医影在线

标题: CT13310:腹部CT [打印本页]

作者: 韦伟    时间: 2008-5-8 06:44
标题: CT13310:腹部CT
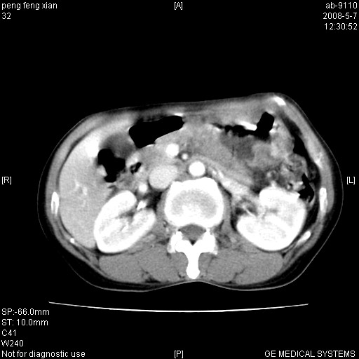
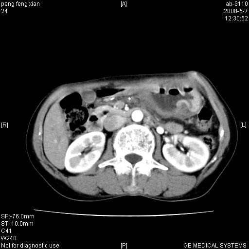
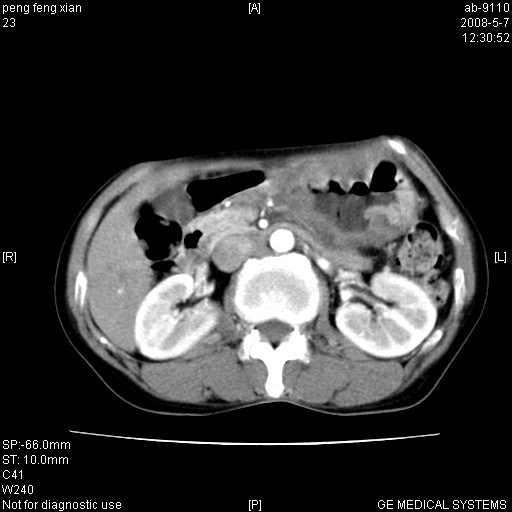
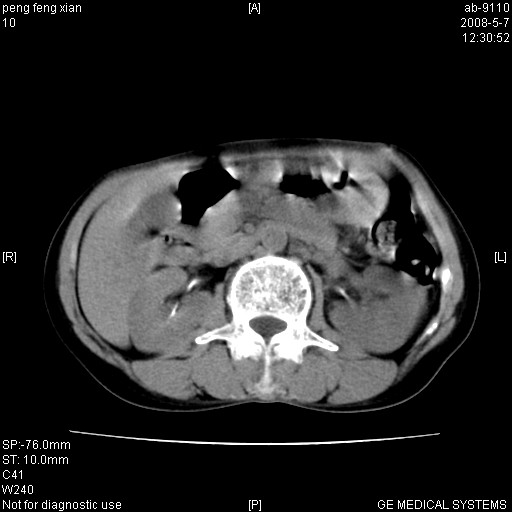
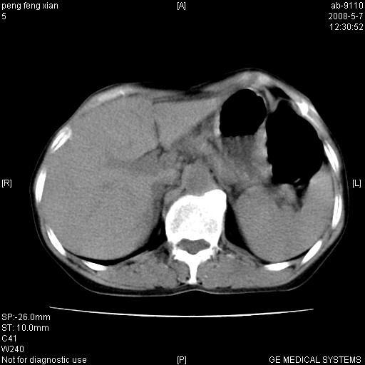
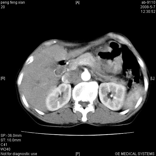
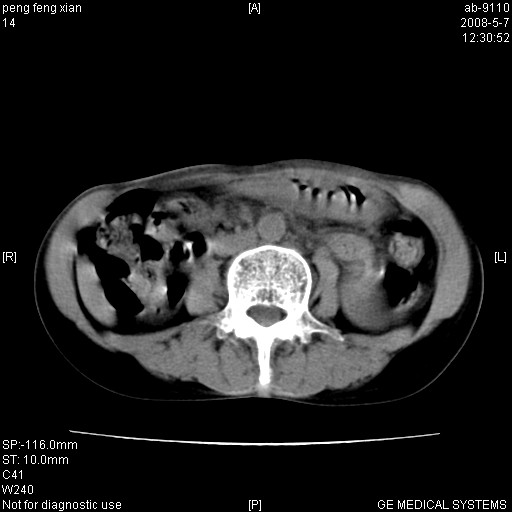
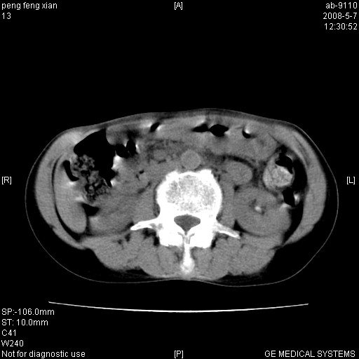
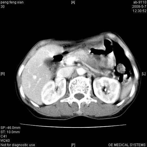
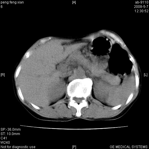
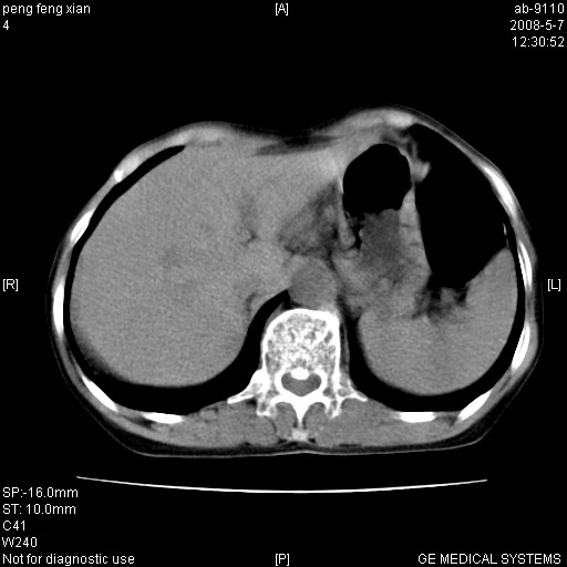
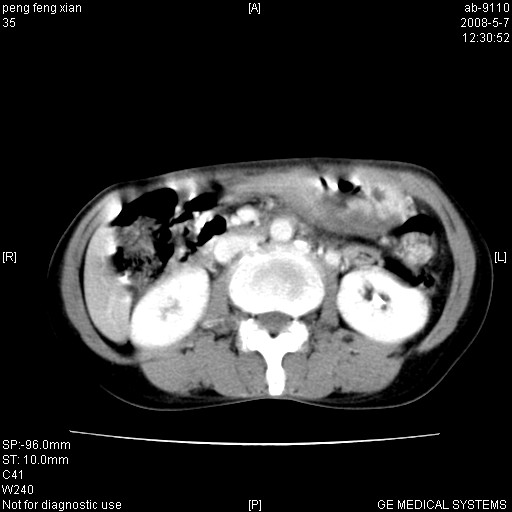
