

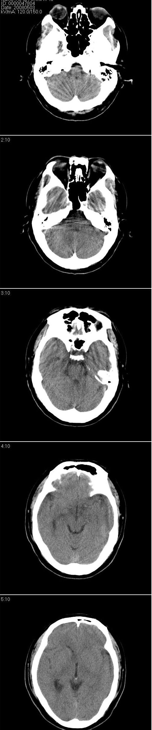
以下是引用liuyue在2008-5-3 15:51:00的发言:[br]右侧侧脑室室间孔处似可见等密度影,右侧侧脑室扩大,但前角及下角无明显扩张变园钝,建议:薄层扫描或强化ct扫描或mri检查。
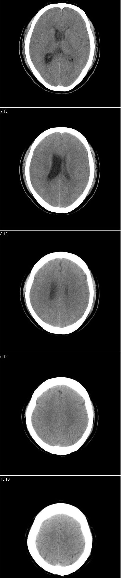
以下是引用形影不离在2008-5-3 16:55:00的发言:[br]考虑右侧侧脑室室间孔处胶样囊肿,并右侧侧脑室积水扩张。
以下是引用形影不离在2008-5-3 16:55:00的发言:[br]考虑右侧侧脑室室间孔处胶样囊肿,并右侧侧脑室积水扩张。

以下是引用liuyue在2008-5-3 15:51:00的发言:[br]右侧侧脑室室间孔处似可见等密度影,右侧侧脑室扩大,但前角及下角无明显扩张变园钝,建议:薄层扫描或强化ct扫描或mri检查。
以下是引用zhengfaming在2008-5-3 20:30:00的发言:[br]右侧侧脑室室间孔处似可见等密度结节影(图2),右侧侧脑室扩大,考虑占位.以室管膜瘤可能性大
| 欢迎光临 医影在线 (http://bbs.radida.com/bbs/) | Powered by Discuz! X3.2 |