



















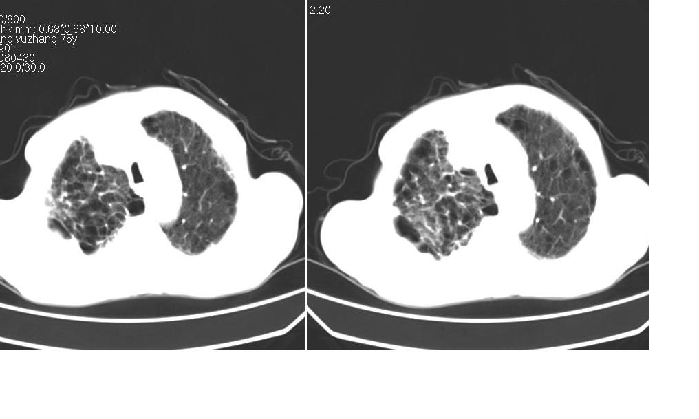
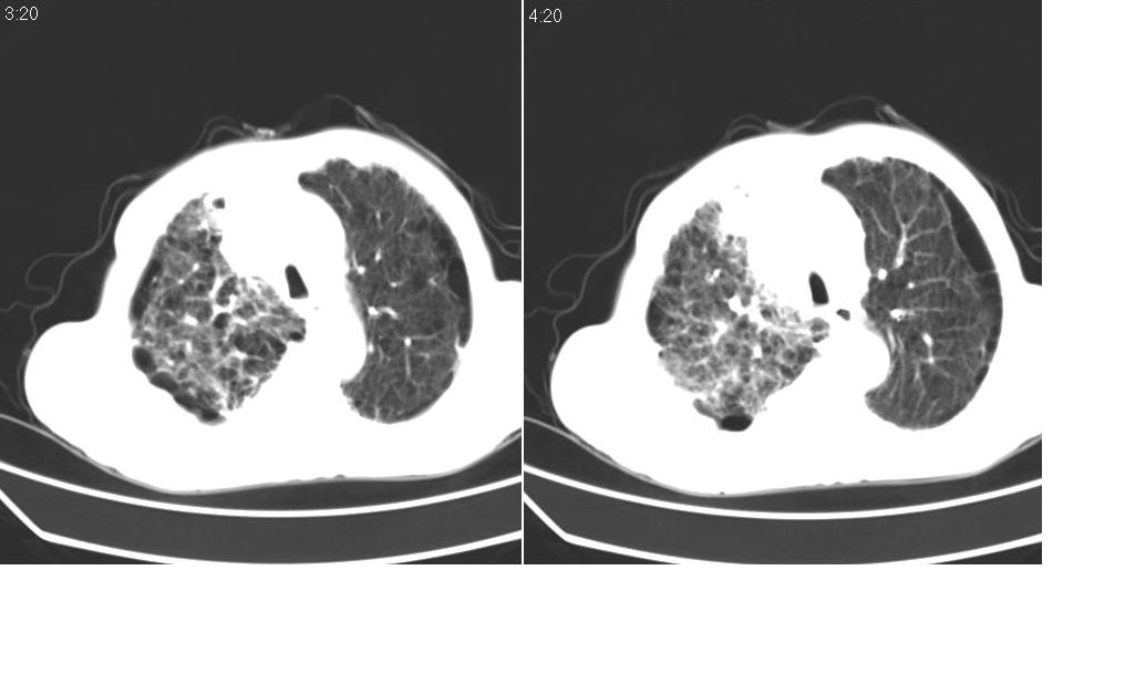
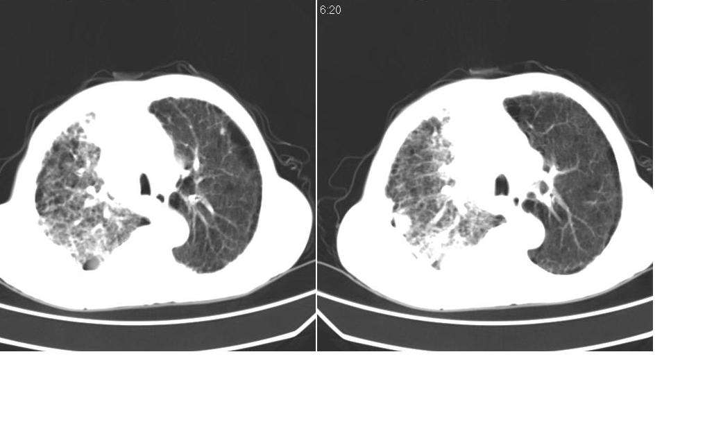
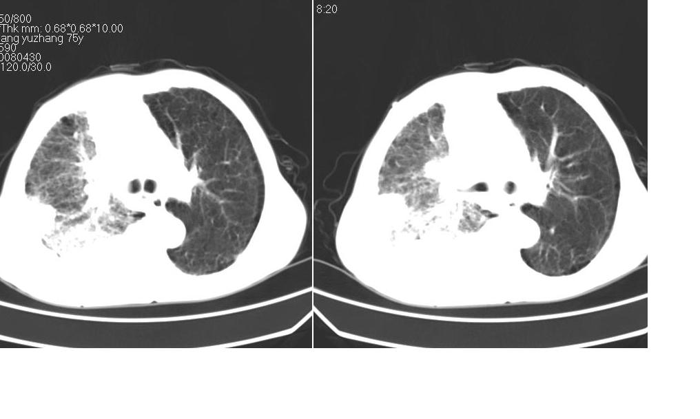
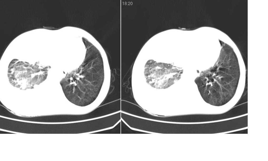
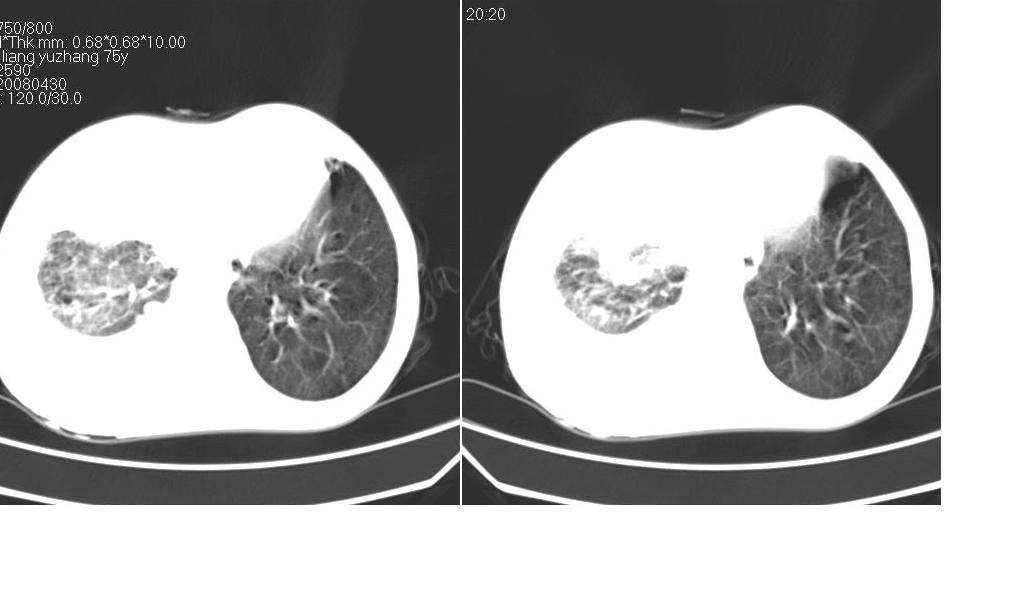
