




















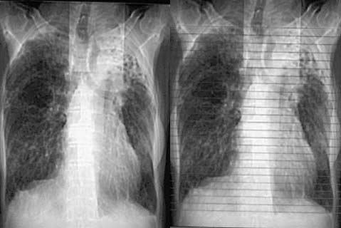
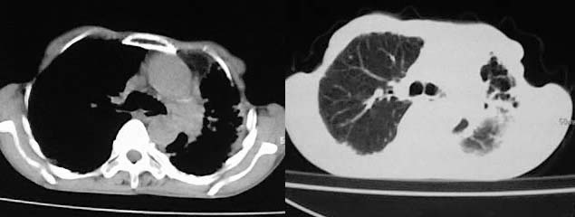
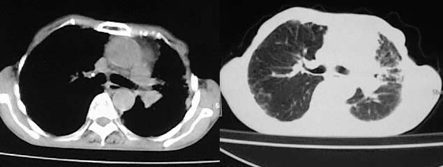
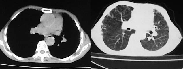
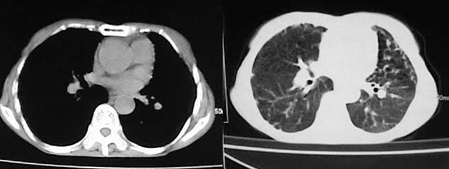
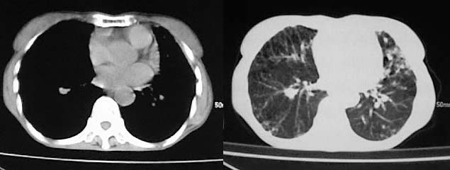
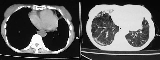
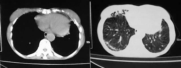
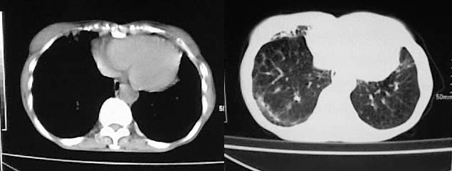
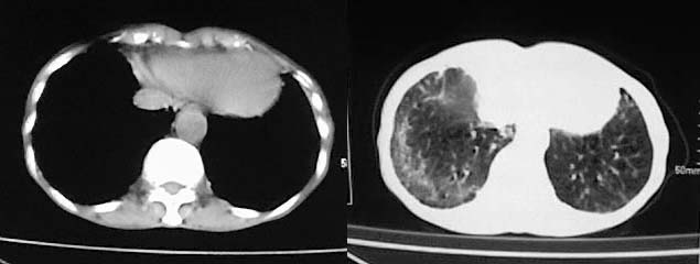
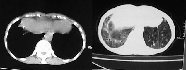
以下是引用zjzjr在2008-5-2 14:39:00的发言:[br]支持双侧继发型肺结核,左侧胸膜肥厚,慢性支气管炎伴间质纤维化.
以下是引用zjzjr在2008-5-2 14:39:00的发言:[br]支持双侧继发型肺结核,左侧胸膜肥厚,慢性支气管炎伴间质纤维化.
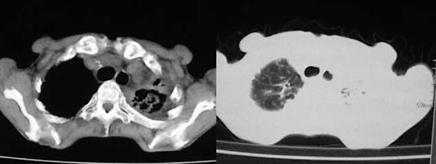
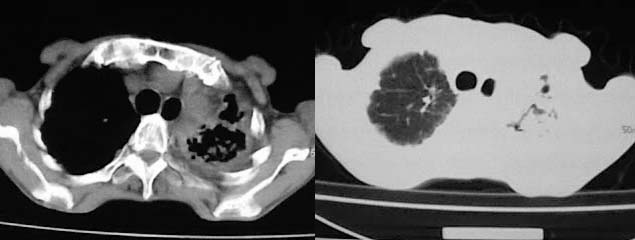
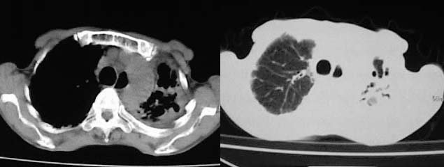
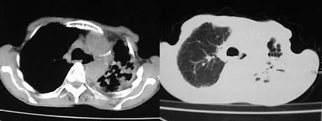
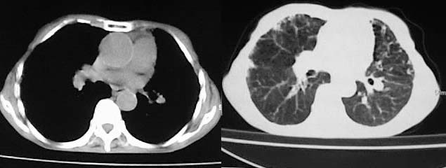
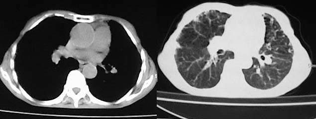
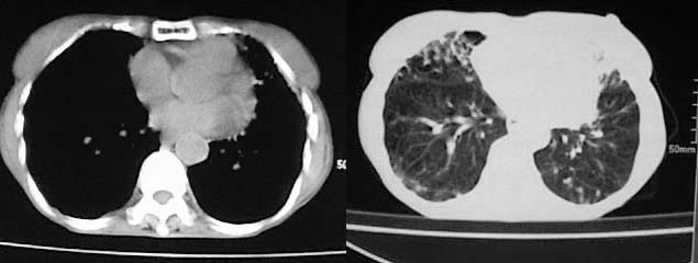
以下是引用有风的日子在2008-5-2 12:13:00的发言:[br][emb10][br][br]肺ca?有病理支持吗?[br][br]我看更象是肺tb并支扩、间质性肺炎。最好拿个病理结果来,不然这点影像资料诊断肺ca是难以服人的![br][br]至于主动脉瘤的诊断问题,国外认为≥4.0cm就可诊断了,国内对此诊断标准更为严格。患者升主动脉明显增粗,即>4cm。你诊断个升主动脉扩张并不为过!
| 欢迎光临 医影在线 (http://bbs.radida.com/bbs/) | Powered by Discuz! X3.2 |