医影在线

标题: CT13324:胸部 [打印本页]

作者: 还珠格格    时间: 2008-5-9 03:33
标题: CT13324:胸部
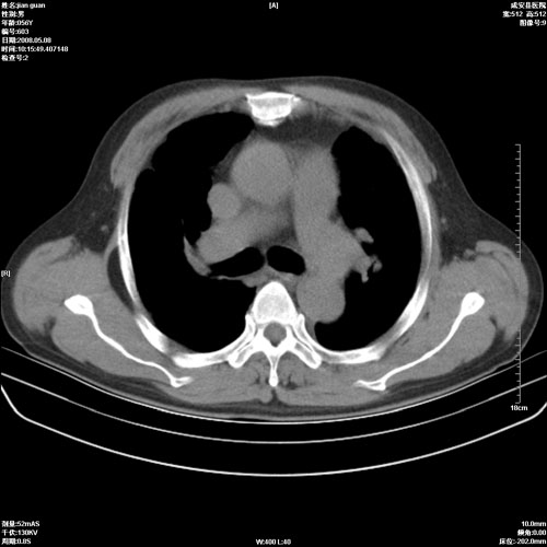
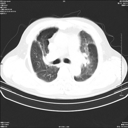
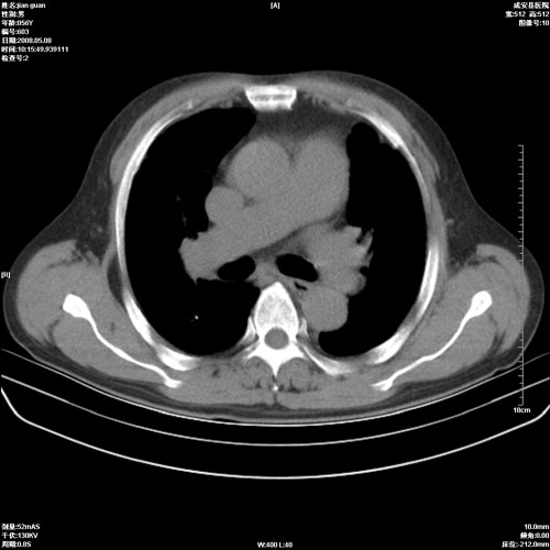
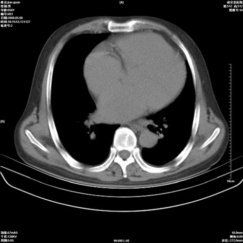
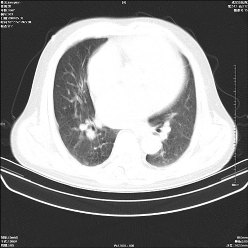
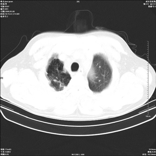
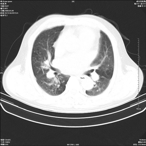
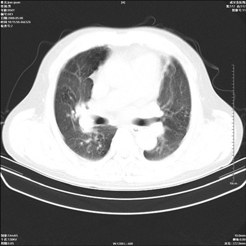
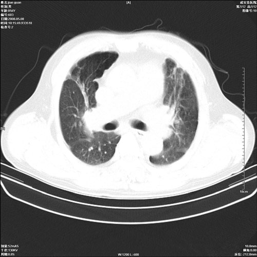
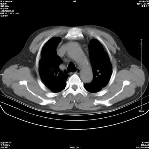
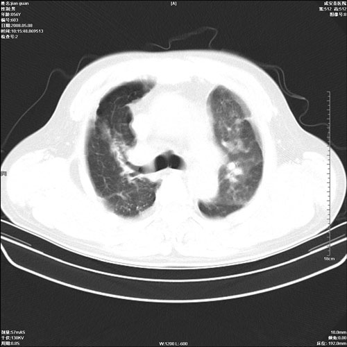
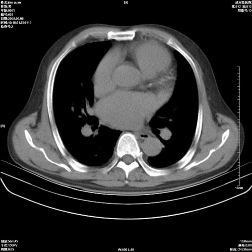
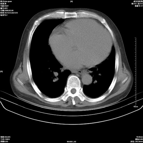
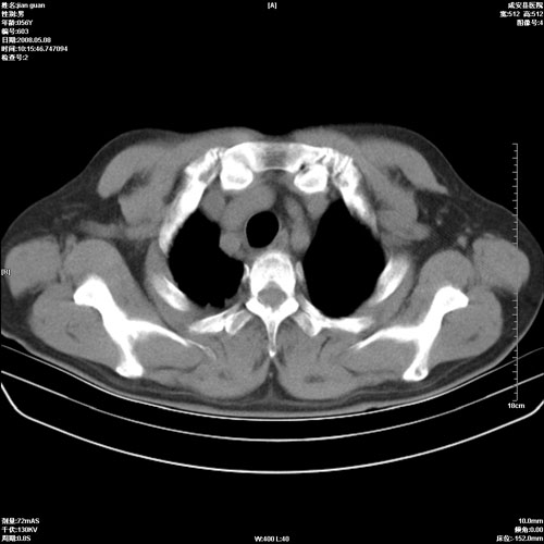
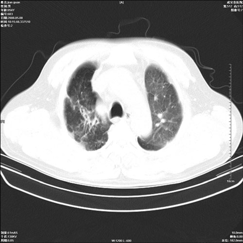
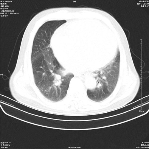
病人 男 60岁 主诉 胸闷 无明显发热 一般情况尚可。






























