医影在线

标题: CT13401:M,69Y。考虑:肺癌。 [打印本页]

作者: 光影★小胖    时间: 2008-5-12 05:44
标题: CT13401:M,69Y。考虑:肺癌。
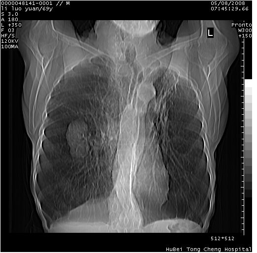
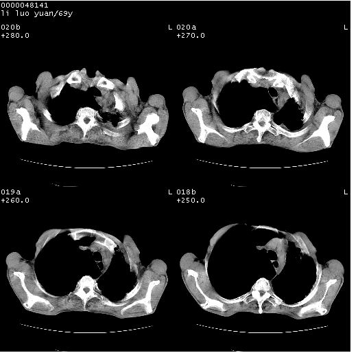
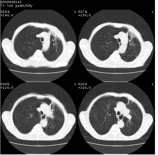
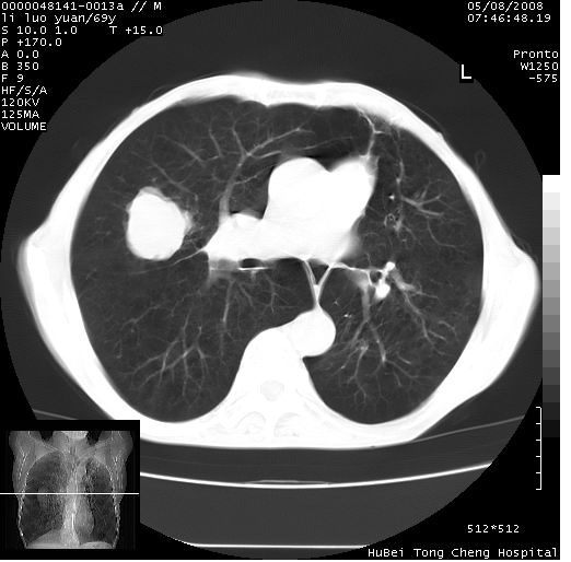
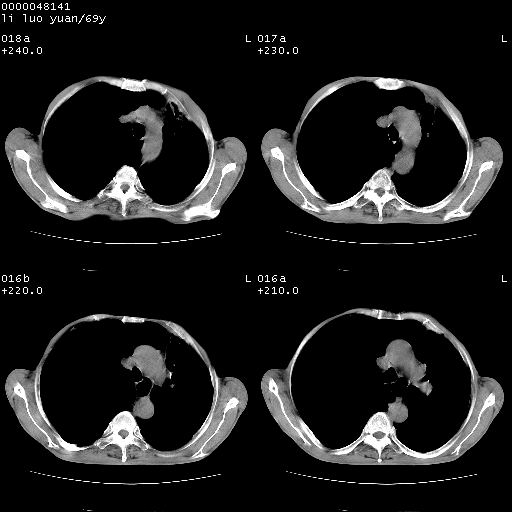
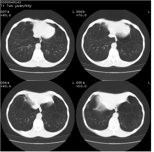
咳嗽伴吐血丝痰月余,消瘦。外院cr:肺癌?





















[本贴已被 翁志蓬 于 2008-5-12 0:13:55 修改过]

