医影在线

标题: CT13402:M,31Y。肺结核伴空洞形成? [打印本页]

作者: 光影★小胖    时间: 2008-5-12 05:53
标题: CT13402:M,31Y。肺结核伴空洞形成?
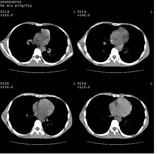
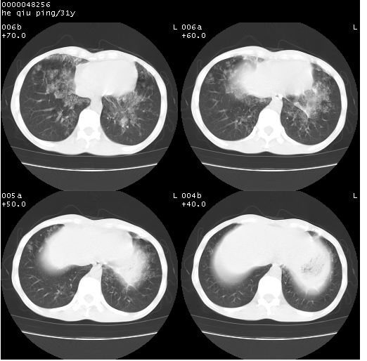
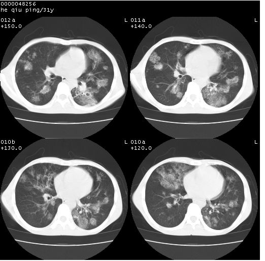
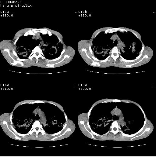
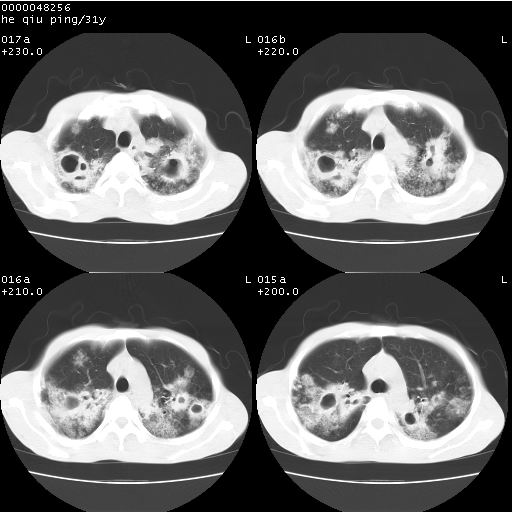
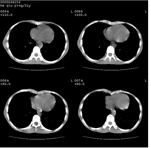
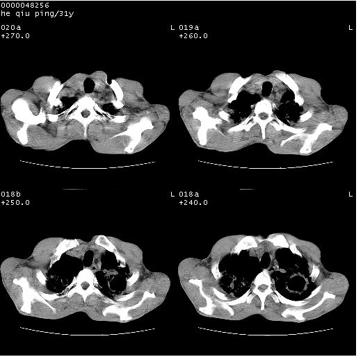
咳嗽半月余,消瘦体质,呼吸音弱。无其他病史。cr:肺转移瘤待。



















[本贴已被 翁志蓬 于 2008-5-12 0:14:55 修改过]

