸入院。 [打印本页]
作者: sxlcbc 时间: 2008-4-29 19:38
标题: CT13147:男,57岁。因胆结石阻塞性黄疸入院。
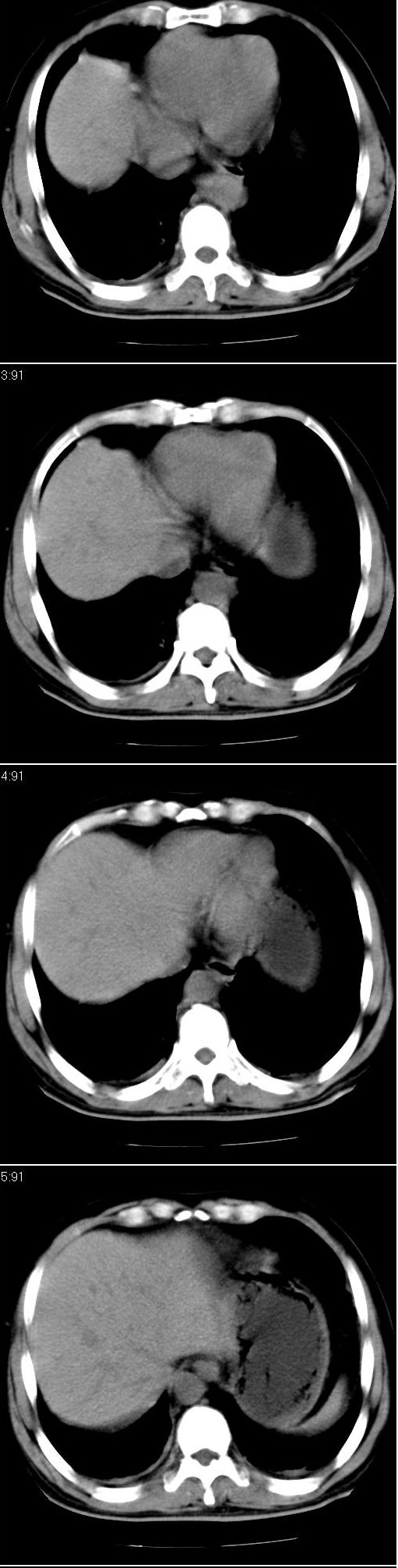
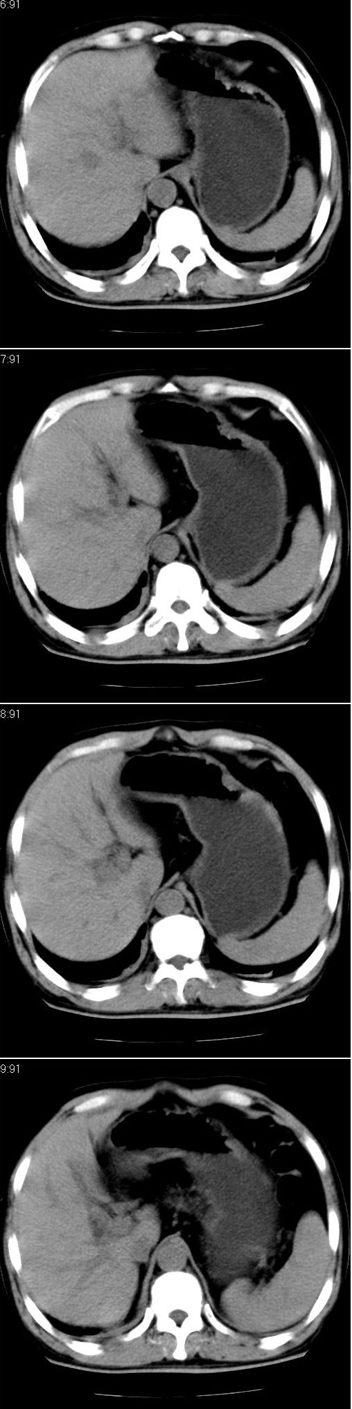
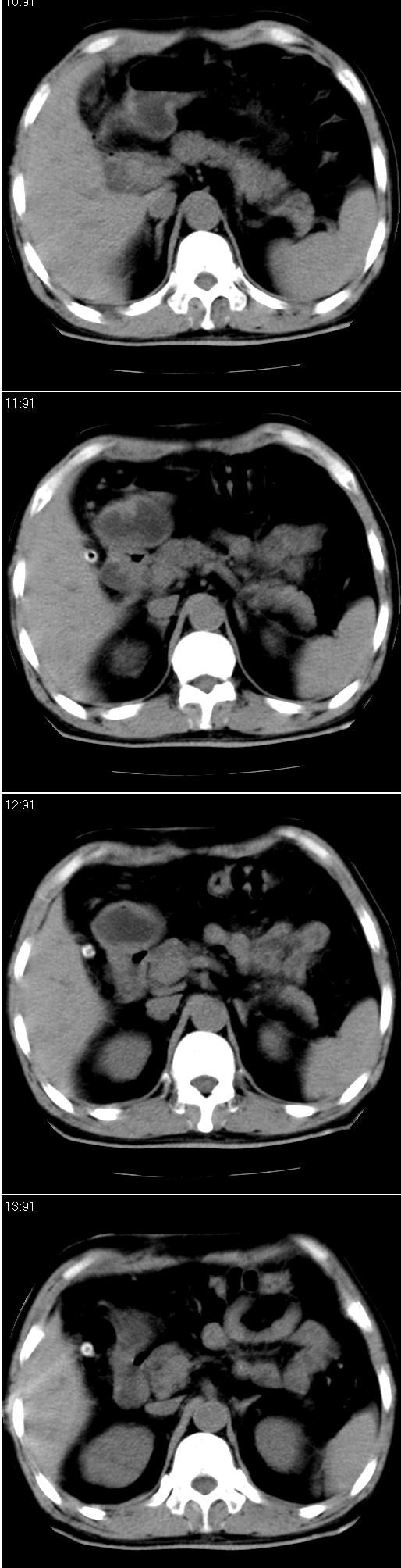
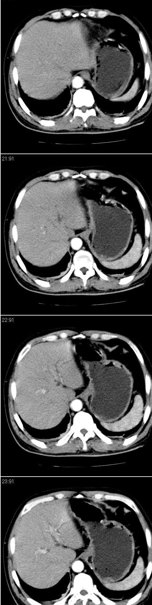
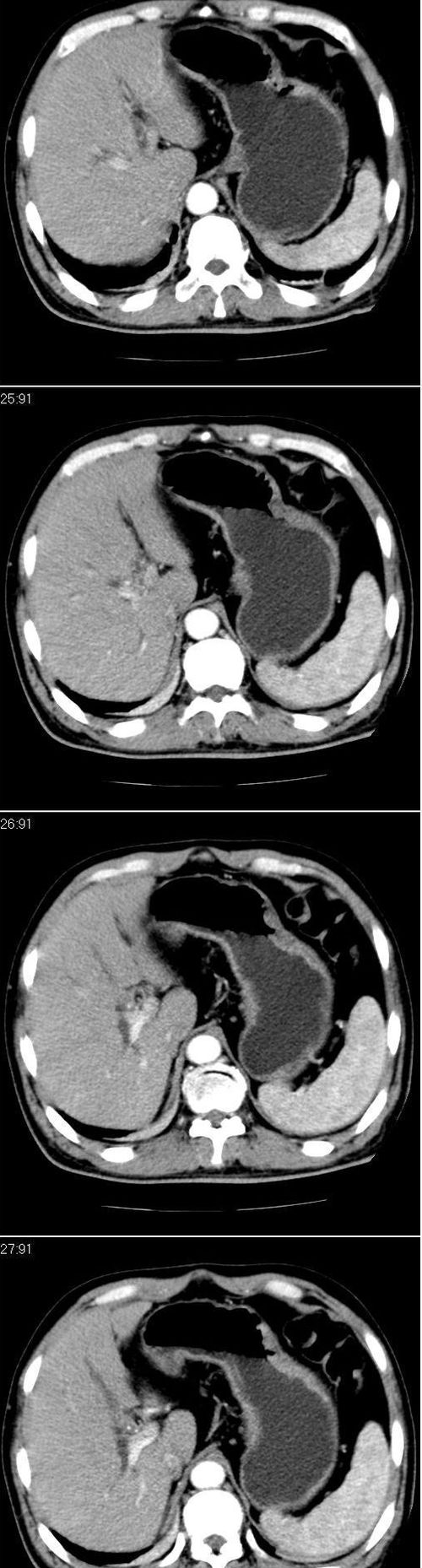
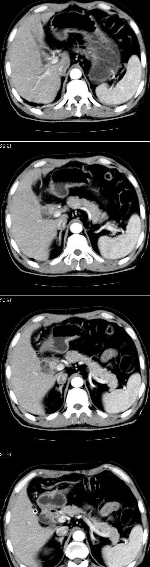
