


























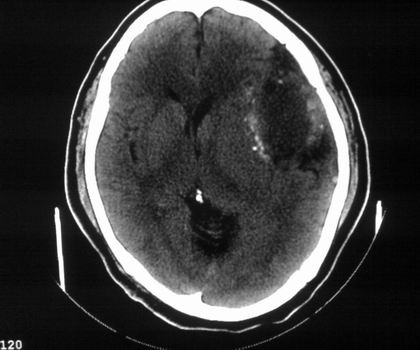
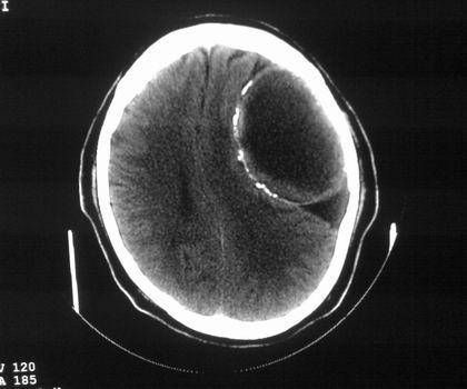
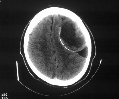
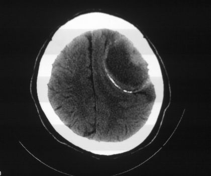
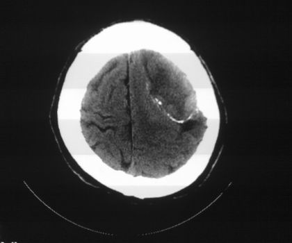
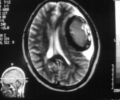
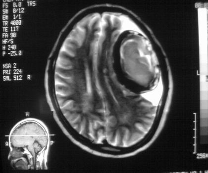
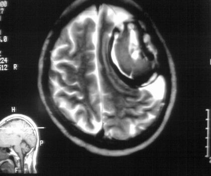
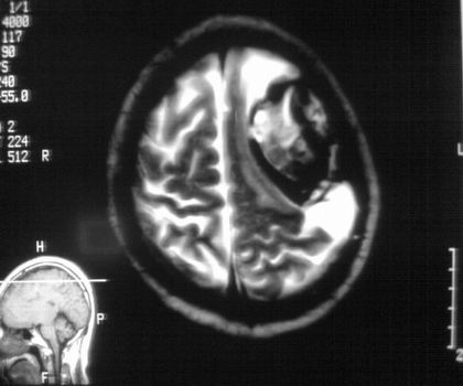
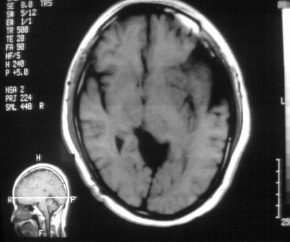
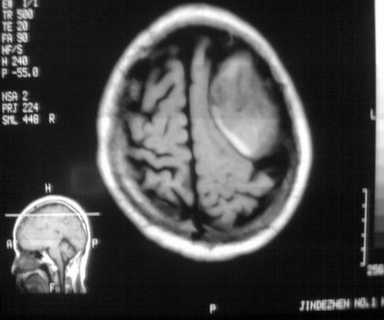
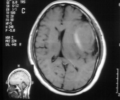
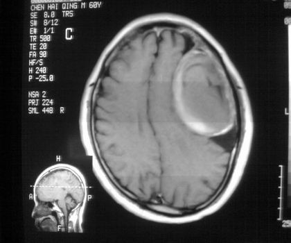
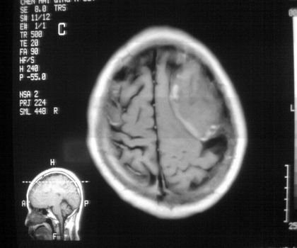
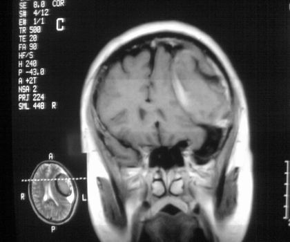
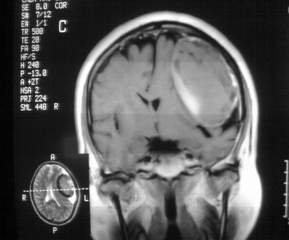
以下是引用影像孺子牛在2008-4-29 21:20:00的发言:[br]首先病变定位在脑外,根据ct密度及mri信号特征考虑慢性硬膜下血肿不连续环形钙化。
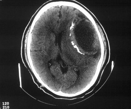
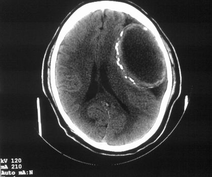
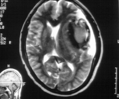
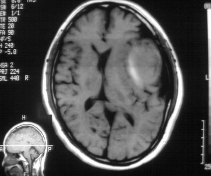
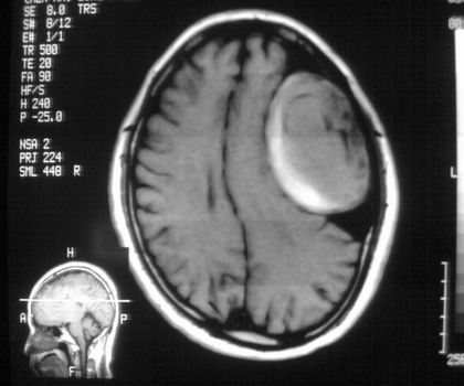
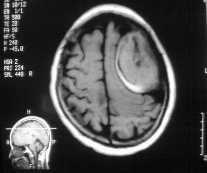
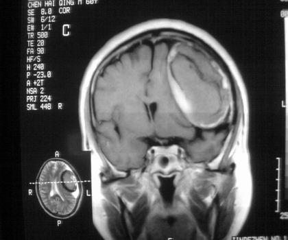
以下是引用muzi888在2008-4-30 17:21:00的发言:[br]脑外病变,蛛网膜下腔增宽,囊壁点状、环形钙化,增强扫描呈不均匀环状强化,考虑为囊性脑膜瘤可能性大,慢性脓肿、血肿机化、胆脂瘤不能除外。 [br] [br]支持!
以下是引用影像孺子牛在2008-4-29 21:20:00的发言:[br]首先病变定位在脑外,根据ct密度及mri信号特征考虑慢性硬膜下血肿不连续环形钙化。
以下是引用周战梅在2008-4-29 23:12:00的发言:[br]脑外病变,蛛网膜下腔增宽,囊壁点状、环形钙化,增强扫描呈不均匀环状强化,考虑为囊性脑膜瘤可能性大,慢性脓肿、血肿机化、胆脂瘤不能除外。
| 欢迎光临 医影在线 (http://bbs.radida.com/bbs/) | Powered by Discuz! X3.2 |