医影在线
标题: CT13326:出血性脑梗塞? [打印本页]
作者: liuyue 时间: 2008-5-9 05:30
标题: CT13326:出血性脑梗塞?
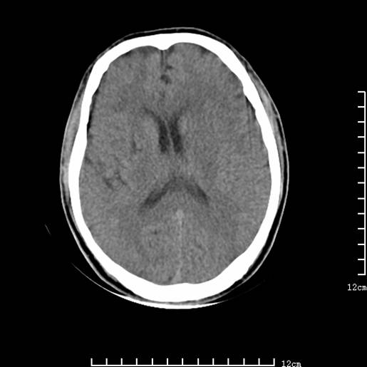
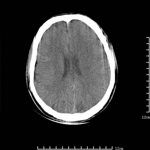
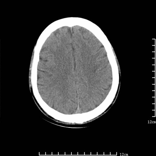
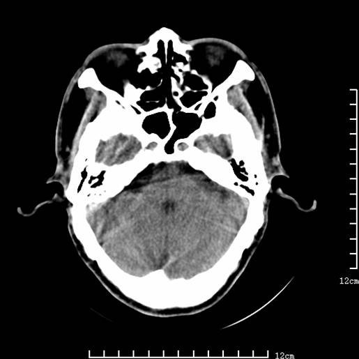
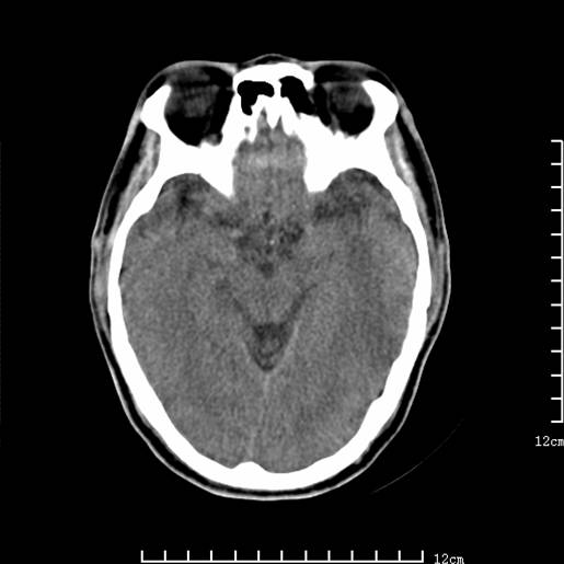
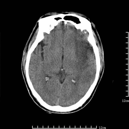
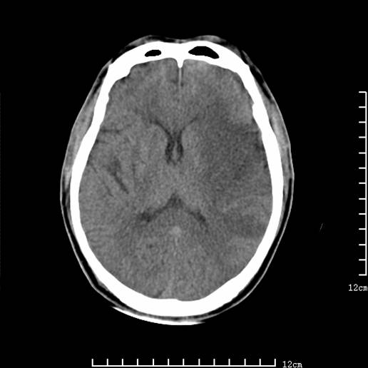
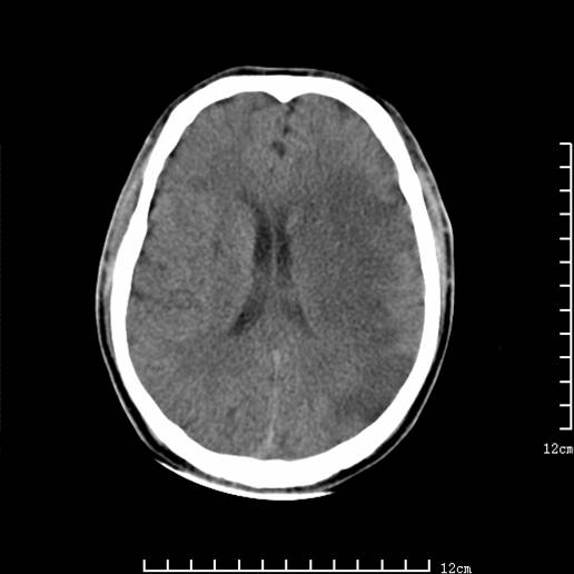
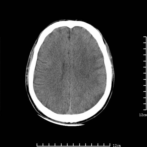
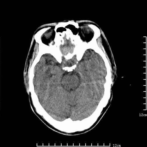
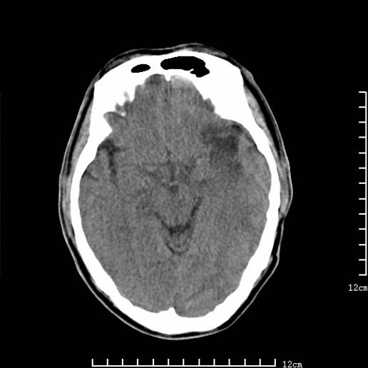
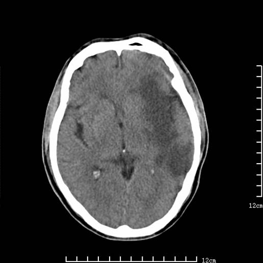
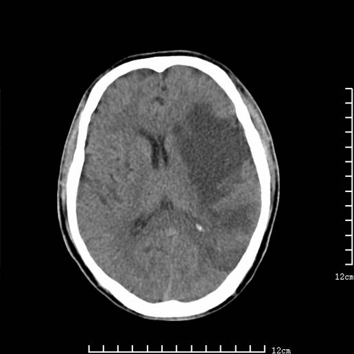
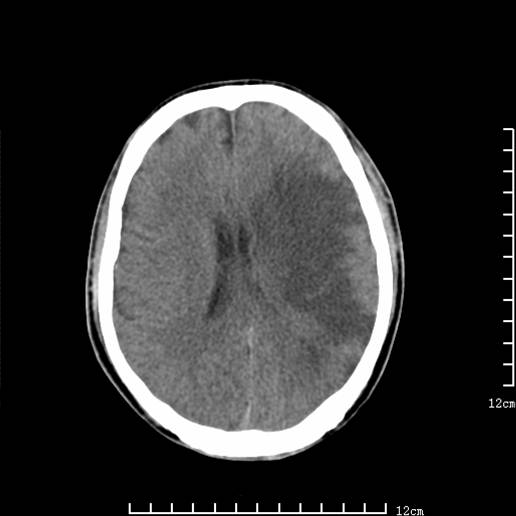
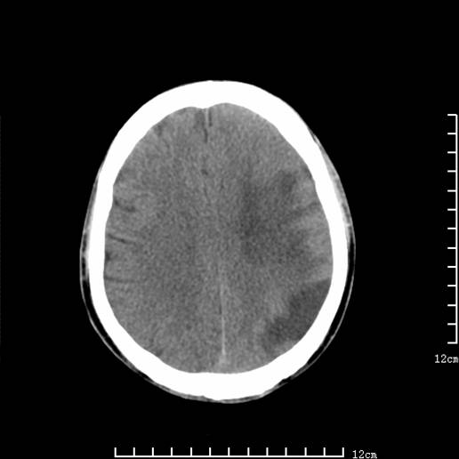
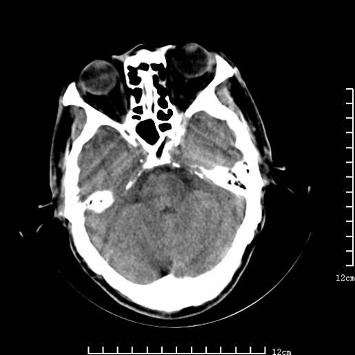