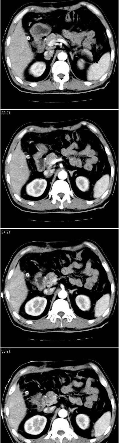
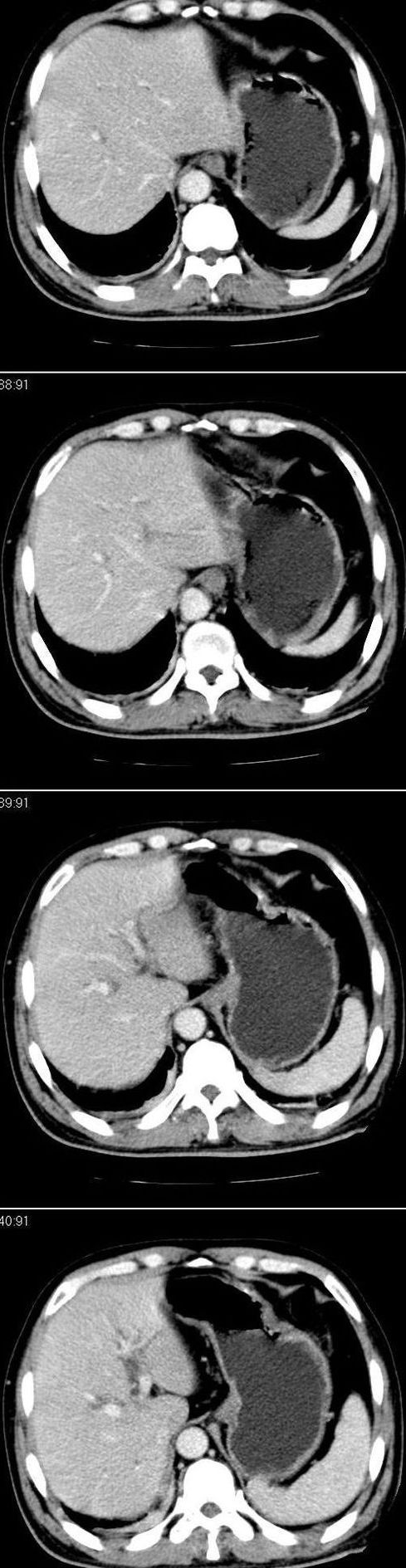
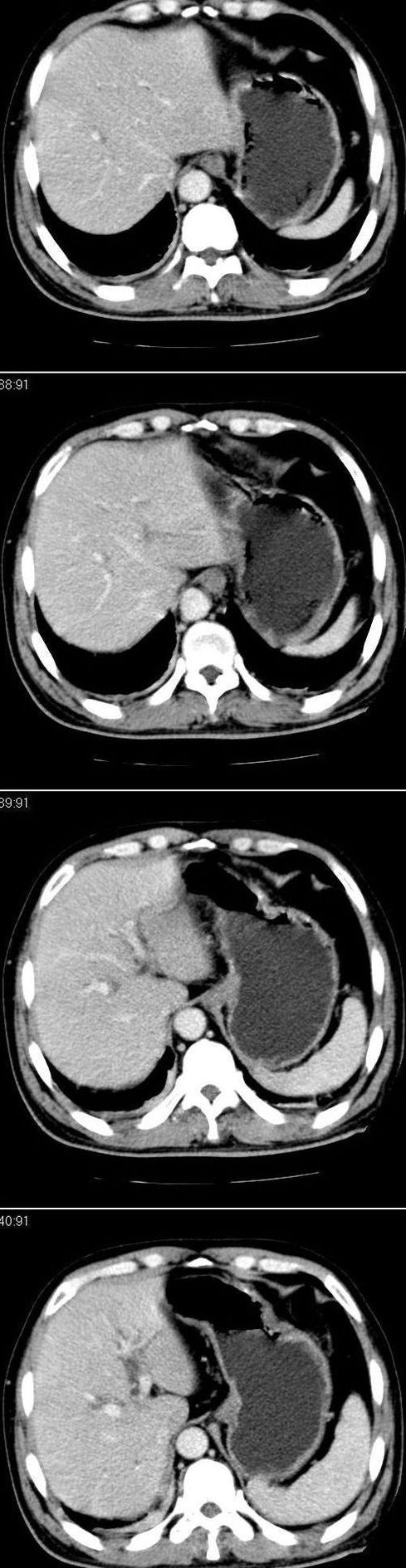
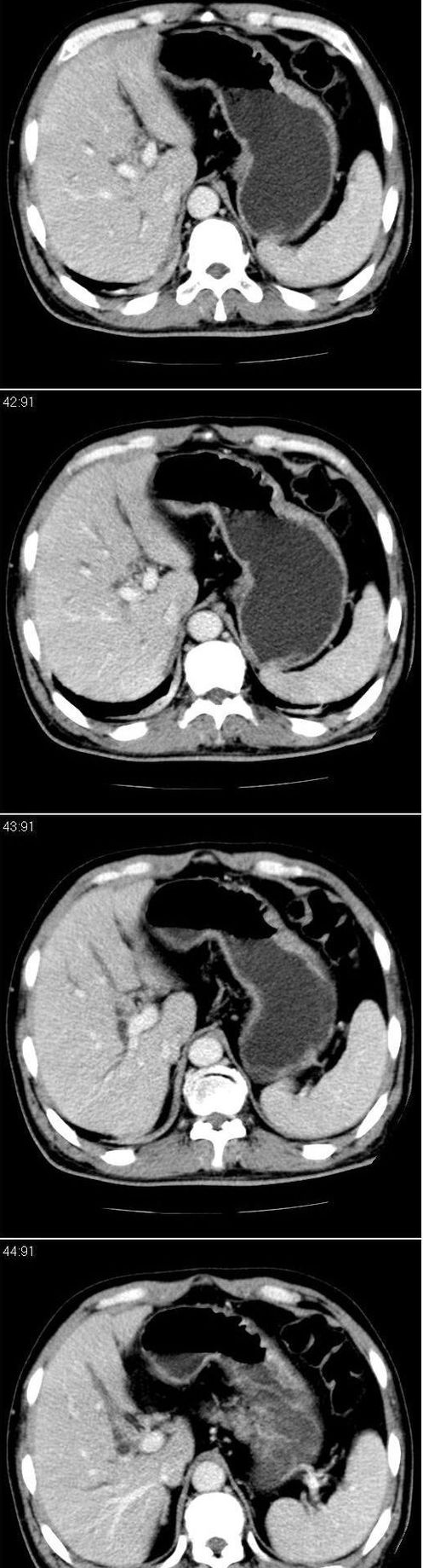
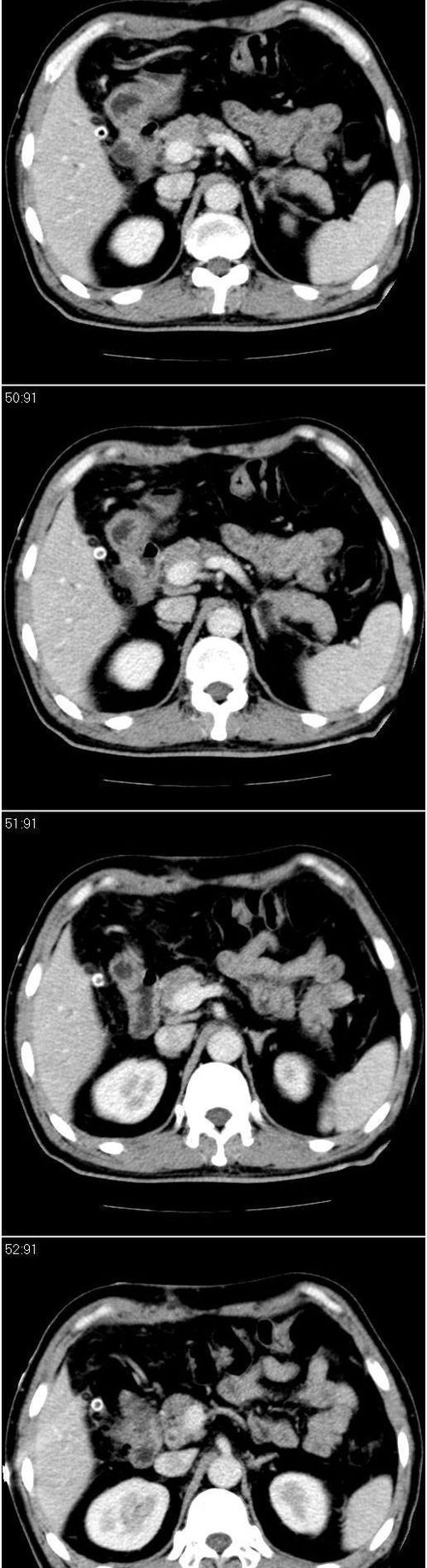
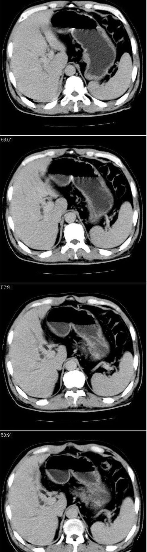
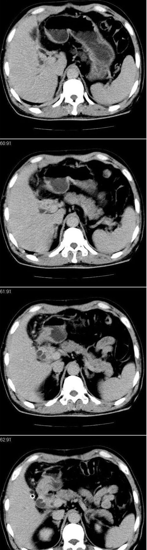
