医影在线
标题: CT13219:(补充强化)请会诊,患者女,60岁,头晕,大家看 [打印本页]
作者: XIANXIANZHONGYI 时间: 2008-5-3 19:58
标题: CT13219:(补充强化)请会诊,患者女,60岁,头晕,大家看
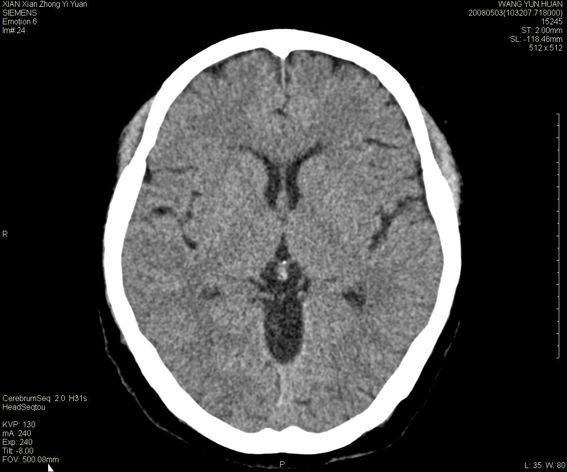
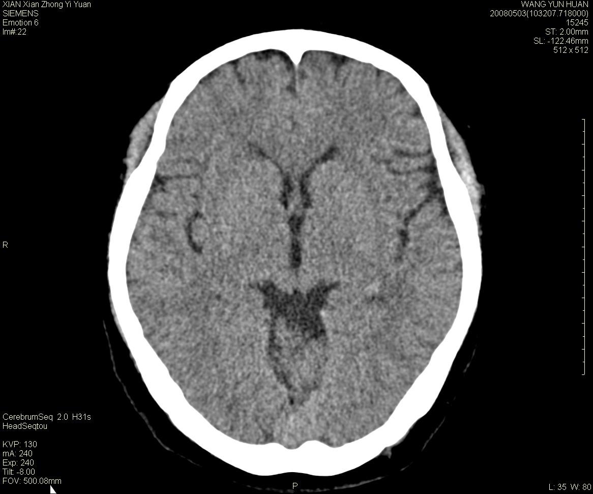
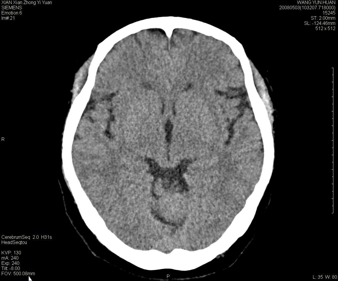
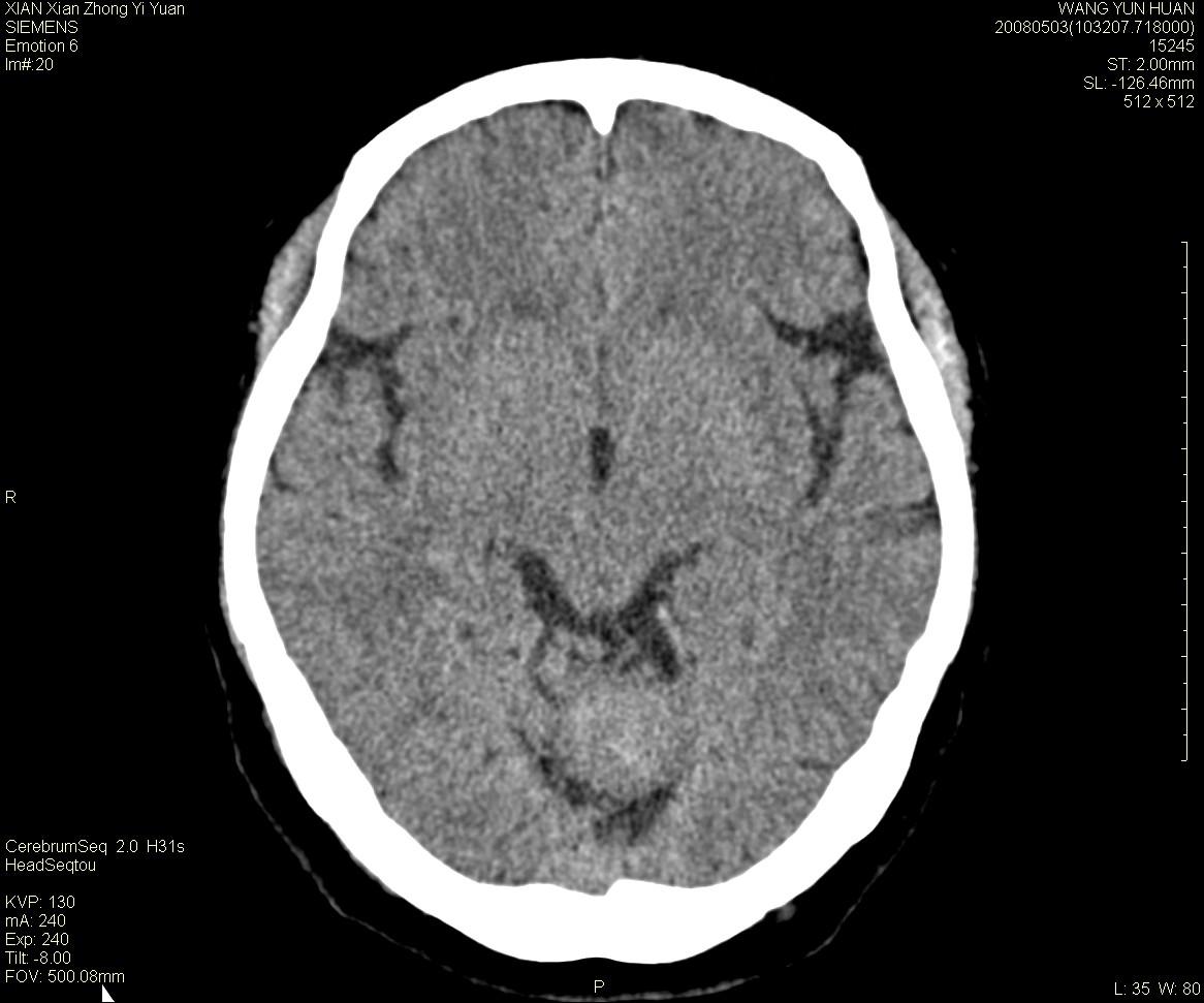
