医影在线

标题: CT13217:头部外伤三月余,头痛三天 [打印本页]

作者: yaminwx    时间: 2008-5-3 18:05
标题: CT13217:头部外伤三月余,头痛三天












[本贴已被 翁志蓬 于 2008-5-3 22:57:35 修改过]

作者: 叶子123    时间: 2008-5-3 18:17
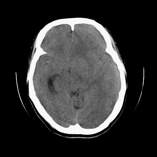
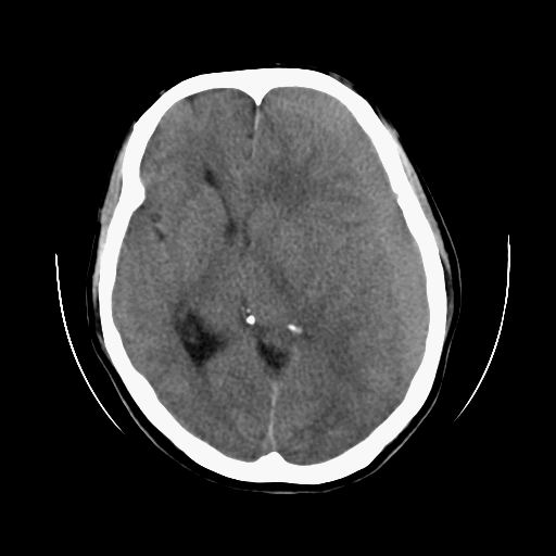
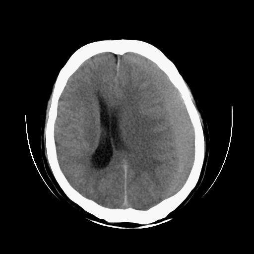
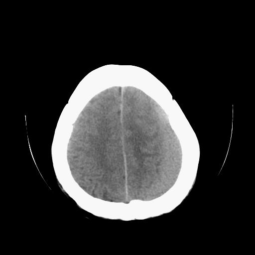
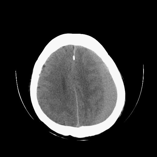
左侧慢性硬膜下血肿
作者: frzh    时间: 2008-5-3 18:18
太典型,左侧慢性硬膜下血肿
作者: 形影不离    时间: 2008-5-3 18:23
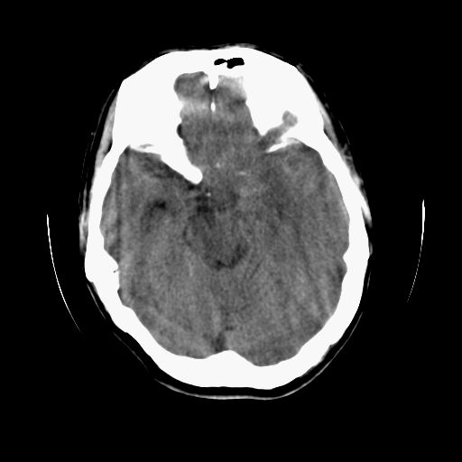
左侧慢性硬膜下血肿,大脑镰下疝。
作者: kbzyycm    时间: 2008-5-3 18:24
左侧慢性硬膜下血肿
作者: 宇宙CT    时间: 2008-5-3 18:40
慢性硬膜下血肿
作者: 子十    时间: 2008-5-3 18:42
标题: 回复:头部外伤三月余,头痛三天
以下是引用形影不离在2008-5-3 10:23:00的发言:[br]左侧慢性硬膜下血肿,大脑镰下疝。
钩回疝
作者: 731208    时间: 2008-5-3 19:02
太典型,左侧慢性硬膜下血肿
作者: 宇宙CT    时间: 2008-5-3 19:13
左侧慢性硬膜下血肿,大脑镰下疝。
作者: panyishengct    时间: 2008-5-3 19:16
左侧慢性硬膜下血肿
作者: 深泽交通    时间: 2008-5-3 19:17
zhi chi 2
作者: zhangnianqiu_20    时间: 2008-5-3 19:24
左侧慢性硬膜下血肿,并大脑镰疝。
作者: zjb    时间: 2008-5-3 19:39
左侧慢性硬膜下血肿
作者: yangyudong333    时间: 2008-5-3 19:57
左侧慢性硬膜下血肿
作者: jinguoji    时间: 2008-5-3 21:11
支持考虑左侧慢性硬膜下血肿,并大脑镰疝。
作者: XIANXIANZHONGYI    时间: 2008-5-3 21:41
左侧慢性硬膜下血肿
作者: csyxxx    时间: 2008-5-3 21:44
左侧慢性硬膜下血肿,大脑镰下疝
作者: zhangkai    时间: 2008-5-3 21:47
标题: 回复:头部外伤三月余,头痛三天
以下是引用形影不离在2008-5-3 10:23:00的发言:[br]左侧慢性硬膜下血肿,大脑镰下疝。

支持
作者: 孤家寡人    时间: 2008-5-3 22:14
支持
作者: mzh123    时间: 2008-5-3 22:53
左侧慢性硬膜下血肿
作者: zsl6918    时间: 2008-5-4 05:08
根据病灶密度应该是亚急性硬膜下血肿。
作者: xulianj    时间: 2008-5-4 05:20
左侧慢性硬膜下血肿
作者: 358450m    时间: 2008-5-4 05:24
标题: 回复:头部外伤三月余,头痛三天
以下是引用叶子123在2008-5-3 10:17:00的发言:[br]左侧慢性硬膜下血肿

作者: ping2    时间: 2008-5-4 05:36
典型病例
作者: dyqct    时间: 2008-5-4 07:14
支持左额颞顶慢性硬膜下血肿伴大脑镰下疝。
作者: 拾荒者    时间: 2008-5-5 03:25
标题: 回复:ct13217:头部外伤三月余,头痛三天
[quote]以下是引用zsl6918在2008-5-3 21:08:00的发言:[br]根据病灶密度应该是亚急性硬膜下血肿。[/q
血肿是急性、亚急性、还是慢性,要结合外伤时间考虑的,本例头部外伤三个月,应该是明显的慢性硬膜下血肿,但血肿的等密度显然不符合病理改变,估计是合并再次出血,中线结构移位明显,有脑疝形成。应穿刺减压。
作者: dr.yang    时间: 2011-12-4 10:57
血肿是急性、亚急性、还是慢性,要结合外伤时间考虑的,本例头部外伤三个月,应该是明显的慢性硬膜下血肿,但血肿的等密度显然不符合病理改变,估计是合并再次出血,中线结构移位明显,有脑疝形成。应穿刺减压。 大于2个月为慢性出血,2周到二个月为亚急性出血




欢迎光临 医影在线 (http://bbs.radida.com/bbs/) Powered by Discuz! X3.2