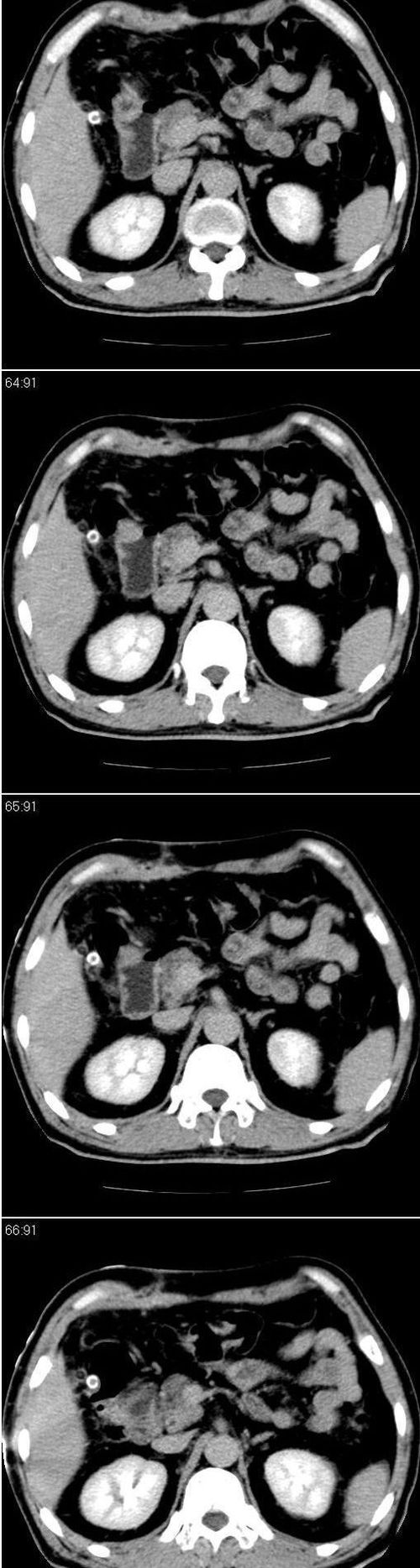
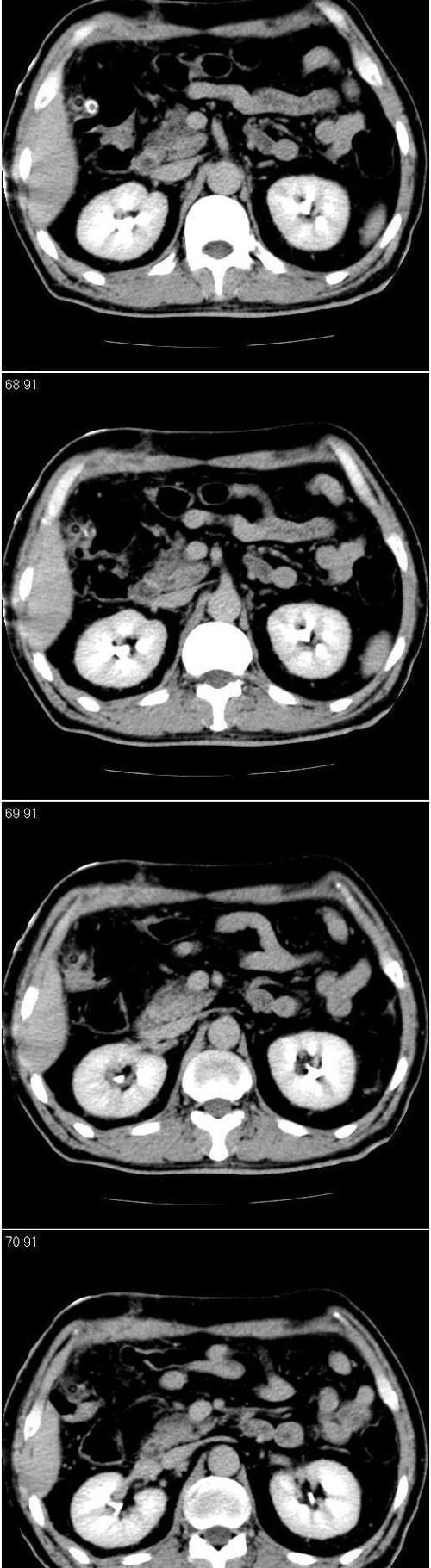
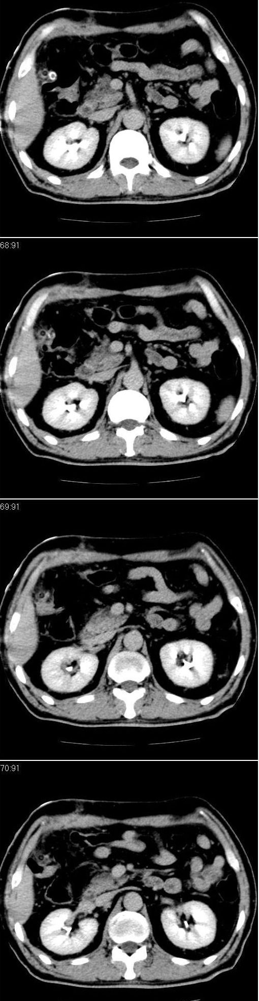
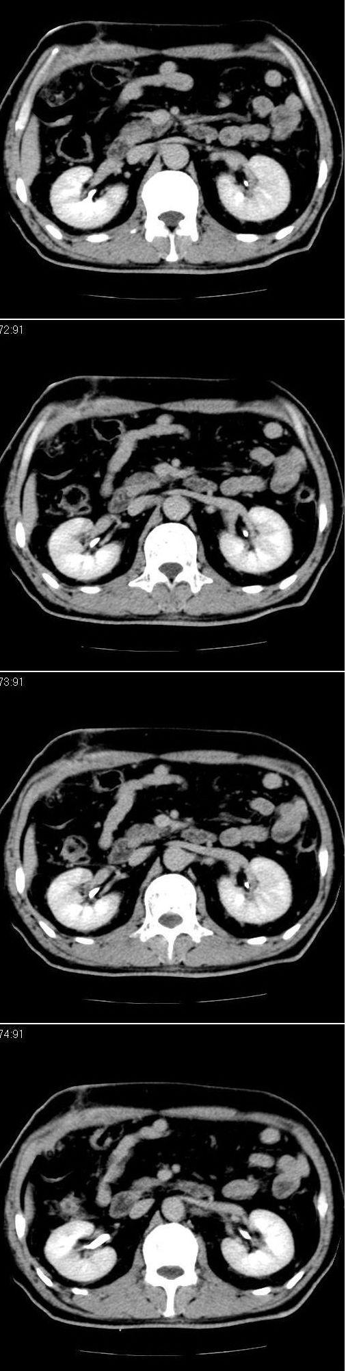
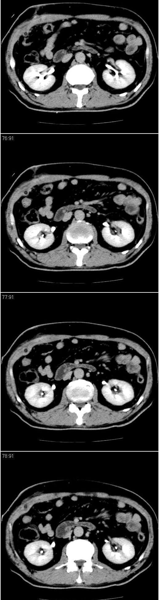
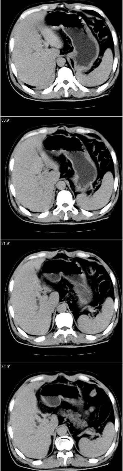
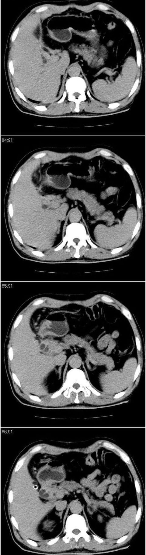
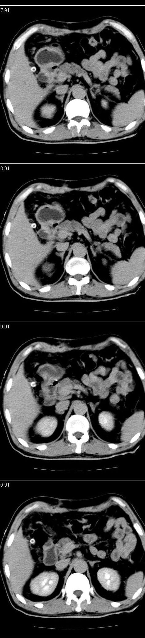
