医影在线
标题: CT13304:胸部多发结节影,少见,请会诊!!!! [打印本页]
作者: 刘国良 时间: 2008-5-8 02:40
标题: CT13304:胸部多发结节影,少见,请会诊!!!!
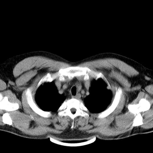
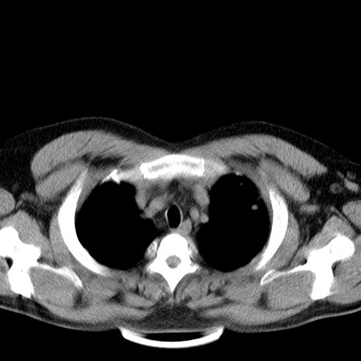
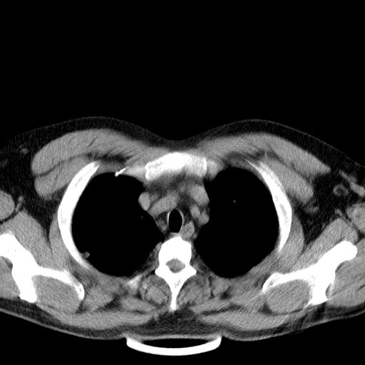
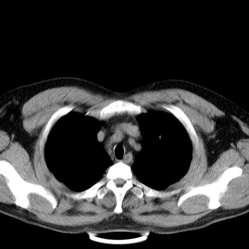
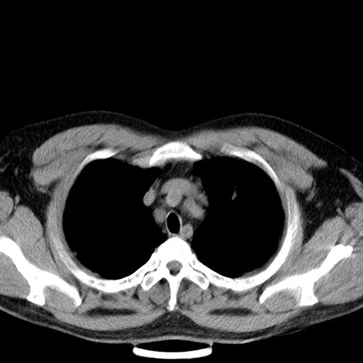
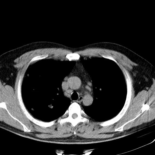
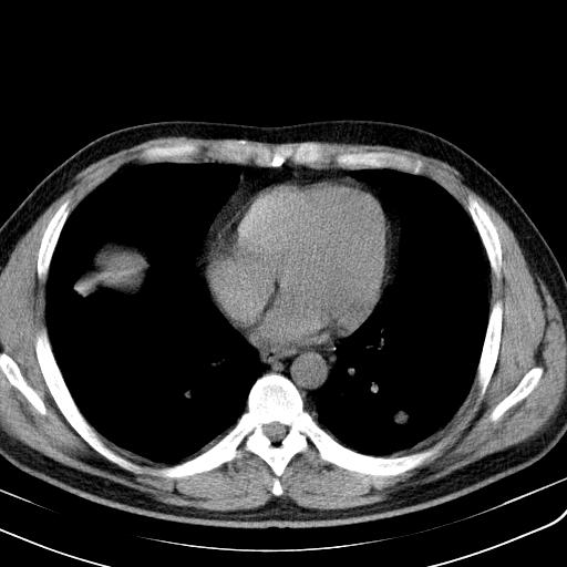
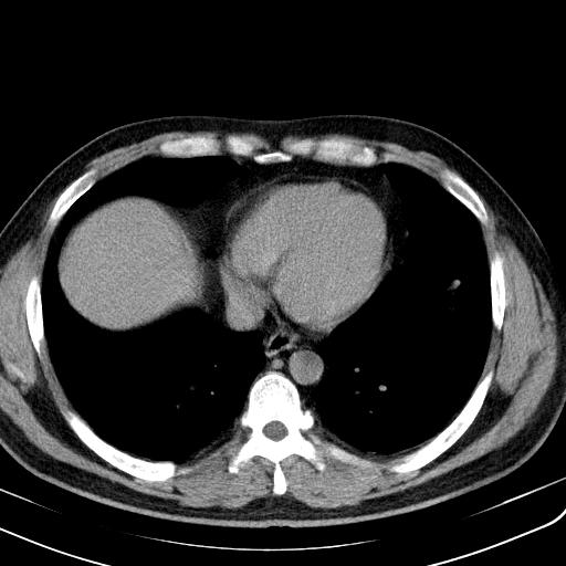
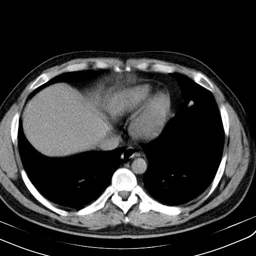
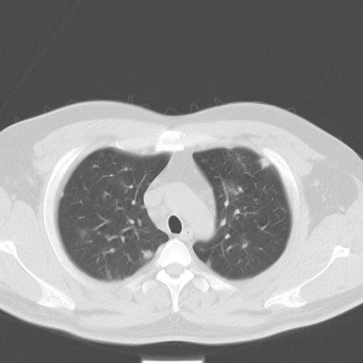