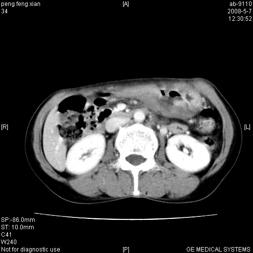
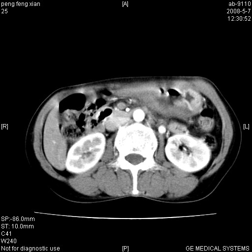
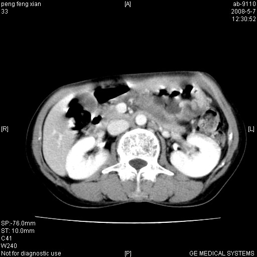
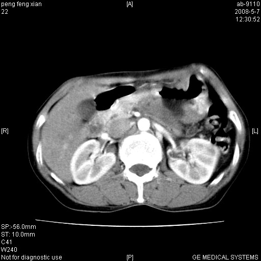
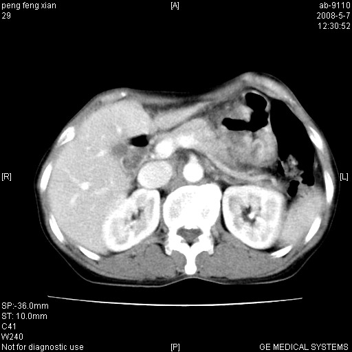
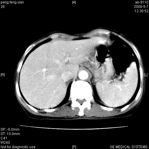
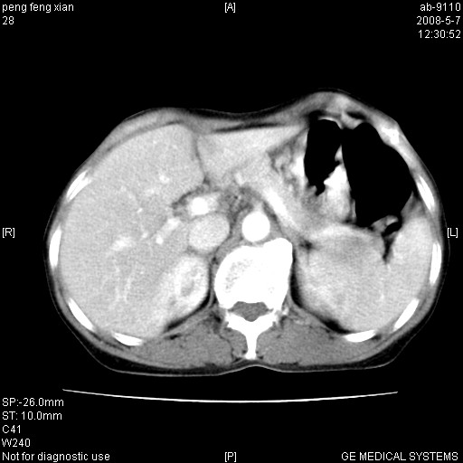
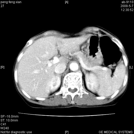
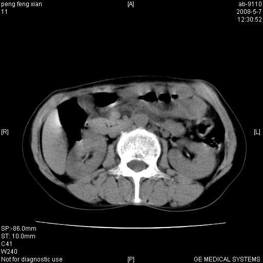
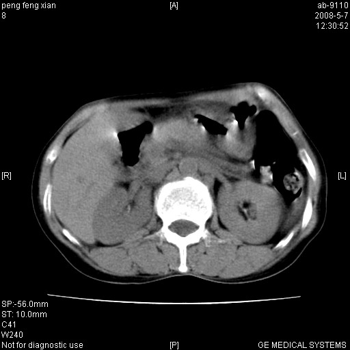
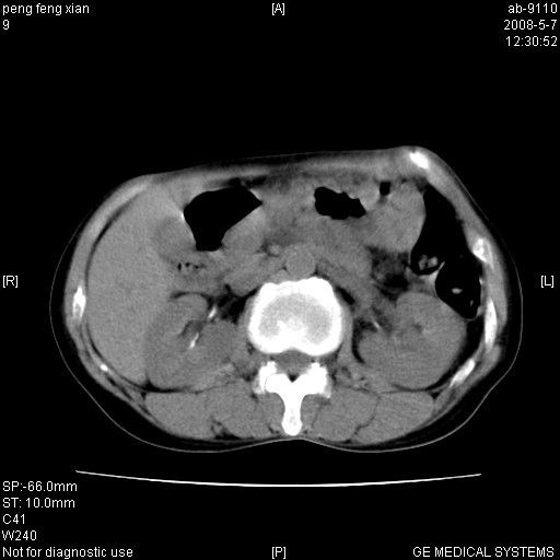
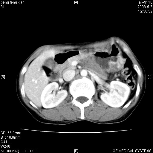
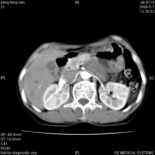
女,56岁。b超左一腹包块,考虑胃肠道肿瘤。

































