医影在线
标题: CT13225:老年男性,左膝关节疼痛数月;请各位老师讨论。 [打印本页]
作者: xulianj 时间: 2008-5-4 02:55
标题: CT13225:老年男性,左膝关节疼痛数月;请各位老师讨论。
(该患者与mri1584是同一患者,点击阅读mri片:http://www.radida.com/bbs/forum.php?mod=viewthread&tid=38659)















































[本贴已被 翁志蓬 于 2008-5-3 23:11:52 修改过]
[本贴已被 翁志蓬 于 2008-5-4 0:07:45 修改过]
作者: 余辉 时间: 2008-5-4 03:01
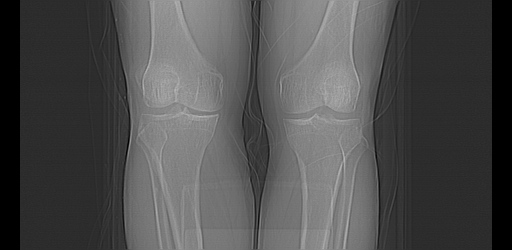
骨质增生,骨性关节面硬化,关节积液,考虑退行性骨关节病
作者: 光影★小胖 时间: 2008-5-4 03:06
标题: 回复:老年男性,左膝关节疼痛数月;请各位老师讨论。
以下是引用余辉在2008-5-3 19:01:00的发言:[br]骨质增生,骨性关节面硬化,关节积液,考虑退行性骨关节病
作者: zsl6918 时间: 2008-5-4 03:13
关节腔内少量积液,关节面退变。
作者: ZJB 时间: 2008-5-4 03:57
标题: 回复:老年男性,左膝关节疼痛数月;请各位老师讨论。
以下是引用zsl6918在2008-5-3 19:13:00的发言:[br]关节腔内少量积液,关节面退变。[br]
支持
作者: shang2 时间: 2008-5-4 03:59
双膝退变
作者: 前行 时间: 2008-5-4 04:18
支持,建议mr检查
作者: 杀毒软件 时间: 2008-5-4 04:46
支持
作者: mzh123 时间: 2008-5-4 04:48
标题: 回复:老年男性,左膝关节疼痛数月;请各位老师讨论。
以下是引用余辉在2008-5-3 19:01:00的发言:[br]骨质增生,骨性关节面硬化,关节积液,考虑退行性骨关节病
作者: 358450m 时间: 2008-5-4 04:48
标题: 回复:老年男性,左膝关节疼痛数月;请各位老师讨论。
以下是引用余辉在2008-5-3 19:01:00的发言:[br]骨质增生,骨性关节面硬化,关节积液,考虑退行性骨关节病
作者: xulianj 时间: 2008-5-4 04:51
标题: 回复:老年男性,左膝关节疼痛数月;请各位老师讨论。


作者: jsgdoctor 时间: 2008-5-4 04:51
骨质增生,骨性关节面硬化,关节积液,考虑退行性骨关节病
作者: xulianj 时间: 2008-5-4 04:55
mri已上传至mri讨论区,请阅!
作者: liuyue 时间: 2008-5-4 05:45
骨质增生,骨性关节面硬化,关节间隙失常,关节积液,考虑退行性骨关节病.
作者: 讲话了 时间: 2008-5-4 05:54
退行性骨关节病
作者: dyqct 时间: 2008-5-4 07:03
标题: 回复:老年男性,左膝关节疼痛数月;请各位老师讨论。
以下是引用余辉在2008-5-3 19:01:00的发言:[br]骨质增生,骨性关节面硬化,关节积液,考虑退行性骨关节病
支持!
作者: jinguoji 时间: 2008-5-4 08:05
骨质增生,骨性关节面硬化,关节积液,考虑退行性骨关节病。
作者: yangyudong333 时间: 2008-5-4 14:35
关节腔内少量积液,关节面退变
作者: 形影不离 时间: 2008-5-4 16:19
关节腔内少量积液,关节面退变。
作者: 一棵树 时间: 2008-5-4 18:06
支持退行性骨关节病
作者: 拾荒者 时间: 2008-5-5 04:20
标题: 回复:ct13225:老年男性,左膝关节疼痛数月;请各位老师讨
以下是引用liuyue在2008-5-3 21:45:00的发言:[br]骨质增生,骨性关节面硬化,关节间隙失常,关节积液,考虑退行性骨关节病.
作者: 听蝉观竹 时间: 2008-5-5 05:11
标题: 回复:ct13225:老年男性,左膝关节疼痛数月;请各位老师讨


这是由于两侧的肌肉不对称所致,加上扫描的平面也有些差异。请看示意图:

这个病例诊断:退行性骨关节炎
作者: dr.yang 时间: 2011-12-4 11:22
骨质增生,骨性关节面硬化,关节积液,考虑退行性骨关节病 .
| 欢迎光临 医影在线 (http://bbs.radida.com/bbs/) |
Powered by Discuz! X3.2 |