医影在线

标题: CT13183:F45Y,有意义的过程 [打印本页]

作者: hanlongjiang    时间: 2008-5-1 17:52
标题: CT13183:F45Y,有意义的过程
【结果公布】

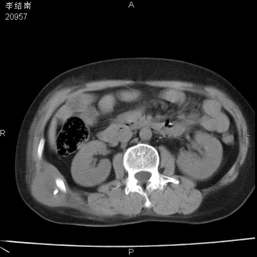
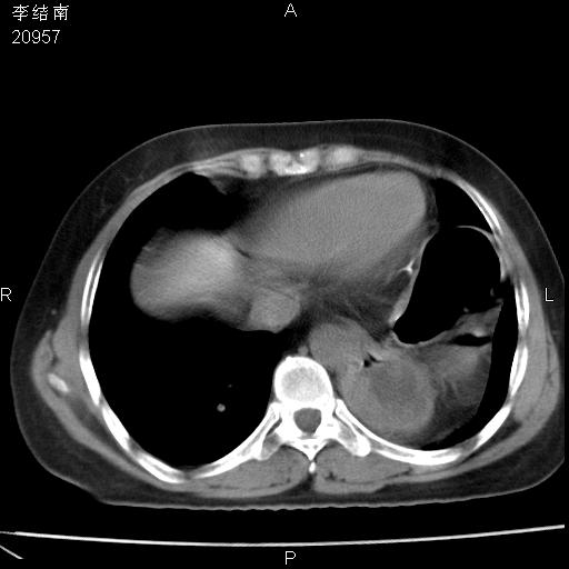
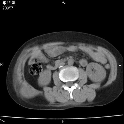
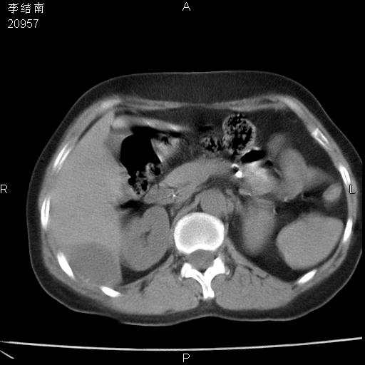
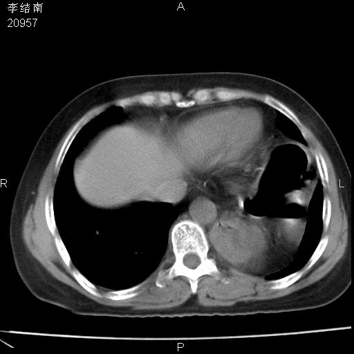
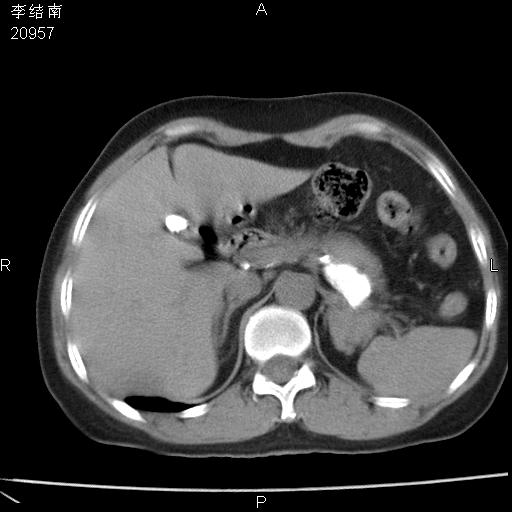
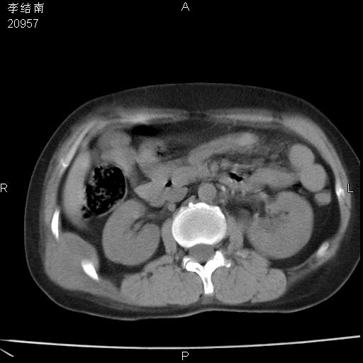
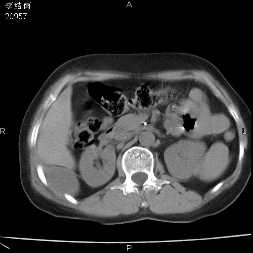
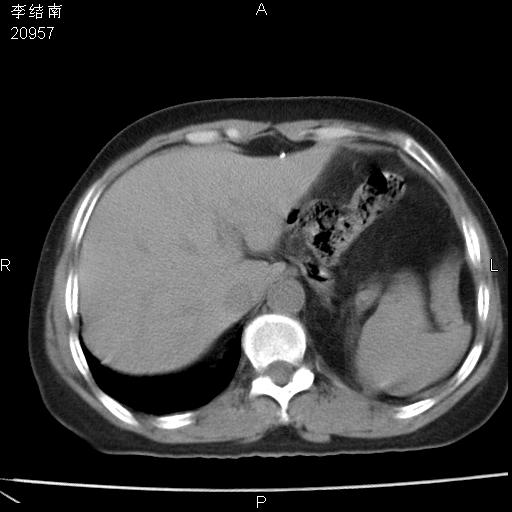
