
















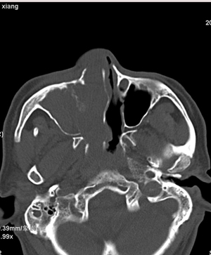
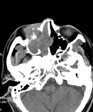
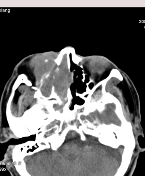
以下是引用peijunlong在2008-5-4 13:35:00的发言:[br]考虑右侧鼻腔内翻性乳头状瘤[br]好发:中老年人。[br]ct:1:一侧鼻腔内肿块经扩大的自然孔道长入鼻窦,是其顺自然孔道蔓延的特点[br] 2:鼻腔,鼻窦扩大,窦壁压迫性骨质破坏。[br] 3:广泛生长的肿瘤可侵犯邻近结构,如眼眶、翼腭窝和颅内。
以下是引用影象小辈在2008-5-4 13:34:00的发言:[br]鼻腔及右侧上颌窦 筛窦内软组织密度影, 相邻鼻中隔、鼻甲及窦壁骨质破坏吸收,病灶延伸至鼻咽腔及右侧眼眶 多考虑为1.乳头状瘤 2.息肉 建议增强及活检
以下是引用peijunlong在2008-5-4 13:35:00的发言:[br]考虑右侧鼻腔内翻性乳头状瘤[br]好发:中老年人。[br]ct:1:一侧鼻腔内肿块经扩大的自然孔道长入鼻窦,是其顺自然孔道蔓延的特点[br] 2:鼻腔,鼻窦扩大,窦壁压迫性骨质破坏。[br] 3:广泛生长的肿瘤可侵犯邻近结构,如眼眶、翼腭窝和颅内。
以下是引用不学无术在2008-5-4 20:43:00的发言:[br]病人已在齐鲁医院穿刺活检病理结果:中分化鳞癌。
以下是引用不学无术在2008-5-4 20:43:00的发言:[br]病人已在齐鲁医院穿刺活检病理结果:中分化鳞癌。
| 欢迎光临 医影在线 (http://bbs.radida.com/bbs/) | Powered by Discuz! X3.2 |