









以下是引用蚂蚁在2008-5-1 10:09:00的发言:[br]支持楼主,考虑硬膜下血肿,建议短期内复查除外并有蛛血(不要把自己逼上绝路)!
以下是引用蚂蚁在2008-5-1 10:09:00的发言:[br]支持楼主,考虑硬膜下血肿,建议短期内复查除外并有蛛血(不要把自己逼上绝路)!
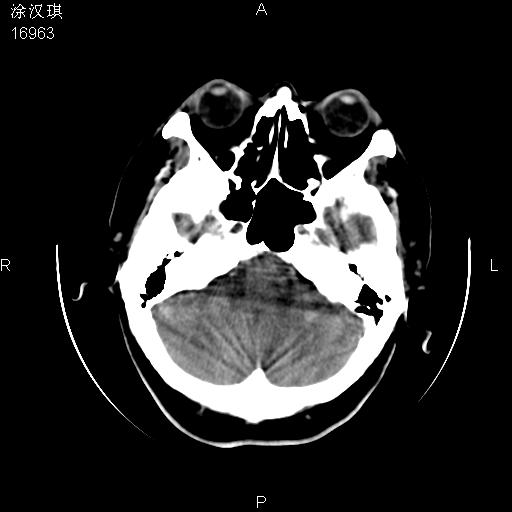
以下是引用深泽交通医院在2008-5-1 10:36:00的发言:[br]蛛网膜下腔出血
以下是引用形影不离在2008-5-1 11:32:00的发言:[br]支持 硬膜下血肿伴蛛网膜下腔出血,建议短期复查。
以下是引用蚂蚁在2008-5-1 10:09:00的发言:[br]支持楼主,考虑硬膜下血肿,建议短期内复查除外并有蛛血(不要把自己逼上绝路)!
以下是引用wansheng在2008-5-1 11:20:00的发言:[br]支持硬膜下血肿伴蛛网膜下腔出血,建议短期复查
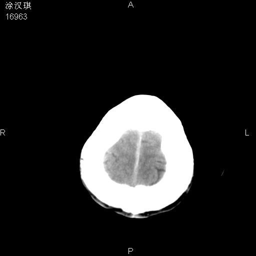
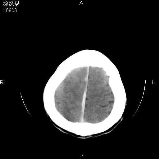
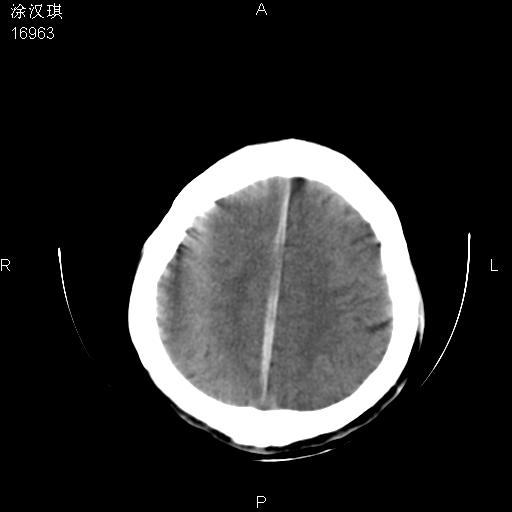
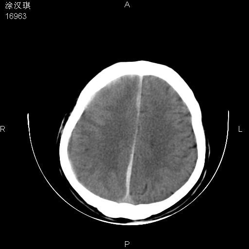
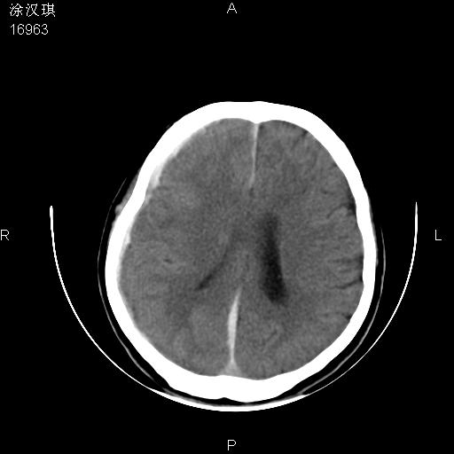
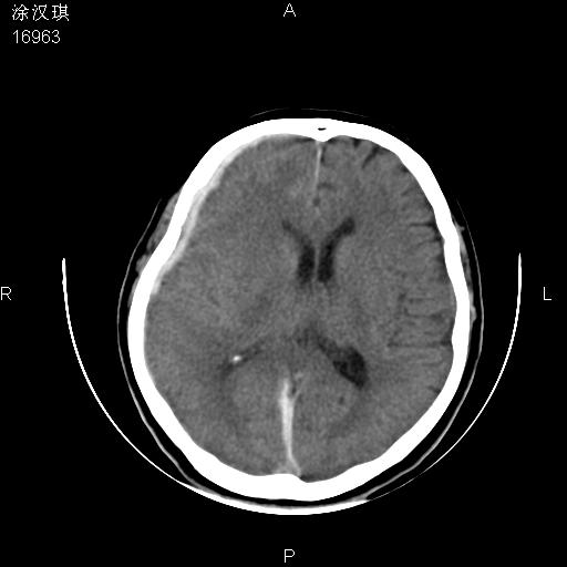
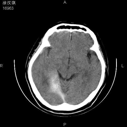
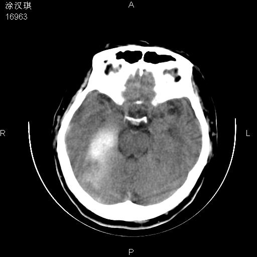
以下是引用chinazhouhua在2008-5-1 12:06:00的发言:[br]影像上来看,这是个典型的硬膜下血肿,包括右侧额颞部、大脑镰下、小脑幕下,而且在右侧额颞顶枕部、大脑镰下没看到高密度出血向脑沟内延伸,但是小脑幕下硬膜下有时候和蛛血不是很好鉴别,而且硬膜下很多时候伴有蛛血,往往在复查的时候出来,所以这种病人还是应该考虑硬膜下血肿伴有蛛血。
以下是引用zsl6918在2008-5-1 15:34:00的发言:[br]本病例主要表现为急性硬膜下血肿。
以下是引用zjzjr在2008-5-2 10:12:00的发言:[br]硬膜下血肿伴蛛网膜下腔出血,建议短期复查。
以下是引用余辉在2008-5-1 11:08:00的发言:[br][quote]以下是引用蚂蚁在2008-5-1 10:09:00的发言:[br]支持楼主,考虑硬膜下血肿,建议短期内复查除外并有蛛血(不要把自己逼上绝路)!
| 欢迎光临 医影在线 (http://bbs.radida.com/bbs/) | Powered by Discuz! X3.2 |