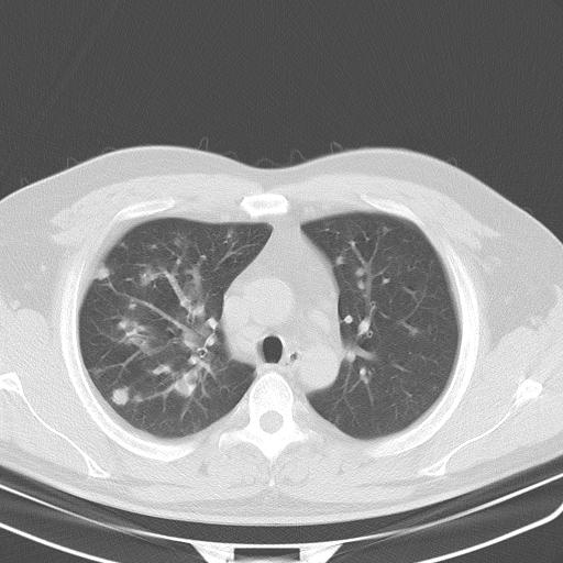
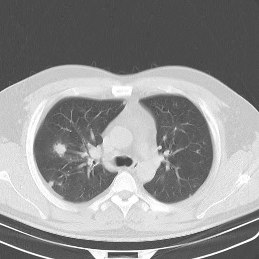
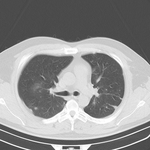
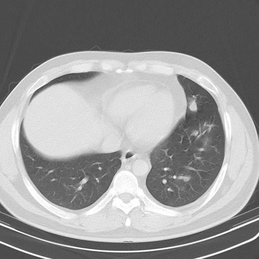
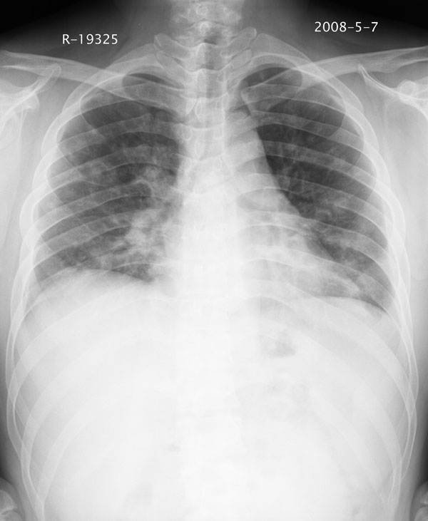
患者男性 35 主因发热咳嗽四天,血象不高,心肺听诊未见异常,无其它病史及传染病接触史。






































[本贴已被 刘国良 于 2008-5-7 18:47:52 修改过]
[本贴已被 翁志蓬 于 2008-5-7 23:50:31 修改过]
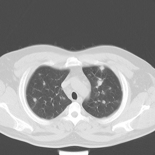
一周后复查胸片基本正常

[本贴已被 刘国良 于 2008-5-24 18:45:01 修改过]
作者: wqs571018 时间: 2008-5-8 02:50
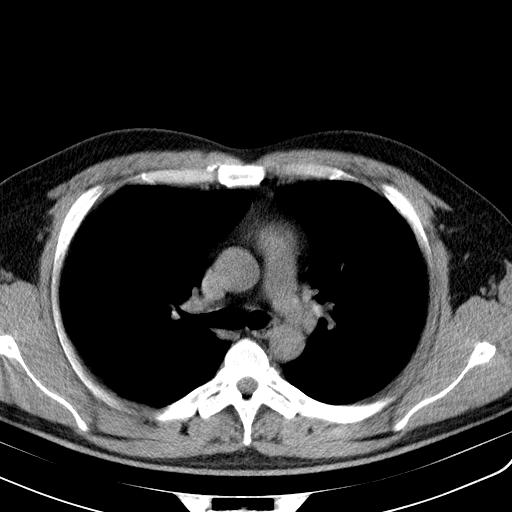