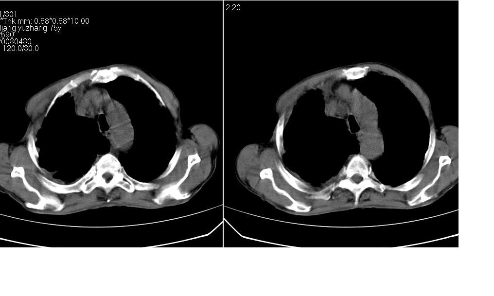
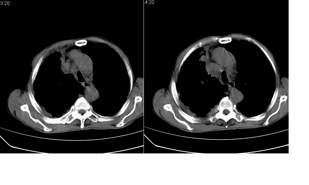
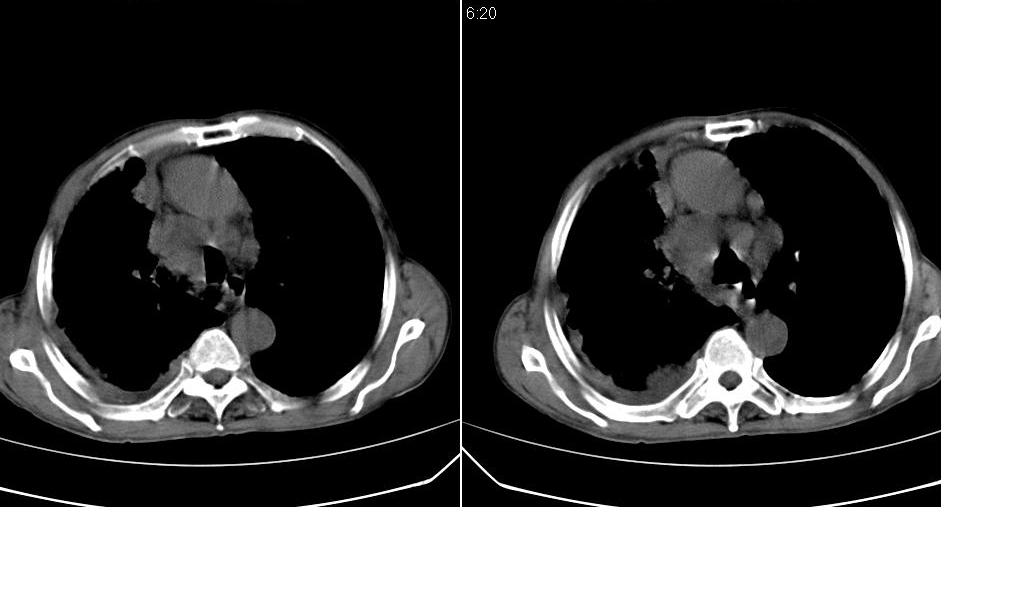
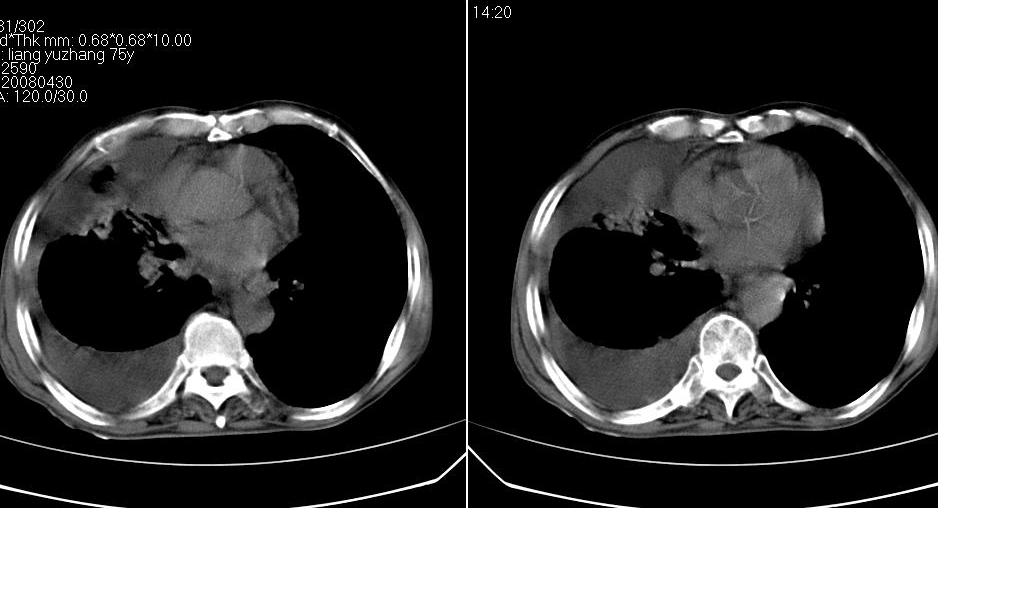
以下是引用zsl6918在2008-5-3 19:53:00的发言:[br]右肺中心型肺癌并纵隔淋巴结转移,胸膜转移,右肺癌性淋巴管炎。
