医影在线

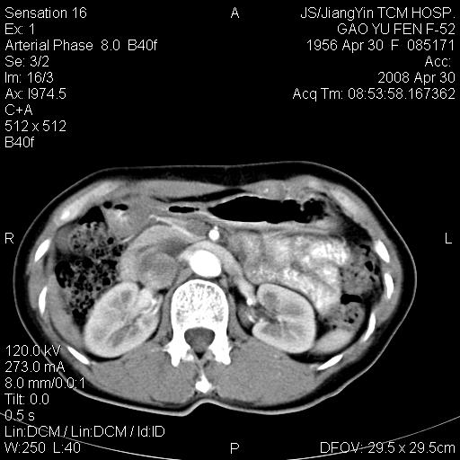
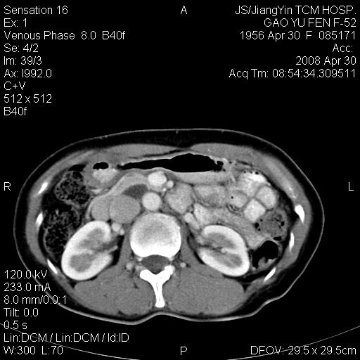
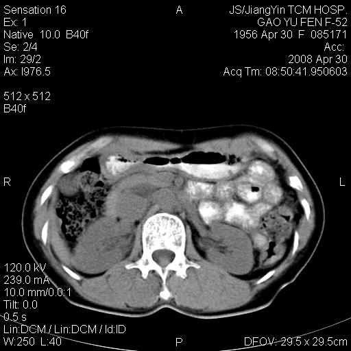
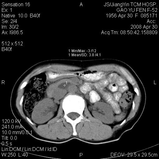
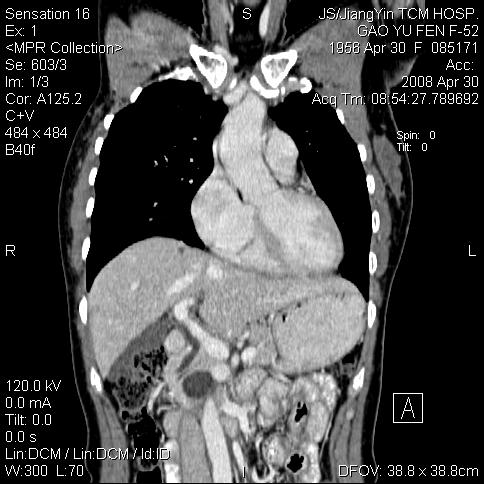
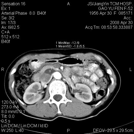
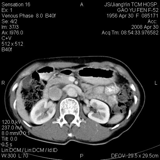
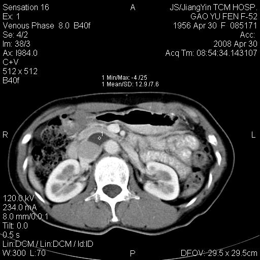
标题: CT13307:肠系膜囊肿? [打印本页]

作者: 江尾海头    时间: 2008-5-8 04:52
标题: CT13307:肠系膜囊肿?












[本贴已被 翁志蓬 于 2008-5-7 23:52:22 修改过]

作者: qian    时间: 2008-5-8 05:00
囊性淋巴管瘤可能比较大。
作者: andymaomao    时间: 2008-5-8 05:01
积液?囊肿?脂肪瘤?
作者: xulianj    时间: 2008-5-8 05:20
以上均有可能
作者: dyqct    时间: 2008-5-8 05:32
标题: 回复:肠系膜囊肿?
以下是引用qian在2008-5-7 21:00:00的发言:[br]囊性淋巴管瘤可能比较大。

支持来源于腹膜后。
作者: zsl6918    时间: 2008-5-8 05:34
良性囊性占位,来源于肠系膜的可能性大
作者: 同    时间: 2008-5-8 05:48
囊性占位,来源于肠系膜的可能性大.
作者: 杀毒软件    时间: 2008-5-8 05:50
囊性淋巴管瘤可能比较大
作者: 不学无术    时间: 2008-5-8 06:00
囊性淋巴管瘤可能大
作者: 358450m    时间: 2008-5-8 06:02
标题: 回复:肠系膜囊肿?
以下是引用zsl6918在2008-5-7 21:34:00的发言:[br]良性囊性占位,来源于肠系膜的可能性大

作者: hjk    时间: 2008-5-8 06:09
肠系膜囊肿可能
作者: jsgdoctor    时间: 2008-5-8 06:17
囊性淋巴管瘤可能大
作者: jinguoji    时间: 2008-5-8 06:45
囊性淋巴管瘤可能比较大。
作者: 卜一    时间: 2008-5-8 13:16
囊性淋巴管瘤?肠系膜囊肿?都有可能!
作者: yangyudong333    时间: 2008-5-8 13:30
囊性淋巴管瘤可能大
作者: qc80012345    时间: 2008-5-8 14:09
囊性占位,来源于肠系膜。
作者: 不羁暴雨    时间: 2008-5-8 14:34
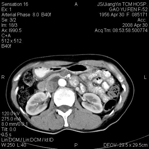
图像少,不能连续起来看,不太敢确定囊肿前方的条状结构是十二指肠水平段?如果是,那肠系膜囊肿,淋巴管瘤都有可能。
作者: 随光逐影    时间: 2008-5-8 14:55
肠系膜囊肿可能。
作者: 宇宙CT    时间: 2008-5-8 15:08
囊性淋巴管瘤可能比较大
作者: mzh123    时间: 2008-5-8 16:27
淋巴管囊肿
作者: haha215315    时间: 2008-5-8 16:49
囊性占位,来源于肠系膜的可能性大.
作者: 37度    时间: 2008-5-8 16:53
zhichi dyqct
作者: 形影不离    时间: 2008-5-8 16:54
囊性病变,来源不定。
作者: 深泽交通    时间: 2008-5-8 17:28
zhi chi 2
作者: zjzjr    时间: 2008-5-8 17:37
病变位于肾静脉后方,支持腹膜后占位性病变,以囊性淋巴管瘤可能性大.
作者: lirenxiong    时间: 2008-5-8 18:02
良性囊性占位,来源于肠系膜的可能性大
作者: dr.yang    时间: 2011-12-5 07:00
良性囊性占位,来源于肠系膜的可能性大




欢迎光临 医影在线 (http://bbs.radida.com/bbs/) Powered by Discuz! X3.2