









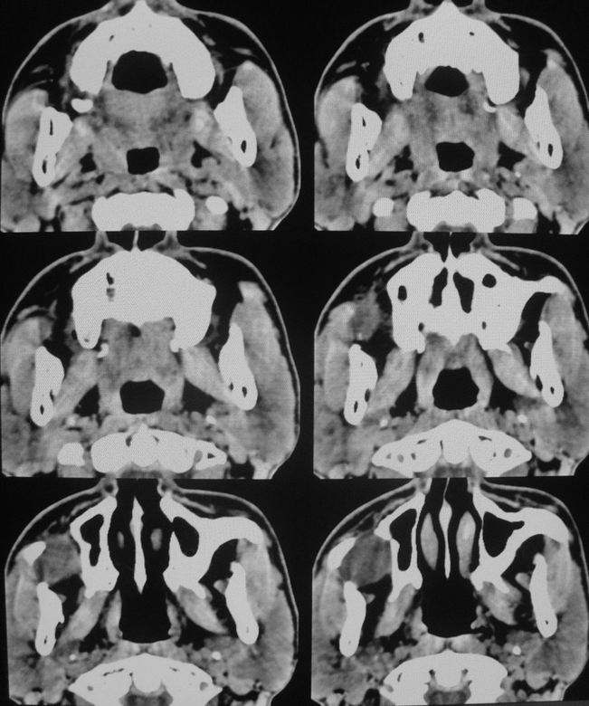
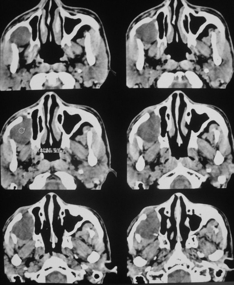
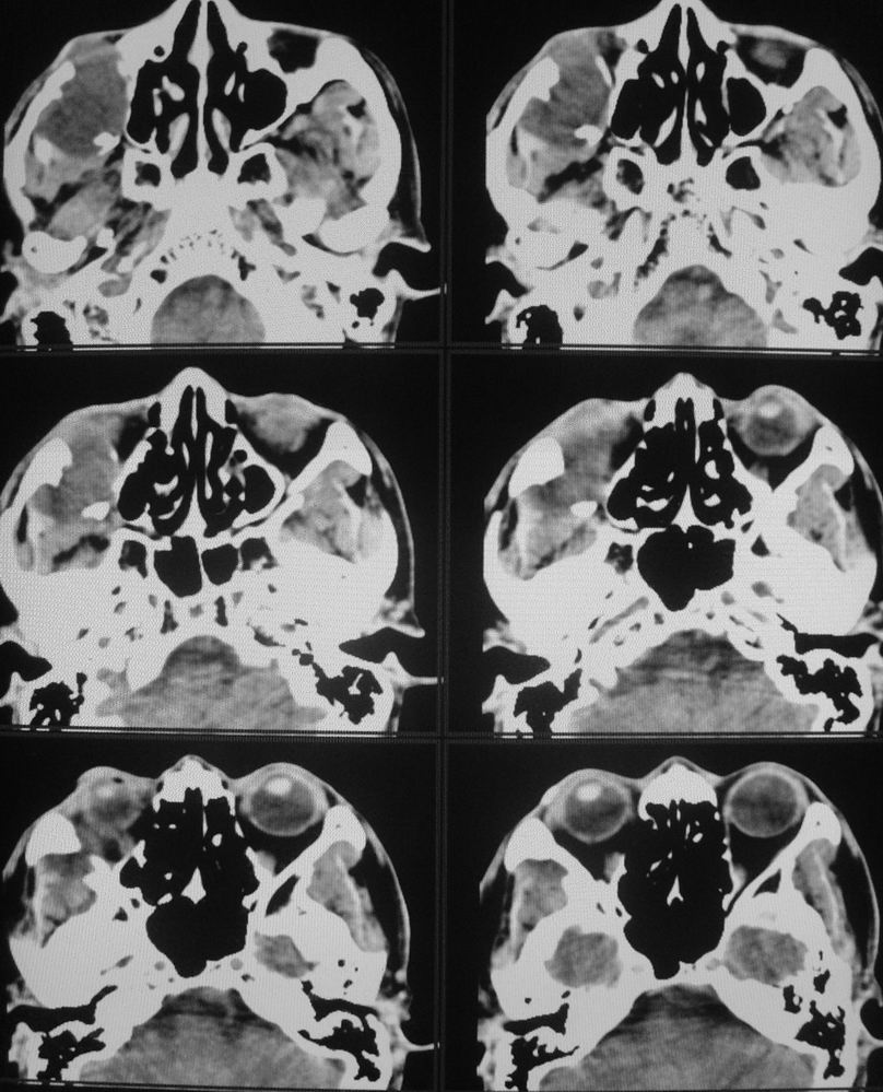
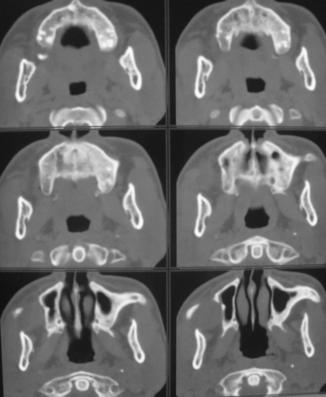
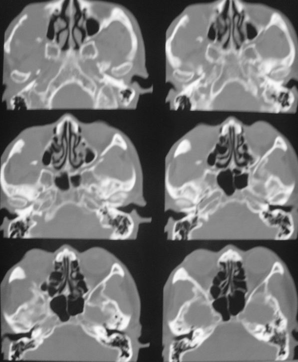
以下是引用zsl6918在2008-5-6 14:41:00的发言:[br]右侧颞下窝内囊性占位(增强未见强化),同侧上颌窦受压变形移位,提示慢性过程。右侧上颌骨局限性吸收破坏,提示良性病变。
以下是引用zsl6918在2008-5-6 14:41:00的发言:[br]右侧颞下窝内囊性占位(增强未见强化),同侧上颌窦受压变形移位,提示慢性过程。右侧上颌骨局限性吸收破坏,提示良性病变。
以下是引用zsl6918在2008-5-6 14:41:00的发言:[br]右侧颞下窝内囊性占位(增强未见强化),同侧上颌窦受压变形移位,提示慢性过程。右侧上颌骨局限性吸收破坏,提示良性病变。
以下是引用长城干红在2008-5-6 15:05:00的发言:[br]考虑:右侧颞下窝神经源性良性肿瘤。
以下是引用zjzjr在2008-5-6 16:46:00的发言:[br][quote]以下是引用zsl6918在2008-5-6 14:41:00的发言:[br]右侧颞下窝内囊性占位(增强未见强化),同侧上颌窦受压变形移位,提示慢性过程。右侧上颌骨局限性吸收破坏,提示良性病变。
以下是引用xuhuihong在2008-5-6 14:57:00的发言:[br]右侧颞下窝内囊性占位(增强未见强化),同侧上颌窦受压变形移位骨质吸收变薄,提示慢性过程。右侧上颌骨局限性吸收破坏,提示良性病变。考虑神经源性肿瘤可能,期待结果。
| 欢迎光临 医影在线 (http://bbs.radida.com/bbs/) | Powered by Discuz! X3.2 |