医影在线

标题: X4122:男 20岁 活动时感觉关节内有东西,活动时疼痛。箭头 [打印本页]

作者: 眼睛    时间: 2008-5-4 22:58
标题: X4122:男 20岁 活动时感觉关节内有东西,活动时疼痛。箭头
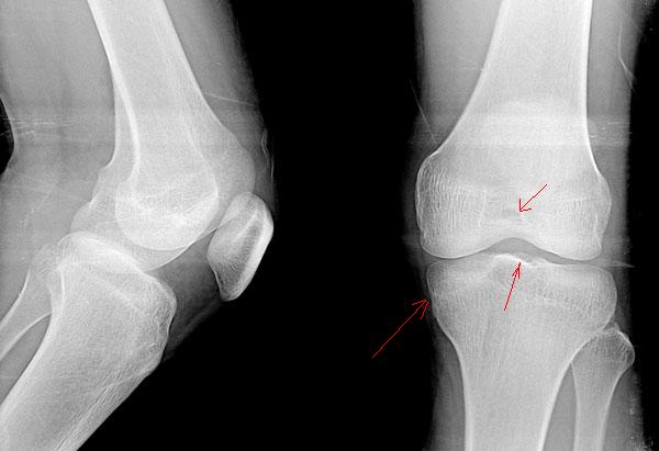
男 20岁  活动时感觉关节内有东西,偶尔疼痛。箭头指的地方有问题吗?




[本贴已被 jiajie 于 2008-5-4 16:16:33 修改过]

作者: zhangkai    时间: 2008-5-4 23:08
未见明确异常.
作者: 随影如流    时间: 2008-5-4 23:17
不排除胫骨平台内游离骨片
作者: dyqct    时间: 2008-5-4 23:32
膝关节正侧位平片未见明显异常。必要时请做ct进一步检查。
作者: 傲雪    时间: 2008-5-4 23:58
未见明显异常!
作者: wwwlczj    时间: 2008-5-5 00:49
未见明显异常.
必要时请做ct进一步检查。
作者: 358450m    时间: 2008-5-5 01:41
标题: 回复:x4122:男 20岁 活动时感觉关节内有东西,活动时疼痛
以下是引用zhangkai在2008-5-4 15:08:00的发言:[br]未见明确异常.

作者: 前行    时间: 2008-5-5 02:12
ct或mr检查。
作者: wansheng    时间: 2008-5-5 02:39
未见明显异常.
必要时请做ct进一步检查
作者: 杀毒软件    时间: 2008-5-5 02:40
支持膝关节正侧位平片未见明显异常。必要时请做ct进一步检查
作者: yangyudong333    时间: 2008-5-5 02:40
未见明显异常!
作者: lishibao    时间: 2008-5-5 03:00
未见明显异常!
作者: shiqingfa    时间: 2008-5-5 03:30
未见明显异常.
必要时请做ct进一步检查
作者: tfq6909    时间: 2008-5-5 03:47
未见明显异常!
作者: zhangkening    时间: 2008-5-5 04:28
我觉得应该是没有问题.
作者: jinguoji    时间: 2008-5-5 04:49
支持膝关节正侧位平片未见明显异常,必要时请做ct进一步检查。
作者: ZHANGZHONGSHOU    时间: 2008-5-5 04:52
考虑都是正常表现
作者: ZWL_135    时间: 2008-5-5 04:53
正常
作者: laiyan-liuwei    时间: 2008-5-5 05:27
关节间隙好窄,mr进一步检查吧!
作者: 摘星空竹子    时间: 2008-5-5 05:39
未见明显异常。
作者: hexue    时间: 2008-5-5 06:37
标题: 回复:x4122:男 20岁 活动时感觉关节内有东西,活动时疼痛
未见明显异常。
作者: zkc2808    时间: 2008-5-5 06:47
没有看见什么异常
作者: liuyue    时间: 2008-5-5 09:52
未见明显异常!
作者: yuhongjun    时间: 2008-5-5 13:38
支持膝关节正侧位平片未见明显异常。必要时请做ct进一步检查
作者: 随光逐影    时间: 2008-5-6 01:09
未见明确异常。
作者: wy232326    时间: 2008-5-6 01:31
支持膝关节正侧位平片未见明显异常,必要时请做ct进一步检查。
作者: 小小乡医    时间: 2008-5-31 06:48
标题: 回复:x4122:男 20岁 活动时感觉关节内有东西,活动时疼痛
以下是引用wansheng在2008-5-4 18:39:00的发言:[br]未见明显异常.[br]必要时请做ct进一步检查

作者: shibing    时间: 2014-2-3 11:26
标题: Re:X4122:男 20岁  活动时感觉关节内有东西,活
未见明确异常.




欢迎光临 医影在线 (http://bbs.radida.com/bbs/) Powered by Discuz! X3.2