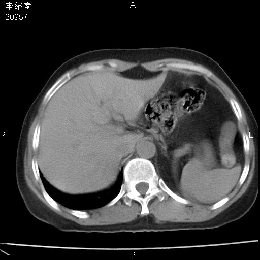
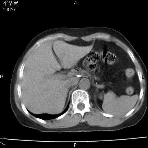
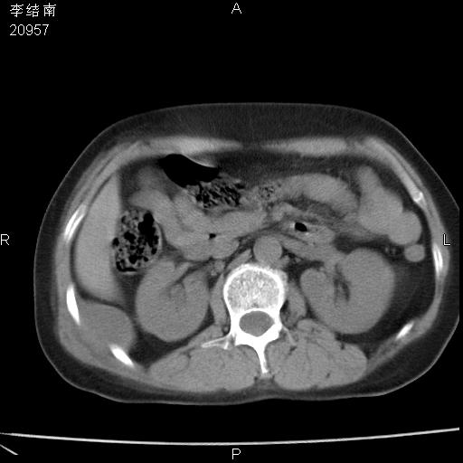
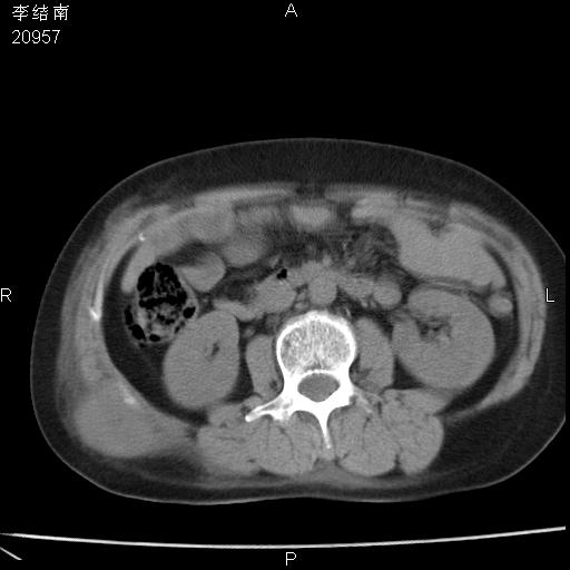
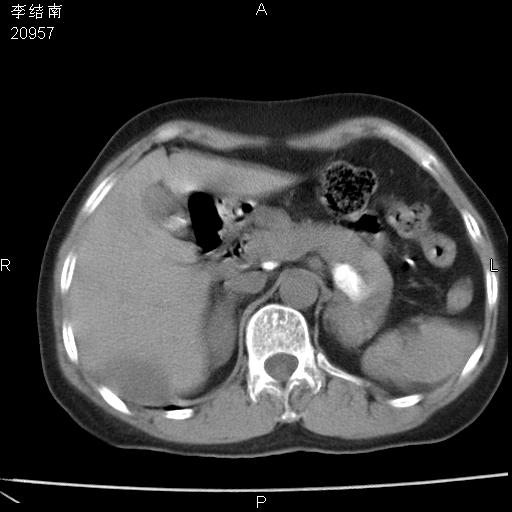
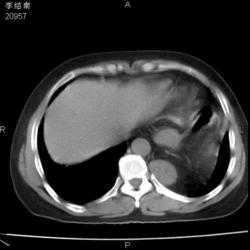
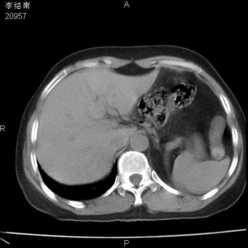
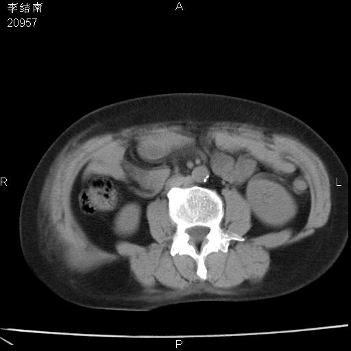
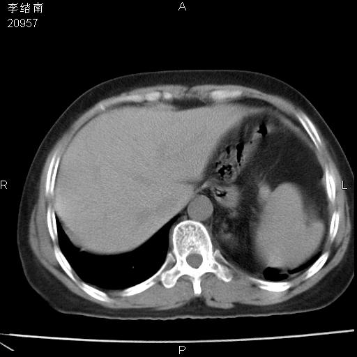
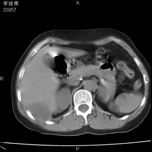
患者女,45岁,以右侧腰部包块来就诊,局部有压痛,皮肤颜色正常。因为是熟人扫的范围较大,患者有胆结石,胆源性胰腺炎病史。请大家看看,有手术病理。

