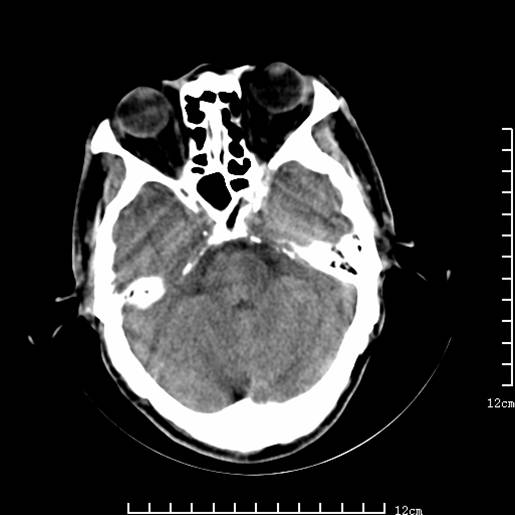
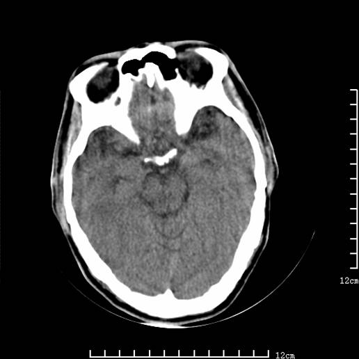
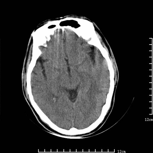
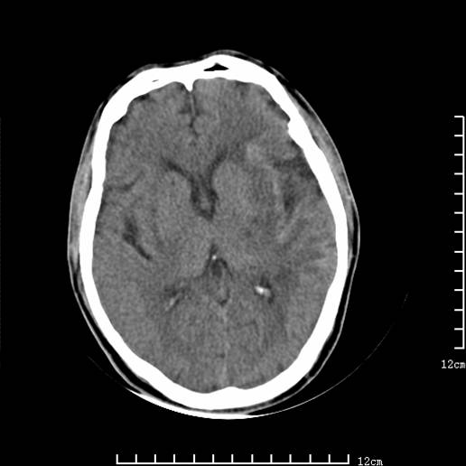
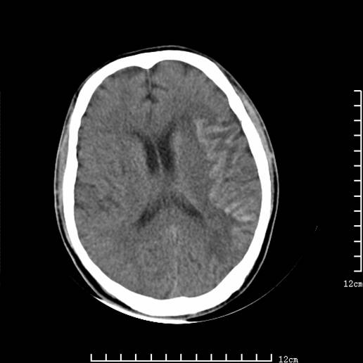
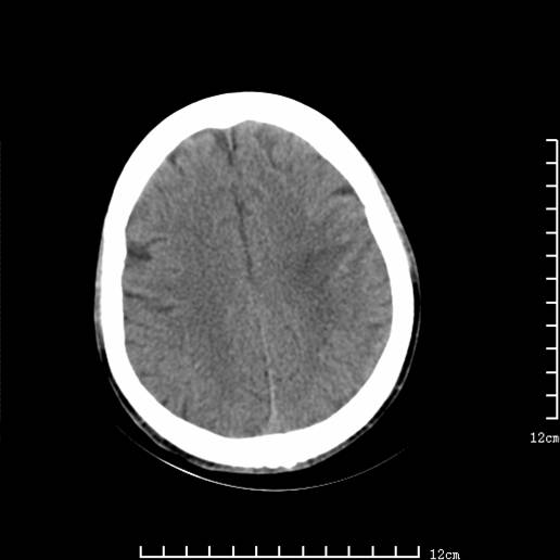
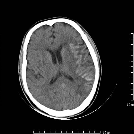
以下图像分别是3月25日凌晨及下午图像、3月27日、4月16日的ct图像。
3月25日凌晨



3月25日下午






3月27日






4月16日









[本贴已被 翁志蓬 于 2008-5-8 23:31:11 修改过]
作者: 影像孺子牛 时间: 2008-5-9 05:40
脑梗塞(左侧大脑中动脉分布区)。
作者: 随光逐影 时间: 2008-5-9 05:47
标题: 2
1)左侧额颞顶叶、岛叶及基底节区(相当于左侧大脑中动脉供血区)大面积脑梗塞。2)右侧基底节区腔隙性脑梗塞。
4月16日ct复查:符合出血性脑梗塞表现。
[本贴已被 随光逐影 于 2008-5-9 9:03:19 修改过]
作者: 舟山曹医师 时间: 2008-5-9 05:56
大脑中动脉供血区大面积脑梗塞没有问题。
作者: 杀毒软件 时间: 2008-5-9 06:13
脑梗塞
作者: jinguoji 时间: 2008-5-9 06:13