[本贴已被 翁志蓬 于 2008-5-8 23:17:11 修改过]

作者: 宇宙CT    时间: 2008-5-9 03:41
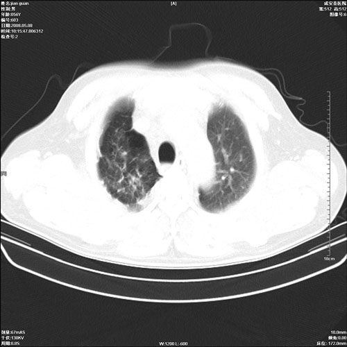
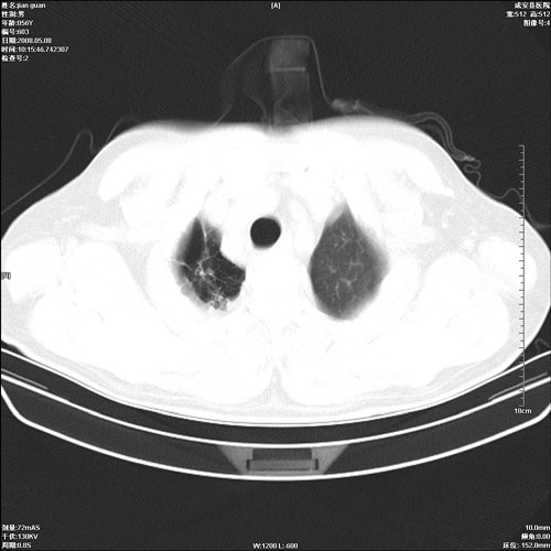
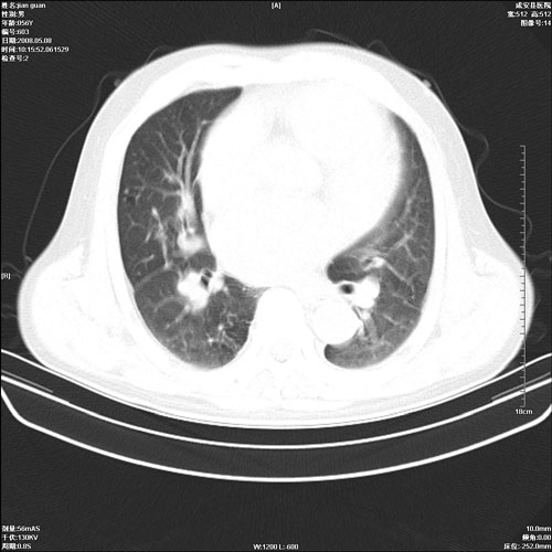
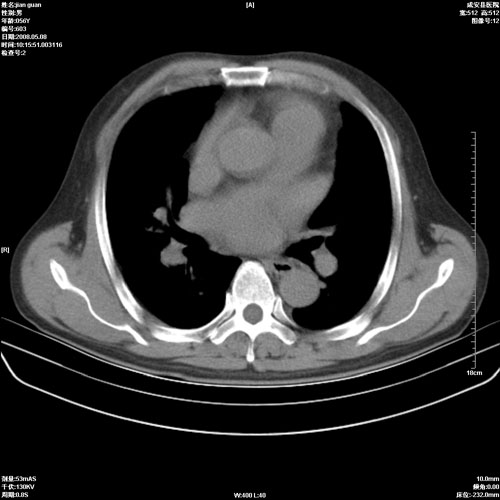
肺结核?
作者: xulianj    时间: 2008-5-9 03:46
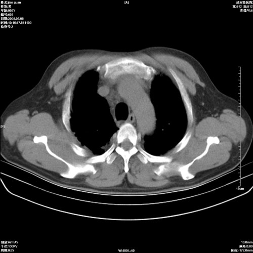
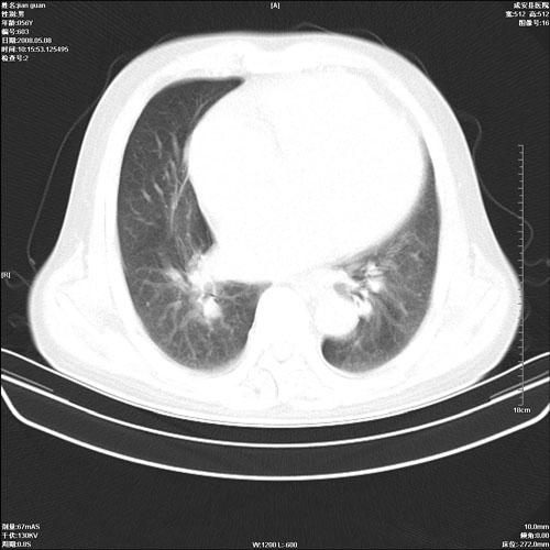
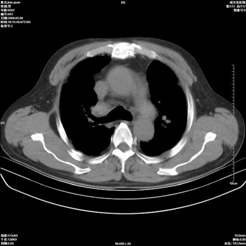
两上肺陈旧性结核;慢支肺气肿、伴感染?
作者: zzb2007    时间: 2008-5-9 03:48
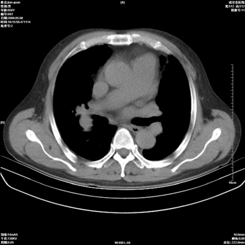
考虑1心功不全,肺水肿
2右上肺结核纤维性病灶、肺气肿
作者: 358450m    时间: 2008-5-9 04:52
标题: 回复:胸部
以下是引用宇宙ct在2008-5-8 19:41:00的发言:[br]肺结核?

