医影在线

标题: CT13201:M70Y,肝脏占位 [打印本页]

作者: muxinhua    时间: 2008-5-2 05:41
标题: CT13201:M70Y,肝脏占位
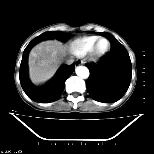
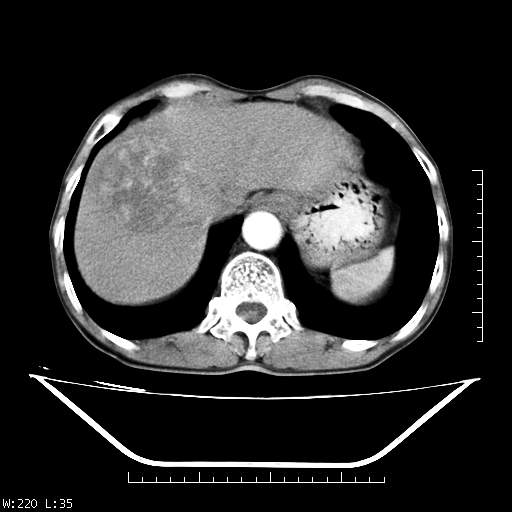
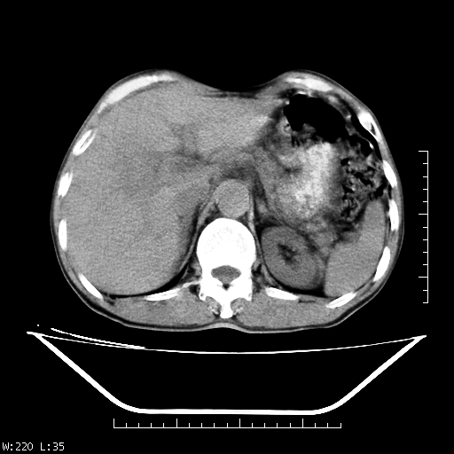
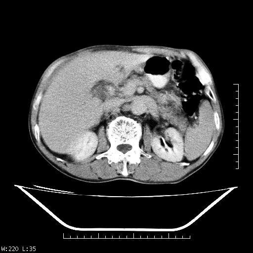
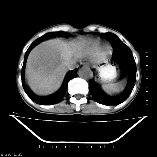
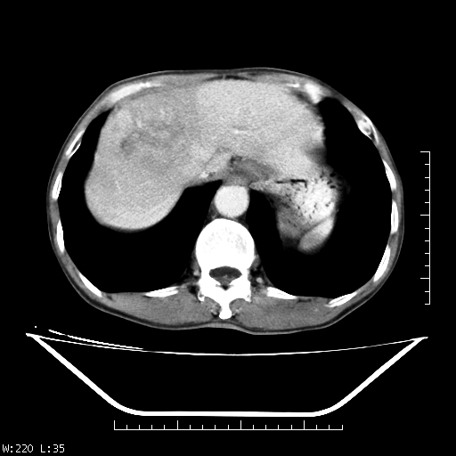
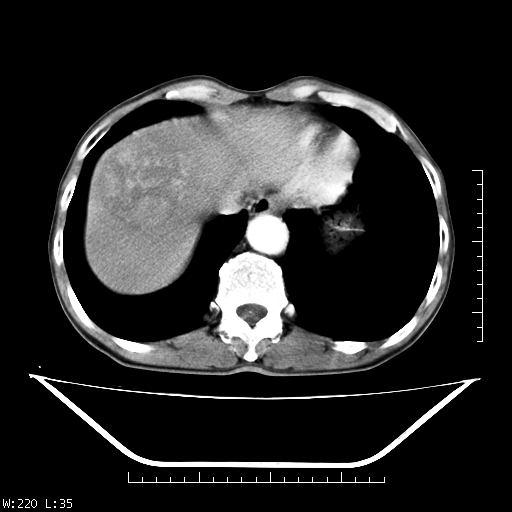
男,70,右上腹痛两月,有乙肝病史,b超提示肝占位,ct如下,请会诊。



































补充:该患者afp9.24

[本贴已被 jiajie 于 2008-5-1 21:57:39 修改过]

[本贴已被 muxinhua 于 2008-5-2 8:22:46 修改过]