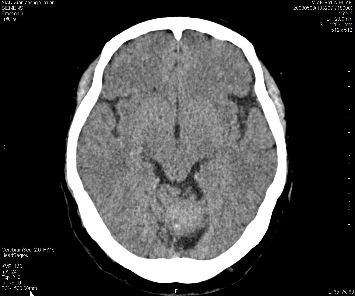
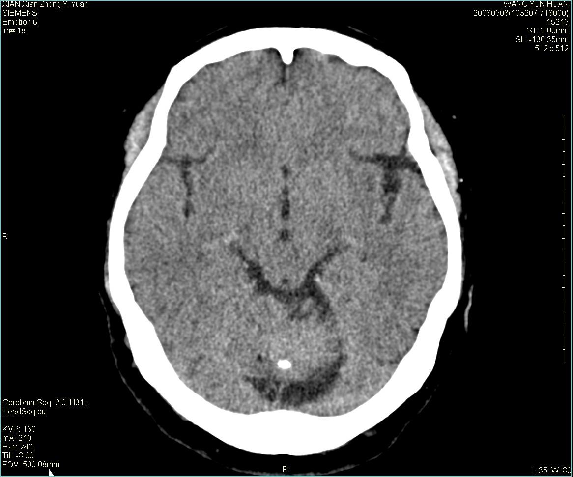
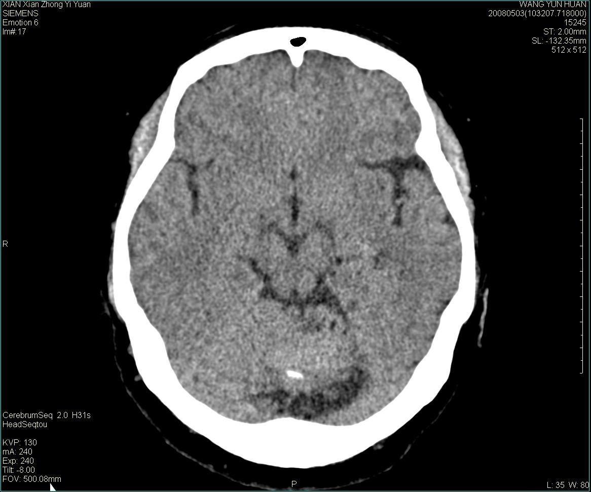
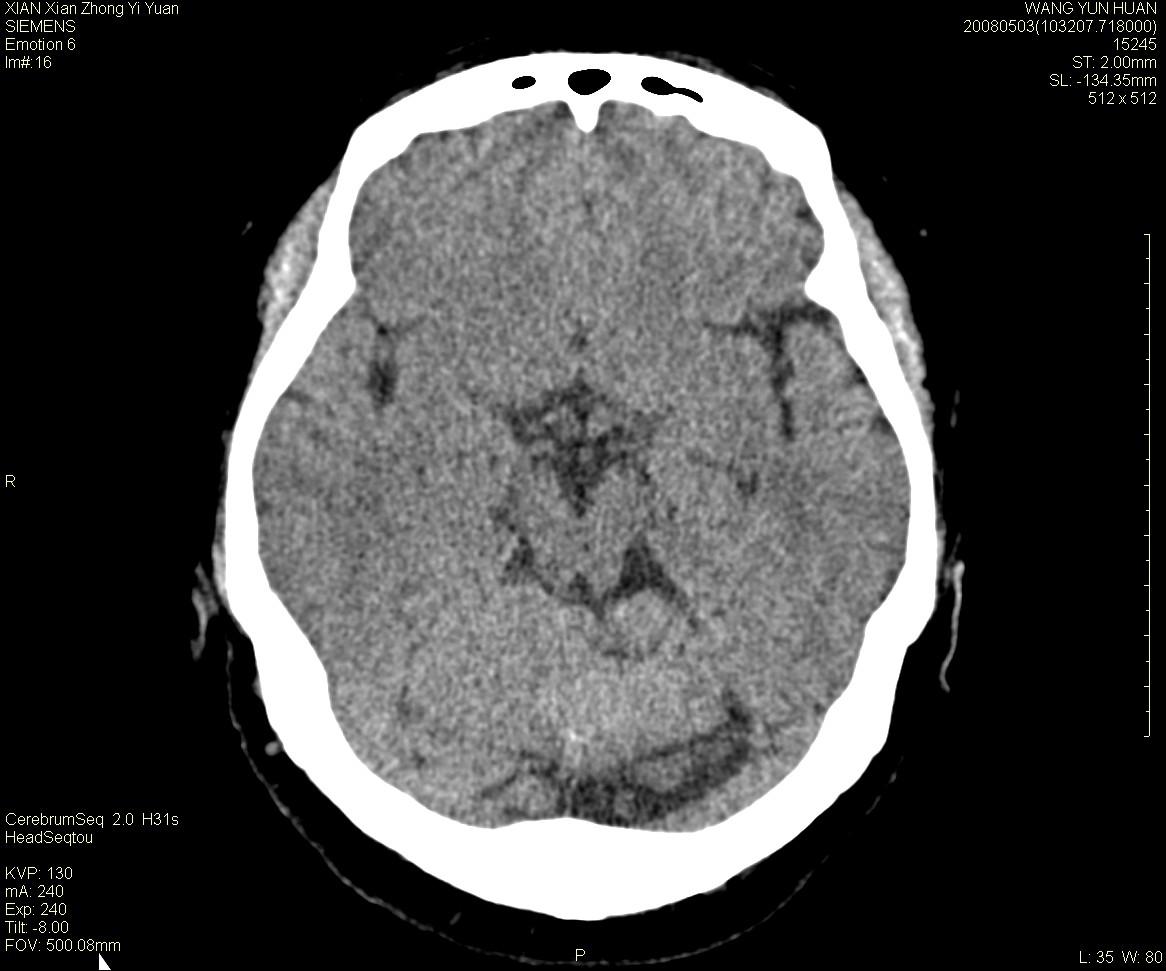