作者: 358450m    时间: 2008-5-12 05:59
肺癌
作者: 有风的日子    时间: 2008-5-12 06:01
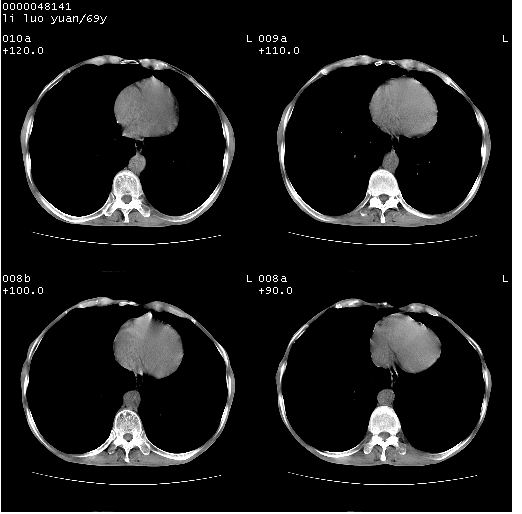
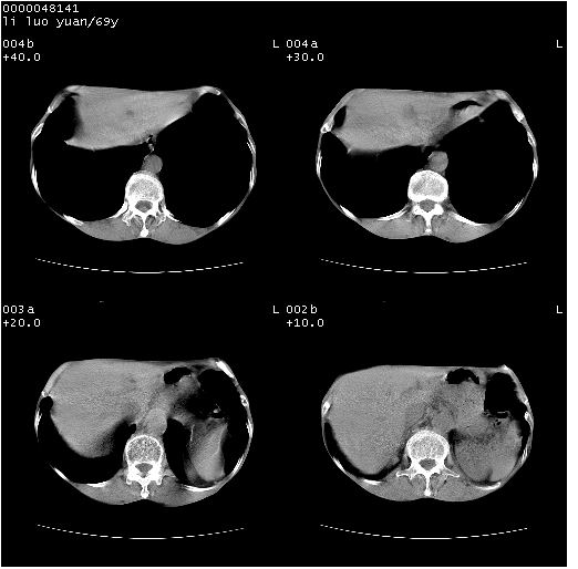
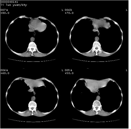
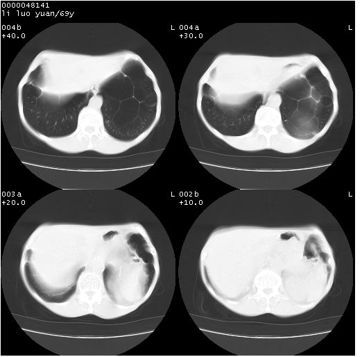
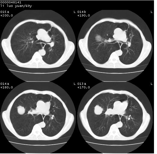
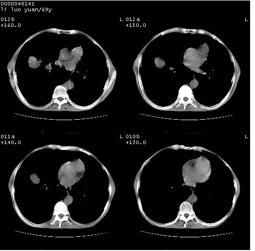
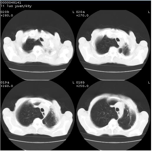
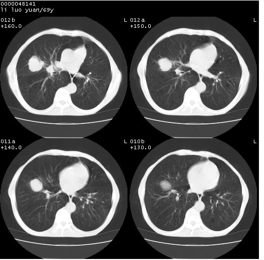
临床资料:老年患者,咯血、消瘦
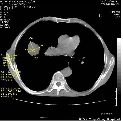
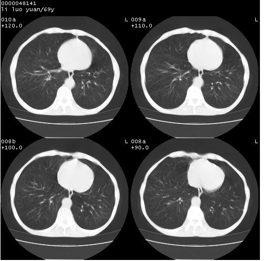
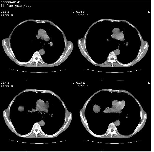
影像表现:桶状胸,双肺纹理纤细、紊乱,透过度增高,肺野内可见多发、散在、大小不等的无壁高透过影,右肺中叶外侧段分叶样软组织占位,左上肺纤维索条样密度影,相应层面左侧胸腔轻度萎陷,纵隔左移。
影像诊断:1、慢支、肺气肿、双下肺野肺大泡形成
     2、左上肺陈旧性肺结核
     3、右肺中叶外侧段占位 考虑肺ca可能性较大、建议增强及痰检脱落细胞
作者: 摘星空竹子    时间: 2008-5-12 06:02
右周围型肺癌。支持!另左侧胸膜肥厚粘连,上叶纤维化。
作者: liufaming    时间: 2008-5-12 06:10
诊断:1、慢支、肺气肿、纵隔疝形成、双下肺野肺大泡。
     2、左上肺陈旧性肺结核
     3、右肺占位 考虑肺ca可能性较大、建议增强及痰检脱落细胞
作者: panyishengct    时间: 2008-5-12 06:15
临床资料:老年患者,咯血、消瘦
影像表现:桶状胸,双肺纹理纤细、紊乱,透过度增高,肺野内可见多发、散在、大小不等的无壁高透过影,右肺中叶外侧段分叶样软组织占位,左上肺纤维索条样密度影,相应层面左侧胸腔轻度萎陷,纵隔左移。
影像诊断:1、慢支、肺气肿、双下肺野肺大泡形成
     2、左上肺陈旧性肺结核
     3、右肺中叶外侧段占位 考虑肺ca可能性较大、建议增强及痰检脱落细胞
作者: 宇宙CT    时间: 2008-5-12 06:22
肺癌,右肺气肿。左肺纤维花
作者: jinguoji    时间: 2008-5-12 06:29
标题: 回复:m,69y。考虑:肺癌。
以下是引用有风的日子在2008-5-11 22:01:00的发言:[br]临床资料:老年患者,咯血、消瘦[br]影像表现:桶状胸,双肺纹理纤细、紊乱,透过度增高,肺野内可见多发、散在、大小不等的无壁高透过影,右肺中叶外侧段分叶样软组织占位,左上肺纤维索条样密度影,相应层面左侧胸腔轻度萎陷,纵隔左移。[br]影像诊断:1、慢支、肺气肿、双下肺野肺大泡形成[br]     2、左上肺陈旧性肺结核[br]     3、右肺中叶外侧段占位 考虑肺ca可能性较大、建议增强及痰检脱落细胞