作者: zsl6918    时间: 2008-5-2 05:59
符合原发性肝癌的诊断
作者: ping2    时间: 2008-5-2 06:12
肝ca。
作者: 随光逐影    时间: 2008-5-2 06:18
符合肝癌表现。
作者: qingjing    时间: 2008-5-2 06:25
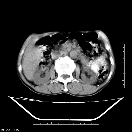
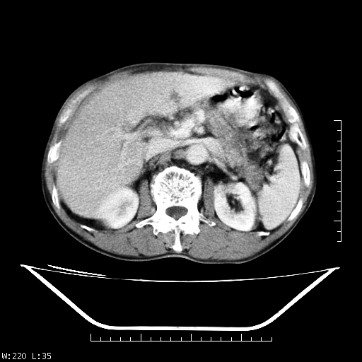
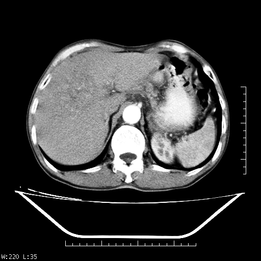
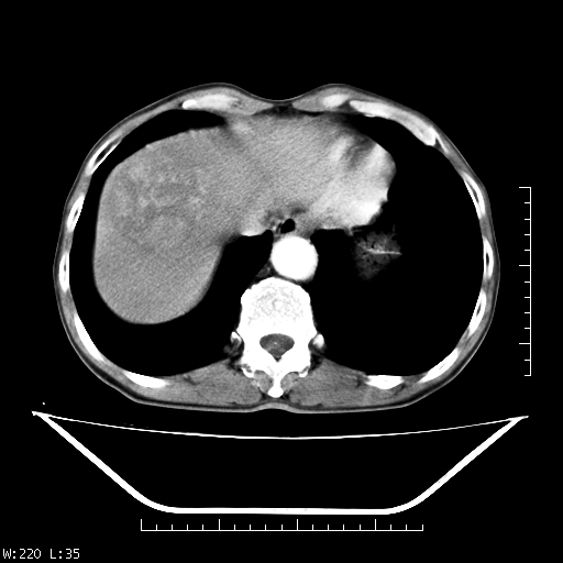
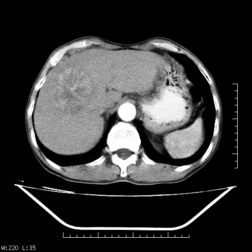
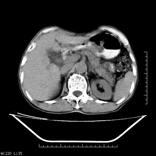
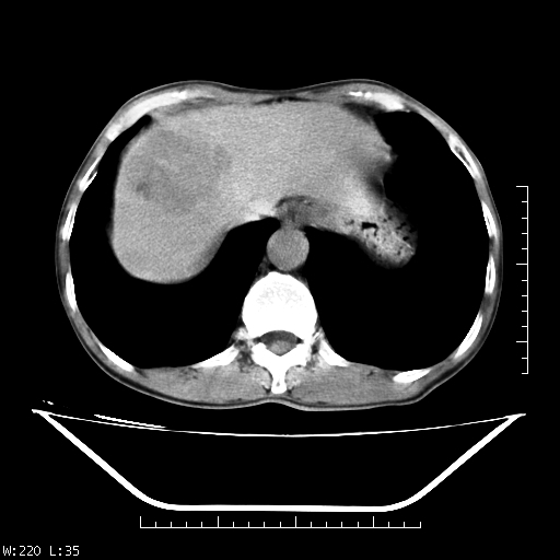
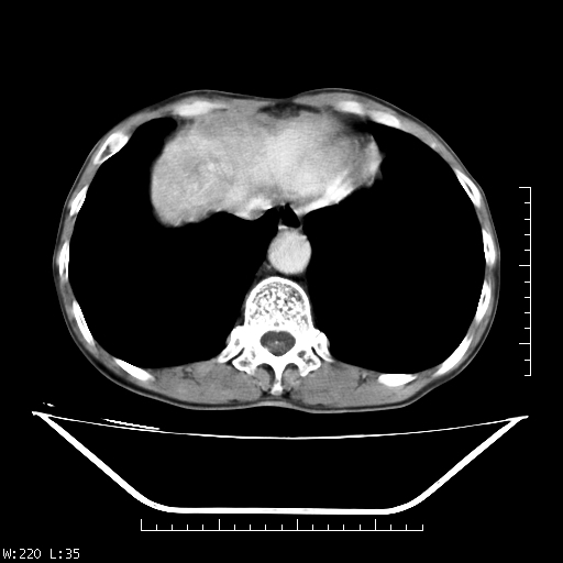
肝右叶类圆型密度减低影,密度不均,边界清晰其内可见更低密度影,腹膜后可见小淋巴结肿大,增强扫描动脉期病灶明显强化,静脉期及延时扫描见强化不明显,快进快出表现。
   1.肝右叶低密度影考虑为肝癌;
   2.肝转移待除外。
作者: liuyue    时间: 2008-5-2 07:48
符合:肝癌.
作者: hou-wg    时间: 2008-5-2 08:51
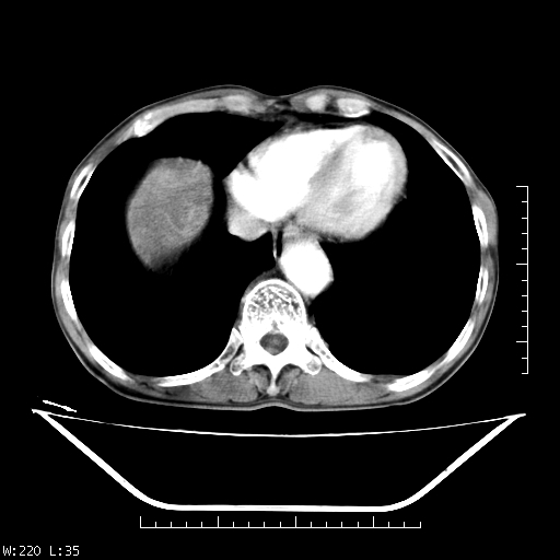
平扫呈低密度占位,动脉期斑片状明显强化,病灶边缘清晰,见假包膜;门脉期呈低密度,符合肝癌快进快出强化特征
作者: 358450m    时间: 2008-5-2 08:54
标题: 回复:ct13201:m70y,肝脏占位
以下是引用hou-wg在2008-5-2 0:51:00的发言:[br]平扫呈低密度占位,动脉期斑片状明显强化,病灶边缘清晰,见假包膜;门脉期呈低密度,符合肝癌快进快出强化特征