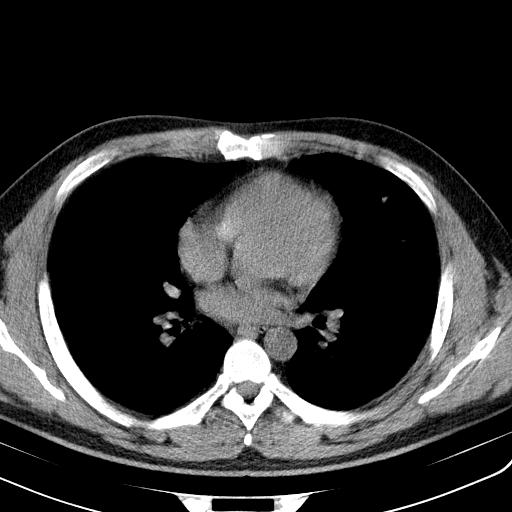
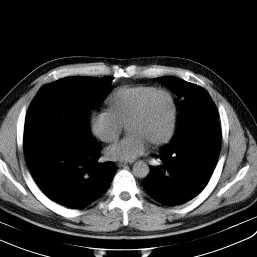
两肺散在大小不等小结节影,下野较多,纵隔淋巴结增大。考虑:1、慢性血播性肺结核;2、霉菌病?3转移瘤待排。
作者: 有风的日子 时间: 2008-5-8 03:03
应该是类肉瘤,这是一种炎性肉芽肿性质的疾病,最易发病部位是:肺
作者: zhaozy 时间: 2008-5-8 03:17
先按炎症治疗吧,初步考虑为炎症
作者: Zhouzd 时间: 2008-5-8 03:24
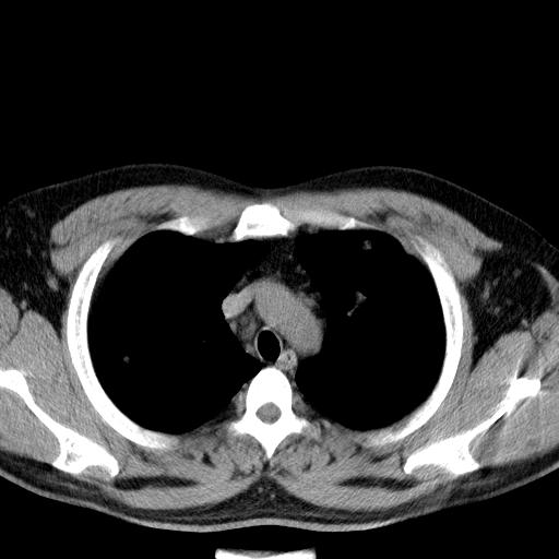
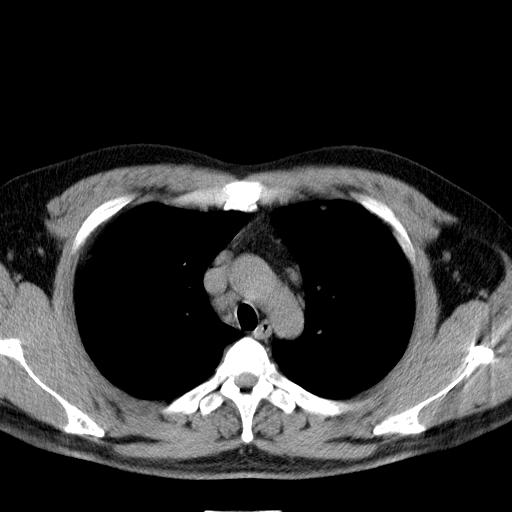
该病人肺内多发结节,右肺门似有肿大淋巴结,肺结节病也要考虑
作者: doctorzl 时间: 2008-5-8 03:31
肺内纵隔多发结节,肺内以外周为著,首先考虑转移瘤
作者: hjk 时间: 2008-5-8 03:48
符合结节病胸部表现
作者: zjzjr 时间: 2008-5-8 04:00
考虑血源性肺脓肿可能性大,不除外转移瘤或韦格氏肉芽肿.
