























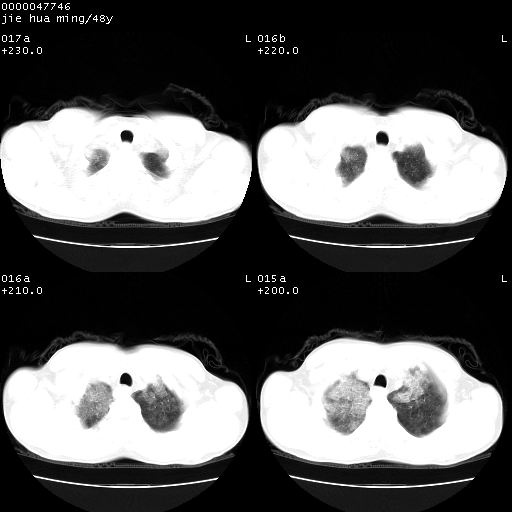
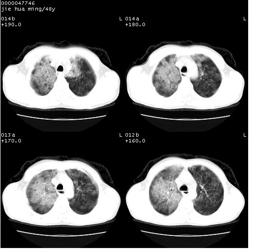
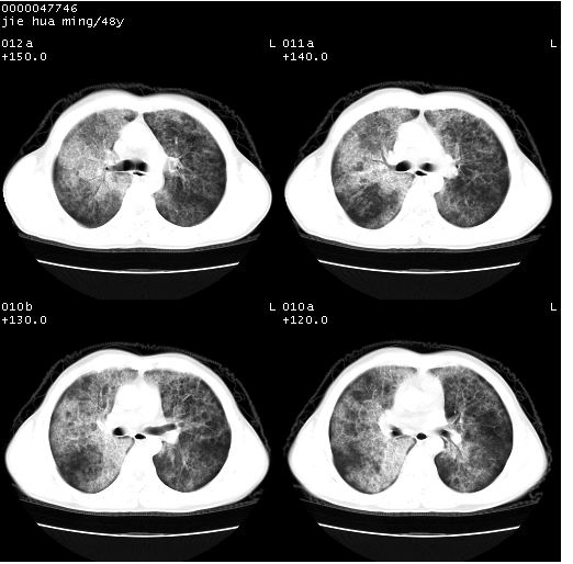
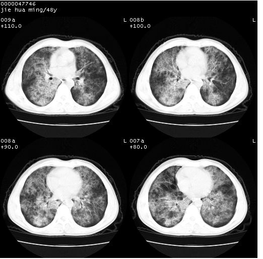
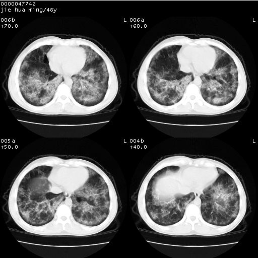
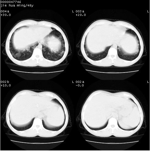
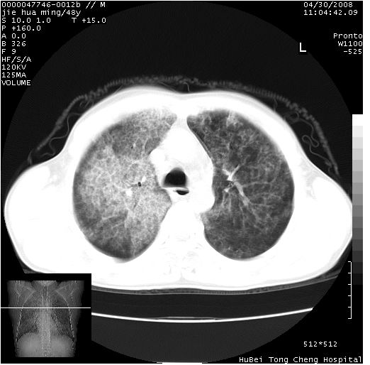
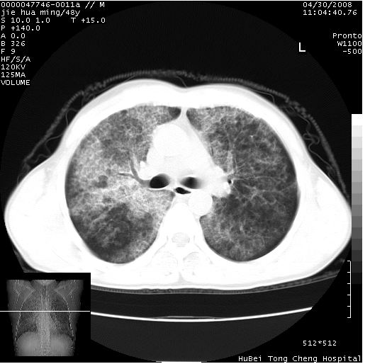
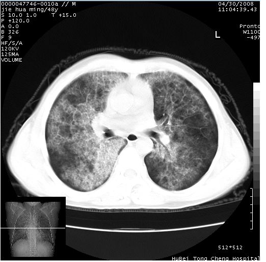
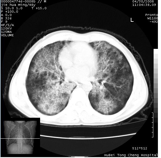
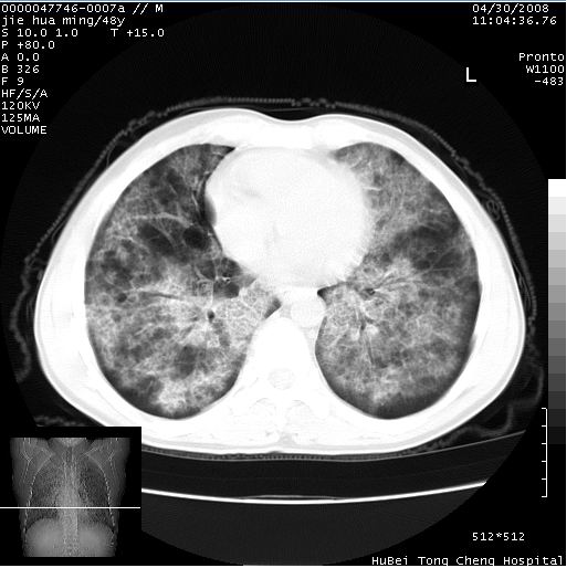
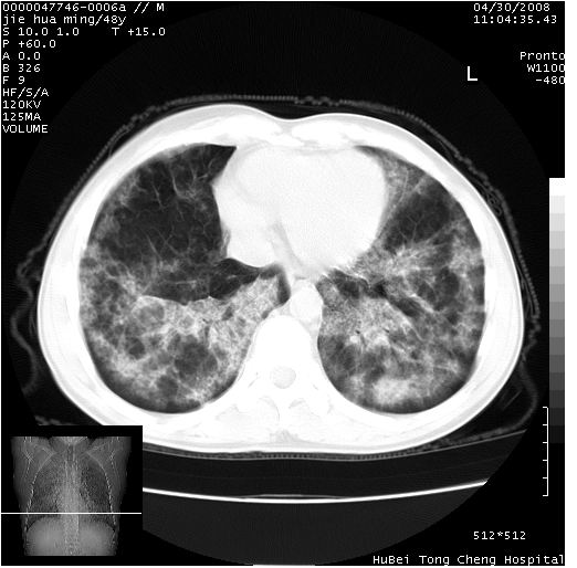
以下是引用dr.yang在2008-5-1 6:25:00的发言:[br]两肺广泛毛玻璃样的片状影,密度不均,边缘欠清,呈碎石路样改变,[br]考虑,1双肺间质性肺炎,2肺泡蛋白沉积症3支气管肺泡癌[br]
以下是引用trljl在2008-5-1 1:30:00的发言:[br]双肺间质性肺炎,疑与病毒或真菌、支原体等感染有关,不除外继发于免疫力低下的病变。
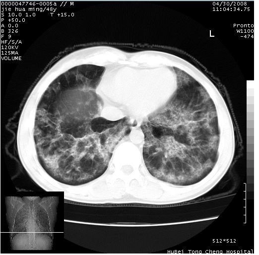
以下是引用hhcckk在2008-5-1 8:06:00的发言:[br]支持肺泡蛋白沉积症[br]依据:[br]1、病灶边缘清楚----地图征[br]2、病灶内部小叶间隔或小叶内间隔增厚所形成的网格状影----碎石路样表现[br]3、抗炎治疗无效(炎症抗炎治疗有效)[br]4、纵隔内未见肿大淋巴结(肺泡细胞癌时常有)[br][br]附肺泡蛋白沉积症资料[br][br]肺泡蛋白沉积症(pulmonary alveolar proteinosis)是一种原因不明的以肺泡腔内大量含脂糖蛋白样物质沉积为特征的疾病。