以下是引用zsl6918在2008-5-3 19:53:00的发言:[br]右肺中心型肺癌并纵隔淋巴结转移,胸膜转移,右肺癌性淋巴管炎。
以下是引用zsl6918在2008-5-3 19:53:00的发言:[br]右肺中心型肺癌并纵隔淋巴结转移,胸膜转移,右肺癌性淋巴管炎。
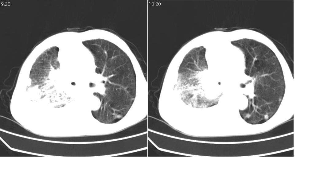
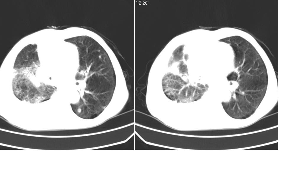
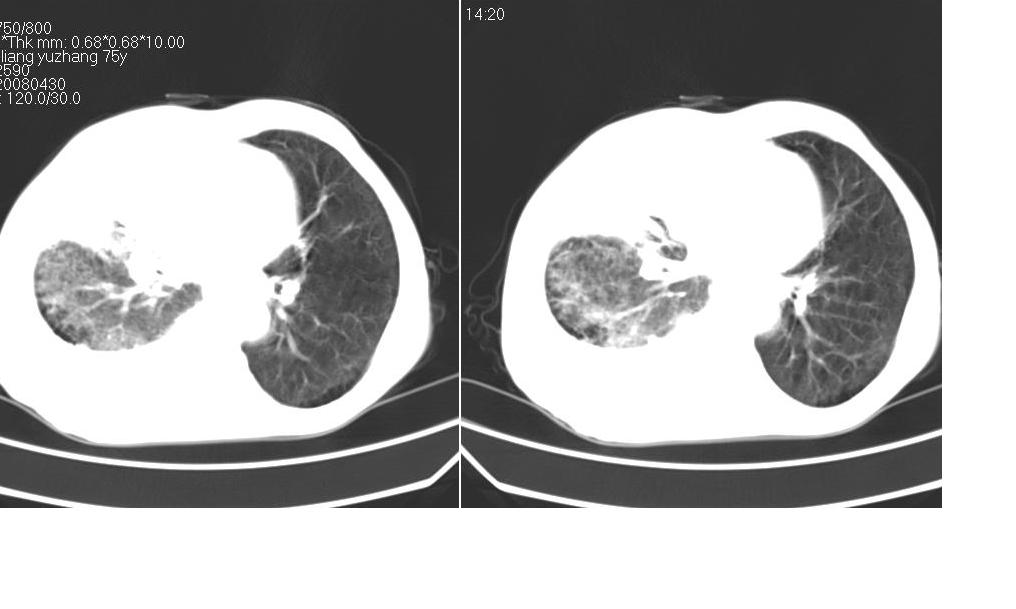