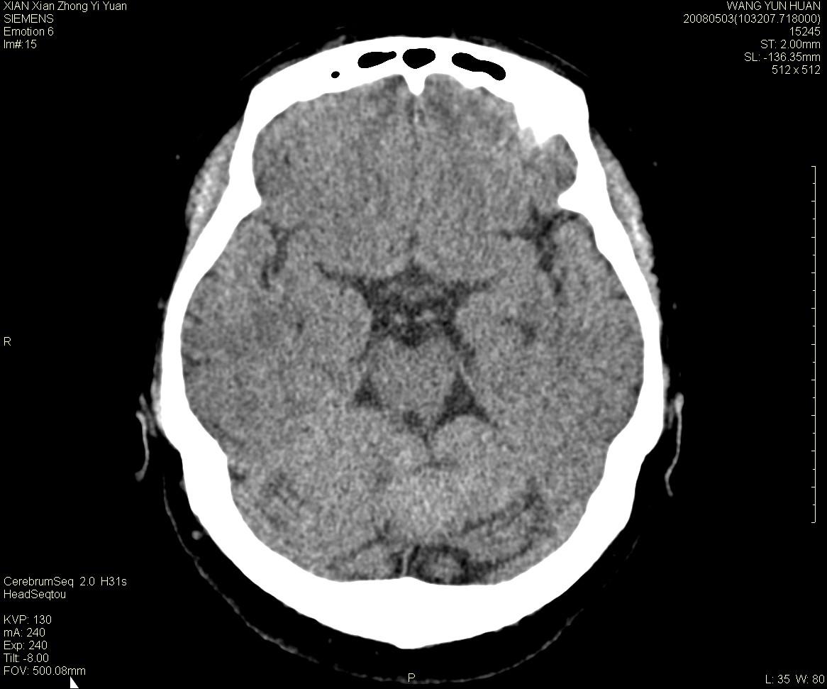
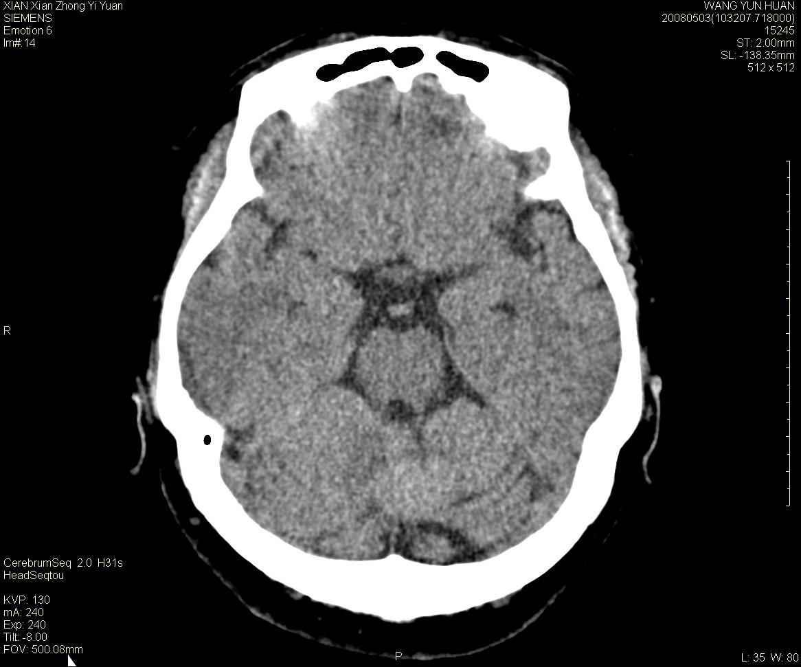
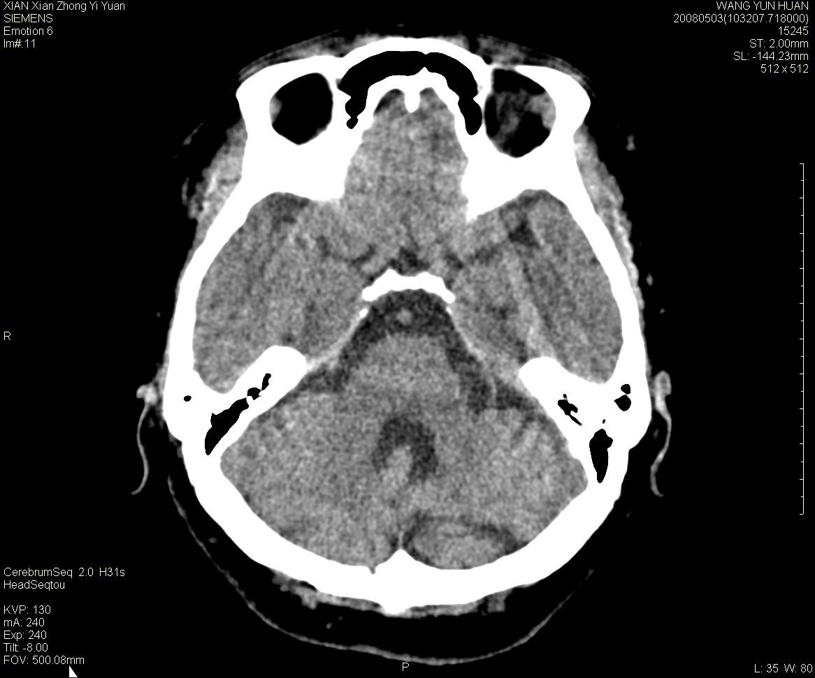
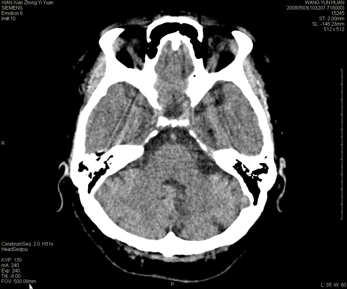