男,57岁。因胆结石阻塞性黄疸入院。这是胆囊切除术后的照片,看看此片到底有什么问题。






















[本贴已被 jiajie 于 2008-4-29 15:03:29 修改过]
[本贴已被 sxlcbc 于 2008-4-29 19:45:26 修改过]
作者: zsl6918 时间: 2008-4-29 19:47
单纯胆囊切除术后改变,腹壁可见引流管影,楼主有何高见?
作者: sxlcbc 时间: 2008-4-29 19:58
胆总管有没有问题,尤其是肝门附近的胆总管?
作者: 影象小辈 时间: 2008-4-29 20:06
肝门附近的胆总管轻度扩张 请楼主复习术前片
作者: zjzjr 时间: 2008-4-29 20:17
肝内外胆管轻度扩张,胆囊窝内见引流管考虑胆囊切除术后改变.胃窦部软组织似增厚,建议胃镜检查.
作者: 前行 时间: 2008-4-29 20:21
mrcp检查
作者: sxlcbc 时间: 2008-4-29 20:35
在手术切除胆囊的过程中,发现肝门部胆总管恶性占位,因为家属不同意手术,没有切除,能看出来么?
作者: 深泽交通 时间: 2008-4-29 23:34
壁后;但均匀
作者: zsl6918 时间: 2008-4-30 00:02
现有资料很难说,薄层可能清楚些,如临床不提供,易诊断为术后改变。
作者: 宇宙CT 时间: 2008-4-30 00:13