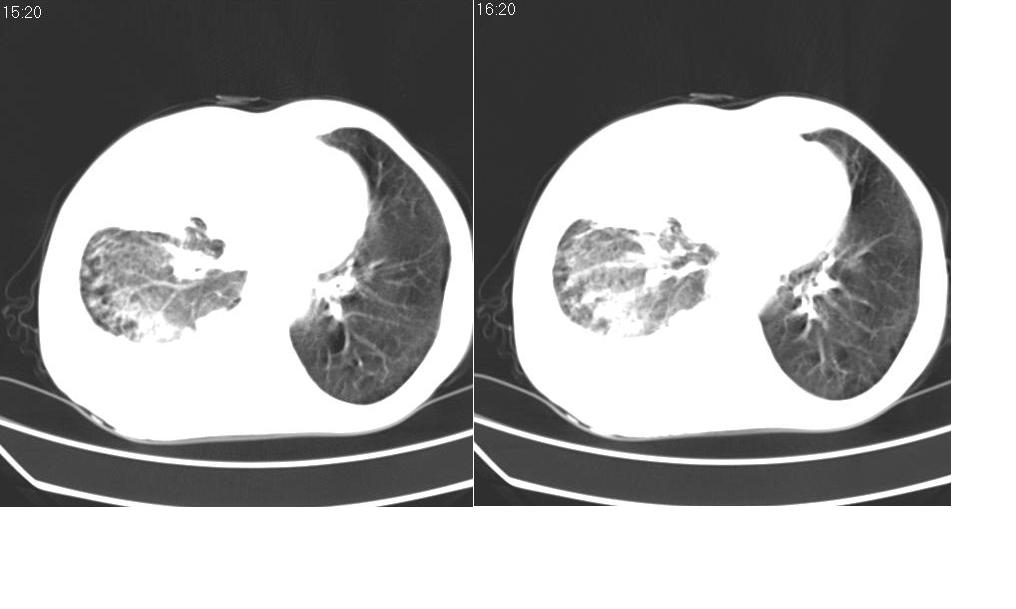
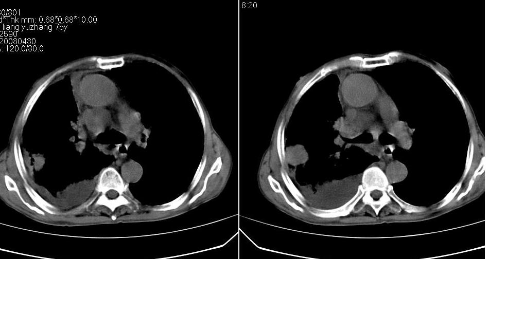
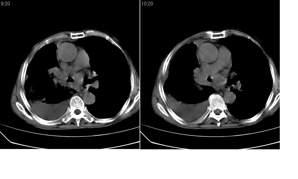
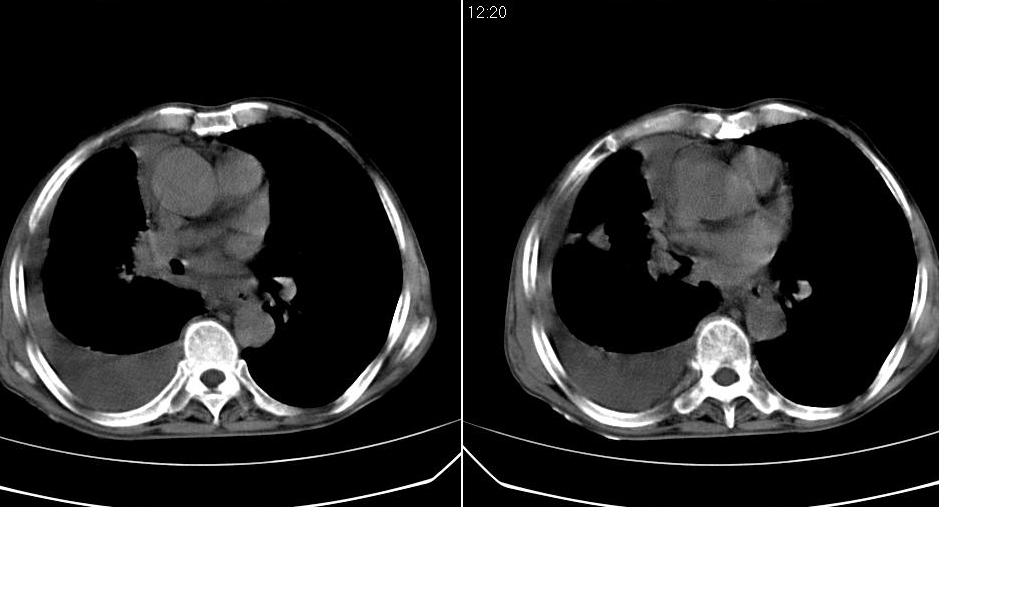
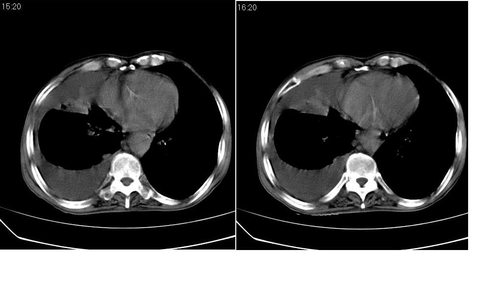
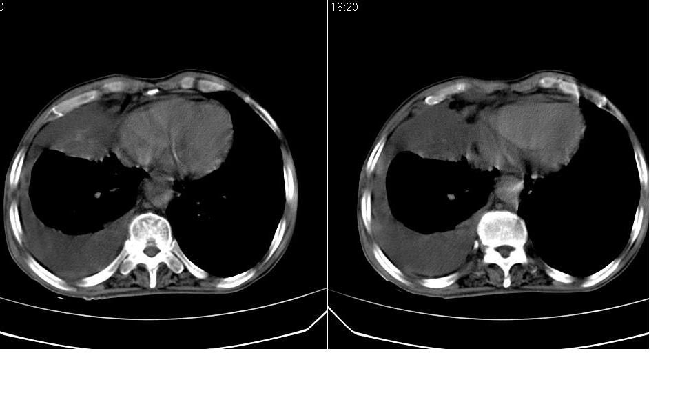