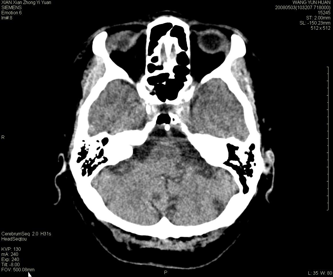
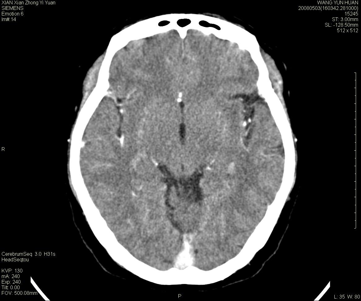
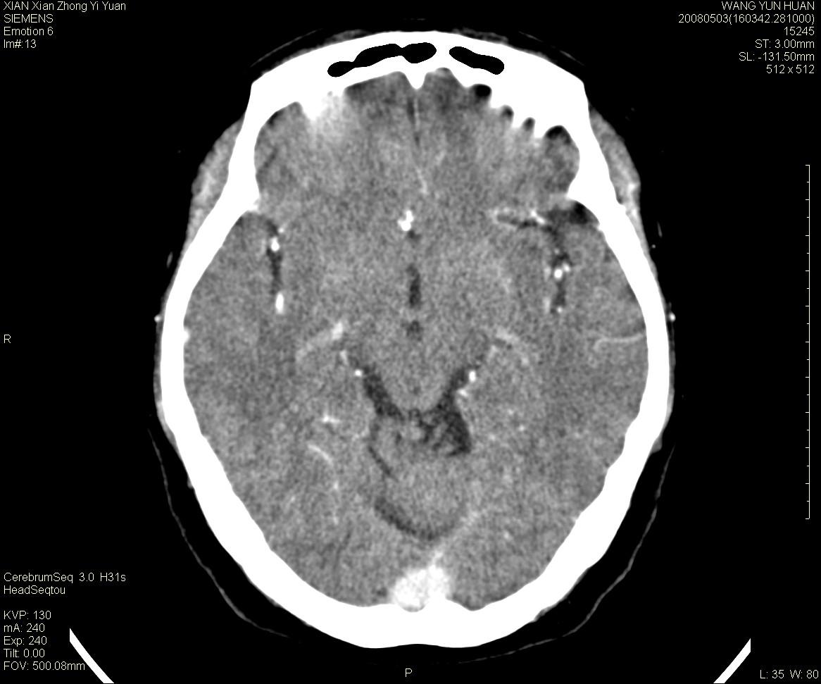
