医影在线
标题: CT13306:F,29,阑尾炎手术后20天,右下腹切口处包块. [打印本页]
作者: lds 时间: 2008-5-8 03:11
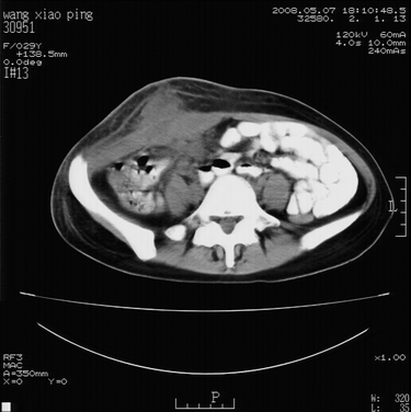
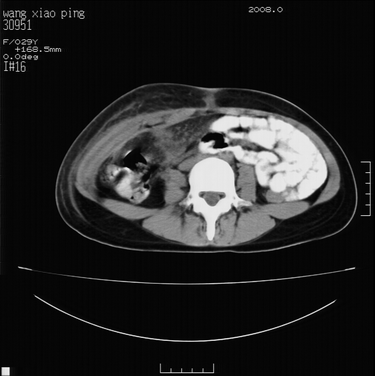
标题: CT13306:F,29,阑尾炎手术后20天,右下腹切口处包块.
b超切口疝。
皮肤切口愈合良好。炎性肿块?






[本贴已被 lds 于 2008-5-7 19:13:55 修改过]
[本贴已被 翁志蓬 于 2008-5-7 23:51:39 修改过]
作者: zjzjr 时间: 2008-5-8 03:55
支持炎性包块,
作者: andymaomao 时间: 2008-5-8 04:16
炎性包块可能性大.
作者: qiuleiyu 时间: 2008-5-8 04:18
支持;兰尾术后,局部炎性包块形成。
作者: 不学无术 时间: 2008-5-8 04:20
支持楼主
作者: wansheng 时间: 2008-5-8 04:25
标题: 回复:f,29,阑尾炎手术后20天,右下腹切口处包块.
以下是引用qiuleiyu在2008-5-7 20:18:00的发言:[br]支持;兰尾术后,局部炎性包块形成。
作者: lyb999 时间: 2008-5-8 04:30
支持炎性包块
作者: 358450m 时间: 2008-5-8 04:34
标题: 回复:f,29,阑尾炎手术后20天,右下腹切口处包块.
以下是引用zjzjr在2008-5-7 19:55:00的发言:[br]支持炎性包块,
作者: 杀毒软件 时间: 2008-5-8 04:42
支持炎性包块
作者: 光影★小胖 时间: 2008-5-8 04:47
术后,考虑:炎性包块。
作者: qian 时间: 2008-5-8 05:04
肿块密度较低,周围见有条索状影,边界不清,考虑为炎性病变可能大,必要是做增强看看。
作者: xulianj 时间: 2008-5-8 05:21
支持炎性包块
作者: dyqct 时间: 2008-5-8 05:30
标题: 回复:f,29,阑尾炎手术后20天,右下腹切口处包块.
以下是引用zjzjr在2008-5-7 19:55:00的发言:[br]支持炎性包块,
支持!
作者: zsl6918 时间: 2008-5-8 05:32
腹壁感染并炎性包块形成
作者: 同 时间: 2008-5-8 05:45
支持 炎性包块.
作者: 随光逐影 时间: 2008-5-8 05:55
支持 炎性包块。
作者: jsgdoctor 时间: 2008-5-8 06:10
支持炎性包块,
作者: 徐飞 时间: 2008-5-8 06:31
考虑术后肌肉瘢痕重叠
作者: panyishengct 时间: 2008-5-8 06:34
术后,考虑:脓肿。
作者: jinguoji 时间: 2008-5-8 06:49
支持炎性包块。
作者: xzh1977 时间: 2008-5-8 07:18
考虑炎性包块,服壁炎
作者: wjq0059 时间: 2008-5-8 07:21
支持阑尾术后切口感染。
切口处见液性密度影,周围肌肉肿胀,脂肪层密度增高。
符合术后并发症。
作者: zyyzzy 时间: 2008-5-8 08:08
考虑:炎性包块
作者: 卜一 时间: 2008-5-8 13:17
以下是引用zjzjr在2008-5-7 19:55:00的发言:
支持:炎性包块!
作者: yangyudong333 时间: 2008-5-8 13:32
支持炎性包块
作者: qc80012345 时间: 2008-5-8 14:07
支持;术后炎性包块形成。
作者: 宇宙CT 时间: 2008-5-8 15:11
持;术后炎性包块形成
作者: mzh123 时间: 2008-5-8 16:24
标题: 回复:ct13306:f,29,阑尾炎手术后20天,右下腹切口处包块.
以下是引用杀毒软件在2008-5-7 20:42:00的发言:[br]支持炎性包块
作者: haha215315 时间: 2008-5-8 16:46
切口疝伴周围炎。
作者: 形影不离 时间: 2008-5-8 17:02
支持炎性包块。
作者: 深泽交通 时间: 2008-5-8 17:29
腹壁脓肿
作者: lirenxiong 时间: 2008-5-8 18:04
腹壁感染并炎性包块形成
作者: wj2039 时间: 2008-5-8 18:17
支持炎性包块。
作者: dr.yang 时间: 2011-12-5 07:01
支持;术后炎性包块形成
| 欢迎光临 医影在线 (http://bbs.radida.com/bbs/) |
Powered by Discuz! X3.2 |