肝内外胆管轻度扩张,胆囊窝内见引流管考虑胆囊切除术后改变.胃窦部软组织似增厚,建议胃镜检查.
作者: dyqct 时间: 2008-4-30 00:37
标题: 回复:ct13147:男,57岁。因胆结石阻塞性黄疸入院。
以下是引用zjzjr在2008-4-29 12:17:00的发言:[br]肝内外胆管轻度扩张,胆囊窝内见引流管考虑胆囊切除术后改变.胃窦部软组织似增厚,建议胃镜检查.
支持!
作者: xulianj 时间: 2008-4-30 01:07
此片看不出,难道术前没查ct?
作者: jinguoji 时间: 2008-4-30 02:28
支持 肝内外胆管轻度扩张,胆囊窝内见引流管考虑胆囊切除术后改变.胃窦部软组织似增厚,建议胃镜检查.
作者: 拾荒者 时间: 2008-4-30 06:15
不是楼主提醒还真看不出来,肝内胆管扩张。略显僵硬。
作者: yangyudong333 时间: 2008-4-30 14:44
支持 肝内外胆管轻度扩张,胆囊窝内见引流管考虑胆囊切除术后改变.胃窦部软组织似增厚,建议胃镜检查.
作者: LIAOQIANG 时间: 2008-4-30 18:54
肝内外胆管轻度扩张。楼主提示左右肝管合汇区域壁稍厚。胆总管末段壁似也稍厚有轻度强化。就现有资料诊断难。
| 欢迎光临 医影在线 (http://bbs.radida.com/bbs/) |
Powered by Discuz! X3.2 |