作者: 不学无术 时间: 2008-5-8 04:00
标题: 回复:胸部多发结节影,少见,请会诊!!!!
以下是引用doctorzl在2008-5-7 19:31:00的发言:[br]肺内纵隔多发结节,肺内以外周为著,首先考虑转移瘤
作者: qiuleiyu 时间: 2008-5-8 04:09
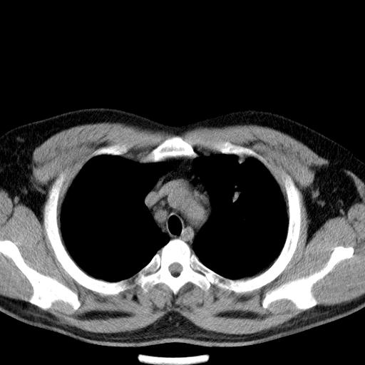
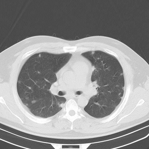
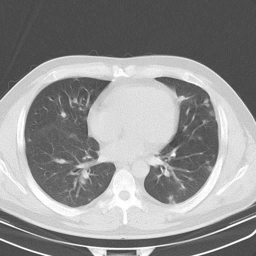
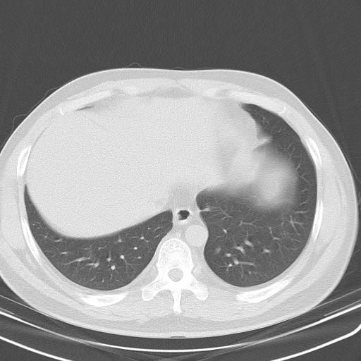
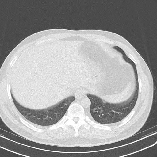
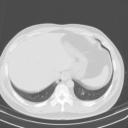
两肺多发结节,部分病灶边缘不清,且示毛玻璃影。分布特点为沿血管支气管分布。
结合临床考虑;1,炎性肉芽肿性病变;霉菌?过敏性肺炎?2,韦格氏肉芽肿。3,转移瘤。
作者: 晓杰 时间: 2008-5-8 04:16
两肺多发结节,部分病灶边缘不清,且示毛玻璃影。分布特点为沿血管支气管分布。
结合临床考虑;1,炎性肉芽肿性病变;霉菌?2,韦格氏肉芽肿。3,转移瘤。4结节病
作者: 明天会更好 时间: 2008-5-8 04:20
肉牙肿性病变,抗炎治疗后复查
作者: zhangge2008 时间: 2008-5-8 04:27
第一印象:1.肺转移瘤;2.结节病。
作者: 358450m 时间: 2008-5-8 04:35
标题: 回复:胸部多发结节影,少见,请会诊!!!!
以下是引用wqs571018在2008-5-7 18:50:00的发言:[br]两肺散在大小不等小结节影,下野较多,纵隔淋巴结增大。考虑:1、慢性血播性肺结核;2、霉菌病?3转移瘤待排。
作者: andymaomao 时间: 2008-5-8 04:39
双肺多发散在结节影,部分边界不清,延支气管分布;纵隔内多发小结节(淋巴结)影...
考虑
1.双肺转移ca及纵隔淋巴结转移;
2.特殊类型感染(霉菌)?
3.韦氏肉芽肿?
作者: SOS.LA 时间: 2008-5-8 04:41
1.双肺多发性转移瘤.2.纵隔淋巴结转移.3.双侧胸膜转移.
作者: 光影★小胖 时间: 2008-5-8 04:45
考虑:1、慢性血播性肺结核。2、肺泡癌?
作者: 杀毒软件 时间: 2008-5-8 04:45
首先考虑转移瘤
作者: arven 时间: 2008-5-8 05:00
没空洞,里面没气体或结节,多发,不太像霉菌病,wegner?过敏肺炎?
作者: lyb999 时间: 2008-5-8 05:07
查查肾上腺,不要觉得年轻,就不考虑转移.单从影像上的确难以定性.
作者: qian 时间: 2008-5-8 05:12
纵隔内多发肿大淋巴结,两非弥漫性小结节状病灶,分布范围为肺外围为主,首先考虑为肺内和纵隔内转移性病变。(前不久我科室就遇到一女性38岁,肺癌伴肺内弥漫性转移)
作者: dyqct 时间: 2008-5-8 05:27
标题: 回复:胸部多发结节影,少见,请会诊!!!!