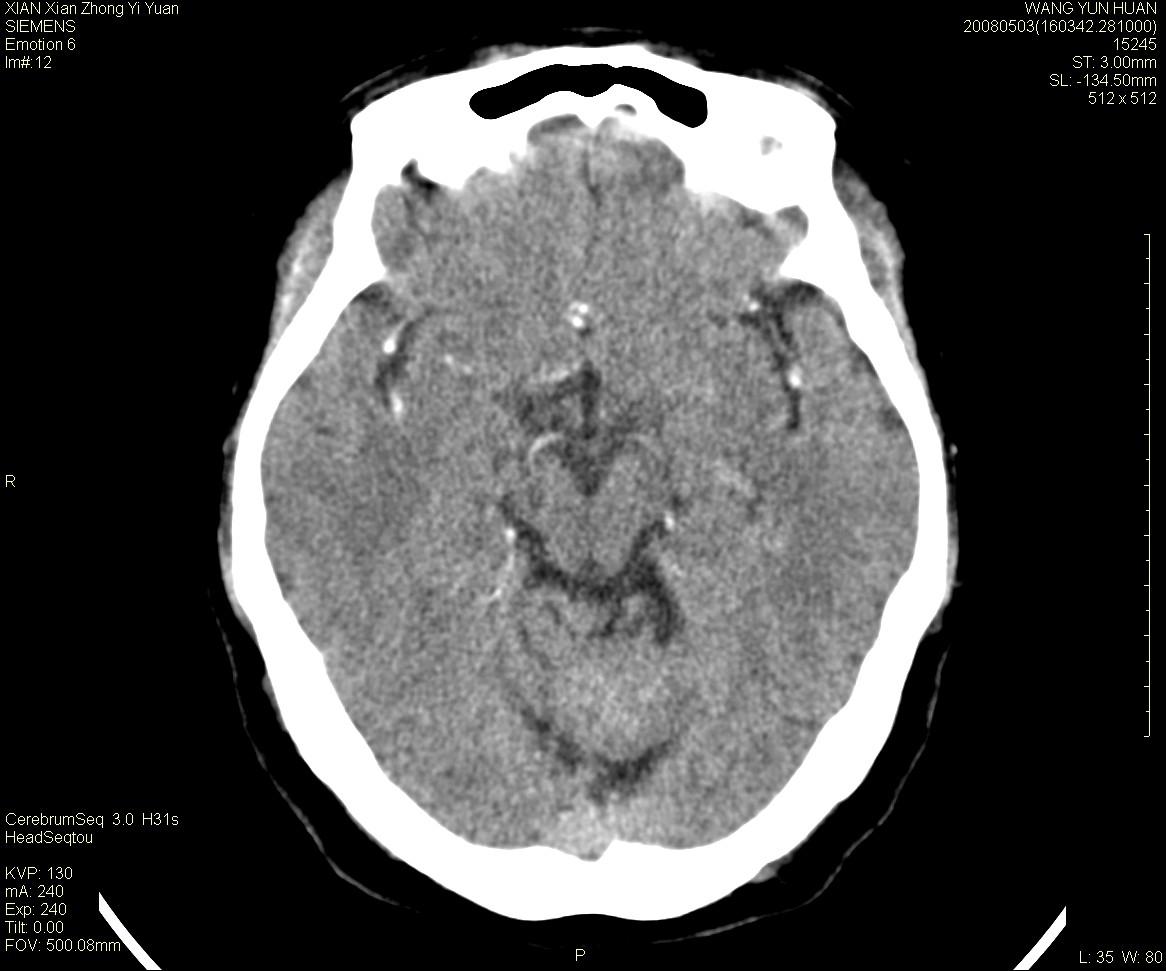
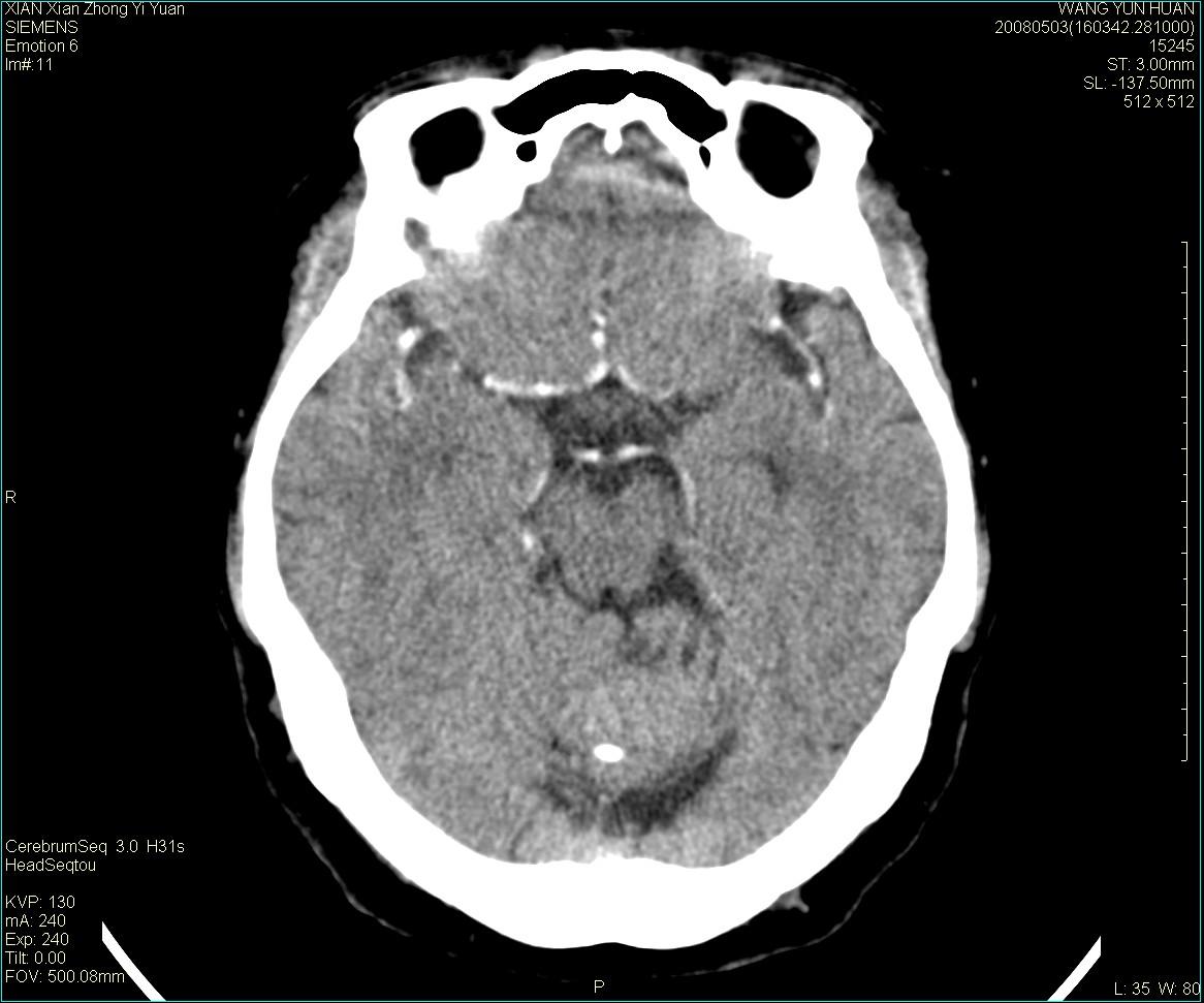
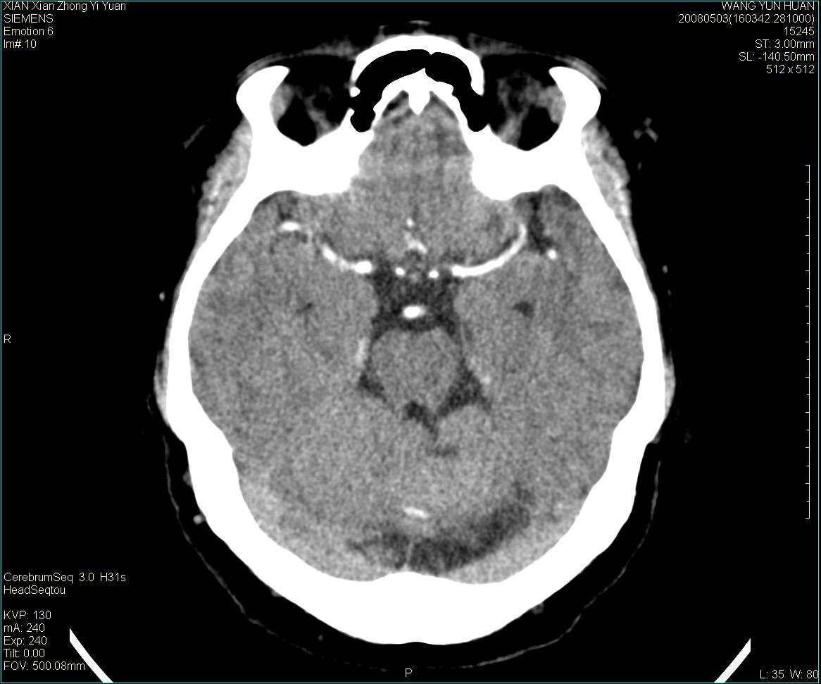
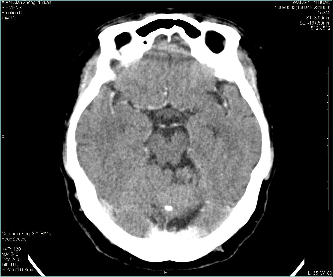
