医影在线

标题: CT13232:颅脑CT病变,请看看。 [打印本页]

作者: mzh123    时间: 2008-5-4 04:41
标题: CT13232:颅脑CT病变,请看看。
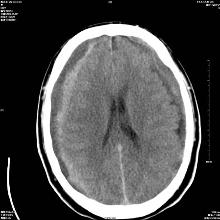
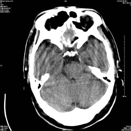
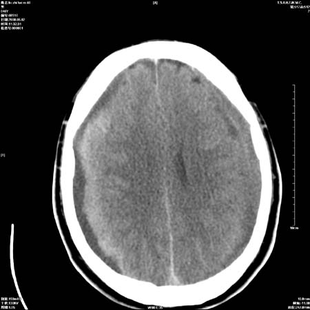
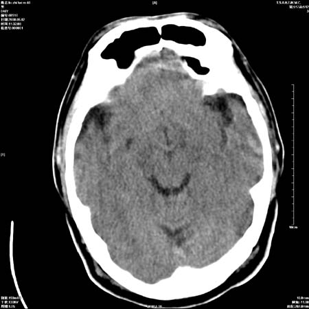
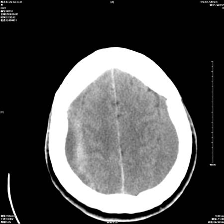
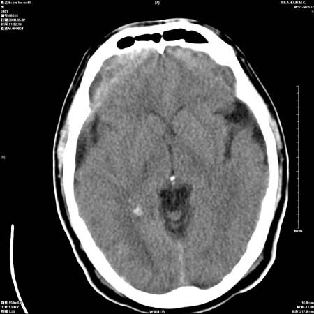
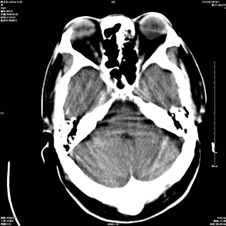
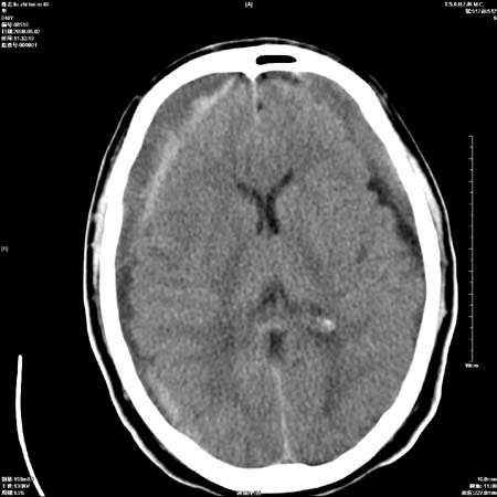
男性   46岁   头晕头痛一周    无任何外伤史    有高血压病史











[本贴已被 翁志蓬 于 2008-5-3 23:42:12 修改过]

作者: zsl6918    时间: 2008-5-4 04:44
亚急性硬膜下血肿
作者: 余辉    时间: 2008-5-4 04:45
考虑双侧慢性硬膜下出血
作者: 前行    时间: 2008-5-4 04:47
支持双侧慢性硬膜下血肿。
作者: xulianj    时间: 2008-5-4 04:59
支持考虑双侧慢性硬膜下出血
作者: 曹玉杰    时间: 2008-5-4 05:12
支持双侧慢性硬膜下血肿
作者: 傲雪    时间: 2008-5-4 05:12
双侧慢性硬膜下出血!
作者: kbzyycm    时间: 2008-5-4 05:19
双侧慢性硬膜下出血
作者: 热情医生    时间: 2008-5-4 05:23
支持双侧慢性硬膜下水肿!
作者: 爱的阶梯    时间: 2008-5-4 05:24
双侧慢性硬膜下出血
作者: 358450m    时间: 2008-5-4 05:27
标题: 回复:颅脑ct病变,请看看。
以下是引用余辉在2008-5-3 20:45:00的发言:[br]考虑双侧慢性硬膜下出血

作者: 讲话了    时间: 2008-5-4 05:35
没什么可说的,给看点其他的吧
作者: jsgdoctor    时间: 2008-5-4 05:35
考虑双侧慢性硬膜下出血
作者: liuyue    时间: 2008-5-4 06:17
支持双侧慢性硬膜下血肿
作者: 为了春天    时间: 2008-5-4 06:46
很典型
作者: dyqct    时间: 2008-5-4 07:29
标题: 回复:颅脑ct病变,请看看。
以下是引用余辉在2008-5-3 20:45:00的发言:[br]考虑双侧慢性硬膜下出血

支持!
作者: yangkui0    时间: 2008-5-4 07:30
考虑双侧慢性硬膜下出血
作者: yy杨洋    时间: 2008-5-4 07:34
支持
作者: gemingzhe    时间: 2008-5-4 07:48
双侧慢性硬膜下血肿
作者: jinguoji    时间: 2008-5-4 08:31
支持双侧慢性硬膜下血肿。
作者: luo88888888    时间: 2008-5-4 08:53
双侧慢性硬膜下血肿
作者: 卜一    时间: 2008-5-4 12:25
考虑双侧慢性硬膜下出血,支持!
作者: yangyudong333    时间: 2008-5-4 14:23
支持双侧慢性硬膜下血肿
作者: 形影不离    时间: 2008-5-4 15:48
双侧慢性硬膜下出血.
作者: 深泽交通    时间: 2008-5-4 17:13
zhi chi 3
作者: csyxxx    时间: 2008-5-4 17:50
双侧慢性硬膜下出血
作者: qiushi    时间: 2008-5-4 18:17
支持双侧慢性硬膜下血肿。
作者: 一棵树    时间: 2008-5-4 18:30
支持双侧慢性硬膜下血肿。
作者: 随光逐影    时间: 2008-5-4 19:05
双侧慢性硬膜下血肿。
作者: 宇宙CT    时间: 2008-5-4 19:07
应该是亚急性(3天——3周)硬膜下出血
作者: xuhuihong    时间: 2008-5-4 19:17
双侧慢性硬膜下出血
作者: 影象小辈    时间: 2008-5-4 19:18
支持双侧慢性硬膜下血肿
作者: xzwtabcd    时间: 2008-5-4 19:44
双侧慢性硬膜下血肿
作者: qc80012345    时间: 2008-5-4 19:52
亚急性硬膜下血肿;典型。
作者: 黑白光影    时间: 2008-5-4 21:50
支持双侧慢性硬膜下血肿
作者: 拾荒者    时间: 2008-5-5 04:58
支持双侧慢性硬膜下血肿。
作者: dr.yang    时间: 2008-5-5 05:07
标题: 回复:ct13232:颅脑ct病变,请看看。
以下是引用余辉在2008-5-3 20:45:00的发言:[br]考虑双侧慢性硬膜下出血

作者: dr.yang    时间: 2011-12-4 11:18
脑出血分期CT和MRI是不同的。
作者: 子十    时间: 2011-12-4 15:38
支持双侧慢性硬膜下血肿




欢迎光临 医影在线 (http://bbs.radida.com/bbs/) Powered by Discuz! X3.2