[本贴已被 翁志蓬 于 2008-5-7 23:58:04 修改过]

作者: tfq6909    时间: 2008-5-8 07:31
未见异常
作者: 随光逐影    时间: 2008-5-8 08:25
考虑为:胃肿瘤(胃癌?)。建议:行胃镜检查进一步明确诊断。
作者: 卜一    时间: 2008-5-8 13:02
结肠病变?建议行全消化道检查!
作者: yangyudong333    时间: 2008-5-8 13:09
胃壁增厚,左前胸壁局限性隆起,考虑胃癌可能性大,建议做胃镜
作者: qc80012345    时间: 2008-5-8 14:03
胃癌并转移。
作者: zsl6918    时间: 2008-5-8 16:16
典型胃癌胰体尾部受侵。
作者: mzh123    时间: 2008-5-8 16:37
胃壁似有增厚表现, 请做好肠道准备复查或胃镜检查
作者: 深泽交通    时间: 2008-5-8 16:54
胃底占位待出;右肾结石?
作者: 形影不离    时间: 2008-5-8 16:57
标题: 回复:ct13310:腹部ct
以下是引用随光逐影在2008-5-8 0:25:00的发言:[br]考虑为:胃肿瘤(胃癌?)。建议:行胃镜检查进一步明确诊断。

作者: haha215315    时间: 2008-5-8 17:22
考虑为:胃肿瘤(胃癌?)。建议:行胃镜检查进一步明确诊断
作者: zjzjr    时间: 2008-5-8 17:48
考虑为:胃肿瘤(胃癌?)。建议:行胃镜检查进一步明确诊断。
作者: lirenxiong    时间: 2008-5-8 18:01
胃壁似有增厚表现, 请做好肠道准备复查或胃镜检查
作者: LIAOQIANG    时间: 2008-5-8 18:50
胃壁增厚,胃腔充盈欠佳。建议结合胃镜检查。
作者: 宇宙CT    时间: 2008-5-8 18:57
以下是引用随光逐影在2008-5-8 0:25:00的发言:
考虑为:胃肿瘤(胃癌?)。建议:行胃镜检查进一步明确诊断。
作者: 37度    时间: 2008-5-8 20:37
胃壁不规则增厚,考虑胃癌.应该多喝点水的.
作者: 影象小辈    时间: 2008-5-8 20:59
胃癌
作者: lrj    时间: 2008-5-8 21:11
建议胃镜除外胃癌
作者: XIANXIANZHONGYI    时间: 2008-5-8 21:41
胃壁似有增厚表现, 请做好肠道准备复查或胃镜检查
作者: liuyue    时间: 2008-5-8 22:18
胃体部胃壁增厚,不均匀性强化,与胰腺分解欠情.
考虑:胃癌,胰腺受侵待除外.
鉴别:胃淋巴瘤(强化不明显)
建议:胃镜检查.
期待结果.
作者: xulianj    时间: 2008-5-8 23:26
建议:胃镜检查进一步明确诊断。
作者: dr.yang    时间: 2011-12-5 07:12
胃壁增厚,胃腔充盈欠佳。建议结合胃镜检查。




欢迎光临 医影在线 (http://bbs.radida.com/bbs/) Powered by Discuz! X3.2