














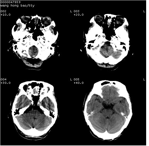
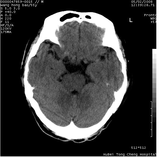
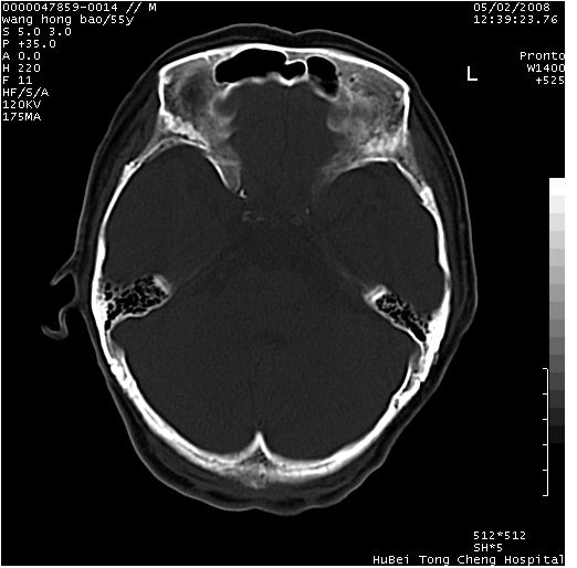
以下是引用dyqct在2008-5-3 23:36:00的发言:[br]桥前池区可疑蛛网膜囊肿。其它未见明显异常。建议做mri。
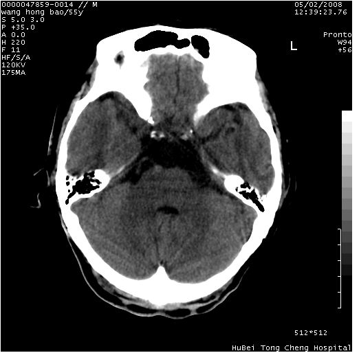
以下是引用qiushi在2008-5-4 10:10:00的发言:[br]鞍上池前缘突出影为双侧额叶直回;箭头所指为双侧正常之人字缝.[br]桥前池区可疑表皮样囊肿或蛛网膜囊肿,必要时mri
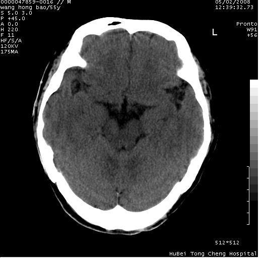
以下是引用dyqct在2008-5-3 23:36:00的发言:[br]桥前池区可疑蛛网膜囊肿。其它未见明显异常。建议做mri。
以下是引用zjzjr在2008-5-4 14:50:00的发言:[br]桥前池区可疑蛛网膜囊肿。其它未见明显异常。建议做mri。
| 欢迎光临 医影在线 (http://bbs.radida.com/bbs/) | Powered by Discuz! X3.2 |