




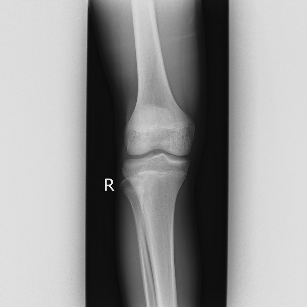
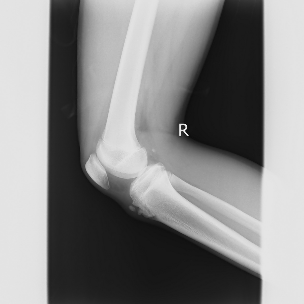
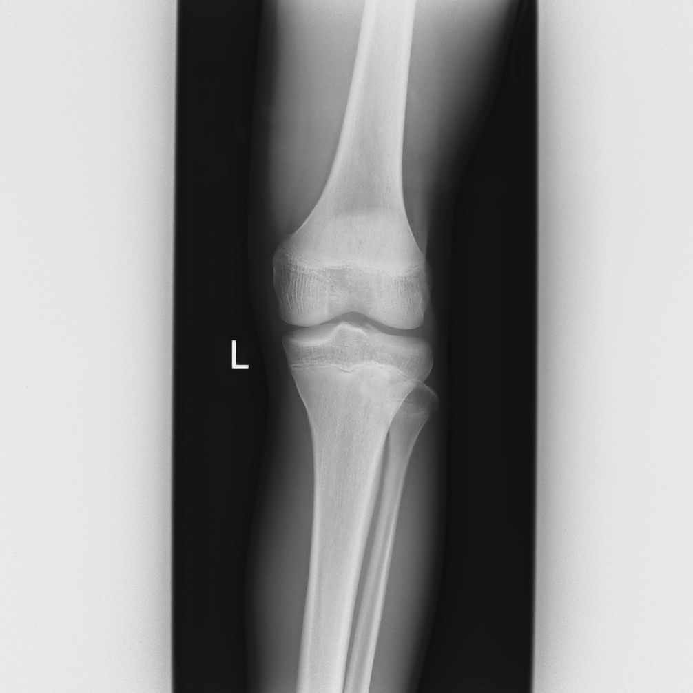
以下是引用qc80012345在2008-5-3 18:26:00的发言:[br]胫前结节缺血性骨软骨炎。
以下是引用qc80012345在2008-5-3 18:26:00的发言:[br]胫前结节缺血性骨软骨炎。
以下是引用宇宙ct在2008-5-3 19:16:00的发言:[br]胫前结节缺血性骨软骨炎
以下是引用qc80012345在2008-5-3 18:26:00的发言:[br]胫前结节缺血性骨软骨炎。
| 欢迎光临 医影在线 (http://bbs.radida.com/bbs/) | Powered by Discuz! X3.2 |