[本贴已被 jiajie 于 2008-5-1 9:54:43 修改过]

作者: cyr88888    时间: 2008-5-1 18:09
转移可能性
作者: 子期    时间: 2008-5-1 18:17
考虑多发神经纤维瘤可能性大。
作者: xuhuihong    时间: 2008-5-1 18:24
考虑多发神经纤维瘤可能性大。支持!
作者: jinguoji    时间: 2008-5-1 18:39
支持考虑多发神经纤维瘤可能性大。
作者: 深泽交通    时间: 2008-5-1 18:41
支持神纤瘤
作者: mzh123    时间: 2008-5-1 19:22
我看像食道裂孔疝啊   晕!
作者: yangyudong333    时间: 2008-5-1 19:51
支持考虑多发神经纤维瘤可能性大。
作者: hexue    时间: 2008-5-1 19:56
标题: 回复:ct13183:f45y,有意义的过程
以下是引用xuhuihong在2008-5-1 10:24:00的发言:[br]考虑多发神经纤维瘤可能性大。支持!

作者: zsl6918    时间: 2008-5-1 23:45
肝包膜及腹壁病变考虑转移,食管改变需要明确良恶性。
作者: zxczxc    时间: 2008-5-2 01:09
胰尾部占位,伴腹膜后转移。
作者: 求知若渴    时间: 2008-5-2 04:27
标题: 回复:ct13183:f45y,有意义的过程


作者: dyqct    时间: 2008-5-2 04:49
没有增强定性有些困难。
考虑:1、左侧膈疝?
      2、右腹壁及左膈下病变不知ct值多少?转移?神经纤维瘤?
      3、期待结果。
作者: xulianj    时间: 2008-5-2 05:11
支持考虑多发神经纤维瘤可能性大。
作者: 拾荒者    时间: 2008-5-2 06:16
支持考虑多发神经纤维瘤可能性大。
作者: zjzjr    时间: 2008-5-2 18:15
考虑:1、左侧膈疝?
      2、右腹壁及左膈下病变不知ct值多少?转移?神经纤维瘤?
      3、期待结果。
作者: hanlongjiang    时间: 2008-5-5 00:02
可能大家觉得片子的质量不好,当时是做下腹部扫描,所以没有常规喝水,右腹壁的病灶当时是,密度不均有钙化影,局部骨质没见破坏,肝脏应该是受压的表现,所以当时考虑为腹壁的良性占位,各位老师考虑的神经源性肿瘤,我当时还真没想到,胰腺是胰腺炎治疗后改变.膈脚旁的混杂密度包快不好考虑什么,到上级医院做增强(腹部)+肺部平扫后,发现腹壁的病灶呈不均匀性强化局部可见囊性灶,当时考虑为腹壁结核,最具戏剧性的是膈脚旁的混杂密度灶确是胃的一部分,而腹壁的病灶确是脂肪瘤(简直不可思议)但是我亲眼所见在我们县医院开的.
作者: hanlongjiang    时间: 2008-7-5 19:15
很不好意思 ,患者后来手术切口裂开,临床医生作了病理证实是腹壁结核。
作者: pujunzhi    时间: 2013-11-18 16:58
[病理诊断] CT13183腹壁结核!




欢迎光临 医影在线 (http://bbs.radida.com/bbs/) Powered by Discuz! X3.2