


















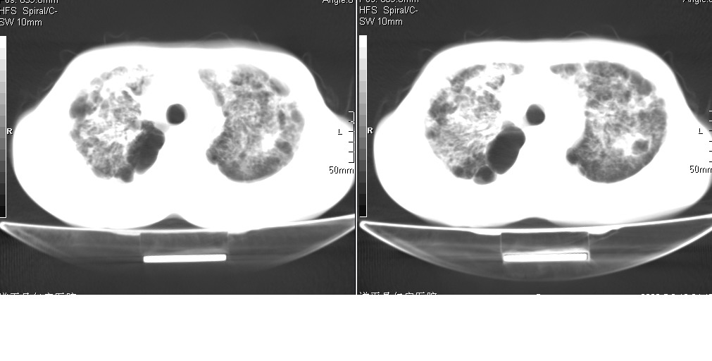
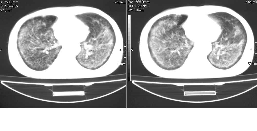
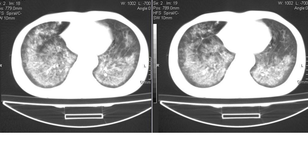
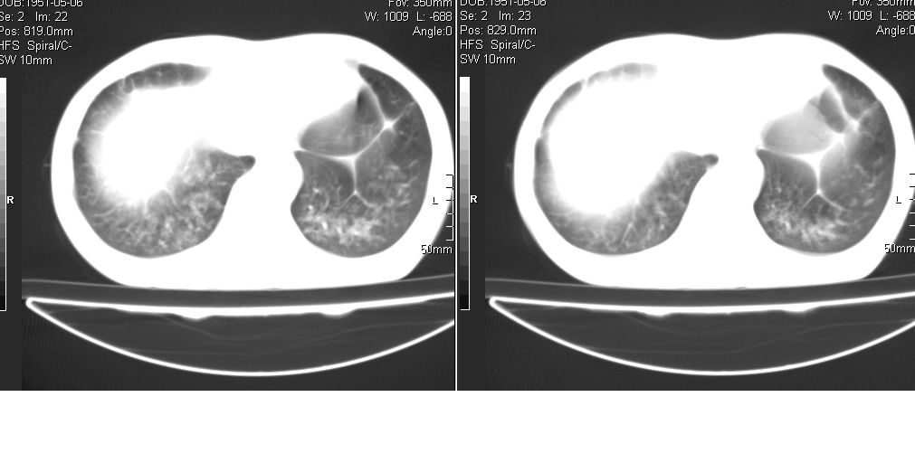
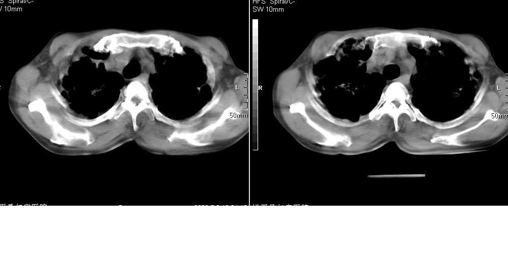
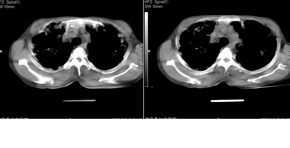
以下是引用光线在2008-5-6 18:36:00的发言:[br]双肺结核(做上肺空洞形成)、间质性改变合并感染,右肺大泡;右侧胸膜增厚。
以下是引用光线在2008-5-6 18:36:00的发言:[br]双肺结核(左上肺空洞形成)、间质性改变合并感染,右肺大泡;右侧胸膜增厚。
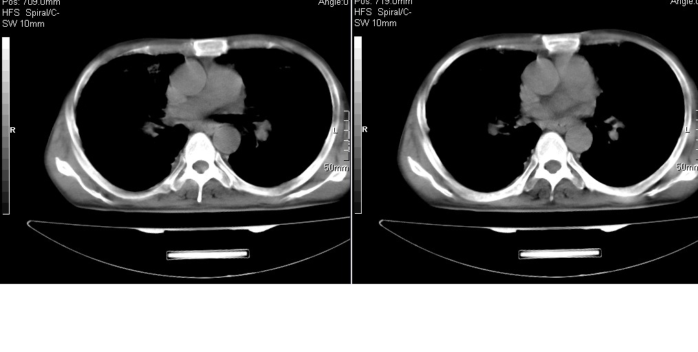
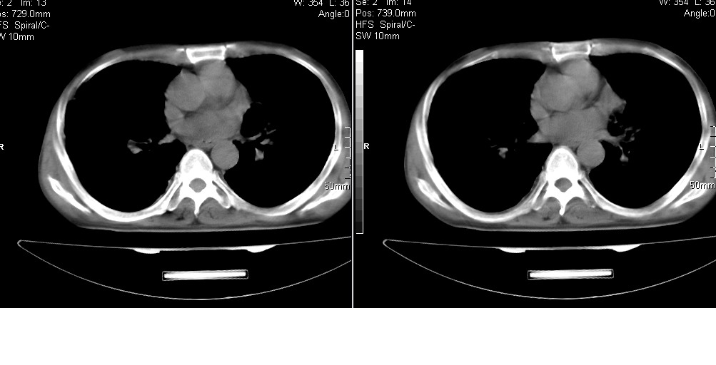
以下是引用zsl6918在2008-5-7 1:54:00的发言:[br]首先肺泡蛋白质沉着症,其次考虑机遇性感染。
| 欢迎光临 医影在线 (http://bbs.radida.com/bbs/) | Powered by Discuz! X3.2 |