以下是引用zjzjr在2008-5-7 20:00:00的发言:[br]考虑血源性肺脓肿可能性大,不除外转移瘤或韦格氏肉芽肿.
支持!
作者: zsl6918 时间: 2008-5-8 05:31
考虑真菌感染,纵隔内可见增大的淋巴结影。
作者: wzy1982 时间: 2008-5-8 05:33
转移瘤可能性大。
作者: 同 时间: 2008-5-8 05:42
标题: 回复:胸部多发结节影,少见,请会诊!!!!
以下是引用晓杰在2008-5-7 20:16:00的发言:[br]两肺多发结节,部分病灶边缘不清,且示毛玻璃影。分布特点为沿血管支气管分布。[br]结合临床考虑;1,炎性肉芽肿性病变;霉菌?2,韦格氏肉芽肿。3,转移瘤。4结节病
作者: xulianj 时间: 2008-5-8 05:46
考虑:炎性肉芽肿;转移瘤;结节病。
作者: yangwq 时间: 2008-5-8 05:59
霉菌病
作者: panyishengct 时间: 2008-5-8 06:10
双肺多发散在结节影,部分边界不清,延支气管分布;纵隔内多发小结节(淋巴结)影...
考虑
1.双肺转移ca及纵隔淋巴结转移;
2.特殊类型感染(霉菌)?
3.韦氏肉芽肿?
作者: dcqdcq123 时间: 2008-5-8 06:20
倾向于肉芽肿性病变,初步除外转移瘤;建议抗炎及激素治疗2周复查
作者: jinguoji 时间: 2008-5-8 06:42
首先考虑转移瘤。
作者: zhangling 时间: 2008-5-8 06:49
双肺散在多发类圆形结节灶,边缘较光滑,纵隔淋巴结肿大,考虑转移瘤
作者: clj20 时间: 2008-5-8 07:59
淋巴结近呈对称性肿大,肺部多发结节,首先考虑结节病,其次考虑转移瘤。
作者: zyyzzy 时间: 2008-5-8 08:07
虽然年轻,但还是考虑转移瘤
作者: yangyudong333 时间: 2008-5-8 13:38
双肺散在多发类圆形结节灶,边缘较光滑,纵隔淋巴结肿大,考虑转移瘤
作者: qc80012345 时间: 2008-5-8 14:00
增强扫描。
作者: 刘国良 时间: 2008-5-10 18:48
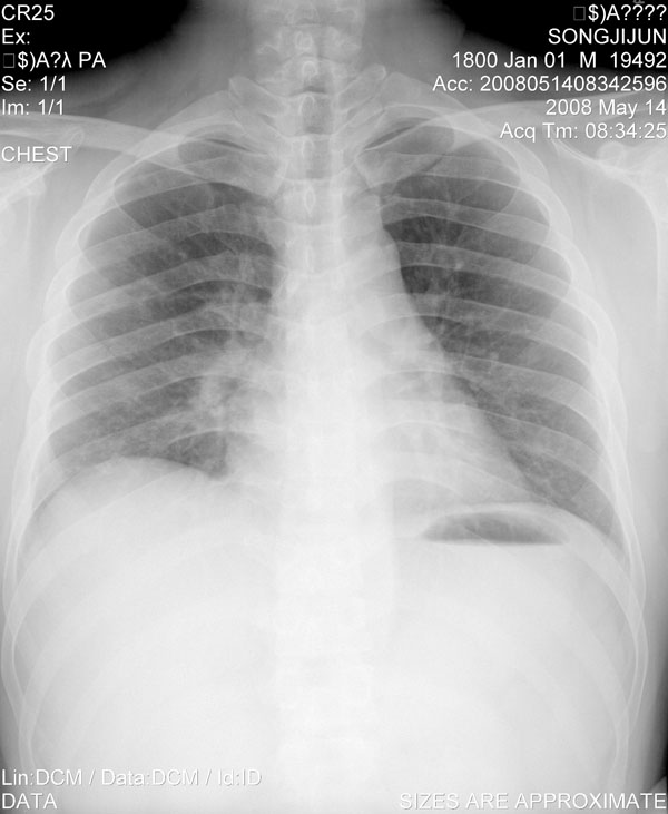
补充一下各种检查结果,病人无痰,胸闷,ppd及结核抗体阴性,wbc7.5x10的9次方,血沉22mm/h,crp及抗链o阳性。
作者: 刘国良 时间: 2008-5-10 18:53
哦cea8
作者: pujunzhi 时间: 2008-5-11 07:31
肺结核或霉菌感染
作者: liuyue 时间: 2008-5-11 07:56
考虑转移瘤可能性大.血源性肺脓肿或霉菌感染不除外.