支持!
作者: 刘湘    时间: 2008-5-12 06:54
肺癌吧
作者: xuyinsheng66    时间: 2008-5-12 07:58
应该是肺癌
作者: yangyudong333    时间: 2008-5-12 14:45
影像诊断:1、慢支、肺气肿、双下肺野肺大泡形成
     2、左上肺陈旧性肺结核
     3、右肺中叶外侧段占位 考虑肺ca可能性较大,不除外结核球
作者: 卜一    时间: 2008-5-12 14:45
以下是引用有风的日子在2008-5-11 22:01:00的发言:
临床资料:老年患者,咯血、消瘦
影像表现:桶状胸,双肺纹理纤细、紊乱,透过度增高,肺野内可见多发、散在、大小不等的无壁高透过影,右肺中叶外侧段分叶样软组织占位,左上肺纤维索条样密度影,相应层面左侧胸腔轻度萎陷,纵隔左移。
影像诊断:1、慢支、肺气肿、双下肺野肺大泡形成
     2、左上肺陈旧性肺结核
     3、右肺中叶外侧段占位 考虑肺ca可能性较大、建议增强及痰检脱落细胞


支持!!!
作者: 形影不离    时间: 2008-5-12 16:00
1.右侧周围型肺癌。2.左肺上叶陈旧性肺结核。
作者: zjzjr    时间: 2008-5-12 18:07
标题: 回复:ct13401:m,69y。考虑:肺癌。
以下是引用liufaming在2008-5-11 22:10:00的发言:[br]诊断:1、慢支、肺气肿、纵隔疝形成、双下肺野肺大泡。[br]     2、左上肺陈旧性肺结核[br]     3、右肺占位 考虑肺ca可能性较大、建议增强及痰检脱落细胞  [br]  [br]

作者: dyqct    时间: 2008-5-13 01:28
标题: 回复:ct13401:m,69y。考虑:肺癌。
以下是引用zjzjr在2008-5-12 10:07:00的发言:[br][quote]以下是引用liufaming在2008-5-11 22:10:00的发言:[br]诊断:1、慢支、肺气肿、纵隔疝形成、双下肺野肺大泡。[br]     2、左上肺陈旧性肺结核[br]     3、右肺占位 考虑肺ca可能性较大、建议增强及痰检脱落细胞  [br]  [br]
[br][/quote]
支持!
作者: zsl6918    时间: 2008-5-13 16:45
同意右肺癌诊断,左肺陈旧性改变。
作者: 拾荒者    时间: 2008-5-14 05:19
以下是引用有风的日子在2008-5-11 22:01:00的发言:
临床资料:老年患者,咯血、消瘦
影像表现:桶状胸,双肺纹理纤细、紊乱,透过度增高,肺野内可见多发、散在、大小不等的无壁高透过影,右肺中叶外侧段分叶样软组织占位,左上肺纤维索条样密度影,相应层面左侧胸腔轻度萎陷,纵隔左移。
影像诊断:1、慢支、肺气肿、双下肺野肺大泡形成
     2、左上肺陈旧性肺结核
     3、右肺中叶外侧段占位 考虑肺ca可能性较大、建议增强及痰检脱落细胞


支持!!!
作者: 黑白光影    时间: 2008-5-14 05:41
左上肺陈旧性肺结核
右肺中叶外侧段占位考虑肺ca可能性较大
慢支、肺气肿、双下肺野肺大泡形成
作者: dr.yang    时间: 2011-12-6 06:52
临床资料:老年患者,咯血、消瘦
影像表现:桶状胸,双肺纹理纤细、紊乱,透过度增高,肺野内可见多发、散在、大小不等的无壁高透过影,右肺中叶外侧段分叶样软组织占位,左上肺纤维索条样密度影,相应层面左侧胸腔轻度萎陷,纵隔左移。
影像诊断:1、慢支、肺气肿、双下肺野肺大泡形成
     2、左上肺陈旧性肺结核
     3、右肺中叶外侧段占位 考虑肺ca可能性较大、建议增强及痰检脱落细胞 --支持,全面




欢迎光临 医影在线 (http://bbs.radida.com/bbs/) Powered by Discuz! X3.2