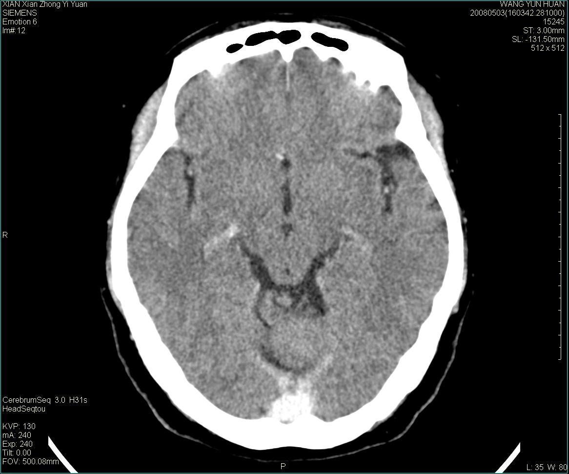
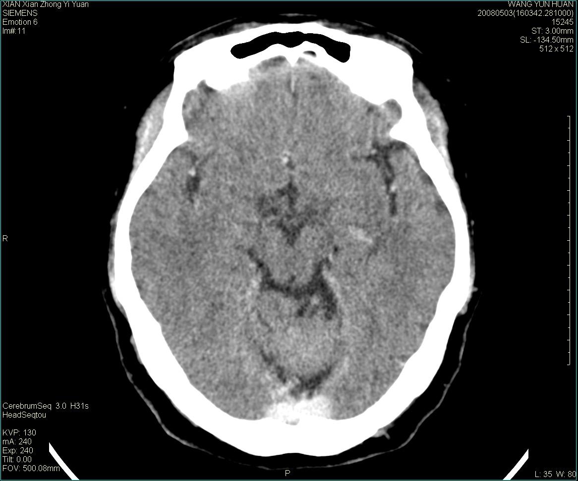
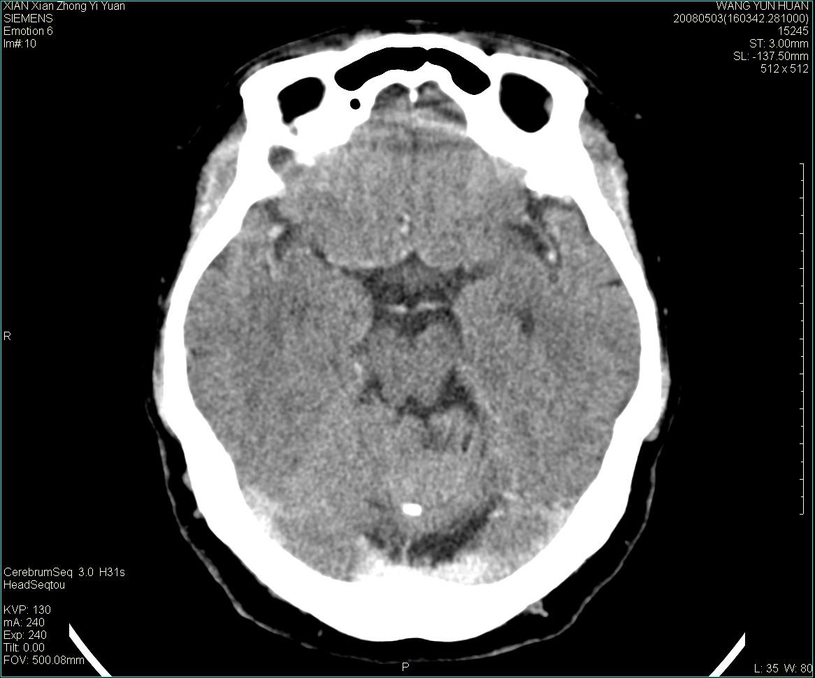
病灶显示轻度强化,ct增加4hu左右,大家看是什么肿瘤.