支持左侧大脑中动脉分布区脑梗塞。
作者: 长城干红 时间: 2008-5-9 06:19
缺血性脑梗塞
作者: 联众之王 时间: 2008-5-9 14:12
高密度的是脑回的胶质增生
作者: yangyudong333 时间: 2008-5-9 14:16
支持左侧大脑中动脉分布区脑梗塞。
作者: zsl6918 时间: 2008-5-9 14:19
资料齐全,符合脑梗塞溶栓治疗后,血管再通而致的出血性脑梗塞。
作者: zjzjr 时间: 2008-5-9 17:04
支持出血性脑梗塞,可能因血管再通后,再灌注损伤所致。
作者: 黑白光影 时间: 2008-5-9 21:22
支持左侧大脑中动脉分布区脑梗塞。
作者: xulianj 时间: 2008-5-10 01:25
出血性脑梗塞
作者: WZR 时间: 2008-5-10 02:26
4月16日ct复查:符合出血性脑梗塞表现
作者: zhengfaming 时间: 2008-5-10 02:28
支持左侧大脑中动脉分布区脑梗塞。
作者: panyishengct 时间: 2008-5-10 22:12
)左侧额颞顶叶、岛叶及基底节区(相当于左侧大脑中动脉供血区)大面积脑梗塞。2)右侧基底节区腔隙性脑梗塞。
4月16日ct复查:符合出血性脑梗塞表现。
作者: dr.yang 时间: 2011-7-24 11:34
支持左侧大脑中动脉分布区出血性脑梗塞。
作者: yzt222 时间: 2011-7-24 21:14
出血性脑梗塞
| 欢迎光临 医影在线 (http://bbs.radida.com/bbs/) |
Powered by Discuz! X3.2 |