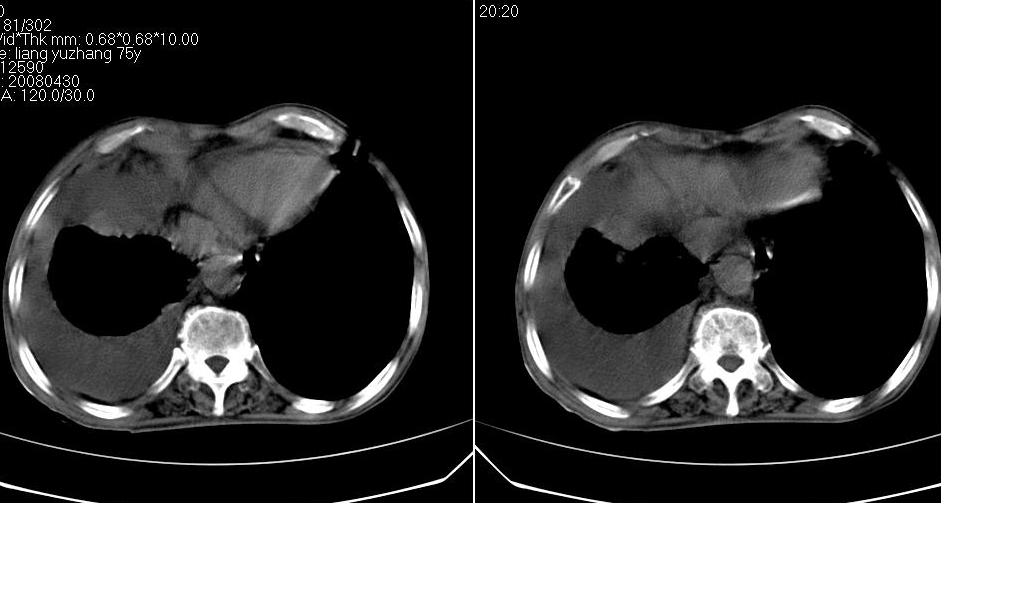
以下是引用liuyue在2008-5-3 20:49:00的发言:[br]1.右侧中心型肺癌伴双肺转移瘤、纵隔淋巴结转移、右侧胸腔积液(侵及胸膜所致可能性大)。[br]2.右肺阻塞性肺炎,癌性淋巴管炎不除外。
以下是引用mzh123在2008-5-3 21:12:00的发言:[br]本人持有不同观点[br]1、右肺似有团块表现,但只有一个层面,所以本人认为还是以片为主,所以不能首先考虑肿瘤[br]2、右肺普遍成纤维化改变 并伴有片状炎症改变,和癌性淋巴管炎表现不同[br]3、所以本人认为是间质纤维化伴感染可能大 及胸腔积液
以下是引用liuyue在2008-5-3 20:49:00的发言:[br]1.右侧中心型肺癌伴双肺转移瘤、纵隔淋巴结转移、右侧胸腔积液(侵及胸膜所致可能性大)。[br]2.右肺阻塞性肺炎,癌性淋巴管炎不除外。
| 欢迎光临 医影在线 (http://bbs.radida.com/bbs/) | Powered by Discuz! X3.2 |