[本贴已被 翁志蓬 于 2008-5-3 23:01:58 修改过]

强化后动脉期及延迟2分钟,五分钟图像










[本贴已被 xianxianzhongyi 于 2008-5-4 12:26:14 修改过]
[本贴已被 jiajie 于 2008-5-4 18:01:01 修改过]
作者: 前行 时间: 2008-5-3 20:25
脑膜瘤可能,建议ct增强或mr检查。
作者: liangshusheng 时间: 2008-5-3 20:43
支持脑膜瘤,建议增强。
作者: jinguoji 时间: 2008-5-3 20:55
支持考虑脑膜瘤,建议增强进一步检查。
作者: zhangnianqiu_20 时间: 2008-5-3 21:06
考虑脑膜瘤可能大,建议ct增强或mr检查
作者: 深泽交通 时间: 2008-5-3 23:12
zhi chi 2
作者: 宇宙CT 时间: 2008-5-3 23:18
支持考虑脑膜瘤,建议增强进一步检查。
作者: 快乐流星 时间: 2008-5-4 00:35
脑膜瘤?
作者: zjzjr 时间: 2008-5-4 00:37
支持考虑脑膜瘤,建议增强进一步检查。
作者: 影象小辈 时间: 2008-5-4 00:38
支持脑膜瘤
作者: 形影不离 时间: 2008-5-4 00:51
支持考虑脑膜瘤,建议增强进一步检查。
作者: 卜一 时间: 2008-5-4 00:57
支持:脑膜瘤,建议增强。(等密度肿块,伴有钙化。)
作者: 杀毒软件 时间: 2008-5-4 01:20
支持考虑脑膜瘤,建议增强进一步检查
作者: 随光逐影 时间: 2008-5-4 01:55
支持 考虑脑膜瘤,建议行进一步检查。
作者: qc80012345 时间: 2008-5-4 02:02
支持脑膜瘤,建议增强。
作者: tao772 时间: 2008-5-4 02:33
小脑蚓部占位,考虑脑膜瘤。增强吧
作者: xulianj 时间: 2008-5-4 03:48
考虑脑膜瘤可能大,建议ct增强或mr检查。
作者: zsl6918 时间: 2008-5-4 03:55
要么强化要么mri,考虑脑膜瘤可能性大。
作者: zhengfaming 时间: 2008-5-4 04:48
脑膜瘤
作者: panyishengct 时间: 2008-5-4 04:54
支持考虑脑膜瘤,建议增强进一步检查。
作者: 358450m 时间: 2008-5-4 06:02
标题: 回复:请会诊,患者女,60岁,头晕,大家看小脑蚓部
以下是引用前行在2008-5-3 12:25:00的发言:[br]脑膜瘤可能,建议ct增强或mr检查。
作者: dyqct 时间: 2008-5-4 07:01
考虑脑膜瘤可能大,建议ct增强或mr检查。
作者: jiajie 时间: 2008-5-5 02:21
小脑蚓部囊型肿块,内有实性结节及钙化点。增强后囊壁及结节轻度强化。
考虑蚓部星形细胞瘤(ⅱ级可能性大)。
作者: 拾荒者 时间: 2008-5-5 03:44
小脑蚓部肿块,周围无明显占位效应及水肿带,增强轻度强化,考虑低分级星形细胞瘤。
作者: pujunzhi 时间: 2008-5-10 06:14
小脑吲部胶质瘤(少枝胶质细胞瘤或形星细胞瘤)
作者: zsl6918 时间: 2008-5-10 06:26
少见部位的少见病例
作者: qc80012345 时间: 2008-5-10 06:55
支持脑膜瘤
作者: panyishengct 时间: 2008-5-10 09:18
支持脑膜瘤
作者: 石门之剑 时间: 2008-5-14 07:52
支持脑膜瘤、
作者: pujunzhi 时间: 2008-5-15 07:16
考虑动静脉畸
作者: dr.yang 时间: 2011-12-6 07:26
小脑蚓部肿块,周围无明显占位效应及水肿带,增强轻度强化,考虑低分级星形细胞瘤。
欢迎光临 医影在线 (http://bbs.radida.com/bbs/) |
Powered by Discuz! X3.2 |