作者: trljl    时间: 2008-5-2 09:04
原发性肝癌
作者: 随缘的人    时间: 2008-5-2 14:23
原发性肝癌
作者: 大漠孤雁    时间: 2008-5-2 14:49
支持肝癌.
作者: yangyudong333    时间: 2008-5-2 15:02
原发性肝癌
作者: 宇宙CT    时间: 2008-5-2 15:05
肝右叶类圆型密度减低影,密度不均,边界清晰其内可见更低密度影,腹膜后可见小淋巴结肿大,增强扫描动脉期病灶明显强化,静脉期及延时扫描见强化不明显,快进快出表现。
   1.肝右叶低密度影考虑为肝癌;
   2.肝转移待除外。
作者: muxinhua    时间: 2008-5-2 16:16
补充:该患者afp 9.24,似乎与原发性肝癌不符合,另胰头区结构正常吗?请大家继续发表高见。
作者: lxq2000    时间: 2008-5-2 16:41
肝右叶类圆型密度减低影,密度不均,边界清晰其内可见更低密度影,腹膜后可见小淋巴结肿大,增强扫描动脉期病灶明显强化,静脉期及延时扫描见强化不明显,快进快出表现。
   肝右叶低密度影考虑为肝
作者: zjzjr    时间: 2008-5-2 16:44
巨块型肝癌.
作者: 深泽交通    时间: 2008-5-2 16:49
肝癌
作者: boaiwlp    时间: 2008-5-2 16:54
肝癌
作者: jiangjing    时间: 2008-5-2 17:20
符合肝癌表现。
作者: 讲话了    时间: 2008-5-2 17:21
无疑问,病理不是肯定病理错了
影像就是典型原发性肝癌
作者: 影象小辈    时间: 2008-5-2 18:05
以下是引用hou-wg在2008-5-2 0:51:00的发言:
平扫呈低密度占位,动脉期斑片状明显强化,病灶边缘清晰,见假包膜;门脉期呈低密度,符合肝癌快进快出强化特征
作者: 杀毒软件    时间: 2008-5-2 18:07
符合原发性肝癌
作者: muzi888    时间: 2008-5-2 18:32
原发性肝癌 ,结节型.
作者: qiushi    时间: 2008-5-2 19:30
肝右叶类圆型密度减低影,密度不均,边界清晰其内可见更低密度影,腹膜后可见小淋巴结肿大,增强扫描动脉期病灶明显强化,静脉期及延时扫描见强化不明显,快进快出表现。
   肝右叶占位--考虑为肝癌;
作者: 吕永冬    时间: 2008-5-2 19:38
原发性肝癌
作者: lrj    时间: 2008-5-2 20:20
原发性肝癌
作者: wjyd    时间: 2008-5-2 22:24
原发性肝癌
作者: csyxxx    时间: 2008-5-2 23:11
原发性肝癌
作者: dyqct    时间: 2008-5-2 23:42
平扫呈低密度占位,动脉期斑片状明显强化,病灶边缘清晰,见假包膜;门脉期呈低密度,符合肝癌快进快出强化特征,可能为纤维板型。建议介入治疗,效果会很好的。
作者: 影象小辈    时间: 2008-5-2 23:46
快进快出   典型的原发性肝癌    肝门部见肿大淋巴结
作者: xulianj    时间: 2008-5-3 02:09
肝癌.
作者: 拾荒者    时间: 2008-5-3 07:53
标题: 回复:ct13201:m70y,肝脏占位
以下是引用dyqct在2008-5-2 15:42:00的发言:[br]平扫呈低密度占位,动脉期斑片状明显强化,病灶边缘清晰,见假包膜;门脉期呈低密度,符合肝癌快进快出强化特征,可能为纤维板型。建议介入治疗,效果会很好的。

支持原发性肝癌。
作者: qc80012345    时间: 2008-5-3 16:41
原发性肝癌
作者: panyishengct    时间: 2008-5-3 17:11
符合:肝癌
作者: chengxunyi    时间: 2008-5-3 17:53
肝癌,腹膜后淋巴转移不除外。




欢迎光临 医影在线 (http://bbs.radida.com/bbs/) Powered by Discuz! X3.2