作者: liuyue    时间: 2008-5-9 05:41
1.右上肺陈旧性肺结核.
2.心脏增大(以左心室增大为著),请结合b超及听诊.
作者: 杀毒软件    时间: 2008-5-9 06:05
两上肺陈旧性结核;慢支肺气肿
作者: liufaming    时间: 2008-5-9 06:10
1.两上肺陈旧性结核;慢支肺气肿。
2.肺门血管扩张,心脏增大,为肺心病
作者: 长城干红    时间: 2008-5-9 06:24
陈旧性肺结核
作者: jsgdoctor    时间: 2008-5-9 06:26
考虑.两上肺陈旧性结核;慢支肺气肿。肺心病
作者: jinguoji    时间: 2008-5-9 06:52
两上肺陈旧性结核,慢支肺气肿。
作者: yuhongjun    时间: 2008-5-9 13:54
1.两上肺陈旧性结核;慢支肺气肿。
2.肺门血管扩张,心脏增大,为肺心病
作者: yangyudong333    时间: 2008-5-9 13:57
两上肺陈旧性结核;慢支肺气肿。肺肺间质纤维化
作者: zsl6918    时间: 2008-5-9 15:02
慢性病变
作者: zjzjr    时间: 2008-5-9 17:09
两上肺陈旧性结核;慢支肺气肿
作者: 黑白光影    时间: 2008-5-9 21:23
两上肺陈旧性结核;慢支肺气肿。
作者: 37度    时间: 2008-5-10 17:47
1.陈旧肺结核;
2.慢支肺气肿;
3.肺心病.
作者: yscao    时间: 2008-5-12 07:13
陈旧性肺结核,左心房扩大,左心衰竭
作者: dr.yang    时间: 2011-12-6 06:45
考虑1心功不全,肺水肿
2右上肺结核纤维性病灶、肺气肿 ,肺心病




欢迎光临 医影在线 (http://bbs.radida.com/bbs/) Powered by Discuz! X3.2