作者: 358450m    时间: 2008-5-12 06:08
肺结核伴空洞形成
作者: liangshusheng    时间: 2008-5-12 06:21
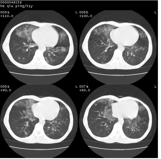
肺结核伴空洞形成,两下肺支气管播散
作者: 宇宙CT    时间: 2008-5-12 06:24
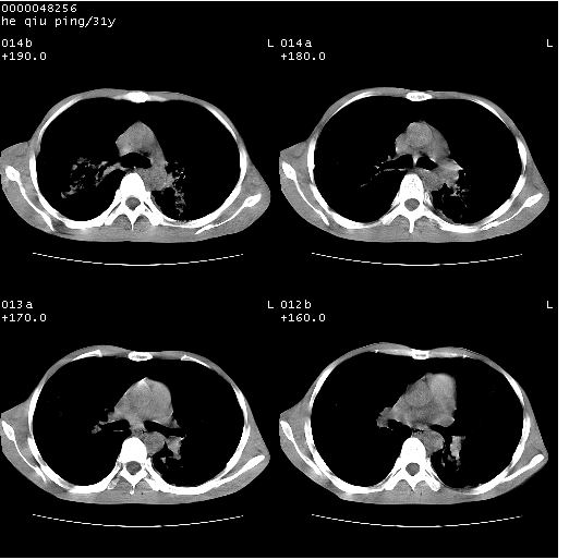
肺结核,肺霉菌感染
作者: 阿康2008    时间: 2008-5-12 06:27
支持结核
作者: mzjctmr    时间: 2008-5-12 06:33
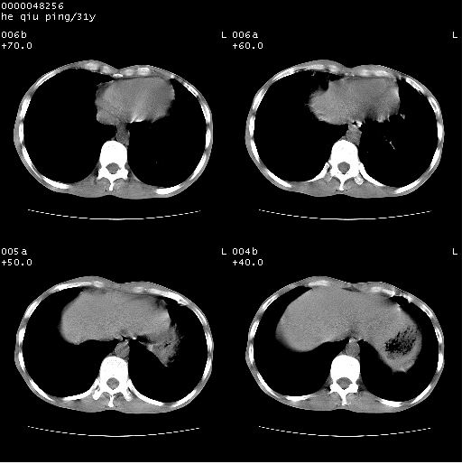
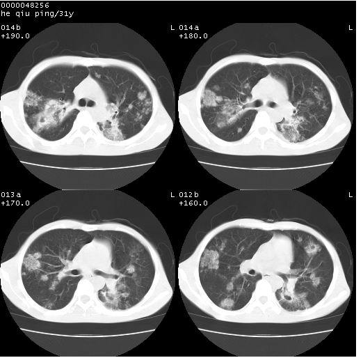
双上肺多发空洞,双飞散在分布大小不一的片状结高密度影节状大片状高密度影。符合结合肉芽肿形成及空洞形成。
作者: liufaming    时间: 2008-5-12 06:43
双侧弥漫性病变,双上叶尖后段、下叶北段见多个空洞,多见于结核感染。右中叶及双下叶斑片状,结节状影,考虑为肉芽肿形成及支气管播散。但由于患者消瘦体质,抵抗力低下,若继发感染,如金葡菌肺炎也有可能。
作者: xuyinsheng66    时间: 2008-5-12 08:10
应该是比较典型肺结核伴空洞形成,下肺野播散。
作者: 随光逐影    时间: 2008-5-12 08:57
考虑为:两肺结核伴多发空洞形成、支气管播散。
作者: yy杨洋    时间: 2008-5-12 09:31
两肺结核伴多发空洞形成
作者: yangyudong333    时间: 2008-5-12 14:41
两肺结核伴多发空洞形成
作者: 卜一    时间: 2008-5-12 14:44
两肺继发性结核伴多发空洞形成!不除外合并霉菌感染!
作者: ※学生※    时间: 2008-5-12 15:37
支持结核
作者: 形影不离    时间: 2008-5-12 15:48
支持楼主!
作者: 杀毒软件    时间: 2008-5-12 15:55
考虑为:两肺结核伴多发空洞形成、支气管播散
作者: mzh123    时间: 2008-5-12 16:24
标题: 回复:ct13402:m,31y。肺结核伴空洞形成?
以下是引用liufaming在2008-5-11 22:43:00的发言:[br]双侧弥漫性病变,双上叶尖后段、下叶北段见多个空洞,多见于结核感染。右中叶及双下叶斑片状,结节状影,考虑为肉芽肿形成及支气管播散。但由于患者消瘦体质,抵抗力低下,若继发感染,如金葡菌肺炎也有可能。

作者: zjzjr    时间: 2008-5-12 18:05
考虑为:两肺结核伴多发空洞形成、支气管播散。
作者: 深泽交通    时间: 2008-5-12 19:53
zhichi 4
作者: dyqct    时间: 2008-5-13 01:24
标题: 回复:ct13402:m,31y。肺结核伴空洞形成?
以下是引用liangshusheng在2008-5-11 22:21:00的发言:[br]肺结核伴空洞形成,两下肺支气管播散

支持!
作者: zsl6918    时间: 2008-5-13 16:49
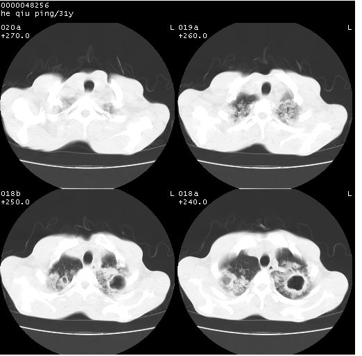
结核空洞并播散,玫瑰花簇征。
作者: 拾荒者    时间: 2008-5-14 05:17
肺结核伴空洞形成继发霉菌感染?结合痰菌检查!
作者: 黑白光影    时间: 2008-5-14 05:42
两肺结核伴多发空洞形成、支气管播散。支持。
作者: panyishengct    时间: 2008-5-14 06:18
考虑为:两肺结核伴多发空洞形成、支气管播散。
作者: zhangnianqiu_20    时间: 2008-5-14 06:51
病灶多形性,有空洞形成。考虑肺结核伴空洞形成,两下肺支气管播散!
作者: dr.yang    时间: 2011-12-6 07:16
病灶多形性,有空洞形成。考虑肺结核伴空洞形成,两下肺支气管播散!




欢迎光临 医影在线 (http://bbs.radida.com/bbs/) Powered by Discuz! X3.2