作者: lxq2000 时间: 2008-5-11 18:03
双肺多发结节,部分边缘不清,示磨玻璃样,分布支气管血管走形 考虑:血源性肺脓肿,炎性肉芽肿(韦格肉芽肿)霉菌感染 结节病 转移瘤不除外
作者: yscao 时间: 2008-5-12 07:32
年轻,病史短,症状相对轻,肺内多发腺泡结节,多呈ggo,上纵隔淋巴结大考虑:1肺内淋巴瘤2非典型病源体感染性疾病3肿瘤播散
作者: xuyinsheng66 时间: 2008-5-12 07:54
感染类病变,以韦格氏肉芽肿可能性大,结节病待排除。
作者: js2608 时间: 2008-5-17 03:52
考虑转移瘤可能
作者: zhangnianqiu_20 时间: 2008-5-17 04:09
肺内多发大小不等结节影,以外周为著,纵隔见多个淋巴结肿大;结果病人,35岁,有发烧咳嗽等病史,首先考虑血源性肺脓肿可能性大,建议积极抗炎治疗后复查,除外转移瘤或韦格氏肉芽肿.
作者: liufaming 时间: 2008-5-17 05:58
两肺多发结节,部分病灶边缘不清,且示毛玻璃影。分布特点为沿血管支气管分布。考虑如下:
1.双肺门及纵隔淋巴结肿大,双肺多发结节,结节病
2.hiv感染,年龄不大,无原发肿瘤病史,建议查hiv。
3.转移瘤,边缘毛糙,无钙化,来源于消化系统。
期待结果!
作者: qingjing 时间: 2008-5-18 01:04
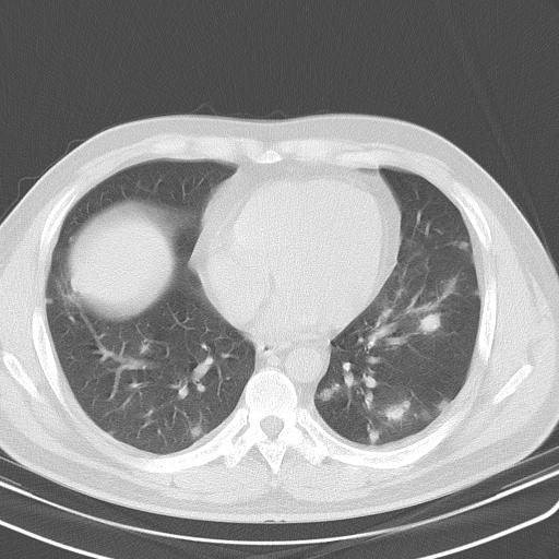
双肺及胸膜下见多发结节影,最大直径约0.4,内密度均匀,中纵隔腔静脉后见小淋巴结影。
首先考虑转移瘤,建议查原发灶;
炎性疾病待排
作者: xxhwh 时间: 2008-5-18 02:39
两肺多发结节,部分病灶边缘不清,且示毛玻璃影。分布特点为沿血管支气管分布
考虑:1、霉菌性肺炎
2、转移瘤
作者: panyishengct 时间: 2008-5-18 06:09
两肺多发结节,部分病灶边缘不清,且示毛玻璃影。分布特点为沿血管支气管分布。
结合临床考虑;1,炎性肉芽肿性病变;霉菌?过敏性肺炎?2,韦格氏肉芽肿。3,建议查hiv。
作者: 刘国良 时间: 2008-5-25 02:51
经一周抗炎抗病毒治疗复查胸片示病变大部吸收,基本恢复正常,未做气管镜检查,考虑为炎性变或霉菌感染。
作者: 12640484 时间: 2010-12-8 21:29
从片子上看,不像转移。
| 欢迎光临 医影在线 (http://bbs.radida.com/bbs/) |
Powered by Discuz! X3.2 |