

























以下是引用whzht在2008-5-4 8:06:00的发言:[br]考虑过敏性肺泡炎,建议询问有无接触史
以下是引用whzht在2008-5-4 8:06:00的发言:[br]考虑过敏性肺泡炎,建议询问有无接触史
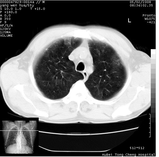
以下是引用lisihao在2008-5-3 23:25:00的发言:[br]双肺多发小片云雾状阴影,结合病史,多考虑支气管扩张并咯血进入肺泡所致
以下是引用tao772在2008-5-4 16:03:00的发言:[br]影像学表现:双肺弥漫性毛玻璃样、棉絮样阴影,密度不均,边缘模糊,两次片比无明显变化,纵隔内未见明确异常密度影,双侧胸腔内见少量水养密度影。[br] 拟诊:(1)肺出血性疾病(肺肾综合症?)[br] (2)感染性疾病(考虑机遇性感染)[br] (3)过敏性肺炎、肺泡蛋白沉积症。[br] 建议完善实验室检查、完善病史。[br] 相关的鉴别诊断:[br] 1.肺水肿:1)肺水肿的阴影密度较均匀,有时如毛玻璃样。2).肺水肿有间质异常阴影,如肺纹理的模糊、增粗,有间隔线阴影。3)肺水肿阴影的动态变化大,几小时、数天内有显著的增多或减少。4)肺水肿不具备炎性的临床表现。[br] 2.ards:从现有的病史及临床表现可排除(约在发病7天后肺部的影像学表现可逐渐消失。)[br]
| 欢迎光临 医影在线 (http://bbs.radida.com/bbs/) | Powered by Discuz! X3.2 |