[br]病理改变:(1)肺泡和细支气管腔内充满大量含脂糖蛋白样的粘稠物质,该物质为颗粒状或絮状的糖原pas染色阳性的磷脂蛋白。(2)肺泡壁及其间隔无异常改变。胸膜和淋巴结不受累及。(3)晚期可出现弥漫性肺间质纤维化。[br]临床表现:(1)好发年龄30~50岁,男性多于女性,偶见于儿童;(2)主要症状为呼吸困难、咳嗽、低热、消瘦、低氧血症和杵状指等。1/3的患者无症状。(3)实验室检查:痰液或肺泡灌洗液中可找到pas染色阳性颗粒物质。[br]hrct表现:肺泡蛋白沉积症具有特征性改变,即“碎石路样”表现(crazy-paving appearance,cpa)。主要包括(1)斑片状磨玻璃影:指肺野密度朦胧增加,内可见肺血管纹理影,系肺泡腔内充满低密度的磷脂蛋白物质所致。(2)其内部小叶间隔或小叶内间隔增厚所形成的网格状影,为小叶间隔水肿、肺泡壁内淋巴细胞和巨噬细胞浸润以及小叶内淋巴管扩张的缘故。(3)病灶边缘清楚,呈地图样分布于肺野外围或肺门及中央区。[br]
以下是引用zsl6918在2008-5-1 7:35:00的发言:[br]双肺磨玻璃样病变,可见铺碎路石征,病变区与正常区交错。边界清晰。符合肺泡蛋白质沉着征,高分辨扫描会更清楚漂亮。建议临床肺泡灌洗。
以下是引用dr.yang在2008-5-1 6:25:00的发言:[br]两肺广泛毛玻璃样的片状影,密度不均,边缘欠清,呈碎石路样改变,[br]考虑,1双肺间质性肺炎,2肺泡蛋白沉积症3支气管肺泡癌[br]
以下是引用yangyudong333在2008-5-1 5:36:00的发言:[br][br] 两肺广泛毛玻璃样的片状影,密度不均,边缘欠清,呈碎石路样改变,[br]考虑,1双肺间质性肺炎,2肺泡蛋白沉积症[br]
| 欢迎光临 医影在线 (http://bbs.radida.com/bbs/) | Powered by Discuz! X3.2 |